Last additions - Diabetic Retinopathy
|

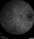
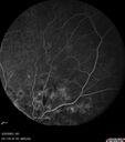
NPDR and Severe macular ischemia sudden vision loss180 views60 year old female with sudden vision loss OD 1 week ago. VA 20/63, 20/200. OCT-A and FA shows severe macular ischemia OUJan 11, 2026
|
|

NPDR and Severe macular ischemia sudden vision loss186 views60 year old female with sudden vision loss OD 1 week ago. VA 20/63, 20/200. OCT-A and FA shows severe macular ischemia OUJan 11, 2026
|
|

NPDR and Severe macular ischemia sudden vision loss174 views60 year old female with sudden vision loss OD 1 week ago. VA 20/63, 20/200. OCT-A and FA shows severe macular ischemia OUJan 11, 2026
|
|

NPDR and Severe macular ischemia sudden vision loss119 views60 year old female with sudden vision loss OD 1 week ago. VA 20/63, 20/200. OCT-A and FA shows severe macular ischemia OUJan 11, 2026
|
|

NPDR and Severe macular ischemia sudden vision loss91 views60 year old female with sudden vision loss OD 1 week ago. VA 20/63, 20/200. OCT-A and FA shows severe macular ischemia OUJan 11, 2026
|
|

NPDR and Severe macular ischemia sudden vision loss95 views60 year old female with sudden vision loss OD 1 week ago. VA 20/63, 20/200. OCT-A and FA shows severe macular ischemia OUJan 11, 2026
|
|

NPDR and Severe macular ischemia sudden vision loss92 views60 year old female with sudden vision loss OD 1 week ago. VA 20/63, 20/200. OCT-A and FA shows severe macular ischemia OUJan 11, 2026
|
|

NPDR and Severe macular ischemia sudden vision loss89 views60 year old female with sudden vision loss OD 1 week ago. VA 20/63, 20/200. OCT-A and FA shows severe macular ischemia OUJan 11, 2026
|
|

NPDR and Severe macular ischemia sudden vision loss68 views60 year old female with sudden vision loss OD 1 week ago. VA 20/63, 20/200. OCT-A and FA shows severe macular ischemia OUJan 11, 2026
|
|

NPDR and Severe macular ischemia sudden vision loss85 views60 year old female with sudden vision loss OD 1 week ago. VA 20/63, 20/200. OCT-A and FA shows severe macular ischemia OUJan 11, 2026
|
|

NPDR and Severe macular ischemia sudden vision loss84 views60 year old female with sudden vision loss OD 1 week ago. VA 20/63, 20/200. OCT-A and FA shows severe macular ischemia OUJan 11, 2026
|
|

NPDR and Severe macular ischemia sudden vision loss63 views60 year old female with sudden vision loss OD 1 week ago. VA 20/63, 20/200. OCT-A and FA shows severe macular ischemia OUJan 11, 2026
|
|

NPDR and Severe macular ischemia sudden vision loss61 views60 year old female with sudden vision loss OD 1 week ago. VA 20/63, 20/200. OCT-A and FA shows severe macular ischemia OUJan 11, 2026
|
|

NPDR and Severe macular ischemia sudden vision loss81 views60 year old female with sudden vision loss OD 1 week ago. VA 20/63, 20/200. OCT-A and FA shows severe macular ischemia OUJan 11, 2026
|
|

NPDR and Severe macular ischemia sudden vision loss90 views60 year old female with sudden vision loss OD 1 week ago. VA 20/63, 20/200. OCT-A and FA shows severe macular ischemia OUJan 11, 2026
|
|

NPDR and Severe macular ischemia sudden vision loss70 views60 year old female with sudden vision loss OD 1 week ago. VA 20/63, 20/200. OCT-A and FA shows severe macular ischemia OUJan 11, 2026
|
|

NPDR and Severe macular ischemia sudden vision loss73 views60 year old female with sudden vision loss OD 1 week ago. VA 20/63, 20/200. OCT-A and FA shows severe macular ischemia OUJan 11, 2026
|
|

NPDR and Severe macular ischemia sudden vision loss56 views60 year old female with sudden vision loss OD 1 week ago. VA 20/63, 20/200. OCT-A and FA shows severe macular ischemia OUJan 11, 2026
|
|

NPDR and Severe macular ischemia sudden vision loss57 views60 year old female with sudden vision loss OD 1 week ago. VA 20/63, 20/200. OCT-A and FA shows severe macular ischemia OUJan 11, 2026
|
|

NPDR and Severe macular ischemia sudden vision loss74 views60 year old female with sudden vision loss OD 1 week ago. VA 20/63, 20/200. OCT-A and FA shows severe macular ischemia OUJan 11, 2026
|
|

NPDR and Severe macular ischemia sudden vision loss75 views60 year old female with sudden vision loss OD 1 week ago. VA 20/63, 20/200. OCT-A and FA shows severe macular ischemia OUJan 11, 2026
|
|

NPDR and Severe macular ischemia sudden vision loss77 views60 year old female with sudden vision loss OD 1 week ago. VA 20/63, 20/200. OCT-A and FA shows severe macular ischemia OUJan 11, 2026
|
|

NPDR and Severe macular ischemia sudden vision loss62 views60 year old female with sudden vision loss OD 1 week ago. VA 20/63, 20/200. OCT-A and FA shows severe macular ischemia OUJan 11, 2026
|
|

NPDR and Severe macular ischemia sudden vision loss64 views60 year old female with sudden vision loss OD 1 week ago. VA 20/63, 20/200. OCT-A and FA shows severe macular ischemia OUJan 11, 2026
|
|

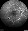
Severe NPDR with non-perfusion on FA53 views64 year old man with 20/32 vision in both eyes and mild blurring. FA shows non-perfusion but no proliferationNov 23, 2025
|
|

Severe NPDR with non-perfusion on FA75 views64 year old man with 20/32 vision in both eyes and mild blurring. FA shows non-perfusion but no proliferationNov 23, 2025
|
|

Severe NPDR with non-perfusion on FA73 views64 year old man with 20/32 vision in both eyes and mild blurring. FA shows non-perfusion but no proliferationNov 23, 2025
|
|

Severe NPDR with non-perfusion on FA51 views64 year old man with 20/32 vision in both eyes and mild blurring. FA shows non-perfusion but no proliferationNov 23, 2025
|
|

Severe NPDR with non-perfusion on FA66 views64 year old man with 20/32 vision in both eyes and mild blurring. FA shows non-perfusion but no proliferationNov 23, 2025
|
|

Severe NPDR with non-perfusion on FA60 views64 year old man with 20/32 vision in both eyes and mild blurring. FA shows non-perfusion but no proliferationNov 23, 2025
|
|

Severe NPDR with non-perfusion on FA66 views64 year old man with 20/32 vision in both eyes and mild blurring. FA shows non-perfusion but no proliferationNov 23, 2025
|
|

Severe NPDR with non-perfusion on FA68 views64 year old man with 20/32 vision in both eyes and mild blurring. FA shows non-perfusion but no proliferationNov 23, 2025
|
|

Severe NPDR with non-perfusion on FA65 views64 year old man with 20/32 vision in both eyes and mild blurring. FA shows non-perfusion but no proliferationNov 23, 2025
|
|

Severe NPDR with non-perfusion on FA51 views64 year old man with 20/32 vision in both eyes and mild blurring. FA shows non-perfusion but no proliferationNov 23, 2025
|
|

Severe NPDR with non-perfusion on FA47 views64 year old man with 20/32 vision in both eyes and mild blurring. FA shows non-perfusion but no proliferationNov 23, 2025
|
|

Severe NPDR with non-perfusion on FA44 views64 year old man with 20/32 vision in both eyes and mild blurring. FA shows non-perfusion but no proliferationNov 23, 2025
|
|

Severe NPDR with non-perfusion on FA52 views64 year old man with 20/32 vision in both eyes and mild blurring. FA shows non-perfusion but no proliferationNov 23, 2025
|
|

Severe NPDR with non-perfusion on FA48 views64 year old man with 20/32 vision in both eyes and mild blurring. FA shows non-perfusion but no proliferationNov 23, 2025
|
|

Severe NPDR with non-perfusion on FA60 views64 year old man with 20/32 vision in both eyes and mild blurring. FA shows non-perfusion but no proliferationNov 23, 2025
|
|

Severe NPDR with non-perfusion on FA66 views64 year old man with 20/32 vision in both eyes and mild blurring. FA shows non-perfusion but no proliferationNov 23, 2025
|
|

Severe NPDR with non-perfusion on FA60 views64 year old man with 20/32 vision in both eyes and mild blurring. FA shows non-perfusion but no proliferationNov 23, 2025
|
|

Severe NPDR with non-perfusion on FA64 views64 year old man with 20/32 vision in both eyes and mild blurring. FA shows non-perfusion but no proliferationNov 23, 2025
|
|

Prethreshold PDR right eye - mild NVD144 viewsDec 23, 2024
|
|

Prethreshold PDR right eye - mild NVD128 viewsDec 23, 2024
|
|

Prethreshold PDR right eye - mild NVD128 viewsDec 23, 2024
|
|

Prethreshold PDR right eye - mild NVD76 viewsDec 23, 2024
|
|

Prethreshold PDR right eye - mild NVD78 viewsDec 23, 2024
|
|

Prethreshold PDR right eye - mild NVD80 viewsDec 23, 2024
|
|

Prethreshold PDR right eye - mild NVD84 viewsDec 23, 2024
|
|

Prethreshold PDR right eye - mild NVD97 viewsDec 23, 2024
|
|

Prethreshold PDR right eye - mild NVD82 viewsDec 23, 2024
|
|

Prethreshold PDR right eye - mild NVD86 viewsDec 23, 2024
|
|

Prethreshold PDR right eye - mild NVD73 viewsDec 23, 2024
|
|

Prethreshold PDR right eye - mild NVD103 viewsDec 23, 2024
|
|

Prethreshold PDR right eye - mild NVD96 viewsDec 23, 2024
|
|

Prethreshold PDR right eye - mild NVD80 viewsDec 23, 2024
|
|

Prethreshold PDR right eye - mild NVD77 viewsDec 23, 2024
|
|

Prethreshold PDR right eye - mild NVD71 viewsDec 23, 2024
|
|

Prethreshold PDR right eye - mild NVD75 viewsDec 23, 2024
|
|

Prethreshold PDR right eye - mild NVD64 viewsDec 23, 2024
|
|

Prethreshold PDR right eye - mild NVD88 viewsDec 23, 2024
|
|

Severe NPDR169 views53 year old man with blurred vision (needs glasses).
Diabetic for 10 years with poor control
VA 20/32 OUSep 23, 2024
|
|

Severe NPDR163 views53 year old man with blurred vision (needs glasses).
Diabetic for 10 years with poor control
VA 20/32 OUSep 23, 2024
|
|

Severe NPDR120 views53 year old man with blurred vision (needs glasses).
Diabetic for 10 years with poor control
VA 20/32 OUSep 23, 2024
|
|

Severe NPDR100 views53 year old man with blurred vision (needs glasses).
Diabetic for 10 years with poor control
VA 20/32 OUSep 23, 2024
|
|

Severe NPDR81 views53 year old man with blurred vision (needs glasses).
Diabetic for 10 years with poor control
VA 20/32 OUSep 23, 2024
|
|

Severe NPDR104 views53 year old man with blurred vision (needs glasses).
Diabetic for 10 years with poor control
VA 20/32 OUSep 23, 2024
|
|

Severe NPDR84 views53 year old man with blurred vision (needs glasses).
Diabetic for 10 years with poor control
VA 20/32 OUSep 23, 2024
|
|

Severe NPDR108 views53 year old man with blurred vision (needs glasses).
Diabetic for 10 years with poor control
VA 20/32 OUSep 23, 2024
|
|

Severe NPDR106 views53 year old man with blurred vision (needs glasses).
Diabetic for 10 years with poor control
VA 20/32 OUSep 23, 2024
|
|

Severe NPDR108 views53 year old man with blurred vision (needs glasses).
Diabetic for 10 years with poor control
VA 20/32 OUSep 23, 2024
|
|

Severe NPDR99 views53 year old man with blurred vision (needs glasses).
Diabetic for 10 years with poor control
VA 20/32 OUSep 23, 2024
|
|

Severe NPDR135 views53 year old man with blurred vision (needs glasses).
Diabetic for 10 years with poor control
VA 20/32 OUSep 23, 2024
|
|

Severe NPDR139 views53 year old man with blurred vision (needs glasses).
Diabetic for 10 years with poor control
VA 20/32 OUSep 23, 2024
|
|

Severe NPDR118 views53 year old man with blurred vision (needs glasses).
Diabetic for 10 years with poor control
VA 20/32 OUSep 23, 2024
|
|

Severe NPDR134 views53 year old man with blurred vision (needs glasses).
Diabetic for 10 years with poor control
VA 20/32 OUSep 23, 2024
|
|

Severe NPDR97 views53 year old man with blurred vision (needs glasses).
Diabetic for 10 years with poor control
VA 20/32 OUSep 23, 2024
|
|

Severe NPDR103 views53 year old man with blurred vision (needs glasses).
Diabetic for 10 years with poor control
VA 20/32 OUSep 23, 2024
|
|

Siegrist Streaks and severe diabetic macular edema160 views56 year old female who presents four years after developing necrotizing fascitis and multiple organ failure from an infected foot from a roofing nail. Her vision was 20/100 OU. She has multiple peripheral pigment spots consistent with Siegrist streaks.Sep 19, 2023
|
|

Siegrist Streaks and severe diabetic macular edema186 views56 year old female who presents four years after developing necrotizing fascitis and multiple organ failure from an infected foot from a roofing nail. Her vision was 20/100 OU. She has multiple peripheral pigment spots consistent with Siegrist streaks.Sep 19, 2023
|
|

Siegrist Streaks and severe diabetic macular edema147 views56 year old female who presents four years after developing necrotizing fascitis and multiple organ failure from an infected foot from a roofing nail. Her vision was 20/100 OU. She has multiple peripheral pigment spots consistent with Siegrist streaks.Sep 19, 2023
|
|

Siegrist Streaks and severe diabetic macular edema159 views56 year old female who presents four years after developing necrotizing fascitis and multiple organ failure from an infected foot from a roofing nail. Her vision was 20/100 OU. She has multiple peripheral pigment spots consistent with Siegrist streaks.Sep 19, 2023
|
|

Siegrist Streaks and severe diabetic macular edema168 views56 year old female who presents four years after developing necrotizing fascitis and multiple organ failure from an infected foot from a roofing nail. Her vision was 20/100 OU. She has multiple peripheral pigment spots consistent with Siegrist streaks.Sep 19, 2023
|
|

Siegrist Streaks and severe diabetic macular edema161 views56 year old female who presents four years after developing necrotizing fascitis and multiple organ failure from an infected foot from a roofing nail. Her vision was 20/100 OU. She has multiple peripheral pigment spots consistent with Siegrist streaks.Sep 19, 2023
|
|

Siegrist Streaks and severe diabetic macular edema136 views56 year old female who presents four years after developing necrotizing fascitis and multiple organ failure from an infected foot from a roofing nail. Her vision was 20/100 OU. She has multiple peripheral pigment spots consistent with Siegrist streaks.Sep 19, 2023
|
|

Siegrist Streaks and severe diabetic macular edema151 views56 year old female who presents four years after developing necrotizing fascitis and multiple organ failure from an infected foot from a roofing nail. Her vision was 20/100 OU. She has multiple peripheral pigment spots consistent with Siegrist streaks.Sep 19, 2023
|
|

Siegrist Streaks and severe diabetic macular edema152 views56 year old female who presents four years after developing necrotizing fascitis and multiple organ failure from an infected foot from a roofing nail. Her vision was 20/100 OU. She has multiple peripheral pigment spots consistent with Siegrist streaks.Sep 19, 2023
|
|

Siegrist Streaks and severe diabetic macular edema144 views56 year old female who presents four years after developing necrotizing fascitis and multiple organ failure from an infected foot from a roofing nail. Her vision was 20/100 OU. She has multiple peripheral pigment spots consistent with Siegrist streaks.Sep 19, 2023
|
|

Siegrist Streaks and severe diabetic macular edema138 views56 year old female who presents four years after developing necrotizing fascitis and multiple organ failure from an infected foot from a roofing nail. Her vision was 20/100 OU. She has multiple peripheral pigment spots consistent with Siegrist streaks.Sep 19, 2023
|
|

Siegrist Streaks and severe diabetic macular edema147 views56 year old female who presents four years after developing necrotizing fascitis and multiple organ failure from an infected foot from a roofing nail. Her vision was 20/100 OU. She has multiple peripheral pigment spots consistent with Siegrist streaks.Sep 19, 2023
|
|

Siegrist Streaks and severe diabetic macular edema124 views56 year old female who presents four years after developing necrotizing fascitis and multiple organ failure from an infected foot from a roofing nail. Her vision was 20/100 OU. She has multiple peripheral pigment spots consistent with Siegrist streaks.Sep 19, 2023
|
|

Siegrist Streaks and severe diabetic macular edema138 views56 year old female who presents four years after developing necrotizing fascitis and multiple organ failure from an infected foot from a roofing nail. Her vision was 20/100 OU. She has multiple peripheral pigment spots consistent with Siegrist streaks.Sep 19, 2023
|
|

Siegrist Streaks and severe diabetic macular edema136 views56 year old female who presents four years after developing necrotizing fascitis and multiple organ failure from an infected foot from a roofing nail. Her vision was 20/100 OU. She has multiple peripheral pigment spots consistent with Siegrist streaks.Sep 19, 2023
|
|

Siegrist Streaks and severe diabetic macular edema125 views56 year old female who presents four years after developing necrotizing fascitis and multiple organ failure from an infected foot from a roofing nail. Her vision was 20/100 OU. She has multiple peripheral pigment spots consistent with Siegrist streaks.Sep 19, 2023
|
|

Siegrist Streaks and severe diabetic macular edema145 views56 year old female who presents four years after developing necrotizing fascitis and multiple organ failure from an infected foot from a roofing nail. Her vision was 20/100 OU. She has multiple peripheral pigment spots consistent with Siegrist streaks.Sep 19, 2023
|
|

Siegrist Streaks and severe diabetic macular edema136 views56 year old female who presents four years after developing necrotizing fascitis and multiple organ failure from an infected foot from a roofing nail. Her vision was 20/100 OU. She has multiple peripheral pigment spots consistent with Siegrist streaks.Sep 19, 2023
|
|

Siegrist Streaks and severe diabetic macular edema174 views56 year old female who presents four years after developing necrotizing fascitis and multiple organ failure from an infected foot from a roofing nail. Her vision was 20/100 OU. She has multiple peripheral pigment spots consistent with Siegrist streaks.Sep 19, 2023
|
|

Siegrist Streaks and severe diabetic macular edema145 views56 year old female who presents four years after developing necrotizing fascitis and multiple organ failure from an infected foot from a roofing nail. Her vision was 20/100 OU. She has multiple peripheral pigment spots consistent with Siegrist streaks.Sep 19, 2023
|
|

Siegrist Streaks and severe diabetic macular edema141 views56 year old female who presents four years after developing necrotizing fascitis and multiple organ failure from an infected foot from a roofing nail. Her vision was 20/100 OU. She has multiple peripheral pigment spots consistent with Siegrist streaks.Sep 19, 2023
|
|

Siegrist Streaks and severe diabetic macular edema164 views56 year old female who presents four years after developing necrotizing fascitis and multiple organ failure from an infected foot from a roofing nail. Her vision was 20/100 OU. She has multiple peripheral pigment spots consistent with Siegrist streaks.Sep 19, 2023
|
|
| 1395 files on 14 page(s) |
1 |
 |
 |
 |
 |
 |
 |
 |
 |
 |
|