Last additions - Retinal Vascular Disease associated with Systemic Disease
|

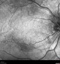
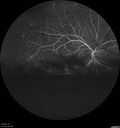
Valsalva Retinopathy - Macular Hemorrhage - Permanent Vision loss - Intraretinal Blood358 views65 year old man with sudden vision loss in the right eye. Initial vision 20/200. VA improved to 20/50 in one year. Had carotid stenosisFeb 11, 2020
|
|

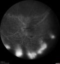
Grade 4 hypertensive retinopathy444 views55 year old man Hhe did have headaches a few weeks ago and also some nausea and vomiting. He noticed for a few weeks the vision in the left eye was blurred and that the vision in the left eye is dark.
VA OD: Dcc20/20
VA OS: Dcc20/100-1
He was admitted directly to ICU for blood pressure control (290 / 170 mmHg)
3 weeks later his VA increased to 20/20 OD, 20/32 OSJan 29, 2019
|
|

Grade 4 hypertensive retinopathy456 views55 year old man Hhe did have headaches a few weeks ago and also some nausea and vomiting. He noticed for a few weeks the vision in the left eye was blurred and that the vision in the left eye is dark.
VA OD: Dcc20/20
VA OS: Dcc20/100-1
He was admitted directly to ICU for blood pressure control (290 / 170 mmHg)
3 weeks later his VA increased to 20/20 OD, 20/32 OSJan 29, 2019
|
|

Grade 4 hypertensive retinopathy452 views55 year old man Hhe did have headaches a few weeks ago and also some nausea and vomiting. He noticed for a few weeks the vision in the left eye was blurred and that the vision in the left eye is dark.
VA OD: Dcc20/20
VA OS: Dcc20/100-1
He was admitted directly to ICU for blood pressure control (290 / 170 mmHg)
3 weeks later his VA increased to 20/20 OD, 20/32 OSJan 29, 2019
|
|

Grade 4 hypertensive retinopathy485 views55 year old man Hhe did have headaches a few weeks ago and also some nausea and vomiting. He noticed for a few weeks the vision in the left eye was blurred and that the vision in the left eye is dark.
VA OD: Dcc20/20
VA OS: Dcc20/100-1
He was admitted directly to ICU for blood pressure control (290 / 170 mmHg)
3 weeks later his VA increased to 20/20 OD, 20/32 OSJan 29, 2019
|
|

Grade 4 hypertensive retinopathy388 views55 year old man Hhe did have headaches a few weeks ago and also some nausea and vomiting. He noticed for a few weeks the vision in the left eye was blurred and that the vision in the left eye is dark.
VA OD: Dcc20/20
VA OS: Dcc20/100-1
He was admitted directly to ICU for blood pressure control (290 / 170 mmHg)
3 weeks later his VA increased to 20/20 OD, 20/32 OSJan 29, 2019
|
|

Grade 4 hypertensive retinopathy427 views55 year old man Hhe did have headaches a few weeks ago and also some nausea and vomiting. He noticed for a few weeks the vision in the left eye was blurred and that the vision in the left eye is dark.
VA OD: Dcc20/20
VA OS: Dcc20/100-1
He was admitted directly to ICU for blood pressure control (290 / 170 mmHg)
3 weeks later his VA increased to 20/20 OD, 20/32 OSJan 29, 2019
|
|

Grade 4 hypertensive retinopathy434 views55 year old man Hhe did have headaches a few weeks ago and also some nausea and vomiting. He noticed for a few weeks the vision in the left eye was blurred and that the vision in the left eye is dark.
VA OD: Dcc20/20
VA OS: Dcc20/100-1
He was admitted directly to ICU for blood pressure control (290 / 170 mmHg)
3 weeks later his VA increased to 20/20 OD, 20/32 OSJan 29, 2019
|
|

Grade 4 hypertensive retinopathy386 views55 year old man Hhe did have headaches a few weeks ago and also some nausea and vomiting. He noticed for a few weeks the vision in the left eye was blurred and that the vision in the left eye is dark.
VA OD: Dcc20/20
VA OS: Dcc20/100-1
He was admitted directly to ICU for blood pressure control (290 / 170 mmHg)
3 weeks later his VA increased to 20/20 OD, 20/32 OSJan 29, 2019
|
|

Grade 4 hypertensive retinopathy418 views55 year old man Hhe did have headaches a few weeks ago and also some nausea and vomiting. He noticed for a few weeks the vision in the left eye was blurred and that the vision in the left eye is dark.
VA OD: Dcc20/20
VA OS: Dcc20/100-1
He was admitted directly to ICU for blood pressure control (290 / 170 mmHg)
3 weeks later his VA increased to 20/20 OD, 20/32 OSJan 29, 2019
|
|

Grade 4 hypertensive retinopathy430 views55 year old man Hhe did have headaches a few weeks ago and also some nausea and vomiting. He noticed for a few weeks the vision in the left eye was blurred and that the vision in the left eye is dark.
VA OD: Dcc20/20
VA OS: Dcc20/100-1
He was admitted directly to ICU for blood pressure control (290 / 170 mmHg)
3 weeks later his VA increased to 20/20 OD, 20/32 OSJan 29, 2019
|
|

Grade 4 hypertensive retinopathy401 views55 year old man Hhe did have headaches a few weeks ago and also some nausea and vomiting. He noticed for a few weeks the vision in the left eye was blurred and that the vision in the left eye is dark.
VA OD: Dcc20/20
VA OS: Dcc20/100-1
He was admitted directly to ICU for blood pressure control (290 / 170 mmHg)
3 weeks later his VA increased to 20/20 OD, 20/32 OSJan 29, 2019
|
|

Grade 4 hypertensive retinopathy514 views55 year old man Hhe did have headaches a few weeks ago and also some nausea and vomiting. He noticed for a few weeks the vision in the left eye was blurred and that the vision in the left eye is dark.
VA OD: Dcc20/20
VA OS: Dcc20/100-1
He was admitted directly to ICU for blood pressure control (290 / 170 mmHg)
3 weeks later his VA increased to 20/20 OD, 20/32 OSJan 29, 2019
|
|

Grade 4 hypertensive retinopathy530 views55 year old man Hhe did have headaches a few weeks ago and also some nausea and vomiting. He noticed for a few weeks the vision in the left eye was blurred and that the vision in the left eye is dark.
VA OD: Dcc20/20
VA OS: Dcc20/100-1
He was admitted directly to ICU for blood pressure control (290 / 170 mmHg)
3 weeks later his VA increased to 20/20 OD, 20/32 OSJan 29, 2019
|
|

Grade 4 hypertensive retinopathy489 views55 year old man Hhe did have headaches a few weeks ago and also some nausea and vomiting. He noticed for a few weeks the vision in the left eye was blurred and that the vision in the left eye is dark.
VA OD: Dcc20/20
VA OS: Dcc20/100-1
He was admitted directly to ICU for blood pressure control (290 / 170 mmHg)
3 weeks later his VA increased to 20/20 OD, 20/32 OSJan 29, 2019
|
|

Grade 4 hypertensive retinopathy426 views55 year old man Hhe did have headaches a few weeks ago and also some nausea and vomiting. He noticed for a few weeks the vision in the left eye was blurred and that the vision in the left eye is dark.
VA OD: Dcc20/20
VA OS: Dcc20/100-1
He was admitted directly to ICU for blood pressure control (290 / 170 mmHg)
3 weeks later his VA increased to 20/20 OD, 20/32 OSJan 29, 2019
|
|

Grade 4 hypertensive retinopathy538 views55 year old man Hhe did have headaches a few weeks ago and also some nausea and vomiting. He noticed for a few weeks the vision in the left eye was blurred and that the vision in the left eye is dark.
VA OD: Dcc20/20
VA OS: Dcc20/100-1
He was admitted directly to ICU for blood pressure control (290 / 170 mmHg)
3 weeks later his VA increased to 20/20 OD, 20/32 OSJan 29, 2019
|
|

Grade 4 hypertensive retinopathy510 views55 year old man Hhe did have headaches a few weeks ago and also some nausea and vomiting. He noticed for a few weeks the vision in the left eye was blurred and that the vision in the left eye is dark.
VA OD: Dcc20/20
VA OS: Dcc20/100-1
He was admitted directly to ICU for blood pressure control (290 / 170 mmHg)
3 weeks later his VA increased to 20/20 OD, 20/32 OSJan 29, 2019
|
|

Grade 4 hypertensive retinopathy492 views55 year old man Hhe did have headaches a few weeks ago and also some nausea and vomiting. He noticed for a few weeks the vision in the left eye was blurred and that the vision in the left eye is dark.
VA OD: Dcc20/20
VA OS: Dcc20/100-1
He was admitted directly to ICU for blood pressure control (290 / 170 mmHg)
3 weeks later his VA increased to 20/20 OD, 20/32 OSJan 29, 2019
|
|

Grade 4 hypertensive retinopathy445 views55 year old man Hhe did have headaches a few weeks ago and also some nausea and vomiting. He noticed for a few weeks the vision in the left eye was blurred and that the vision in the left eye is dark.
VA OD: Dcc20/20
VA OS: Dcc20/100-1
He was admitted directly to ICU for blood pressure control (290 / 170 mmHg)
3 weeks later his VA increased to 20/20 OD, 20/32 OSJan 29, 2019
|
|

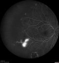
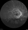
Sickle Retinopathy - Chronic retinal detachment OS - Proliferation OD396 views40 year old with known SC disease. Failed to return 4 years ago for treatment and lost ision in the left eye. Then returned for one visit and refused further treatment.Jan 28, 2019
|
|

Sickle Retinopathy - Chronic retinal detachment OS - Proliferation OD414 views40 year old with known SC disease. Failed to return 4 years ago for treatment and lost ision in the left eye. Then returned for one visit and refused further treatment.Jan 28, 2019
|
|

Sickle Retinopathy - Chronic retinal detachment OS - Proliferation OD407 views40 year old with known SC disease. Failed to return 4 years ago for treatment and lost ision in the left eye. Then returned for one visit and refused further treatment.Jan 28, 2019
|
|

Sickle Retinopathy - Chronic retinal detachment OS - Proliferation OD408 views40 year old with known SC disease. Failed to return 4 years ago for treatment and lost ision in the left eye. Then returned for one visit and refused further treatment.Jan 28, 2019
|
|

Sickle Retinopathy - Chronic retinal detachment OS - Proliferation OD394 views40 year old with known SC disease. Failed to return 4 years ago for treatment and lost ision in the left eye. Then returned for one visit and refused further treatment.Jan 28, 2019
|
|

Sickle Retinopathy - Chronic retinal detachment OS - Proliferation OD348 views40 year old with known SC disease. Failed to return 4 years ago for treatment and lost ision in the left eye. Then returned for one visit and refused further treatment.Jan 28, 2019
|
|

Sickle Retinopathy - Chronic retinal detachment OS - Proliferation OD365 views40 year old with known SC disease. Failed to return 4 years ago for treatment and lost ision in the left eye. Then returned for one visit and refused further treatment.Jan 28, 2019
|
|

Sickle Retinopathy - Chronic retinal detachment OS - Proliferation OD418 views40 year old with known SC disease. Failed to return 4 years ago for treatment and lost ision in the left eye. Then returned for one visit and refused further treatment.Jan 28, 2019
|
|

Sickle Retinopathy - Chronic retinal detachment OS - Proliferation OD406 views40 year old with known SC disease. Failed to return 4 years ago for treatment and lost ision in the left eye. Then returned for one visit and refused further treatment.Jan 28, 2019
|
|

Sickle Retinopathy - Chronic retinal detachment OS - Proliferation OD482 views40 year old with known SC disease. Failed to return 4 years ago for treatment and lost ision in the left eye. Then returned for one visit and refused further treatment.Jan 28, 2019
|
|

Sickle Retinopathy - Chronic retinal detachment OS - Proliferation OD412 views40 year old with known SC disease. Failed to return 4 years ago for treatment and lost ision in the left eye. Then returned for one visit and refused further treatment.Jan 28, 2019
|
|

Sickle Retinopathy - Chronic retinal detachment OS - Proliferation OD384 views40 year old with known SC disease. Failed to return 4 years ago for treatment and lost ision in the left eye. Then returned for one visit and refused further treatment.Jan 28, 2019
|
|

Sickle Retinopathy - Chronic retinal detachment OS - Proliferation OD390 views40 year old with known SC disease. Failed to return 4 years ago for treatment and lost ision in the left eye. Then returned for one visit and refused further treatment.Jan 28, 2019
|
|

Sickle Retinopathy - Chronic retinal detachment OS - Proliferation OD350 views40 year old with known SC disease. Failed to return 4 years ago for treatment and lost ision in the left eye. Then returned for one visit and refused further treatment.Jan 28, 2019
|
|

Sickle Retinopathy - Chronic retinal detachment OS - Proliferation OD360 views40 year old with known SC disease. Failed to return 4 years ago for treatment and lost ision in the left eye. Then returned for one visit and refused further treatment.Jan 28, 2019
|
|

Sickle Retinopathy - Chronic retinal detachment OS - Proliferation OD394 views40 year old with known SC disease. Failed to return 4 years ago for treatment and lost ision in the left eye. Then returned for one visit and refused further treatment.Jan 28, 2019
|
|

Sickle Retinopathy - Chronic retinal detachment OS - Proliferation OD368 views40 year old with known SC disease. Failed to return 4 years ago for treatment and lost ision in the left eye. Then returned for one visit and refused further treatment.Jan 28, 2019
|
|

Sickle Retinopathy - Chronic retinal detachment OS - Proliferation OD376 views40 year old with known SC disease. Failed to return 4 years ago for treatment and lost ision in the left eye. Then returned for one visit and refused further treatment.Jan 28, 2019
|
|

Sickle Retinopathy - Chronic retinal detachment OS - Proliferation OD377 views40 year old with known SC disease. Failed to return 4 years ago for treatment and lost ision in the left eye. Then returned for one visit and refused further treatment.Jan 28, 2019
|
|

Sickle Retinopathy - Chronic retinal detachment OS - Proliferation OD409 views40 year old with known SC disease. Failed to return 4 years ago for treatment and lost ision in the left eye. Then returned for one visit and refused further treatment.Jan 28, 2019
|
|

Sickle Retinopathy - Chronic retinal detachment OS - Proliferation OD394 views40 year old with known SC disease. Failed to return 4 years ago for treatment and lost ision in the left eye. Then returned for one visit and refused further treatment.Jan 28, 2019
|
|

Sickle Retinopathy - Chronic retinal detachment OS - Proliferation OD434 views40 year old with known SC disease. Failed to return 4 years ago for treatment and lost ision in the left eye. Then returned for one visit and refused further treatment.Jan 28, 2019
|
|

Sickle Retinopathy - Chronic retinal detachment OS - Proliferation OD366 views40 year old with known SC disease. Failed to return 4 years ago for treatment and lost ision in the left eye. Then returned for one visit and refused further treatment.Jan 28, 2019
|
|

Sickle Retinopathy - Chronic retinal detachment OS - Proliferation OD441 views40 year old with known SC disease. Failed to return 4 years ago for treatment and lost ision in the left eye. Then returned for one visit and refused further treatment.Jan 28, 2019
|
|

Sickle Retinopathy - Chronic retinal detachment OS - Proliferation OD364 views40 year old with known SC disease. Failed to return 4 years ago for treatment and lost ision in the left eye. Then returned for one visit and refused further treatment.Jan 28, 2019
|
|

Sickle Retinopathy - Chronic retinal detachment OS - Proliferation OD381 views40 year old with known SC disease. Failed to return 4 years ago for treatment and lost ision in the left eye. Then returned for one visit and refused further treatment.Jan 28, 2019
|
|

Sickle Retinopathy - Chronic retinal detachment OS - Proliferation OD337 views40 year old with known SC disease. Failed to return 4 years ago for treatment and lost ision in the left eye. Then returned for one visit and refused further treatment.Jan 28, 2019
|
|

Sickle Retinopathy - Chronic retinal detachment OS - Proliferation OD385 views40 year old with known SC disease. Failed to return 4 years ago for treatment and lost ision in the left eye. Then returned for one visit and refused further treatment.Jan 28, 2019
|
|

Sickle Retinopathy - Chronic retinal detachment OS - Proliferation OD376 views40 year old with known SC disease. Failed to return 4 years ago for treatment and lost ision in the left eye. Then returned for one visit and refused further treatment.Jan 28, 2019
|
|

Sickle Retinopathy - Chronic retinal detachment OS - Proliferation OD376 views40 year old with known SC disease. Failed to return 4 years ago for treatment and lost ision in the left eye. Then returned for one visit and refused further treatment.Jan 28, 2019
|
|

Sickle Retinopathy - Chronic retinal detachment OS - Proliferation OD425 views40 year old with known SC disease. Failed to return 4 years ago for treatment and lost ision in the left eye. Then returned for one visit and refused further treatment.Jan 28, 2019
|
|

Sickle Retinopathy - Chronic retinal detachment OS - Proliferation OD402 views40 year old with known SC disease. Failed to return 4 years ago for treatment and lost ision in the left eye. Then returned for one visit and refused further treatment.Jan 28, 2019
|
|

Sickle Retinopathy - Chronic retinal detachment OS - Proliferation OD395 views40 year old with known SC disease. Failed to return 4 years ago for treatment and lost ision in the left eye. Then returned for one visit and refused further treatment.Jan 28, 2019
|
|

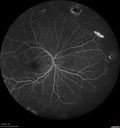
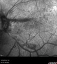
White Retinal Artiole Left eye - Inferotemporal381 views31 year old female with migraines and headaches for the last 12-13 years. Sometimes she gets the visual symptoms with the migraine. When she gets the migraines the pain is on the left side of her head. She gets the problem a few times a month, sometimes more. They usually last 5-6 hours. She has not had a permanent vision change. When she gets a vision change there are spotty dots of blue neon lights in her vision. With her glasses her two eyes are about the same. VA 20/16 in Each EyeJan 03, 2019
|
|

White Retinal Artiole Left eye - Inferotemporal409 views31 year old female with migraines and headaches for the last 12-13 years. Sometimes she gets the visual symptoms with the migraine. When she gets the migraines the pain is on the left side of her head. She gets the problem a few times a month, sometimes more. They usually last 5-6 hours. She has not had a permanent vision change. When she gets a vision change there are spotty dots of blue neon lights in her vision. With her glasses her two eyes are about the same. VA 20/16 in Each EyeJan 03, 2019
|
|

White Retinal Artiole Left eye - Inferotemporal366 views31 year old female with migraines and headaches for the last 12-13 years. Sometimes she gets the visual symptoms with the migraine. When she gets the migraines the pain is on the left side of her head. She gets the problem a few times a month, sometimes more. They usually last 5-6 hours. She has not had a permanent vision change. When she gets a vision change there are spotty dots of blue neon lights in her vision. With her glasses her two eyes are about the same. VA 20/16 in Each EyeJan 03, 2019
|
|

White Retinal Artiole Left eye - Inferotemporal412 views31 year old female with migraines and headaches for the last 12-13 years. Sometimes she gets the visual symptoms with the migraine. When she gets the migraines the pain is on the left side of her head. She gets the problem a few times a month, sometimes more. They usually last 5-6 hours. She has not had a permanent vision change. When she gets a vision change there are spotty dots of blue neon lights in her vision. With her glasses her two eyes are about the same. VA 20/16 in Each EyeJan 03, 2019
|
|

White Retinal Artiole Left eye - Inferotemporal393 views31 year old female with migraines and headaches for the last 12-13 years. Sometimes she gets the visual symptoms with the migraine. When she gets the migraines the pain is on the left side of her head. She gets the problem a few times a month, sometimes more. They usually last 5-6 hours. She has not had a permanent vision change. When she gets a vision change there are spotty dots of blue neon lights in her vision. With her glasses her two eyes are about the same. VA 20/16 in Each EyeJan 03, 2019
|
|

White Retinal Artiole Left eye - Inferotemporal420 views31 year old female with migraines and headaches for the last 12-13 years. Sometimes she gets the visual symptoms with the migraine. When she gets the migraines the pain is on the left side of her head. She gets the problem a few times a month, sometimes more. They usually last 5-6 hours. She has not had a permanent vision change. When she gets a vision change there are spotty dots of blue neon lights in her vision. With her glasses her two eyes are about the same. VA 20/16 in Each EyeJan 03, 2019
|
|

White Retinal Artiole Left eye - Inferotemporal420 views31 year old female with migraines and headaches for the last 12-13 years. Sometimes she gets the visual symptoms with the migraine. When she gets the migraines the pain is on the left side of her head. She gets the problem a few times a month, sometimes more. They usually last 5-6 hours. She has not had a permanent vision change. When she gets a vision change there are spotty dots of blue neon lights in her vision. With her glasses her two eyes are about the same. VA 20/16 in Each EyeJan 03, 2019
|
|

White Retinal Artiole Left eye - Inferotemporal413 views31 year old female with migraines and headaches for the last 12-13 years. Sometimes she gets the visual symptoms with the migraine. When she gets the migraines the pain is on the left side of her head. She gets the problem a few times a month, sometimes more. They usually last 5-6 hours. She has not had a permanent vision change. When she gets a vision change there are spotty dots of blue neon lights in her vision. With her glasses her two eyes are about the same. VA 20/16 in Each EyeJan 03, 2019
|
|

White Retinal Artiole Left eye - Inferotemporal378 views31 year old female with migraines and headaches for the last 12-13 years. Sometimes she gets the visual symptoms with the migraine. When she gets the migraines the pain is on the left side of her head. She gets the problem a few times a month, sometimes more. They usually last 5-6 hours. She has not had a permanent vision change. When she gets a vision change there are spotty dots of blue neon lights in her vision. With her glasses her two eyes are about the same. VA 20/16 in Each EyeJan 03, 2019
|
|

White Retinal Artiole Left eye - Inferotemporal368 views31 year old female with migraines and headaches for the last 12-13 years. Sometimes she gets the visual symptoms with the migraine. When she gets the migraines the pain is on the left side of her head. She gets the problem a few times a month, sometimes more. They usually last 5-6 hours. She has not had a permanent vision change. When she gets a vision change there are spotty dots of blue neon lights in her vision. With her glasses her two eyes are about the same. VA 20/16 in Each EyeJan 03, 2019
|
|

White Retinal Artiole Left eye - Inferotemporal403 views31 year old female with migraines and headaches for the last 12-13 years. Sometimes she gets the visual symptoms with the migraine. When she gets the migraines the pain is on the left side of her head. She gets the problem a few times a month, sometimes more. They usually last 5-6 hours. She has not had a permanent vision change. When she gets a vision change there are spotty dots of blue neon lights in her vision. With her glasses her two eyes are about the same. VA 20/16 in Each EyeJan 03, 2019
|
|

White Retinal Artiole Left eye - Inferotemporal447 views31 year old female with migraines and headaches for the last 12-13 years. Sometimes she gets the visual symptoms with the migraine. When she gets the migraines the pain is on the left side of her head. She gets the problem a few times a month, sometimes more. They usually last 5-6 hours. She has not had a permanent vision change. When she gets a vision change there are spotty dots of blue neon lights in her vision. With her glasses her two eyes are about the same. VA 20/16 in Each EyeJan 03, 2019
|
|

White Retinal Artiole Left eye - Inferotemporal367 views31 year old female with migraines and headaches for the last 12-13 years. Sometimes she gets the visual symptoms with the migraine. When she gets the migraines the pain is on the left side of her head. She gets the problem a few times a month, sometimes more. They usually last 5-6 hours. She has not had a permanent vision change. When she gets a vision change there are spotty dots of blue neon lights in her vision. With her glasses her two eyes are about the same. VA 20/16 in Each EyeJan 03, 2019
|
|

White Retinal Artiole Left eye - Inferotemporal389 views31 year old female with migraines and headaches for the last 12-13 years. Sometimes she gets the visual symptoms with the migraine. When she gets the migraines the pain is on the left side of her head. She gets the problem a few times a month, sometimes more. They usually last 5-6 hours. She has not had a permanent vision change. When she gets a vision change there are spotty dots of blue neon lights in her vision. With her glasses her two eyes are about the same. VA 20/16 in Each EyeJan 03, 2019
|
|

White Retinal Artiole Left eye - Inferotemporal381 views31 year old female with migraines and headaches for the last 12-13 years. Sometimes she gets the visual symptoms with the migraine. When she gets the migraines the pain is on the left side of her head. She gets the problem a few times a month, sometimes more. They usually last 5-6 hours. She has not had a permanent vision change. When she gets a vision change there are spotty dots of blue neon lights in her vision. With her glasses her two eyes are about the same. VA 20/16 in Each EyeJan 03, 2019
|
|

White Retinal Artiole Left eye - Inferotemporal424 views31 year old female with migraines and headaches for the last 12-13 years. Sometimes she gets the visual symptoms with the migraine. When she gets the migraines the pain is on the left side of her head. She gets the problem a few times a month, sometimes more. They usually last 5-6 hours. She has not had a permanent vision change. When she gets a vision change there are spotty dots of blue neon lights in her vision. With her glasses her two eyes are about the same. VA 20/16 in Each EyeJan 03, 2019
|
|

White Retinal Artiole Left eye - Inferotemporal445 views31 year old female with migraines and headaches for the last 12-13 years. Sometimes she gets the visual symptoms with the migraine. When she gets the migraines the pain is on the left side of her head. She gets the problem a few times a month, sometimes more. They usually last 5-6 hours. She has not had a permanent vision change. When she gets a vision change there are spotty dots of blue neon lights in her vision. With her glasses her two eyes are about the same. VA 20/16 in Each EyeJan 03, 2019
|
|

White Retinal Artiole Left eye - Inferotemporal391 views31 year old female with migraines and headaches for the last 12-13 years. Sometimes she gets the visual symptoms with the migraine. When she gets the migraines the pain is on the left side of her head. She gets the problem a few times a month, sometimes more. They usually last 5-6 hours. She has not had a permanent vision change. When she gets a vision change there are spotty dots of blue neon lights in her vision. With her glasses her two eyes are about the same. VA 20/16 in Each EyeJan 03, 2019
|
|

White Retinal Artiole Left eye - Inferotemporal360 views31 year old female with migraines and headaches for the last 12-13 years. Sometimes she gets the visual symptoms with the migraine. When she gets the migraines the pain is on the left side of her head. She gets the problem a few times a month, sometimes more. They usually last 5-6 hours. She has not had a permanent vision change. When she gets a vision change there are spotty dots of blue neon lights in her vision. With her glasses her two eyes are about the same. VA 20/16 in Each EyeJan 03, 2019
|
|

White Retinal Artiole Left eye - Inferotemporal403 views31 year old female with migraines and headaches for the last 12-13 years. Sometimes she gets the visual symptoms with the migraine. When she gets the migraines the pain is on the left side of her head. She gets the problem a few times a month, sometimes more. They usually last 5-6 hours. She has not had a permanent vision change. When she gets a vision change there are spotty dots of blue neon lights in her vision. With her glasses her two eyes are about the same. VA 20/16 in Each EyeJan 03, 2019
|
|

White Retinal Artiole Left eye - Inferotemporal370 views31 year old female with migraines and headaches for the last 12-13 years. Sometimes she gets the visual symptoms with the migraine. When she gets the migraines the pain is on the left side of her head. She gets the problem a few times a month, sometimes more. They usually last 5-6 hours. She has not had a permanent vision change. When she gets a vision change there are spotty dots of blue neon lights in her vision. With her glasses her two eyes are about the same. VA 20/16 in Each EyeJan 03, 2019
|
|

White Retinal Artiole Left eye - Inferotemporal430 views31 year old female with migraines and headaches for the last 12-13 years. Sometimes she gets the visual symptoms with the migraine. When she gets the migraines the pain is on the left side of her head. She gets the problem a few times a month, sometimes more. They usually last 5-6 hours. She has not had a permanent vision change. When she gets a vision change there are spotty dots of blue neon lights in her vision. With her glasses her two eyes are about the same. VA 20/16 in Each EyeJan 03, 2019
|
|

White Retinal Artiole Left eye - Inferotemporal363 views31 year old female with migraines and headaches for the last 12-13 years. Sometimes she gets the visual symptoms with the migraine. When she gets the migraines the pain is on the left side of her head. She gets the problem a few times a month, sometimes more. They usually last 5-6 hours. She has not had a permanent vision change. When she gets a vision change there are spotty dots of blue neon lights in her vision. With her glasses her two eyes are about the same. VA 20/16 in Each EyeJan 03, 2019
|
|

White Retinal Artiole Left eye - Inferotemporal411 views31 year old female with migraines and headaches for the last 12-13 years. Sometimes she gets the visual symptoms with the migraine. When she gets the migraines the pain is on the left side of her head. She gets the problem a few times a month, sometimes more. They usually last 5-6 hours. She has not had a permanent vision change. When she gets a vision change there are spotty dots of blue neon lights in her vision. With her glasses her two eyes are about the same. VA 20/16 in Each EyeJan 03, 2019
|
|

White Retinal Artiole Left eye - Inferotemporal384 views31 year old female with migraines and headaches for the last 12-13 years. Sometimes she gets the visual symptoms with the migraine. When she gets the migraines the pain is on the left side of her head. She gets the problem a few times a month, sometimes more. They usually last 5-6 hours. She has not had a permanent vision change. When she gets a vision change there are spotty dots of blue neon lights in her vision. With her glasses her two eyes are about the same. VA 20/16 in Each EyeJan 03, 2019
|
|

White Retinal Artiole Left eye - Inferotemporal342 views31 year old female with migraines and headaches for the last 12-13 years. Sometimes she gets the visual symptoms with the migraine. When she gets the migraines the pain is on the left side of her head. She gets the problem a few times a month, sometimes more. They usually last 5-6 hours. She has not had a permanent vision change. When she gets a vision change there are spotty dots of blue neon lights in her vision. With her glasses her two eyes are about the same. VA 20/16 in Each EyeJan 03, 2019
|
|

White Retinal Artiole Left eye - Inferotemporal347 views31 year old female with migraines and headaches for the last 12-13 years. Sometimes she gets the visual symptoms with the migraine. When she gets the migraines the pain is on the left side of her head. She gets the problem a few times a month, sometimes more. They usually last 5-6 hours. She has not had a permanent vision change. When she gets a vision change there are spotty dots of blue neon lights in her vision. With her glasses her two eyes are about the same. VA 20/16 in Each EyeJan 03, 2019
|
|

White Retinal Artiole Left eye - Inferotemporal364 views31 year old female with migraines and headaches for the last 12-13 years. Sometimes she gets the visual symptoms with the migraine. When she gets the migraines the pain is on the left side of her head. She gets the problem a few times a month, sometimes more. They usually last 5-6 hours. She has not had a permanent vision change. When she gets a vision change there are spotty dots of blue neon lights in her vision. With her glasses her two eyes are about the same. VA 20/16 in Each EyeJan 03, 2019
|
|

White Retinal Artiole Left eye - Inferotemporal410 views31 year old female with migraines and headaches for the last 12-13 years. Sometimes she gets the visual symptoms with the migraine. When she gets the migraines the pain is on the left side of her head. She gets the problem a few times a month, sometimes more. They usually last 5-6 hours. She has not had a permanent vision change. When she gets a vision change there are spotty dots of blue neon lights in her vision. With her glasses her two eyes are about the same. VA 20/16 in Each EyeJan 03, 2019
|
|

White Retinal Artiole Left eye - Inferotemporal410 views31 year old female with migraines and headaches for the last 12-13 years. Sometimes she gets the visual symptoms with the migraine. When she gets the migraines the pain is on the left side of her head. She gets the problem a few times a month, sometimes more. They usually last 5-6 hours. She has not had a permanent vision change. When she gets a vision change there are spotty dots of blue neon lights in her vision. With her glasses her two eyes are about the same. VA 20/16 in Each EyeJan 03, 2019
|
|

White Retinal Artiole Left eye - Inferotemporal361 views31 year old female with migraines and headaches for the last 12-13 years. Sometimes she gets the visual symptoms with the migraine. When she gets the migraines the pain is on the left side of her head. She gets the problem a few times a month, sometimes more. They usually last 5-6 hours. She has not had a permanent vision change. When she gets a vision change there are spotty dots of blue neon lights in her vision. With her glasses her two eyes are about the same. VA 20/16 in Each EyeJan 03, 2019
|
|

White Retinal Artiole Left eye - Inferotemporal389 views31 year old female with migraines and headaches for the last 12-13 years. Sometimes she gets the visual symptoms with the migraine. When she gets the migraines the pain is on the left side of her head. She gets the problem a few times a month, sometimes more. They usually last 5-6 hours. She has not had a permanent vision change. When she gets a vision change there are spotty dots of blue neon lights in her vision. With her glasses her two eyes are about the same. VA 20/16 in Each EyeJan 03, 2019
|
|

White Retinal Artiole Left eye - Inferotemporal363 views31 year old female with migraines and headaches for the last 12-13 years. Sometimes she gets the visual symptoms with the migraine. When she gets the migraines the pain is on the left side of her head. She gets the problem a few times a month, sometimes more. They usually last 5-6 hours. She has not had a permanent vision change. When she gets a vision change there are spotty dots of blue neon lights in her vision. With her glasses her two eyes are about the same. VA 20/16 in Each EyeJan 03, 2019
|
|

White Retinal Artiole Left eye - Inferotemporal391 views31 year old female with migraines and headaches for the last 12-13 years. Sometimes she gets the visual symptoms with the migraine. When she gets the migraines the pain is on the left side of her head. She gets the problem a few times a month, sometimes more. They usually last 5-6 hours. She has not had a permanent vision change. When she gets a vision change there are spotty dots of blue neon lights in her vision. With her glasses her two eyes are about the same. VA 20/16 in Each EyeJan 03, 2019
|
|

White Retinal Artiole Left eye - Inferotemporal371 views31 year old female with migraines and headaches for the last 12-13 years. Sometimes she gets the visual symptoms with the migraine. When she gets the migraines the pain is on the left side of her head. She gets the problem a few times a month, sometimes more. They usually last 5-6 hours. She has not had a permanent vision change. When she gets a vision change there are spotty dots of blue neon lights in her vision. With her glasses her two eyes are about the same. VA 20/16 in Each EyeJan 03, 2019
|
|

White Retinal Artiole Left eye - Inferotemporal433 views31 year old female with migraines and headaches for the last 12-13 years. Sometimes she gets the visual symptoms with the migraine. When she gets the migraines the pain is on the left side of her head. She gets the problem a few times a month, sometimes more. They usually last 5-6 hours. She has not had a permanent vision change. When she gets a vision change there are spotty dots of blue neon lights in her vision. With her glasses her two eyes are about the same. VA 20/16 in Each EyeJan 03, 2019
|
|

White Retinal Artiole Left eye - Inferotemporal432 views31 year old female with migraines and headaches for the last 12-13 years. Sometimes she gets the visual symptoms with the migraine. When she gets the migraines the pain is on the left side of her head. She gets the problem a few times a month, sometimes more. They usually last 5-6 hours. She has not had a permanent vision change. When she gets a vision change there are spotty dots of blue neon lights in her vision. With her glasses her two eyes are about the same. VA 20/16 in Each EyeJan 03, 2019
|
|

Microaneursyms and Macular Edema Not Diabetic373 views85 year old man has been tested about 2-3 times and is always negative for diabetesDec 20, 2018
|
|

Microaneursyms and Macular Edema Not Diabetic399 views85 year old man has been tested about 2-3 times and is always negative for diabetesDec 20, 2018
|
|

Microaneursyms and Macular Edema Not Diabetic405 views85 year old man has been tested about 2-3 times and is always negative for diabetesDec 20, 2018
|
|

Microaneursyms and Macular Edema Not Diabetic350 views85 year old man has been tested about 2-3 times and is always negative for diabetesDec 20, 2018
|
|

Microaneursyms and Macular Edema Not Diabetic374 views85 year old man has been tested about 2-3 times and is always negative for diabetesDec 20, 2018
|
|

Microaneursyms and Macular Edema Not Diabetic361 views85 year old man has been tested about 2-3 times and is always negative for diabetesDec 20, 2018
|
|

Microaneursyms and Macular Edema Not Diabetic374 views85 year old man has been tested about 2-3 times and is always negative for diabetesDec 20, 2018
|
|

Microaneursyms and Macular Edema Not Diabetic354 views85 year old man has been tested about 2-3 times and is always negative for diabetesDec 20, 2018
|
|

Microaneursyms and Macular Edema Not Diabetic410 views85 year old man has been tested about 2-3 times and is always negative for diabetesDec 20, 2018
|
|

Microaneursyms and Macular Edema Not Diabetic382 views85 year old man has been tested about 2-3 times and is always negative for diabetesDec 20, 2018
|
|
|
|