Last additions - Retinal Vascular Disease associated with Systemic Disease
|

Cotton Wool Spots - Severe Anemia - Acute Lymphocytic Leukemia262 views23 year old just diagnosed with anemia and acute lymphocytic leukemia
: If he covers each eye neither eye is lacking. When he looks to the left he gets double vision when he looks to the right his vision is fine. This started about 2 weeks ago. Since it started it has been variable. He is on a bunch of medications for leukemia and he might be having high sugars. He noticed the vision change after his first blood transfusion in the hospital. He is currently very anemic.
VA OD: sc20/20 NscJ1+
VA OS: sc20/20 NscJ1+Oct 29, 2020
|
|

Cotton Wool Spots - Severe Anemia - Acute Lymphocytic Leukemia295 views23 year old just diagnosed with anemia and acute lymphocytic leukemia
: If he covers each eye neither eye is lacking. When he looks to the left he gets double vision when he looks to the right his vision is fine. This started about 2 weeks ago. Since it started it has been variable. He is on a bunch of medications for leukemia and he might be having high sugars. He noticed the vision change after his first blood transfusion in the hospital. He is currently very anemic.
VA OD: sc20/20 NscJ1+
VA OS: sc20/20 NscJ1+Oct 29, 2020
|
|

Cotton Wool Spots - Severe Anemia - Acute Lymphocytic Leukemia240 views23 year old just diagnosed with anemia and acute lymphocytic leukemia
: If he covers each eye neither eye is lacking. When he looks to the left he gets double vision when he looks to the right his vision is fine. This started about 2 weeks ago. Since it started it has been variable. He is on a bunch of medications for leukemia and he might be having high sugars. He noticed the vision change after his first blood transfusion in the hospital. He is currently very anemic.
VA OD: sc20/20 NscJ1+
VA OS: sc20/20 NscJ1+Oct 29, 2020
|
|

Cotton Wool Spots - Severe Anemia - Acute Lymphocytic Leukemia269 views23 year old just diagnosed with anemia and acute lymphocytic leukemia
: If he covers each eye neither eye is lacking. When he looks to the left he gets double vision when he looks to the right his vision is fine. This started about 2 weeks ago. Since it started it has been variable. He is on a bunch of medications for leukemia and he might be having high sugars. He noticed the vision change after his first blood transfusion in the hospital. He is currently very anemic.
VA OD: sc20/20 NscJ1+
VA OS: sc20/20 NscJ1+Oct 29, 2020
|
|

Cotton Wool Spots - Severe Anemia - Acute Lymphocytic Leukemia301 views23 year old just diagnosed with anemia and acute lymphocytic leukemia
: If he covers each eye neither eye is lacking. When he looks to the left he gets double vision when he looks to the right his vision is fine. This started about 2 weeks ago. Since it started it has been variable. He is on a bunch of medications for leukemia and he might be having high sugars. He noticed the vision change after his first blood transfusion in the hospital. He is currently very anemic.
VA OD: sc20/20 NscJ1+
VA OS: sc20/20 NscJ1+Oct 29, 2020
|
|

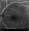
Perifoveal Microaneurysm - Not Diabetic (also reticular pseudodrusen)365 views87 year old female with fluctuating macular edema in the right eye from a perifoveal MA. (no treatment). VA 20/40 OUApr 02, 2020
|
|

Perifoveal Microaneurysm - Not Diabetic (also reticular pseudodrusen)356 views87 year old female with fluctuating macular edema in the right eye from a perifoveal MA. (no treatment). VA 20/40 OUApr 02, 2020
|
|

Perifoveal Microaneurysm - Not Diabetic (also reticular pseudodrusen)359 views87 year old female with fluctuating macular edema in the right eye from a perifoveal MA. (no treatment). VA 20/40 OUApr 02, 2020
|
|

Perifoveal Microaneurysm - Not Diabetic (also reticular pseudodrusen)358 views87 year old female with fluctuating macular edema in the right eye from a perifoveal MA. (no treatment). VA 20/40 OUApr 02, 2020
|
|

Perifoveal Microaneurysm - Not Diabetic (also reticular pseudodrusen)358 views87 year old female with fluctuating macular edema in the right eye from a perifoveal MA. (no treatment). VA 20/40 OUApr 02, 2020
|
|

Perifoveal Microaneurysm - Not Diabetic (also reticular pseudodrusen)373 views87 year old female with fluctuating macular edema in the right eye from a perifoveal MA. (no treatment). VA 20/40 OUApr 02, 2020
|
|

Perifoveal Microaneurysm - Not Diabetic (also reticular pseudodrusen)364 views87 year old female with fluctuating macular edema in the right eye from a perifoveal MA. (no treatment). VA 20/40 OUApr 02, 2020
|
|

Perifoveal Microaneurysm - Not Diabetic (also reticular pseudodrusen)352 views87 year old female with fluctuating macular edema in the right eye from a perifoveal MA. (no treatment). VA 20/40 OUApr 02, 2020
|
|

Perifoveal Microaneurysm - Not Diabetic (also reticular pseudodrusen)348 views87 year old female with fluctuating macular edema in the right eye from a perifoveal MA. (no treatment). VA 20/40 OUApr 02, 2020
|
|

Perifoveal Microaneurysm - Not Diabetic (also reticular pseudodrusen)374 views87 year old female with fluctuating macular edema in the right eye from a perifoveal MA. (no treatment). VA 20/40 OUApr 02, 2020
|
|

Perifoveal Microaneurysm - Not Diabetic (also reticular pseudodrusen)339 views87 year old female with fluctuating macular edema in the right eye from a perifoveal MA. (no treatment). VA 20/40 OUApr 02, 2020
|
|

Perifoveal Microaneurysm - Not Diabetic (also reticular pseudodrusen)361 views87 year old female with fluctuating macular edema in the right eye from a perifoveal MA. (no treatment). VA 20/40 OUApr 02, 2020
|
|

Perifoveal Microaneurysm - Not Diabetic (also reticular pseudodrusen)326 views87 year old female with fluctuating macular edema in the right eye from a perifoveal MA. (no treatment). VA 20/40 OUApr 02, 2020
|
|

Perifoveal Microaneurysm - Not Diabetic (also reticular pseudodrusen)363 views87 year old female with fluctuating macular edema in the right eye from a perifoveal MA. (no treatment). VA 20/40 OUApr 02, 2020
|
|

Perifoveal Microaneurysm - Not Diabetic (also reticular pseudodrusen)362 views87 year old female with fluctuating macular edema in the right eye from a perifoveal MA. (no treatment). VA 20/40 OUApr 02, 2020
|
|

Perifoveal Microaneurysm - Not Diabetic (also reticular pseudodrusen)386 views87 year old female with fluctuating macular edema in the right eye from a perifoveal MA. (no treatment). VA 20/40 OUApr 02, 2020
|
|

Perifoveal Microaneurysm - Not Diabetic (also reticular pseudodrusen)361 views87 year old female with fluctuating macular edema in the right eye from a perifoveal MA. (no treatment). VA 20/40 OUApr 02, 2020
|
|

Perifoveal Microaneurysm - Not Diabetic (also reticular pseudodrusen)411 views87 year old female with fluctuating macular edema in the right eye from a perifoveal MA. (no treatment). VA 20/40 OUApr 02, 2020
|
|

Perifoveal Microaneurysm - Not Diabetic (also reticular pseudodrusen)384 views87 year old female with fluctuating macular edema in the right eye from a perifoveal MA. (no treatment). VA 20/40 OUApr 02, 2020
|
|

Perifoveal Microaneurysm - Not Diabetic (also reticular pseudodrusen)355 views87 year old female with fluctuating macular edema in the right eye from a perifoveal MA. (no treatment). VA 20/40 OUApr 02, 2020
|
|

Perifoveal Microaneurysm - Not Diabetic (also reticular pseudodrusen)369 views87 year old female with fluctuating macular edema in the right eye from a perifoveal MA. (no treatment). VA 20/40 OUApr 02, 2020
|
|

Perifoveal Microaneurysm - Not Diabetic (also reticular pseudodrusen)325 views87 year old female with fluctuating macular edema in the right eye from a perifoveal MA. (no treatment). VA 20/40 OUApr 02, 2020
|
|

Perifoveal Microaneurysm - Not Diabetic (also reticular pseudodrusen)326 views87 year old female with fluctuating macular edema in the right eye from a perifoveal MA. (no treatment). VA 20/40 OUApr 02, 2020
|
|

Perifoveal Microaneurysm - Not Diabetic (also reticular pseudodrusen)387 views87 year old female with fluctuating macular edema in the right eye from a perifoveal MA. (no treatment). VA 20/40 OUApr 02, 2020
|
|

Perifoveal Microaneurysm - Not Diabetic (also reticular pseudodrusen)343 views87 year old female with fluctuating macular edema in the right eye from a perifoveal MA. (no treatment). VA 20/40 OUApr 02, 2020
|
|

Perifoveal Microaneurysm - Not Diabetic (also reticular pseudodrusen)317 views87 year old female with fluctuating macular edema in the right eye from a perifoveal MA. (no treatment). VA 20/40 OUApr 02, 2020
|
|

Perifoveal Microaneurysm - Not Diabetic (also reticular pseudodrusen)355 views87 year old female with fluctuating macular edema in the right eye from a perifoveal MA. (no treatment). VA 20/40 OUApr 02, 2020
|
|

Perifoveal Microaneurysm - Not Diabetic (also reticular pseudodrusen)371 views87 year old female with fluctuating macular edema in the right eye from a perifoveal MA. (no treatment). VA 20/40 OUApr 02, 2020
|
|

Perifoveal Microaneurysm - Not Diabetic (also reticular pseudodrusen)349 views87 year old female with fluctuating macular edema in the right eye from a perifoveal MA. (no treatment). VA 20/40 OUApr 02, 2020
|
|

Perifoveal Microaneurysm - Not Diabetic (also reticular pseudodrusen)385 views87 year old female with fluctuating macular edema in the right eye from a perifoveal MA. (no treatment). VA 20/40 OUApr 02, 2020
|
|

Eales Disease and fresh vitreous hemorrhage - 20 year old man394 views20 year old mane with fresh vitreous hemorrhage in the right eye. At age 15 he had a PPV and laser in the left eye and laser in the right eye. The vision is OD 20/80 PH 20/25, OS 20/25. The left eye has a mild cataract. He had prior testing for coagulopathies which was negative. Testing done for syphillis and TB was negative. Additional laser was done to prevent further bleeding in the right eye.Apr 02, 2020
|
|

Eales Disease and fresh vitreous hemorrhage - 20 year old man394 views20 year old mane with fresh vitreous hemorrhage in the right eye. At age 15 he had a PPV and laser in the left eye and laser in the right eye. The vision is OD 20/80 PH 20/25, OS 20/25. The left eye has a mild cataract. He had prior testing for coagulopathies which was negative. Testing done for syphillis and TB was negative. Additional laser was done to prevent further bleeding in the right eye.Apr 02, 2020
|
|

Eales Disease and fresh vitreous hemorrhage - 20 year old man393 views20 year old mane with fresh vitreous hemorrhage in the right eye. At age 15 he had a PPV and laser in the left eye and laser in the right eye. The vision is OD 20/80 PH 20/25, OS 20/25. The left eye has a mild cataract. He had prior testing for coagulopathies which was negative. Testing done for syphillis and TB was negative. Additional laser was done to prevent further bleeding in the right eye.Apr 02, 2020
|
|

Eales Disease and fresh vitreous hemorrhage - 20 year old man425 views20 year old mane with fresh vitreous hemorrhage in the right eye. At age 15 he had a PPV and laser in the left eye and laser in the right eye. The vision is OD 20/80 PH 20/25, OS 20/25. The left eye has a mild cataract. He had prior testing for coagulopathies which was negative. Testing done for syphillis and TB was negative. Additional laser was done to prevent further bleeding in the right eye.Apr 02, 2020
|
|

Eales Disease and fresh vitreous hemorrhage - 20 year old man391 views20 year old mane with fresh vitreous hemorrhage in the right eye. At age 15 he had a PPV and laser in the left eye and laser in the right eye. The vision is OD 20/80 PH 20/25, OS 20/25. The left eye has a mild cataract. He had prior testing for coagulopathies which was negative. Testing done for syphillis and TB was negative. Additional laser was done to prevent further bleeding in the right eye.Apr 02, 2020
|
|

Eales Disease and fresh vitreous hemorrhage - 20 year old man365 views20 year old mane with fresh vitreous hemorrhage in the right eye. At age 15 he had a PPV and laser in the left eye and laser in the right eye. The vision is OD 20/80 PH 20/25, OS 20/25. The left eye has a mild cataract. He had prior testing for coagulopathies which was negative. Testing done for syphillis and TB was negative. Additional laser was done to prevent further bleeding in the right eye.Apr 02, 2020
|
|

Eales Disease and fresh vitreous hemorrhage - 20 year old man393 views20 year old mane with fresh vitreous hemorrhage in the right eye. At age 15 he had a PPV and laser in the left eye and laser in the right eye. The vision is OD 20/80 PH 20/25, OS 20/25. The left eye has a mild cataract. He had prior testing for coagulopathies which was negative. Testing done for syphillis and TB was negative. Additional laser was done to prevent further bleeding in the right eye.Apr 02, 2020
|
|

Eales Disease and fresh vitreous hemorrhage - 20 year old man406 views20 year old mane with fresh vitreous hemorrhage in the right eye. At age 15 he had a PPV and laser in the left eye and laser in the right eye. The vision is OD 20/80 PH 20/25, OS 20/25. The left eye has a mild cataract. He had prior testing for coagulopathies which was negative. Testing done for syphillis and TB was negative. Additional laser was done to prevent further bleeding in the right eye.Apr 02, 2020
|
|

Eales Disease and fresh vitreous hemorrhage - 20 year old man403 views20 year old mane with fresh vitreous hemorrhage in the right eye. At age 15 he had a PPV and laser in the left eye and laser in the right eye. The vision is OD 20/80 PH 20/25, OS 20/25. The left eye has a mild cataract. He had prior testing for coagulopathies which was negative. Testing done for syphillis and TB was negative. Additional laser was done to prevent further bleeding in the right eye.Apr 02, 2020
|
|

Eales Disease and fresh vitreous hemorrhage - 20 year old man379 views20 year old mane with fresh vitreous hemorrhage in the right eye. At age 15 he had a PPV and laser in the left eye and laser in the right eye. The vision is OD 20/80 PH 20/25, OS 20/25. The left eye has a mild cataract. He had prior testing for coagulopathies which was negative. Testing done for syphillis and TB was negative. Additional laser was done to prevent further bleeding in the right eye.Apr 02, 2020
|
|

Eales Disease and fresh vitreous hemorrhage - 20 year old man449 views20 year old mane with fresh vitreous hemorrhage in the right eye. At age 15 he had a PPV and laser in the left eye and laser in the right eye. The vision is OD 20/80 PH 20/25, OS 20/25. The left eye has a mild cataract. He had prior testing for coagulopathies which was negative. Testing done for syphillis and TB was negative. Additional laser was done to prevent further bleeding in the right eye.Apr 02, 2020
|
|

Eales Disease and fresh vitreous hemorrhage - 20 year old man358 views20 year old mane with fresh vitreous hemorrhage in the right eye. At age 15 he had a PPV and laser in the left eye and laser in the right eye. The vision is OD 20/80 PH 20/25, OS 20/25. The left eye has a mild cataract. He had prior testing for coagulopathies which was negative. Testing done for syphillis and TB was negative. Additional laser was done to prevent further bleeding in the right eye.Apr 02, 2020
|
|

Eales Disease and fresh vitreous hemorrhage - 20 year old man427 views20 year old mane with fresh vitreous hemorrhage in the right eye. At age 15 he had a PPV and laser in the left eye and laser in the right eye. The vision is OD 20/80 PH 20/25, OS 20/25. The left eye has a mild cataract. He had prior testing for coagulopathies which was negative. Testing done for syphillis and TB was negative. Additional laser was done to prevent further bleeding in the right eye.Apr 02, 2020
|
|

Eales Disease and fresh vitreous hemorrhage - 20 year old man377 views20 year old mane with fresh vitreous hemorrhage in the right eye. At age 15 he had a PPV and laser in the left eye and laser in the right eye. The vision is OD 20/80 PH 20/25, OS 20/25. The left eye has a mild cataract. He had prior testing for coagulopathies which was negative. Testing done for syphillis and TB was negative. Additional laser was done to prevent further bleeding in the right eye.Apr 02, 2020
|
|

Eales Disease and fresh vitreous hemorrhage - 20 year old man399 views20 year old mane with fresh vitreous hemorrhage in the right eye. At age 15 he had a PPV and laser in the left eye and laser in the right eye. The vision is OD 20/80 PH 20/25, OS 20/25. The left eye has a mild cataract. He had prior testing for coagulopathies which was negative. Testing done for syphillis and TB was negative. Additional laser was done to prevent further bleeding in the right eye.Apr 02, 2020
|
|

Eales Disease and fresh vitreous hemorrhage - 20 year old man447 views20 year old mane with fresh vitreous hemorrhage in the right eye. At age 15 he had a PPV and laser in the left eye and laser in the right eye. The vision is OD 20/80 PH 20/25, OS 20/25. The left eye has a mild cataract. He had prior testing for coagulopathies which was negative. Testing done for syphillis and TB was negative. Additional laser was done to prevent further bleeding in the right eye.Apr 02, 2020
|
|

Eales Disease and fresh vitreous hemorrhage - 20 year old man353 views20 year old mane with fresh vitreous hemorrhage in the right eye. At age 15 he had a PPV and laser in the left eye and laser in the right eye. The vision is OD 20/80 PH 20/25, OS 20/25. The left eye has a mild cataract. He had prior testing for coagulopathies which was negative. Testing done for syphillis and TB was negative. Additional laser was done to prevent further bleeding in the right eye.Apr 02, 2020
|
|

Eales Disease and fresh vitreous hemorrhage - 20 year old man373 views20 year old mane with fresh vitreous hemorrhage in the right eye. At age 15 he had a PPV and laser in the left eye and laser in the right eye. The vision is OD 20/80 PH 20/25, OS 20/25. The left eye has a mild cataract. He had prior testing for coagulopathies which was negative. Testing done for syphillis and TB was negative. Additional laser was done to prevent further bleeding in the right eye.Apr 02, 2020
|
|

Eales Disease and fresh vitreous hemorrhage - 20 year old man361 views20 year old mane with fresh vitreous hemorrhage in the right eye. At age 15 he had a PPV and laser in the left eye and laser in the right eye. The vision is OD 20/80 PH 20/25, OS 20/25. The left eye has a mild cataract. He had prior testing for coagulopathies which was negative. Testing done for syphillis and TB was negative. Additional laser was done to prevent further bleeding in the right eye.Apr 02, 2020
|
|

Eales Disease and fresh vitreous hemorrhage - 20 year old man351 views20 year old mane with fresh vitreous hemorrhage in the right eye. At age 15 he had a PPV and laser in the left eye and laser in the right eye. The vision is OD 20/80 PH 20/25, OS 20/25. The left eye has a mild cataract. He had prior testing for coagulopathies which was negative. Testing done for syphillis and TB was negative. Additional laser was done to prevent further bleeding in the right eye.Apr 02, 2020
|
|

Eales Disease and fresh vitreous hemorrhage - 20 year old man393 views20 year old mane with fresh vitreous hemorrhage in the right eye. At age 15 he had a PPV and laser in the left eye and laser in the right eye. The vision is OD 20/80 PH 20/25, OS 20/25. The left eye has a mild cataract. He had prior testing for coagulopathies which was negative. Testing done for syphillis and TB was negative. Additional laser was done to prevent further bleeding in the right eye.Apr 02, 2020
|
|

Eales Disease and fresh vitreous hemorrhage - 20 year old man368 views20 year old mane with fresh vitreous hemorrhage in the right eye. At age 15 he had a PPV and laser in the left eye and laser in the right eye. The vision is OD 20/80 PH 20/25, OS 20/25. The left eye has a mild cataract. He had prior testing for coagulopathies which was negative. Testing done for syphillis and TB was negative. Additional laser was done to prevent further bleeding in the right eye.Apr 02, 2020
|
|

Eales Disease and fresh vitreous hemorrhage - 20 year old man339 views20 year old mane with fresh vitreous hemorrhage in the right eye. At age 15 he had a PPV and laser in the left eye and laser in the right eye. The vision is OD 20/80 PH 20/25, OS 20/25. The left eye has a mild cataract. He had prior testing for coagulopathies which was negative. Testing done for syphillis and TB was negative. Additional laser was done to prevent further bleeding in the right eye.Apr 02, 2020
|
|

Eales Disease and fresh vitreous hemorrhage - 20 year old man342 views20 year old mane with fresh vitreous hemorrhage in the right eye. At age 15 he had a PPV and laser in the left eye and laser in the right eye. The vision is OD 20/80 PH 20/25, OS 20/25. The left eye has a mild cataract. He had prior testing for coagulopathies which was negative. Testing done for syphillis and TB was negative. Additional laser was done to prevent further bleeding in the right eye.Apr 02, 2020
|
|

Eales Disease and fresh vitreous hemorrhage - 20 year old man529 views20 year old mane with fresh vitreous hemorrhage in the right eye. At age 15 he had a PPV and laser in the left eye and laser in the right eye. The vision is OD 20/80 PH 20/25, OS 20/25. The left eye has a mild cataract. He had prior testing for coagulopathies which was negative. Testing done for syphillis and TB was negative. Additional laser was done to prevent further bleeding in the right eye.Apr 02, 2020
|
|

Eales Disease and fresh vitreous hemorrhage - 20 year old man471 views20 year old mane with fresh vitreous hemorrhage in the right eye. At age 15 he had a PPV and laser in the left eye and laser in the right eye. The vision is OD 20/80 PH 20/25, OS 20/25. The left eye has a mild cataract. He had prior testing for coagulopathies which was negative. Testing done for syphillis and TB was negative. Additional laser was done to prevent further bleeding in the right eye.Apr 02, 2020
|
|

Eales Disease and fresh vitreous hemorrhage - 20 year old man375 views20 year old mane with fresh vitreous hemorrhage in the right eye. At age 15 he had a PPV and laser in the left eye and laser in the right eye. The vision is OD 20/80 PH 20/25, OS 20/25. The left eye has a mild cataract. He had prior testing for coagulopathies which was negative. Testing done for syphillis and TB was negative. Additional laser was done to prevent further bleeding in the right eye.Apr 02, 2020
|
|

Eales Disease and fresh vitreous hemorrhage - 20 year old man359 views20 year old mane with fresh vitreous hemorrhage in the right eye. At age 15 he had a PPV and laser in the left eye and laser in the right eye. The vision is OD 20/80 PH 20/25, OS 20/25. The left eye has a mild cataract. He had prior testing for coagulopathies which was negative. Testing done for syphillis and TB was negative. Additional laser was done to prevent further bleeding in the right eye.Apr 02, 2020
|
|

Eales Disease and fresh vitreous hemorrhage - 20 year old man412 views20 year old mane with fresh vitreous hemorrhage in the right eye. At age 15 he had a PPV and laser in the left eye and laser in the right eye. The vision is OD 20/80 PH 20/25, OS 20/25. The left eye has a mild cataract. He had prior testing for coagulopathies which was negative. Testing done for syphillis and TB was negative. Additional laser was done to prevent further bleeding in the right eye.Apr 02, 2020
|
|

Valsalva Retinopathy - Macular Hemorrhage - Permanent Vision loss - Intraretinal Blood387 views65 year old man with sudden vision loss in the right eye. Initial vision 20/200. VA improved to 20/50 in one year. Had carotid stenosisFeb 11, 2020
|
|

Valsalva Retinopathy - Macular Hemorrhage - Permanent Vision loss - Intraretinal Blood351 views65 year old man with sudden vision loss in the right eye. Initial vision 20/200. VA improved to 20/50 in one year. Had carotid stenosisFeb 11, 2020
|
|

Valsalva Retinopathy - Macular Hemorrhage - Permanent Vision loss - Intraretinal Blood346 views65 year old man with sudden vision loss in the right eye. Initial vision 20/200. VA improved to 20/50 in one year. Had carotid stenosisFeb 11, 2020
|
|

Valsalva Retinopathy - Macular Hemorrhage - Permanent Vision loss - Intraretinal Blood398 views65 year old man with sudden vision loss in the right eye. Initial vision 20/200. VA improved to 20/50 in one year. Had carotid stenosisFeb 11, 2020
|
|

Valsalva Retinopathy - Macular Hemorrhage - Permanent Vision loss - Intraretinal Blood338 views65 year old man with sudden vision loss in the right eye. Initial vision 20/200. VA improved to 20/50 in one year. Had carotid stenosisFeb 11, 2020
|
|

Valsalva Retinopathy - Macular Hemorrhage - Permanent Vision loss - Intraretinal Blood342 views65 year old man with sudden vision loss in the right eye. Initial vision 20/200. VA improved to 20/50 in one year. Had carotid stenosisFeb 11, 2020
|
|

Valsalva Retinopathy - Macular Hemorrhage - Permanent Vision loss - Intraretinal Blood342 views65 year old man with sudden vision loss in the right eye. Initial vision 20/200. VA improved to 20/50 in one year. Had carotid stenosisFeb 11, 2020
|
|

Valsalva Retinopathy - Macular Hemorrhage - Permanent Vision loss - Intraretinal Blood369 views65 year old man with sudden vision loss in the right eye. Initial vision 20/200. VA improved to 20/50 in one year. Had carotid stenosisFeb 11, 2020
|
|

Valsalva Retinopathy - Macular Hemorrhage - Permanent Vision loss - Intraretinal Blood321 views65 year old man with sudden vision loss in the right eye. Initial vision 20/200. VA improved to 20/50 in one year. Had carotid stenosisFeb 11, 2020
|
|

Valsalva Retinopathy - Macular Hemorrhage - Permanent Vision loss - Intraretinal Blood383 views65 year old man with sudden vision loss in the right eye. Initial vision 20/200. VA improved to 20/50 in one year. Had carotid stenosisFeb 11, 2020
|
|

Valsalva Retinopathy - Macular Hemorrhage - Permanent Vision loss - Intraretinal Blood335 views65 year old man with sudden vision loss in the right eye. Initial vision 20/200. VA improved to 20/50 in one year. Had carotid stenosisFeb 11, 2020
|
|

Valsalva Retinopathy - Macular Hemorrhage - Permanent Vision loss - Intraretinal Blood337 views65 year old man with sudden vision loss in the right eye. Initial vision 20/200. VA improved to 20/50 in one year. Had carotid stenosisFeb 11, 2020
|
|

Valsalva Retinopathy - Macular Hemorrhage - Permanent Vision loss - Intraretinal Blood405 views65 year old man with sudden vision loss in the right eye. Initial vision 20/200. VA improved to 20/50 in one year. Had carotid stenosisFeb 11, 2020
|
|

Valsalva Retinopathy - Macular Hemorrhage - Permanent Vision loss - Intraretinal Blood368 views65 year old man with sudden vision loss in the right eye. Initial vision 20/200. VA improved to 20/50 in one year. Had carotid stenosisFeb 11, 2020
|
|

Valsalva Retinopathy - Macular Hemorrhage - Permanent Vision loss - Intraretinal Blood363 views65 year old man with sudden vision loss in the right eye. Initial vision 20/200. VA improved to 20/50 in one year. Had carotid stenosisFeb 11, 2020
|
|

Valsalva Retinopathy - Macular Hemorrhage - Permanent Vision loss - Intraretinal Blood333 views65 year old man with sudden vision loss in the right eye. Initial vision 20/200. VA improved to 20/50 in one year. Had carotid stenosisFeb 11, 2020
|
|

Valsalva Retinopathy - Macular Hemorrhage - Permanent Vision loss - Intraretinal Blood338 views65 year old man with sudden vision loss in the right eye. Initial vision 20/200. VA improved to 20/50 in one year. Had carotid stenosisFeb 11, 2020
|
|

Valsalva Retinopathy - Macular Hemorrhage - Permanent Vision loss - Intraretinal Blood359 views65 year old man with sudden vision loss in the right eye. Initial vision 20/200. VA improved to 20/50 in one year. Had carotid stenosisFeb 11, 2020
|
|

Valsalva Retinopathy - Macular Hemorrhage - Permanent Vision loss - Intraretinal Blood375 views65 year old man with sudden vision loss in the right eye. Initial vision 20/200. VA improved to 20/50 in one year. Had carotid stenosisFeb 11, 2020
|
|

Valsalva Retinopathy - Macular Hemorrhage - Permanent Vision loss - Intraretinal Blood343 views65 year old man with sudden vision loss in the right eye. Initial vision 20/200. VA improved to 20/50 in one year. Had carotid stenosisFeb 11, 2020
|
|

Valsalva Retinopathy - Macular Hemorrhage - Permanent Vision loss - Intraretinal Blood335 views65 year old man with sudden vision loss in the right eye. Initial vision 20/200. VA improved to 20/50 in one year. Had carotid stenosisFeb 11, 2020
|
|

Valsalva Retinopathy - Macular Hemorrhage - Permanent Vision loss - Intraretinal Blood348 views65 year old man with sudden vision loss in the right eye. Initial vision 20/200. VA improved to 20/50 in one year. Had carotid stenosisFeb 11, 2020
|
|

Valsalva Retinopathy - Macular Hemorrhage - Permanent Vision loss - Intraretinal Blood339 views65 year old man with sudden vision loss in the right eye. Initial vision 20/200. VA improved to 20/50 in one year. Had carotid stenosisFeb 11, 2020
|
|

Valsalva Retinopathy - Macular Hemorrhage - Permanent Vision loss - Intraretinal Blood321 views65 year old man with sudden vision loss in the right eye. Initial vision 20/200. VA improved to 20/50 in one year. Had carotid stenosisFeb 11, 2020
|
|

Valsalva Retinopathy - Macular Hemorrhage - Permanent Vision loss - Intraretinal Blood359 views65 year old man with sudden vision loss in the right eye. Initial vision 20/200. VA improved to 20/50 in one year. Had carotid stenosisFeb 11, 2020
|
|

Valsalva Retinopathy - Macular Hemorrhage - Permanent Vision loss - Intraretinal Blood344 views65 year old man with sudden vision loss in the right eye. Initial vision 20/200. VA improved to 20/50 in one year. Had carotid stenosisFeb 11, 2020
|
|

Valsalva Retinopathy - Macular Hemorrhage - Permanent Vision loss - Intraretinal Blood341 views65 year old man with sudden vision loss in the right eye. Initial vision 20/200. VA improved to 20/50 in one year. Had carotid stenosisFeb 11, 2020
|
|

Valsalva Retinopathy - Macular Hemorrhage - Permanent Vision loss - Intraretinal Blood366 views65 year old man with sudden vision loss in the right eye. Initial vision 20/200. VA improved to 20/50 in one year. Had carotid stenosisFeb 11, 2020
|
|

Valsalva Retinopathy - Macular Hemorrhage - Permanent Vision loss - Intraretinal Blood341 views65 year old man with sudden vision loss in the right eye. Initial vision 20/200. VA improved to 20/50 in one year. Had carotid stenosisFeb 11, 2020
|
|

Valsalva Retinopathy - Macular Hemorrhage - Permanent Vision loss - Intraretinal Blood363 views65 year old man with sudden vision loss in the right eye. Initial vision 20/200. VA improved to 20/50 in one year. Had carotid stenosisFeb 11, 2020
|
|

Valsalva Retinopathy - Macular Hemorrhage - Permanent Vision loss - Intraretinal Blood331 views65 year old man with sudden vision loss in the right eye. Initial vision 20/200. VA improved to 20/50 in one year. Had carotid stenosisFeb 11, 2020
|
|

Valsalva Retinopathy - Macular Hemorrhage - Permanent Vision loss - Intraretinal Blood423 views65 year old man with sudden vision loss in the right eye. Initial vision 20/200. VA improved to 20/50 in one year. Had carotid stenosisFeb 11, 2020
|
|

Valsalva Retinopathy - Macular Hemorrhage - Permanent Vision loss - Intraretinal Blood372 views65 year old man with sudden vision loss in the right eye. Initial vision 20/200. VA improved to 20/50 in one year. Had carotid stenosisFeb 11, 2020
|
|

Valsalva Retinopathy - Macular Hemorrhage - Permanent Vision loss - Intraretinal Blood394 views65 year old man with sudden vision loss in the right eye. Initial vision 20/200. VA improved to 20/50 in one year. Had carotid stenosisFeb 11, 2020
|
|

Valsalva Retinopathy - Macular Hemorrhage - Permanent Vision loss - Intraretinal Blood476 views65 year old man with sudden vision loss in the right eye. Initial vision 20/200. VA improved to 20/50 in one year. Had carotid stenosisFeb 11, 2020
|
|

Valsalva Retinopathy - Macular Hemorrhage - Permanent Vision loss - Intraretinal Blood381 views65 year old man with sudden vision loss in the right eye. Initial vision 20/200. VA improved to 20/50 in one year. Had carotid stenosisFeb 11, 2020
|
|
|
|