Last additions - Retinal Vascular Disease
|

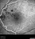
Twig (Macular) Branch Retinal Vein Occlusion with no symptoms217 views73 year old female with 20/25 vision and no symptomsJul 03, 2023
|
|

Twig (Macular) Branch Retinal Vein Occlusion with no symptoms218 views73 year old female with 20/25 vision and no symptomsJul 03, 2023
|
|

Twig (Macular) Branch Retinal Vein Occlusion with no symptoms219 views73 year old female with 20/25 vision and no symptomsJul 03, 2023
|
|

Twig (Macular) Branch Retinal Vein Occlusion with no symptoms191 views73 year old female with 20/25 vision and no symptomsJul 03, 2023
|
|

Twig (Macular) Branch Retinal Vein Occlusion with no symptoms204 views73 year old female with 20/25 vision and no symptomsJul 03, 2023
|
|

Twig (Macular) Branch Retinal Vein Occlusion with no symptoms205 views73 year old female with 20/25 vision and no symptomsJul 03, 2023
|
|

Twig (Macular) Branch Retinal Vein Occlusion with no symptoms197 views73 year old female with 20/25 vision and no symptomsJul 03, 2023
|
|

Twig (Macular) Branch Retinal Vein Occlusion with no symptoms217 views73 year old female with 20/25 vision and no symptomsJul 03, 2023
|
|

Twig (Macular) Branch Retinal Vein Occlusion with no symptoms201 views73 year old female with 20/25 vision and no symptomsJul 03, 2023
|
|

Twig (Macular) Branch Retinal Vein Occlusion with no symptoms198 views73 year old female with 20/25 vision and no symptomsJul 03, 2023
|
|

Twig (Macular) Branch Retinal Vein Occlusion with no symptoms213 views73 year old female with 20/25 vision and no symptomsJul 03, 2023
|
|

Macular ischemia left eye in type I diabetic (enlarged foveal avascular zone)213 views29 year old female with type I diabetes since age 5. Left eye has enlarged FAZ with vision of 20/20 OD and 20/60 OS. Both eyes have CSME. The left eye did have focal laserApr 12, 2023
|
|

Macular ischemia left eye in type I diabetic (enlarged foveal avascular zone)182 views29 year old female with type I diabetes since age 5. Left eye has enlarged FAZ with vision of 20/20 OD and 20/60 OS. Both eyes have CSME. The left eye did have focal laserApr 12, 2023
|
|

Macular ischemia left eye in type I diabetic (enlarged foveal avascular zone)230 views29 year old female with type I diabetes since age 5. Left eye has enlarged FAZ with vision of 20/20 OD and 20/60 OS. Both eyes have CSME. The left eye did have focal laserApr 12, 2023
|
|

Macular ischemia left eye in type I diabetic (enlarged foveal avascular zone)216 views29 year old female with type I diabetes since age 5. Left eye has enlarged FAZ with vision of 20/20 OD and 20/60 OS. Both eyes have CSME. The left eye did have focal laserApr 12, 2023
|
|

Macular ischemia left eye in type I diabetic (enlarged foveal avascular zone)217 views29 year old female with type I diabetes since age 5. Left eye has enlarged FAZ with vision of 20/20 OD and 20/60 OS. Both eyes have CSME. The left eye did have focal laserApr 12, 2023
|
|

Macular ischemia left eye in type I diabetic (enlarged foveal avascular zone)186 views29 year old female with type I diabetes since age 5. Left eye has enlarged FAZ with vision of 20/20 OD and 20/60 OS. Both eyes have CSME. The left eye did have focal laserApr 12, 2023
|
|

Macular ischemia left eye in type I diabetic (enlarged foveal avascular zone)194 views29 year old female with type I diabetes since age 5. Left eye has enlarged FAZ with vision of 20/20 OD and 20/60 OS. Both eyes have CSME. The left eye did have focal laserApr 12, 2023
|
|

Macular ischemia left eye in type I diabetic (enlarged foveal avascular zone)176 views29 year old female with type I diabetes since age 5. Left eye has enlarged FAZ with vision of 20/20 OD and 20/60 OS. Both eyes have CSME. The left eye did have focal laserApr 12, 2023
|
|

Macular ischemia left eye in type I diabetic (enlarged foveal avascular zone)185 views29 year old female with type I diabetes since age 5. Left eye has enlarged FAZ with vision of 20/20 OD and 20/60 OS. Both eyes have CSME. The left eye did have focal laserApr 12, 2023
|
|

Macular ischemia left eye in type I diabetic (enlarged foveal avascular zone)202 views29 year old female with type I diabetes since age 5. Left eye has enlarged FAZ with vision of 20/20 OD and 20/60 OS. Both eyes have CSME. The left eye did have focal laserApr 12, 2023
|
|

Macular ischemia left eye in type I diabetic (enlarged foveal avascular zone)181 views29 year old female with type I diabetes since age 5. Left eye has enlarged FAZ with vision of 20/20 OD and 20/60 OS. Both eyes have CSME. The left eye did have focal laserApr 12, 2023
|
|

Macular ischemia left eye in type I diabetic (enlarged foveal avascular zone)226 views29 year old female with type I diabetes since age 5. Left eye has enlarged FAZ with vision of 20/20 OD and 20/60 OS. Both eyes have CSME. The left eye did have focal laserApr 12, 2023
|
|

Macular ischemia left eye in type I diabetic (enlarged foveal avascular zone)171 views29 year old female with type I diabetes since age 5. Left eye has enlarged FAZ with vision of 20/20 OD and 20/60 OS. Both eyes have CSME. The left eye did have focal laserApr 12, 2023
|
|

Macular ischemia left eye in type I diabetic (enlarged foveal avascular zone)188 views29 year old female with type I diabetes since age 5. Left eye has enlarged FAZ with vision of 20/20 OD and 20/60 OS. Both eyes have CSME. The left eye did have focal laserApr 12, 2023
|
|

Macular ischemia left eye in type I diabetic (enlarged foveal avascular zone)194 views29 year old female with type I diabetes since age 5. Left eye has enlarged FAZ with vision of 20/20 OD and 20/60 OS. Both eyes have CSME. The left eye did have focal laserApr 12, 2023
|
|

Macular ischemia left eye in type I diabetic (enlarged foveal avascular zone)213 views29 year old female with type I diabetes since age 5. Left eye has enlarged FAZ with vision of 20/20 OD and 20/60 OS. Both eyes have CSME. The left eye did have focal laserApr 12, 2023
|
|

Macular ischemia left eye in type I diabetic (enlarged foveal avascular zone)206 views29 year old female with type I diabetes since age 5. Left eye has enlarged FAZ with vision of 20/20 OD and 20/60 OS. Both eyes have CSME. The left eye did have focal laserApr 12, 2023
|
|

Macular ischemia left eye in type I diabetic (enlarged foveal avascular zone)195 views29 year old female with type I diabetes since age 5. Left eye has enlarged FAZ with vision of 20/20 OD and 20/60 OS. Both eyes have CSME. The left eye did have focal laserApr 12, 2023
|
|

Macular ischemia left eye in type I diabetic (enlarged foveal avascular zone)210 views29 year old female with type I diabetes since age 5. Left eye has enlarged FAZ with vision of 20/20 OD and 20/60 OS. Both eyes have CSME. The left eye did have focal laserApr 12, 2023
|
|

Macular ischemia left eye in type I diabetic (enlarged foveal avascular zone)171 views29 year old female with type I diabetes since age 5. Left eye has enlarged FAZ with vision of 20/20 OD and 20/60 OS. Both eyes have CSME. The left eye did have focal laserApr 12, 2023
|
|

Macular ischemia left eye in type I diabetic (enlarged foveal avascular zone)192 views29 year old female with type I diabetes since age 5. Left eye has enlarged FAZ with vision of 20/20 OD and 20/60 OS. Both eyes have CSME. The left eye did have focal laserApr 12, 2023
|
|

Macular ischemia left eye in type I diabetic (enlarged foveal avascular zone)230 views29 year old female with type I diabetes since age 5. Left eye has enlarged FAZ with vision of 20/20 OD and 20/60 OS. Both eyes have CSME. The left eye did have focal laserApr 12, 2023
|
|

Macular ischemia left eye in type I diabetic (enlarged foveal avascular zone)204 views29 year old female with type I diabetes since age 5. Left eye has enlarged FAZ with vision of 20/20 OD and 20/60 OS. Both eyes have CSME. The left eye did have focal laserApr 12, 2023
|
|

Macular ischemia left eye in type I diabetic (enlarged foveal avascular zone)208 views29 year old female with type I diabetes since age 5. Left eye has enlarged FAZ with vision of 20/20 OD and 20/60 OS. Both eyes have CSME. The left eye did have focal laserApr 12, 2023
|
|

Macular ischemia left eye in type I diabetic (enlarged foveal avascular zone)225 views29 year old female with type I diabetes since age 5. Left eye has enlarged FAZ with vision of 20/20 OD and 20/60 OS. Both eyes have CSME. The left eye did have focal laserApr 12, 2023
|
|

BRVO with late onset venous macroaneurysm222 viewsThe vision improved on presentation from 20/160 - 20/32 with Avastin, Then a few years later, he developed a venous Macroaneurysm which was lasered . Avastin shots were then stopped.Mar 19, 2023
|
|

BRVO with late onset venous macroaneurysm193 viewsThe vision improved on presentation from 20/160 - 20/32 with Avastin, Then a few years later, he developed a venous Macroaneurysm which was lasered . Avastin shots were then stopped.Mar 19, 2023
|
|

BRVO with late onset venous macroaneurysm201 viewsThe vision improved on presentation from 20/160 - 20/32 with Avastin, Then a few years later, he developed a venous Macroaneurysm which was lasered . Avastin shots were then stopped.Mar 19, 2023
|
|

BRVO with late onset venous macroaneurysm226 viewsThe vision improved on presentation from 20/160 - 20/32 with Avastin, Then a few years later, he developed a venous Macroaneurysm which was lasered . Avastin shots were then stopped.Mar 19, 2023
|
|

BRVO with late onset venous macroaneurysm239 viewsThe vision improved on presentation from 20/160 - 20/32 with Avastin, Then a few years later, he developed a venous Macroaneurysm which was lasered . Avastin shots were then stopped.Mar 19, 2023
|
|

BRVO with late onset venous macroaneurysm235 viewsThe vision improved on presentation from 20/160 - 20/32 with Avastin, Then a few years later, he developed a venous Macroaneurysm which was lasered . Avastin shots were then stopped.Mar 19, 2023
|
|

BRVO with late onset venous macroaneurysm206 viewsThe vision improved on presentation from 20/160 - 20/32 with Avastin, Then a few years later, he developed a venous Macroaneurysm which was lasered . Avastin shots were then stopped.Mar 19, 2023
|
|

BRVO with late onset venous macroaneurysm208 viewsThe vision improved on presentation from 20/160 - 20/32 with Avastin, Then a few years later, he developed a venous Macroaneurysm which was lasered . Avastin shots were then stopped.Mar 19, 2023
|
|

BRVO with late onset venous macroaneurysm197 viewsThe vision improved on presentation from 20/160 - 20/32 with Avastin, Then a few years later, he developed a venous Macroaneurysm which was lasered . Avastin shots were then stopped.Mar 19, 2023
|
|

BRVO with late onset venous macroaneurysm222 viewsThe vision improved on presentation from 20/160 - 20/32 with Avastin, Then a few years later, he developed a venous Macroaneurysm which was lasered . Avastin shots were then stopped.Mar 19, 2023
|
|

BRVO with late onset venous macroaneurysm216 viewsThe vision improved on presentation from 20/160 - 20/32 with Avastin, Then a few years later, he developed a venous Macroaneurysm which was lasered . Avastin shots were then stopped.Mar 19, 2023
|
|

BRVO with late onset venous macroaneurysm192 viewsThe vision improved on presentation from 20/160 - 20/32 with Avastin, Then a few years later, he developed a venous Macroaneurysm which was lasered . Avastin shots were then stopped.Mar 19, 2023
|
|

BRVO with late onset venous macroaneurysm204 viewsThe vision improved on presentation from 20/160 - 20/32 with Avastin, Then a few years later, he developed a venous Macroaneurysm which was lasered . Avastin shots were then stopped.Mar 19, 2023
|
|

BRVO with late onset venous macroaneurysm235 viewsThe vision improved on presentation from 20/160 - 20/32 with Avastin, Then a few years later, he developed a venous Macroaneurysm which was lasered . Avastin shots were then stopped.Mar 19, 2023
|
|

BRVO with late onset venous macroaneurysm200 viewsThe vision improved on presentation from 20/160 - 20/32 with Avastin, Then a few years later, he developed a venous Macroaneurysm which was lasered . Avastin shots were then stopped.Mar 19, 2023
|
|

BRVO with late onset venous macroaneurysm194 viewsThe vision improved on presentation from 20/160 - 20/32 with Avastin, Then a few years later, he developed a venous Macroaneurysm which was lasered . Avastin shots were then stopped.Mar 19, 2023
|
|

BRVO with late onset venous macroaneurysm211 viewsThe vision improved on presentation from 20/160 - 20/32 with Avastin, Then a few years later, he developed a venous Macroaneurysm which was lasered . Avastin shots were then stopped.Mar 19, 2023
|
|

BRVO with late onset venous macroaneurysm220 viewsThe vision improved on presentation from 20/160 - 20/32 with Avastin, Then a few years later, he developed a venous Macroaneurysm which was lasered . Avastin shots were then stopped.Mar 19, 2023
|
|

BRVO with late onset venous macroaneurysm224 viewsThe vision improved on presentation from 20/160 - 20/32 with Avastin, Then a few years later, he developed a venous Macroaneurysm which was lasered . Avastin shots were then stopped.Mar 19, 2023
|
|

BRVO with late onset venous macroaneurysm246 viewsThe vision improved on presentation from 20/160 - 20/32 with Avastin, Then a few years later, he developed a venous Macroaneurysm which was lasered . Avastin shots were then stopped.Mar 19, 2023
|
|

BRVO with late onset venous macroaneurysm210 viewsThe vision improved on presentation from 20/160 - 20/32 with Avastin, Then a few years later, he developed a venous Macroaneurysm which was lasered . Avastin shots were then stopped.Mar 19, 2023
|
|

BRVO with late onset venous macroaneurysm222 viewsThe vision improved on presentation from 20/160 - 20/32 with Avastin, Then a few years later, he developed a venous Macroaneurysm which was lasered . Avastin shots were then stopped.Mar 19, 2023
|
|

BRVO with late onset venous macroaneurysm215 viewsThe vision improved on presentation from 20/160 - 20/32 with Avastin, Then a few years later, he developed a venous Macroaneurysm which was lasered . Avastin shots were then stopped.Mar 19, 2023
|
|

BRVO with late onset venous macroaneurysm200 viewsThe vision improved on presentation from 20/160 - 20/32 with Avastin, Then a few years later, he developed a venous Macroaneurysm which was lasered . Avastin shots were then stopped.Mar 19, 2023
|
|

BRVO with late onset venous macroaneurysm223 viewsThe vision improved on presentation from 20/160 - 20/32 with Avastin, Then a few years later, he developed a venous Macroaneurysm which was lasered . Avastin shots were then stopped.Mar 19, 2023
|
|

BRVO with late onset venous macroaneurysm224 viewsThe vision improved on presentation from 20/160 - 20/32 with Avastin, Then a few years later, he developed a venous Macroaneurysm which was lasered . Avastin shots were then stopped.Mar 19, 2023
|
|

BRVO with late onset venous macroaneurysm225 viewsThe vision improved on presentation from 20/160 - 20/32 with Avastin, Then a few years later, he developed a venous Macroaneurysm which was lasered . Avastin shots were then stopped.Mar 19, 2023
|
|

BRVO with late onset venous macroaneurysm236 viewsThe vision improved on presentation from 20/160 - 20/32 with Avastin, Then a few years later, he developed a venous Macroaneurysm which was lasered . Avastin shots were then stopped.Mar 19, 2023
|
|

BRVO with late onset venous macroaneurysm203 viewsThe vision improved on presentation from 20/160 - 20/32 with Avastin, Then a few years later, he developed a venous Macroaneurysm which was lasered . Avastin shots were then stopped.Mar 19, 2023
|
|

BRVO with late onset venous macroaneurysm218 viewsThe vision improved on presentation from 20/160 - 20/32 with Avastin, Then a few years later, he developed a venous Macroaneurysm which was lasered . Avastin shots were then stopped.Mar 19, 2023
|
|

BRVO with late onset venous macroaneurysm224 viewsThe vision improved on presentation from 20/160 - 20/32 with Avastin, Then a few years later, he developed a venous Macroaneurysm which was lasered . Avastin shots were then stopped.Mar 19, 2023
|
|

BRVO with late onset venous macroaneurysm226 viewsThe vision improved on presentation from 20/160 - 20/32 with Avastin, Then a few years later, he developed a venous Macroaneurysm which was lasered . Avastin shots were then stopped.Mar 19, 2023
|
|

BRVO with late onset venous macroaneurysm220 viewsThe vision improved on presentation from 20/160 - 20/32 with Avastin, Then a few years later, he developed a venous Macroaneurysm which was lasered . Avastin shots were then stopped.Mar 19, 2023
|
|

BRVO with late onset venous macroaneurysm235 viewsThe vision improved on presentation from 20/160 - 20/32 with Avastin, Then a few years later, he developed a venous Macroaneurysm which was lasered . Avastin shots were then stopped.Mar 19, 2023
|
|

BRVO with late onset venous macroaneurysm216 viewsThe vision improved on presentation from 20/160 - 20/32 with Avastin, Then a few years later, he developed a venous Macroaneurysm which was lasered . Avastin shots were then stopped.Mar 19, 2023
|
|

BRVO with late onset venous macroaneurysm220 viewsThe vision improved on presentation from 20/160 - 20/32 with Avastin, Then a few years later, he developed a venous Macroaneurysm which was lasered . Avastin shots were then stopped.Mar 19, 2023
|
|

BRVO with late onset venous macroaneurysm203 viewsThe vision improved on presentation from 20/160 - 20/32 with Avastin, Then a few years later, he developed a venous Macroaneurysm which was lasered . Avastin shots were then stopped.Mar 19, 2023
|
|

Ocular Ischemia from 100 percent right carotid occlusion207 views77 year old female the vision in the right eye got much worse. She has recently been getting more severe headaches. Her vision is now blank. She went to her old GP in Wisconsin who said it might be sinus pressure. Her chiropractor did an adjustment and the chiropractor checked the patient eyes and told her to go to the eye doctor. She has been feeling pressure around her eye since the air flight.
Specialty Meds (Initial): systane prn OU. Plavix, Combivent, ASA 325, Vitamin E, Zinc.
PSH – Carotid surgery in 2000 (20 years ago), Stent 11/2022, Mastectomy 2000.
VA OD: DccCF 3ft (eccentric) NccUnable
VA OS: Dcc20/25 NccJ1
IOP: TP: OD:18 OS:16
Psuedophakic OU
Right eye had rubeosis on the pupil margin and not in the angle
Further testing showed 100 percent occlusion of the right carotid artery. The left carotid artery was stented.Mar 19, 2023
|
|

Ocular Ischemia from 100 percent right carotid occlusion214 views77 year old female the vision in the right eye got much worse. She has recently been getting more severe headaches. Her vision is now blank. She went to her old GP in Wisconsin who said it might be sinus pressure. Her chiropractor did an adjustment and the chiropractor checked the patient eyes and told her to go to the eye doctor. She has been feeling pressure around her eye since the air flight.
Specialty Meds (Initial): systane prn OU. Plavix, Combivent, ASA 325, Vitamin E, Zinc.
PSH – Carotid surgery in 2000 (20 years ago), Stent 11/2022, Mastectomy 2000.
VA OD: DccCF 3ft (eccentric) NccUnable
VA OS: Dcc20/25 NccJ1
IOP: TP: OD:18 OS:16
Psuedophakic OU
Right eye had rubeosis on the pupil margin and not in the angle
Further testing showed 100 percent occlusion of the right carotid artery. The left carotid artery was stented.Mar 19, 2023
|
|

Ocular Ischemia from 100 percent right carotid occlusion227 views77 year old female the vision in the right eye got much worse. She has recently been getting more severe headaches. Her vision is now blank. She went to her old GP in Wisconsin who said it might be sinus pressure. Her chiropractor did an adjustment and the chiropractor checked the patient eyes and told her to go to the eye doctor. She has been feeling pressure around her eye since the air flight.
Specialty Meds (Initial): systane prn OU. Plavix, Combivent, ASA 325, Vitamin E, Zinc.
PSH – Carotid surgery in 2000 (20 years ago), Stent 11/2022, Mastectomy 2000.
VA OD: DccCF 3ft (eccentric) NccUnable
VA OS: Dcc20/25 NccJ1
IOP: TP: OD:18 OS:16
Psuedophakic OU
Right eye had rubeosis on the pupil margin and not in the angle
Further testing showed 100 percent occlusion of the right carotid artery. The left carotid artery was stented.Mar 19, 2023
|
|

Ocular Ischemia from 100 percent right carotid occlusion218 views77 year old female the vision in the right eye got much worse. She has recently been getting more severe headaches. Her vision is now blank. She went to her old GP in Wisconsin who said it might be sinus pressure. Her chiropractor did an adjustment and the chiropractor checked the patient eyes and told her to go to the eye doctor. She has been feeling pressure around her eye since the air flight.
Specialty Meds (Initial): systane prn OU. Plavix, Combivent, ASA 325, Vitamin E, Zinc.
PSH – Carotid surgery in 2000 (20 years ago), Stent 11/2022, Mastectomy 2000.
VA OD: DccCF 3ft (eccentric) NccUnable
VA OS: Dcc20/25 NccJ1
IOP: TP: OD:18 OS:16
Psuedophakic OU
Right eye had rubeosis on the pupil margin and not in the angle
Further testing showed 100 percent occlusion of the right carotid artery. The left carotid artery was stented.Mar 19, 2023
|
|

Ocular Ischemia from 100 percent right carotid occlusion211 views77 year old female the vision in the right eye got much worse. She has recently been getting more severe headaches. Her vision is now blank. She went to her old GP in Wisconsin who said it might be sinus pressure. Her chiropractor did an adjustment and the chiropractor checked the patient eyes and told her to go to the eye doctor. She has been feeling pressure around her eye since the air flight.
Specialty Meds (Initial): systane prn OU. Plavix, Combivent, ASA 325, Vitamin E, Zinc.
PSH – Carotid surgery in 2000 (20 years ago), Stent 11/2022, Mastectomy 2000.
VA OD: DccCF 3ft (eccentric) NccUnable
VA OS: Dcc20/25 NccJ1
IOP: TP: OD:18 OS:16
Psuedophakic OU
Right eye had rubeosis on the pupil margin and not in the angle
Further testing showed 100 percent occlusion of the right carotid artery. The left carotid artery was stented.Mar 19, 2023
|
|

Ocular Ischemia from 100 percent right carotid occlusion206 views77 year old female the vision in the right eye got much worse. She has recently been getting more severe headaches. Her vision is now blank. She went to her old GP in Wisconsin who said it might be sinus pressure. Her chiropractor did an adjustment and the chiropractor checked the patient eyes and told her to go to the eye doctor. She has been feeling pressure around her eye since the air flight.
Specialty Meds (Initial): systane prn OU. Plavix, Combivent, ASA 325, Vitamin E, Zinc.
PSH – Carotid surgery in 2000 (20 years ago), Stent 11/2022, Mastectomy 2000.
VA OD: DccCF 3ft (eccentric) NccUnable
VA OS: Dcc20/25 NccJ1
IOP: TP: OD:18 OS:16
Psuedophakic OU
Right eye had rubeosis on the pupil margin and not in the angle
Further testing showed 100 percent occlusion of the right carotid artery. The left carotid artery was stented.Mar 19, 2023
|
|

Ocular Ischemia from 100 percent right carotid occlusion215 views77 year old female the vision in the right eye got much worse. She has recently been getting more severe headaches. Her vision is now blank. She went to her old GP in Wisconsin who said it might be sinus pressure. Her chiropractor did an adjustment and the chiropractor checked the patient eyes and told her to go to the eye doctor. She has been feeling pressure around her eye since the air flight.
Specialty Meds (Initial): systane prn OU. Plavix, Combivent, ASA 325, Vitamin E, Zinc.
PSH – Carotid surgery in 2000 (20 years ago), Stent 11/2022, Mastectomy 2000.
VA OD: DccCF 3ft (eccentric) NccUnable
VA OS: Dcc20/25 NccJ1
IOP: TP: OD:18 OS:16
Psuedophakic OU
Right eye had rubeosis on the pupil margin and not in the angle
Further testing showed 100 percent occlusion of the right carotid artery. The left carotid artery was stented.Mar 19, 2023
|
|

Ocular Ischemia from 100 percent right carotid occlusion230 views77 year old female the vision in the right eye got much worse. She has recently been getting more severe headaches. Her vision is now blank. She went to her old GP in Wisconsin who said it might be sinus pressure. Her chiropractor did an adjustment and the chiropractor checked the patient eyes and told her to go to the eye doctor. She has been feeling pressure around her eye since the air flight.
Specialty Meds (Initial): systane prn OU. Plavix, Combivent, ASA 325, Vitamin E, Zinc.
PSH – Carotid surgery in 2000 (20 years ago), Stent 11/2022, Mastectomy 2000.
VA OD: DccCF 3ft (eccentric) NccUnable
VA OS: Dcc20/25 NccJ1
IOP: TP: OD:18 OS:16
Psuedophakic OU
Right eye had rubeosis on the pupil margin and not in the angle
Further testing showed 100 percent occlusion of the right carotid artery. The left carotid artery was stented.Mar 19, 2023
|
|

Ocular Ischemia from 100 percent right carotid occlusion223 views77 year old female the vision in the right eye got much worse. She has recently been getting more severe headaches. Her vision is now blank. She went to her old GP in Wisconsin who said it might be sinus pressure. Her chiropractor did an adjustment and the chiropractor checked the patient eyes and told her to go to the eye doctor. She has been feeling pressure around her eye since the air flight.
Specialty Meds (Initial): systane prn OU. Plavix, Combivent, ASA 325, Vitamin E, Zinc.
PSH – Carotid surgery in 2000 (20 years ago), Stent 11/2022, Mastectomy 2000.
VA OD: DccCF 3ft (eccentric) NccUnable
VA OS: Dcc20/25 NccJ1
IOP: TP: OD:18 OS:16
Psuedophakic OU
Right eye had rubeosis on the pupil margin and not in the angle
Further testing showed 100 percent occlusion of the right carotid artery. The left carotid artery was stented.Mar 19, 2023
|
|

Ocular Ischemia from 100 percent right carotid occlusion199 views77 year old female the vision in the right eye got much worse. She has recently been getting more severe headaches. Her vision is now blank. She went to her old GP in Wisconsin who said it might be sinus pressure. Her chiropractor did an adjustment and the chiropractor checked the patient eyes and told her to go to the eye doctor. She has been feeling pressure around her eye since the air flight.
Specialty Meds (Initial): systane prn OU. Plavix, Combivent, ASA 325, Vitamin E, Zinc.
PSH – Carotid surgery in 2000 (20 years ago), Stent 11/2022, Mastectomy 2000.
VA OD: DccCF 3ft (eccentric) NccUnable
VA OS: Dcc20/25 NccJ1
IOP: TP: OD:18 OS:16
Psuedophakic OU
Right eye had rubeosis on the pupil margin and not in the angle
Further testing showed 100 percent occlusion of the right carotid artery. The left carotid artery was stented.Mar 19, 2023
|
|

Ocular Ischemia from 100 percent right carotid occlusion206 views77 year old female the vision in the right eye got much worse. She has recently been getting more severe headaches. Her vision is now blank. She went to her old GP in Wisconsin who said it might be sinus pressure. Her chiropractor did an adjustment and the chiropractor checked the patient eyes and told her to go to the eye doctor. She has been feeling pressure around her eye since the air flight.
Specialty Meds (Initial): systane prn OU. Plavix, Combivent, ASA 325, Vitamin E, Zinc.
PSH – Carotid surgery in 2000 (20 years ago), Stent 11/2022, Mastectomy 2000.
VA OD: DccCF 3ft (eccentric) NccUnable
VA OS: Dcc20/25 NccJ1
IOP: TP: OD:18 OS:16
Psuedophakic OU
Right eye had rubeosis on the pupil margin and not in the angle
Further testing showed 100 percent occlusion of the right carotid artery. The left carotid artery was stented.Mar 19, 2023
|
|

Ocular Ischemia from 100 percent right carotid occlusion188 views77 year old female the vision in the right eye got much worse. She has recently been getting more severe headaches. Her vision is now blank. She went to her old GP in Wisconsin who said it might be sinus pressure. Her chiropractor did an adjustment and the chiropractor checked the patient eyes and told her to go to the eye doctor. She has been feeling pressure around her eye since the air flight.
Specialty Meds (Initial): systane prn OU. Plavix, Combivent, ASA 325, Vitamin E, Zinc.
PSH – Carotid surgery in 2000 (20 years ago), Stent 11/2022, Mastectomy 2000.
VA OD: DccCF 3ft (eccentric) NccUnable
VA OS: Dcc20/25 NccJ1
IOP: TP: OD:18 OS:16
Psuedophakic OU
Right eye had rubeosis on the pupil margin and not in the angle
Further testing showed 100 percent occlusion of the right carotid artery. The left carotid artery was stented.Mar 19, 2023
|
|

Ocular Ischemia from 100 percent right carotid occlusion187 views77 year old female the vision in the right eye got much worse. She has recently been getting more severe headaches. Her vision is now blank. She went to her old GP in Wisconsin who said it might be sinus pressure. Her chiropractor did an adjustment and the chiropractor checked the patient eyes and told her to go to the eye doctor. She has been feeling pressure around her eye since the air flight.
Specialty Meds (Initial): systane prn OU. Plavix, Combivent, ASA 325, Vitamin E, Zinc.
PSH – Carotid surgery in 2000 (20 years ago), Stent 11/2022, Mastectomy 2000.
VA OD: DccCF 3ft (eccentric) NccUnable
VA OS: Dcc20/25 NccJ1
IOP: TP: OD:18 OS:16
Psuedophakic OU
Right eye had rubeosis on the pupil margin and not in the angle
Further testing showed 100 percent occlusion of the right carotid artery. The left carotid artery was stented.Mar 19, 2023
|
|

Ocular Ischemia from 100 percent right carotid occlusion211 views77 year old female the vision in the right eye got much worse. She has recently been getting more severe headaches. Her vision is now blank. She went to her old GP in Wisconsin who said it might be sinus pressure. Her chiropractor did an adjustment and the chiropractor checked the patient eyes and told her to go to the eye doctor. She has been feeling pressure around her eye since the air flight.
Specialty Meds (Initial): systane prn OU. Plavix, Combivent, ASA 325, Vitamin E, Zinc.
PSH – Carotid surgery in 2000 (20 years ago), Stent 11/2022, Mastectomy 2000.
VA OD: DccCF 3ft (eccentric) NccUnable
VA OS: Dcc20/25 NccJ1
IOP: TP: OD:18 OS:16
Psuedophakic OU
Right eye had rubeosis on the pupil margin and not in the angle
Further testing showed 100 percent occlusion of the right carotid artery. The left carotid artery was stented.Mar 19, 2023
|
|

Ocular Ischemia from 100 percent right carotid occlusion186 views77 year old female the vision in the right eye got much worse. She has recently been getting more severe headaches. Her vision is now blank. She went to her old GP in Wisconsin who said it might be sinus pressure. Her chiropractor did an adjustment and the chiropractor checked the patient eyes and told her to go to the eye doctor. She has been feeling pressure around her eye since the air flight.
Specialty Meds (Initial): systane prn OU. Plavix, Combivent, ASA 325, Vitamin E, Zinc.
PSH – Carotid surgery in 2000 (20 years ago), Stent 11/2022, Mastectomy 2000.
VA OD: DccCF 3ft (eccentric) NccUnable
VA OS: Dcc20/25 NccJ1
IOP: TP: OD:18 OS:16
Psuedophakic OU
Right eye had rubeosis on the pupil margin and not in the angle
Further testing showed 100 percent occlusion of the right carotid artery. The left carotid artery was stented.Mar 19, 2023
|
|

Ocular Ischemia from 100 percent right carotid occlusion187 views77 year old female the vision in the right eye got much worse. She has recently been getting more severe headaches. Her vision is now blank. She went to her old GP in Wisconsin who said it might be sinus pressure. Her chiropractor did an adjustment and the chiropractor checked the patient eyes and told her to go to the eye doctor. She has been feeling pressure around her eye since the air flight.
Specialty Meds (Initial): systane prn OU. Plavix, Combivent, ASA 325, Vitamin E, Zinc.
PSH – Carotid surgery in 2000 (20 years ago), Stent 11/2022, Mastectomy 2000.
VA OD: DccCF 3ft (eccentric) NccUnable
VA OS: Dcc20/25 NccJ1
IOP: TP: OD:18 OS:16
Psuedophakic OU
Right eye had rubeosis on the pupil margin and not in the angle
Further testing showed 100 percent occlusion of the right carotid artery. The left carotid artery was stented.Mar 19, 2023
|
|

Ocular Ischemia from 100 percent right carotid occlusion202 views77 year old female the vision in the right eye got much worse. She has recently been getting more severe headaches. Her vision is now blank. She went to her old GP in Wisconsin who said it might be sinus pressure. Her chiropractor did an adjustment and the chiropractor checked the patient eyes and told her to go to the eye doctor. She has been feeling pressure around her eye since the air flight.
Specialty Meds (Initial): systane prn OU. Plavix, Combivent, ASA 325, Vitamin E, Zinc.
PSH – Carotid surgery in 2000 (20 years ago), Stent 11/2022, Mastectomy 2000.
VA OD: DccCF 3ft (eccentric) NccUnable
VA OS: Dcc20/25 NccJ1
IOP: TP: OD:18 OS:16
Psuedophakic OU
Right eye had rubeosis on the pupil margin and not in the angle
Further testing showed 100 percent occlusion of the right carotid artery. The left carotid artery was stented.Mar 19, 2023
|
|

Ocular Ischemia from 100 percent right carotid occlusion207 views77 year old female the vision in the right eye got much worse. She has recently been getting more severe headaches. Her vision is now blank. She went to her old GP in Wisconsin who said it might be sinus pressure. Her chiropractor did an adjustment and the chiropractor checked the patient eyes and told her to go to the eye doctor. She has been feeling pressure around her eye since the air flight.
Specialty Meds (Initial): systane prn OU. Plavix, Combivent, ASA 325, Vitamin E, Zinc.
PSH – Carotid surgery in 2000 (20 years ago), Stent 11/2022, Mastectomy 2000.
VA OD: DccCF 3ft (eccentric) NccUnable
VA OS: Dcc20/25 NccJ1
IOP: TP: OD:18 OS:16
Psuedophakic OU
Right eye had rubeosis on the pupil margin and not in the angle
Further testing showed 100 percent occlusion of the right carotid artery. The left carotid artery was stented.Mar 19, 2023
|
|

Ocular Ischemia from 100 percent right carotid occlusion205 views77 year old female the vision in the right eye got much worse. She has recently been getting more severe headaches. Her vision is now blank. She went to her old GP in Wisconsin who said it might be sinus pressure. Her chiropractor did an adjustment and the chiropractor checked the patient eyes and told her to go to the eye doctor. She has been feeling pressure around her eye since the air flight.
Specialty Meds (Initial): systane prn OU. Plavix, Combivent, ASA 325, Vitamin E, Zinc.
PSH – Carotid surgery in 2000 (20 years ago), Stent 11/2022, Mastectomy 2000.
VA OD: DccCF 3ft (eccentric) NccUnable
VA OS: Dcc20/25 NccJ1
IOP: TP: OD:18 OS:16
Psuedophakic OU
Right eye had rubeosis on the pupil margin and not in the angle
Further testing showed 100 percent occlusion of the right carotid artery. The left carotid artery was stented.Mar 19, 2023
|
|

Ocular Ischemia from 100 percent right carotid occlusion188 views77 year old female the vision in the right eye got much worse. She has recently been getting more severe headaches. Her vision is now blank. She went to her old GP in Wisconsin who said it might be sinus pressure. Her chiropractor did an adjustment and the chiropractor checked the patient eyes and told her to go to the eye doctor. She has been feeling pressure around her eye since the air flight.
Specialty Meds (Initial): systane prn OU. Plavix, Combivent, ASA 325, Vitamin E, Zinc.
PSH – Carotid surgery in 2000 (20 years ago), Stent 11/2022, Mastectomy 2000.
VA OD: DccCF 3ft (eccentric) NccUnable
VA OS: Dcc20/25 NccJ1
IOP: TP: OD:18 OS:16
Psuedophakic OU
Right eye had rubeosis on the pupil margin and not in the angle
Further testing showed 100 percent occlusion of the right carotid artery. The left carotid artery was stented.Mar 19, 2023
|
|

Ocular Ischemia from 100 percent right carotid occlusion207 views77 year old female the vision in the right eye got much worse. She has recently been getting more severe headaches. Her vision is now blank. She went to her old GP in Wisconsin who said it might be sinus pressure. Her chiropractor did an adjustment and the chiropractor checked the patient eyes and told her to go to the eye doctor. She has been feeling pressure around her eye since the air flight.
Specialty Meds (Initial): systane prn OU. Plavix, Combivent, ASA 325, Vitamin E, Zinc.
PSH – Carotid surgery in 2000 (20 years ago), Stent 11/2022, Mastectomy 2000.
VA OD: DccCF 3ft (eccentric) NccUnable
VA OS: Dcc20/25 NccJ1
IOP: TP: OD:18 OS:16
Psuedophakic OU
Right eye had rubeosis on the pupil margin and not in the angle
Further testing showed 100 percent occlusion of the right carotid artery. The left carotid artery was stented.Mar 19, 2023
|
|

Ocular Ischemia from 100 percent right carotid occlusion210 views77 year old female the vision in the right eye got much worse. She has recently been getting more severe headaches. Her vision is now blank. She went to her old GP in Wisconsin who said it might be sinus pressure. Her chiropractor did an adjustment and the chiropractor checked the patient eyes and told her to go to the eye doctor. She has been feeling pressure around her eye since the air flight.
Specialty Meds (Initial): systane prn OU. Plavix, Combivent, ASA 325, Vitamin E, Zinc.
PSH – Carotid surgery in 2000 (20 years ago), Stent 11/2022, Mastectomy 2000.
VA OD: DccCF 3ft (eccentric) NccUnable
VA OS: Dcc20/25 NccJ1
IOP: TP: OD:18 OS:16
Psuedophakic OU
Right eye had rubeosis on the pupil margin and not in the angle
Further testing showed 100 percent occlusion of the right carotid artery. The left carotid artery was stented.Mar 19, 2023
|
|

Branch Retinal Vein Occlusion - Foveal Ischemia Neovascularization Non perfusion215 views38 year old patient with a BRVO who had PRP laser for vitreous hemorrhage. Vision remained 20/160 from foveal ischemiaFeb 24, 2023
|
|

Branch Retinal Vein Occlusion - Foveal Ischemia Neovascularization Non perfusion222 views38 year old patient with a BRVO who had PRP laser for vitreous hemorrhage. Vision remained 20/160 from foveal ischemiaFeb 24, 2023
|
|

Branch Retinal Vein Occlusion - Foveal Ischemia Neovascularization Non perfusion235 views38 year old patient with a BRVO who had PRP laser for vitreous hemorrhage. Vision remained 20/160 from foveal ischemiaFeb 24, 2023
|
|

Branch Retinal Vein Occlusion - Foveal Ischemia Neovascularization Non perfusion236 views38 year old patient with a BRVO who had PRP laser for vitreous hemorrhage. Vision remained 20/160 from foveal ischemiaFeb 24, 2023
|
|

Branch Retinal Vein Occlusion - Foveal Ischemia Neovascularization Non perfusion209 views38 year old patient with a BRVO who had PRP laser for vitreous hemorrhage. Vision remained 20/160 from foveal ischemiaFeb 24, 2023
|
|
| 4332 files on 44 page(s) |
 |
 |
 |
 |
6 |  |
 |
 |
 |
 |
|