Last additions - Retinal Vascular Disease
|

Elevated Episcleral Venous Pressure and Retinal Hemorrhages in both eyes284 views78 year old female with chronic red eye. The eyes are red all the time now. She is on Xeralto because of a history of blood clots in her lungs (2005 about). She has not had problems since. She has had floaters for many years. Ever since her eyes got funny she sees more floaters in both eyes. She had a brain scan over 6 months ago which was OK. She also had double vision when this first started which went away. She could not drive for a few months.
VA OD: Dcc20/32-1
VA OS: Dcc20/125
IOP: TP: OD:17 OS:16
Neuroimaging did not show a CC fistulaJul 13, 2021
|
|

Elevated Episcleral Venous Pressure and Retinal Hemorrhages in both eyes293 views78 year old female with chronic red eye. The eyes are red all the time now. She is on Xeralto because of a history of blood clots in her lungs (2005 about). She has not had problems since. She has had floaters for many years. Ever since her eyes got funny she sees more floaters in both eyes. She had a brain scan over 6 months ago which was OK. She also had double vision when this first started which went away. She could not drive for a few months.
VA OD: Dcc20/32-1
VA OS: Dcc20/125
IOP: TP: OD:17 OS:16
Neuroimaging did not show a CC fistulaJul 13, 2021
|
|

Elevated Episcleral Venous Pressure and Retinal Hemorrhages in both eyes273 views78 year old female with chronic red eye. The eyes are red all the time now. She is on Xeralto because of a history of blood clots in her lungs (2005 about). She has not had problems since. She has had floaters for many years. Ever since her eyes got funny she sees more floaters in both eyes. She had a brain scan over 6 months ago which was OK. She also had double vision when this first started which went away. She could not drive for a few months.
VA OD: Dcc20/32-1
VA OS: Dcc20/125
IOP: TP: OD:17 OS:16
Neuroimaging did not show a CC fistulaJul 13, 2021
|
|

Elevated Episcleral Venous Pressure and Retinal Hemorrhages in both eyes260 views78 year old female with chronic red eye. The eyes are red all the time now. She is on Xeralto because of a history of blood clots in her lungs (2005 about). She has not had problems since. She has had floaters for many years. Ever since her eyes got funny she sees more floaters in both eyes. She had a brain scan over 6 months ago which was OK. She also had double vision when this first started which went away. She could not drive for a few months.
VA OD: Dcc20/32-1
VA OS: Dcc20/125
IOP: TP: OD:17 OS:16
Neuroimaging did not show a CC fistulaJul 13, 2021
|
|

Elevated Episcleral Venous Pressure and Retinal Hemorrhages in both eyes253 views78 year old female with chronic red eye. The eyes are red all the time now. She is on Xeralto because of a history of blood clots in her lungs (2005 about). She has not had problems since. She has had floaters for many years. Ever since her eyes got funny she sees more floaters in both eyes. She had a brain scan over 6 months ago which was OK. She also had double vision when this first started which went away. She could not drive for a few months.
VA OD: Dcc20/32-1
VA OS: Dcc20/125
IOP: TP: OD:17 OS:16
Neuroimaging did not show a CC fistulaJul 13, 2021
|
|

Elevated Episcleral Venous Pressure and Retinal Hemorrhages in both eyes278 views78 year old female with chronic red eye. The eyes are red all the time now. She is on Xeralto because of a history of blood clots in her lungs (2005 about). She has not had problems since. She has had floaters for many years. Ever since her eyes got funny she sees more floaters in both eyes. She had a brain scan over 6 months ago which was OK. She also had double vision when this first started which went away. She could not drive for a few months.
VA OD: Dcc20/32-1
VA OS: Dcc20/125
IOP: TP: OD:17 OS:16
Neuroimaging did not show a CC fistulaJul 13, 2021
|
|

Elevated Episcleral Venous Pressure and Retinal Hemorrhages in both eyes290 views78 year old female with chronic red eye. The eyes are red all the time now. She is on Xeralto because of a history of blood clots in her lungs (2005 about). She has not had problems since. She has had floaters for many years. Ever since her eyes got funny she sees more floaters in both eyes. She had a brain scan over 6 months ago which was OK. She also had double vision when this first started which went away. She could not drive for a few months.
VA OD: Dcc20/32-1
VA OS: Dcc20/125
IOP: TP: OD:17 OS:16
Neuroimaging did not show a CC fistulaJul 13, 2021
|
|

Elevated Episcleral Venous Pressure and Retinal Hemorrhages in both eyes278 views78 year old female with chronic red eye. The eyes are red all the time now. She is on Xeralto because of a history of blood clots in her lungs (2005 about). She has not had problems since. She has had floaters for many years. Ever since her eyes got funny she sees more floaters in both eyes. She had a brain scan over 6 months ago which was OK. She also had double vision when this first started which went away. She could not drive for a few months.
VA OD: Dcc20/32-1
VA OS: Dcc20/125
IOP: TP: OD:17 OS:16
Neuroimaging did not show a CC fistulaJul 13, 2021
|
|

Branch Retinal Vein Occlusion with Neovascularization Elsewhere and Vitreous Hemorrhage299 views57 year old man New floaters in the left eye about a month ago. Now they are getting better. PMHx A-Fib on Pradaxa
VA 20/32 OD, 20/40 OS
1+ NS OU
BP 137/77, 200LBs, 5’8â€
PRP laser was doneJul 13, 2021
|
|

Branch Retinal Vein Occlusion with Neovascularization Elsewhere and Vitreous Hemorrhage389 views57 year old man New floaters in the left eye about a month ago. Now they are getting better. PMHx A-Fib on Pradaxa
VA 20/32 OD, 20/40 OS
1+ NS OU
BP 137/77, 200LBs, 5’8â€
PRP laser was doneJul 13, 2021
|
|

Branch Retinal Vein Occlusion with Neovascularization Elsewhere and Vitreous Hemorrhage311 views57 year old man New floaters in the left eye about a month ago. Now they are getting better. PMHx A-Fib on Pradaxa
VA 20/32 OD, 20/40 OS
1+ NS OU
BP 137/77, 200LBs, 5’8â€
PRP laser was doneJul 13, 2021
|
|

Branch Retinal Vein Occlusion with Neovascularization Elsewhere and Vitreous Hemorrhage313 views57 year old man New floaters in the left eye about a month ago. Now they are getting better. PMHx A-Fib on Pradaxa
VA 20/32 OD, 20/40 OS
1+ NS OU
BP 137/77, 200LBs, 5’8â€
PRP laser was doneJul 13, 2021
|
|

Branch Retinal Vein Occlusion with Neovascularization Elsewhere and Vitreous Hemorrhage276 views57 year old man New floaters in the left eye about a month ago. Now they are getting better. PMHx A-Fib on Pradaxa
VA 20/32 OD, 20/40 OS
1+ NS OU
BP 137/77, 200LBs, 5’8â€
PRP laser was doneJul 13, 2021
|
|

Branch Retinal Vein Occlusion with Neovascularization Elsewhere and Vitreous Hemorrhage299 views57 year old man New floaters in the left eye about a month ago. Now they are getting better. PMHx A-Fib on Pradaxa
VA 20/32 OD, 20/40 OS
1+ NS OU
BP 137/77, 200LBs, 5’8â€
PRP laser was doneJul 13, 2021
|
|

Branch Retinal Vein Occlusion with Neovascularization Elsewhere and Vitreous Hemorrhage294 views57 year old man New floaters in the left eye about a month ago. Now they are getting better. PMHx A-Fib on Pradaxa
VA 20/32 OD, 20/40 OS
1+ NS OU
BP 137/77, 200LBs, 5’8â€
PRP laser was doneJul 13, 2021
|
|

Branch Retinal Vein Occlusion with Neovascularization Elsewhere and Vitreous Hemorrhage291 views57 year old man New floaters in the left eye about a month ago. Now they are getting better. PMHx A-Fib on Pradaxa
VA 20/32 OD, 20/40 OS
1+ NS OU
BP 137/77, 200LBs, 5’8â€
PRP laser was doneJul 13, 2021
|
|

Branch Retinal Vein Occlusion with Neovascularization Elsewhere and Vitreous Hemorrhage280 views57 year old man New floaters in the left eye about a month ago. Now they are getting better. PMHx A-Fib on Pradaxa
VA 20/32 OD, 20/40 OS
1+ NS OU
BP 137/77, 200LBs, 5’8â€
PRP laser was doneJul 13, 2021
|
|

Branch Retinal Vein Occlusion with Neovascularization Elsewhere and Vitreous Hemorrhage279 views57 year old man New floaters in the left eye about a month ago. Now they are getting better. PMHx A-Fib on Pradaxa
VA 20/32 OD, 20/40 OS
1+ NS OU
BP 137/77, 200LBs, 5’8â€
PRP laser was doneJul 13, 2021
|
|

Branch Retinal Vein Occlusion with Neovascularization Elsewhere and Vitreous Hemorrhage288 views57 year old man New floaters in the left eye about a month ago. Now they are getting better. PMHx A-Fib on Pradaxa
VA 20/32 OD, 20/40 OS
1+ NS OU
BP 137/77, 200LBs, 5’8â€
PRP laser was doneJul 13, 2021
|
|

Branch Retinal Vein Occlusion with Neovascularization Elsewhere and Vitreous Hemorrhage297 views57 year old man New floaters in the left eye about a month ago. Now they are getting better. PMHx A-Fib on Pradaxa
VA 20/32 OD, 20/40 OS
1+ NS OU
BP 137/77, 200LBs, 5’8â€
PRP laser was doneJul 13, 2021
|
|

Branch Retinal Vein Occlusion with Neovascularization Elsewhere and Vitreous Hemorrhage284 views57 year old man New floaters in the left eye about a month ago. Now they are getting better. PMHx A-Fib on Pradaxa
VA 20/32 OD, 20/40 OS
1+ NS OU
BP 137/77, 200LBs, 5’8â€
PRP laser was doneJul 13, 2021
|
|

Branch Retinal Vein Occlusion with Neovascularization Elsewhere and Vitreous Hemorrhage291 views57 year old man New floaters in the left eye about a month ago. Now they are getting better. PMHx A-Fib on Pradaxa
VA 20/32 OD, 20/40 OS
1+ NS OU
BP 137/77, 200LBs, 5’8â€
PRP laser was doneJul 13, 2021
|
|

Branch Retinal Vein Occlusion with Neovascularization Elsewhere and Vitreous Hemorrhage296 views57 year old man New floaters in the left eye about a month ago. Now they are getting better. PMHx A-Fib on Pradaxa
VA 20/32 OD, 20/40 OS
1+ NS OU
BP 137/77, 200LBs, 5’8â€
PRP laser was doneJul 13, 2021
|
|

Branch Retinal Vein Occlusion with Neovascularization Elsewhere and Vitreous Hemorrhage295 views57 year old man New floaters in the left eye about a month ago. Now they are getting better. PMHx A-Fib on Pradaxa
VA 20/32 OD, 20/40 OS
1+ NS OU
BP 137/77, 200LBs, 5’8â€
PRP laser was doneJul 13, 2021
|
|

Branch Retinal Vein Occlusion with Neovascularization Elsewhere and Vitreous Hemorrhage307 views57 year old man New floaters in the left eye about a month ago. Now they are getting better. PMHx A-Fib on Pradaxa
VA 20/32 OD, 20/40 OS
1+ NS OU
BP 137/77, 200LBs, 5’8â€
PRP laser was doneJul 13, 2021
|
|

Branch Retinal Vein Occlusion with Neovascularization Elsewhere and Vitreous Hemorrhage278 views57 year old man New floaters in the left eye about a month ago. Now they are getting better. PMHx A-Fib on Pradaxa
VA 20/32 OD, 20/40 OS
1+ NS OU
BP 137/77, 200LBs, 5’8â€
PRP laser was doneJul 13, 2021
|
|

Branch Retinal Vein Occlusion with Neovascularization Elsewhere and Vitreous Hemorrhage286 views57 year old man New floaters in the left eye about a month ago. Now they are getting better. PMHx A-Fib on Pradaxa
VA 20/32 OD, 20/40 OS
1+ NS OU
BP 137/77, 200LBs, 5’8â€
PRP laser was doneJul 13, 2021
|
|

Branch Retinal Vein Occlusion with Neovascularization Elsewhere and Vitreous Hemorrhage299 views57 year old man New floaters in the left eye about a month ago. Now they are getting better. PMHx A-Fib on Pradaxa
VA 20/32 OD, 20/40 OS
1+ NS OU
BP 137/77, 200LBs, 5’8â€
PRP laser was doneJul 13, 2021
|
|

Branch Retinal Vein Occlusion with Neovascularization Elsewhere and Vitreous Hemorrhage300 views57 year old man New floaters in the left eye about a month ago. Now they are getting better. PMHx A-Fib on Pradaxa
VA 20/32 OD, 20/40 OS
1+ NS OU
BP 137/77, 200LBs, 5’8â€
PRP laser was doneJul 13, 2021
|
|

Branch Retinal Vein Occlusion with Neovascularization Elsewhere and Vitreous Hemorrhage322 views57 year old man New floaters in the left eye about a month ago. Now they are getting better. PMHx A-Fib on Pradaxa
VA 20/32 OD, 20/40 OS
1+ NS OU
BP 137/77, 200LBs, 5’8â€
PRP laser was doneJul 13, 2021
|
|

Branch Retinal Vein Occlusion with Neovascularization Elsewhere and Vitreous Hemorrhage325 views57 year old man New floaters in the left eye about a month ago. Now they are getting better. PMHx A-Fib on Pradaxa
VA 20/32 OD, 20/40 OS
1+ NS OU
BP 137/77, 200LBs, 5’8â€
PRP laser was doneJul 13, 2021
|
|

Branch Retinal Vein Occlusion with Neovascularization Elsewhere and Vitreous Hemorrhage311 views57 year old man New floaters in the left eye about a month ago. Now they are getting better. PMHx A-Fib on Pradaxa
VA 20/32 OD, 20/40 OS
1+ NS OU
BP 137/77, 200LBs, 5’8â€
PRP laser was doneJul 13, 2021
|
|

Branch Retinal Vein Occlusion with Neovascularization Elsewhere and Vitreous Hemorrhage292 views57 year old man New floaters in the left eye about a month ago. Now they are getting better. PMHx A-Fib on Pradaxa
VA 20/32 OD, 20/40 OS
1+ NS OU
BP 137/77, 200LBs, 5’8â€
PRP laser was doneJul 13, 2021
|
|

458 viewsFeb 22, 2021
|
|

457 viewsFeb 22, 2021
|
|

316 viewsFeb 22, 2021
|
|

313 viewsFeb 22, 2021
|
|

274 viewsFeb 22, 2021
|
|

310 viewsFeb 22, 2021
|
|

294 viewsFeb 22, 2021
|
|

309 viewsFeb 22, 2021
|
|

296 viewsFeb 22, 2021
|
|

276 viewsFeb 22, 2021
|
|

278 viewsFeb 22, 2021
|
|

286 viewsFeb 22, 2021
|
|

287 viewsFeb 22, 2021
|
|

288 viewsFeb 22, 2021
|
|

Central Retinal Artery Occlusion320 views80 Year old man Sudden severe vision loss about 2 weeks ago. Today he can see light for the first time. The right eye is OK. His neuroimaging showed a brain stroke along with the eye stroke. He was stepping in the shower and the vision was suddenly worse. He went, later, to the ER and had a full evaluation. VA 20/25 right eye, LP left eyeFeb 22, 2021
|
|

Central Retinal Artery Occlusion413 views80 Year old man Sudden severe vision loss about 2 weeks ago. Today he can see light for the first time. The right eye is OK. His neuroimaging showed a brain stroke along with the eye stroke. He was stepping in the shower and the vision was suddenly worse. He went, later, to the ER and had a full evaluation. VA 20/25 right eye, LP left eyeFeb 22, 2021
|
|

Central Retinal Artery Occlusion310 views80 Year old man Sudden severe vision loss about 2 weeks ago. Today he can see light for the first time. The right eye is OK. His neuroimaging showed a brain stroke along with the eye stroke. He was stepping in the shower and the vision was suddenly worse. He went, later, to the ER and had a full evaluation. VA 20/25 right eye, LP left eyeFeb 22, 2021
|
|

Central Retinal Artery Occlusion321 views80 Year old man Sudden severe vision loss about 2 weeks ago. Today he can see light for the first time. The right eye is OK. His neuroimaging showed a brain stroke along with the eye stroke. He was stepping in the shower and the vision was suddenly worse. He went, later, to the ER and had a full evaluation. VA 20/25 right eye, LP left eyeFeb 22, 2021
|
|

Central Retinal Artery Occlusion311 views80 Year old man Sudden severe vision loss about 2 weeks ago. Today he can see light for the first time. The right eye is OK. His neuroimaging showed a brain stroke along with the eye stroke. He was stepping in the shower and the vision was suddenly worse. He went, later, to the ER and had a full evaluation. VA 20/25 right eye, LP left eyeFeb 22, 2021
|
|

Central Retinal Artery Occlusion303 views80 Year old man Sudden severe vision loss about 2 weeks ago. Today he can see light for the first time. The right eye is OK. His neuroimaging showed a brain stroke along with the eye stroke. He was stepping in the shower and the vision was suddenly worse. He went, later, to the ER and had a full evaluation. VA 20/25 right eye, LP left eyeFeb 22, 2021
|
|

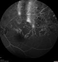
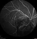
Branch Retinal Vein Occlusion - Both Eyes - Edema OD and NVE OS - Severe Non-perfusion Both Eyes324 views83 year old man with vision loss for 3 months not sure which eye. VA 20/100 OD and 20/50 OS. Tried avastin once without much improvement in the right eye and then lost to follow-up. FA in the left eye shows leaking NVENov 30, 2020
|
|

Branch Retinal Vein Occlusion - Both Eyes - Edema OD and NVE OS - Severe Non-perfusion Both Eyes369 views83 year old man with vision loss for 3 months not sure which eye. VA 20/100 OD and 20/50 OS. Tried avastin once without much improvement in the right eye and then lost to follow-up. FA in the left eye shows leaking NVENov 30, 2020
|
|

Branch Retinal Vein Occlusion - Both Eyes - Edema OD and NVE OS - Severe Non-perfusion Both Eyes347 views83 year old man with vision loss for 3 months not sure which eye. VA 20/100 OD and 20/50 OS. Tried avastin once without much improvement in the right eye and then lost to follow-up. FA in the left eye shows leaking NVENov 30, 2020
|
|

Branch Retinal Vein Occlusion - Both Eyes - Edema OD and NVE OS - Severe Non-perfusion Both Eyes316 views83 year old man with vision loss for 3 months not sure which eye. VA 20/100 OD and 20/50 OS. Tried avastin once without much improvement in the right eye and then lost to follow-up. FA in the left eye shows leaking NVENov 30, 2020
|
|

Branch Retinal Vein Occlusion - Both Eyes - Edema OD and NVE OS - Severe Non-perfusion Both Eyes344 views83 year old man with vision loss for 3 months not sure which eye. VA 20/100 OD and 20/50 OS. Tried avastin once without much improvement in the right eye and then lost to follow-up. FA in the left eye shows leaking NVENov 30, 2020
|
|

Branch Retinal Vein Occlusion - Both Eyes - Edema OD and NVE OS - Severe Non-perfusion Both Eyes328 views83 year old man with vision loss for 3 months not sure which eye. VA 20/100 OD and 20/50 OS. Tried avastin once without much improvement in the right eye and then lost to follow-up. FA in the left eye shows leaking NVENov 30, 2020
|
|

Branch Retinal Vein Occlusion - Both Eyes - Edema OD and NVE OS - Severe Non-perfusion Both Eyes345 views83 year old man with vision loss for 3 months not sure which eye. VA 20/100 OD and 20/50 OS. Tried avastin once without much improvement in the right eye and then lost to follow-up. FA in the left eye shows leaking NVENov 30, 2020
|
|

Branch Retinal Vein Occlusion - Both Eyes - Edema OD and NVE OS - Severe Non-perfusion Both Eyes317 views83 year old man with vision loss for 3 months not sure which eye. VA 20/100 OD and 20/50 OS. Tried avastin once without much improvement in the right eye and then lost to follow-up. FA in the left eye shows leaking NVENov 30, 2020
|
|

Branch Retinal Vein Occlusion - Both Eyes - Edema OD and NVE OS - Severe Non-perfusion Both Eyes353 views83 year old man with vision loss for 3 months not sure which eye. VA 20/100 OD and 20/50 OS. Tried avastin once without much improvement in the right eye and then lost to follow-up. FA in the left eye shows leaking NVENov 30, 2020
|
|

Branch Retinal Vein Occlusion - Both Eyes - Edema OD and NVE OS - Severe Non-perfusion Both Eyes326 views83 year old man with vision loss for 3 months not sure which eye. VA 20/100 OD and 20/50 OS. Tried avastin once without much improvement in the right eye and then lost to follow-up. FA in the left eye shows leaking NVENov 30, 2020
|
|

Branch Retinal Vein Occlusion - Both Eyes - Edema OD and NVE OS - Severe Non-perfusion Both Eyes304 views83 year old man with vision loss for 3 months not sure which eye. VA 20/100 OD and 20/50 OS. Tried avastin once without much improvement in the right eye and then lost to follow-up. FA in the left eye shows leaking NVENov 30, 2020
|
|

Branch Retinal Vein Occlusion - Both Eyes - Edema OD and NVE OS - Severe Non-perfusion Both Eyes315 views83 year old man with vision loss for 3 months not sure which eye. VA 20/100 OD and 20/50 OS. Tried avastin once without much improvement in the right eye and then lost to follow-up. FA in the left eye shows leaking NVENov 30, 2020
|
|

Branch Retinal Vein Occlusion - Both Eyes - Edema OD and NVE OS - Severe Non-perfusion Both Eyes297 views83 year old man with vision loss for 3 months not sure which eye. VA 20/100 OD and 20/50 OS. Tried avastin once without much improvement in the right eye and then lost to follow-up. FA in the left eye shows leaking NVENov 30, 2020
|
|

Branch Retinal Vein Occlusion - Both Eyes - Edema OD and NVE OS - Severe Non-perfusion Both Eyes316 views83 year old man with vision loss for 3 months not sure which eye. VA 20/100 OD and 20/50 OS. Tried avastin once without much improvement in the right eye and then lost to follow-up. FA in the left eye shows leaking NVENov 30, 2020
|
|

Branch Retinal Vein Occlusion - Both Eyes - Edema OD and NVE OS - Severe Non-perfusion Both Eyes325 views83 year old man with vision loss for 3 months not sure which eye. VA 20/100 OD and 20/50 OS. Tried avastin once without much improvement in the right eye and then lost to follow-up. FA in the left eye shows leaking NVENov 30, 2020
|
|

Branch Retinal Vein Occlusion - Both Eyes - Edema OD and NVE OS - Severe Non-perfusion Both Eyes308 views83 year old man with vision loss for 3 months not sure which eye. VA 20/100 OD and 20/50 OS. Tried avastin once without much improvement in the right eye and then lost to follow-up. FA in the left eye shows leaking NVENov 30, 2020
|
|

Branch Retinal Vein Occlusion - Both Eyes - Edema OD and NVE OS - Severe Non-perfusion Both Eyes321 views83 year old man with vision loss for 3 months not sure which eye. VA 20/100 OD and 20/50 OS. Tried avastin once without much improvement in the right eye and then lost to follow-up. FA in the left eye shows leaking NVENov 30, 2020
|
|

Branch Retinal Vein Occlusion - Both Eyes - Edema OD and NVE OS - Severe Non-perfusion Both Eyes338 views83 year old man with vision loss for 3 months not sure which eye. VA 20/100 OD and 20/50 OS. Tried avastin once without much improvement in the right eye and then lost to follow-up. FA in the left eye shows leaking NVENov 30, 2020
|
|

Branch Retinal Vein Occlusion - Both Eyes - Edema OD and NVE OS - Severe Non-perfusion Both Eyes353 views83 year old man with vision loss for 3 months not sure which eye. VA 20/100 OD and 20/50 OS. Tried avastin once without much improvement in the right eye and then lost to follow-up. FA in the left eye shows leaking NVENov 30, 2020
|
|

Lipemia Retinalis578 views31 year old man The patient at the time of imaging had triglycerides of >5680, cholesterol of 1136.
He also does have uncontrolled hypertension and insulin dependent type 2 diabetes, which may be the reason for vitreous extension of the lipids.Nov 12, 2020
|
|

Lipemia Retinalis - Lipid Obscuring Vitreous361 views31 year old man The patient at the time of imaging had triglycerides of >5680, cholesterol of 1136.
He also does have uncontrolled hypertension and insulin dependent type 2 diabetes, which may be the reason for vitreous extension of the lipids.Nov 12, 2020
|
|

Traction retinal detachment both eyes. Proliferative Diabetic Retinopathy324 views40 year old man came in with vision loss OD and rubeosis in both eyes. Was treated with Avastin monthly and laser OD then lost to follow-up for 6 months. Came back with table top traction in the left macula (second set of images). Vision had dropped OS from 20/20 to HM. He had PPV ERM peel OS and vision improved to 5/200.
OD stabilized to 20/20 with PRP laser. Now on 6 month checks.Oct 29, 2020
|
|

Traction retinal detachment both eyes. Proliferative Diabetic Retinopathy316 views40 year old man came in with vision loss OD and rubeosis in both eyes. Was treated with Avastin monthly and laser OD then lost to follow-up for 6 months. Came back with table top traction in the left macula (second set of images). Vision had dropped OS from 20/20 to HM. He had PPV ERM peel OS and vision improved to 5/200.
OD stabilized to 20/20 with PRP laser. Now on 6 month checks.Oct 29, 2020
|
|

Traction retinal detachment both eyes. Proliferative Diabetic Retinopathy268 views40 year old man came in with vision loss OD and rubeosis in both eyes. Was treated with Avastin monthly and laser OD then lost to follow-up for 6 months. Came back with table top traction in the left macula (second set of images). Vision had dropped OS from 20/20 to HM. He had PPV ERM peel OS and vision improved to 5/200.
OD stabilized to 20/20 with PRP laser. Now on 6 month checks.Oct 29, 2020
|
|

Traction retinal detachment both eyes. Proliferative Diabetic Retinopathy279 views40 year old man came in with vision loss OD and rubeosis in both eyes. Was treated with Avastin monthly and laser OD then lost to follow-up for 6 months. Came back with table top traction in the left macula (second set of images). Vision had dropped OS from 20/20 to HM. He had PPV ERM peel OS and vision improved to 5/200.
OD stabilized to 20/20 with PRP laser. Now on 6 month checks.Oct 29, 2020
|
|

Traction retinal detachment both eyes. Proliferative Diabetic Retinopathy246 views40 year old man came in with vision loss OD and rubeosis in both eyes. Was treated with Avastin monthly and laser OD then lost to follow-up for 6 months. Came back with table top traction in the left macula (second set of images). Vision had dropped OS from 20/20 to HM. He had PPV ERM peel OS and vision improved to 5/200.
OD stabilized to 20/20 with PRP laser. Now on 6 month checks.Oct 29, 2020
|
|

Traction retinal detachment both eyes. Proliferative Diabetic Retinopathy242 views40 year old man came in with vision loss OD and rubeosis in both eyes. Was treated with Avastin monthly and laser OD then lost to follow-up for 6 months. Came back with table top traction in the left macula (second set of images). Vision had dropped OS from 20/20 to HM. He had PPV ERM peel OS and vision improved to 5/200.
OD stabilized to 20/20 with PRP laser. Now on 6 month checks.Oct 29, 2020
|
|

Traction retinal detachment both eyes. Proliferative Diabetic Retinopathy294 views40 year old man came in with vision loss OD and rubeosis in both eyes. Was treated with Avastin monthly and laser OD then lost to follow-up for 6 months. Came back with table top traction in the left macula (second set of images). Vision had dropped OS from 20/20 to HM. He had PPV ERM peel OS and vision improved to 5/200.
OD stabilized to 20/20 with PRP laser. Now on 6 month checks.Oct 29, 2020
|
|

Traction retinal detachment both eyes. Proliferative Diabetic Retinopathy246 views40 year old man came in with vision loss OD and rubeosis in both eyes. Was treated with Avastin monthly and laser OD then lost to follow-up for 6 months. Came back with table top traction in the left macula (second set of images). Vision had dropped OS from 20/20 to HM. He had PPV ERM peel OS and vision improved to 5/200.
OD stabilized to 20/20 with PRP laser. Now on 6 month checks.Oct 29, 2020
|
|

Traction retinal detachment both eyes. Proliferative Diabetic Retinopathy238 views40 year old man came in with vision loss OD and rubeosis in both eyes. Was treated with Avastin monthly and laser OD then lost to follow-up for 6 months. Came back with table top traction in the left macula (second set of images). Vision had dropped OS from 20/20 to HM. He had PPV ERM peel OS and vision improved to 5/200.
OD stabilized to 20/20 with PRP laser. Now on 6 month checks.Oct 29, 2020
|
|

Traction retinal detachment both eyes. Proliferative Diabetic Retinopathy268 views40 year old man came in with vision loss OD and rubeosis in both eyes. Was treated with Avastin monthly and laser OD then lost to follow-up for 6 months. Came back with table top traction in the left macula (second set of images). Vision had dropped OS from 20/20 to HM. He had PPV ERM peel OS and vision improved to 5/200.
OD stabilized to 20/20 with PRP laser. Now on 6 month checks.Oct 29, 2020
|
|

Traction retinal detachment both eyes. Proliferative Diabetic Retinopathy239 views40 year old man came in with vision loss OD and rubeosis in both eyes. Was treated with Avastin monthly and laser OD then lost to follow-up for 6 months. Came back with table top traction in the left macula (second set of images). Vision had dropped OS from 20/20 to HM. He had PPV ERM peel OS and vision improved to 5/200.
OD stabilized to 20/20 with PRP laser. Now on 6 month checks.Oct 29, 2020
|
|

Traction retinal detachment both eyes. Proliferative Diabetic Retinopathy251 views40 year old man came in with vision loss OD and rubeosis in both eyes. Was treated with Avastin monthly and laser OD then lost to follow-up for 6 months. Came back with table top traction in the left macula (second set of images). Vision had dropped OS from 20/20 to HM. He had PPV ERM peel OS and vision improved to 5/200.
OD stabilized to 20/20 with PRP laser. Now on 6 month checks.Oct 29, 2020
|
|

Traction retinal detachment both eyes. Proliferative Diabetic Retinopathy263 views40 year old man came in with vision loss OD and rubeosis in both eyes. Was treated with Avastin monthly and laser OD then lost to follow-up for 6 months. Came back with table top traction in the left macula (second set of images). Vision had dropped OS from 20/20 to HM. He had PPV ERM peel OS and vision improved to 5/200.
OD stabilized to 20/20 with PRP laser. Now on 6 month checks.Oct 29, 2020
|
|

Traction retinal detachment both eyes. Proliferative Diabetic Retinopathy226 views40 year old man came in with vision loss OD and rubeosis in both eyes. Was treated with Avastin monthly and laser OD then lost to follow-up for 6 months. Came back with table top traction in the left macula (second set of images). Vision had dropped OS from 20/20 to HM. He had PPV ERM peel OS and vision improved to 5/200.
OD stabilized to 20/20 with PRP laser. Now on 6 month checks.Oct 29, 2020
|
|

Traction retinal detachment both eyes. Proliferative Diabetic Retinopathy237 views40 year old man came in with vision loss OD and rubeosis in both eyes. Was treated with Avastin monthly and laser OD then lost to follow-up for 6 months. Came back with table top traction in the left macula (second set of images). Vision had dropped OS from 20/20 to HM. He had PPV ERM peel OS and vision improved to 5/200.
OD stabilized to 20/20 with PRP laser. Now on 6 month checks.Oct 29, 2020
|
|

Traction retinal detachment both eyes. Proliferative Diabetic Retinopathy238 views40 year old man came in with vision loss OD and rubeosis in both eyes. Was treated with Avastin monthly and laser OD then lost to follow-up for 6 months. Came back with table top traction in the left macula (second set of images). Vision had dropped OS from 20/20 to HM. He had PPV ERM peel OS and vision improved to 5/200.
OD stabilized to 20/20 with PRP laser. Now on 6 month checks.Oct 29, 2020
|
|

Traction retinal detachment both eyes. Proliferative Diabetic Retinopathy281 views40 year old man came in with vision loss OD and rubeosis in both eyes. Was treated with Avastin monthly and laser OD then lost to follow-up for 6 months. Came back with table top traction in the left macula (second set of images). Vision had dropped OS from 20/20 to HM. He had PPV ERM peel OS and vision improved to 5/200.
OD stabilized to 20/20 with PRP laser. Now on 6 month checks.Oct 29, 2020
|
|

Traction retinal detachment both eyes. Proliferative Diabetic Retinopathy279 views40 year old man came in with vision loss OD and rubeosis in both eyes. Was treated with Avastin monthly and laser OD then lost to follow-up for 6 months. Came back with table top traction in the left macula (second set of images). Vision had dropped OS from 20/20 to HM. He had PPV ERM peel OS and vision improved to 5/200.
OD stabilized to 20/20 with PRP laser. Now on 6 month checks.Oct 29, 2020
|
|

Traction retinal detachment both eyes. Proliferative Diabetic Retinopathy286 views40 year old man came in with vision loss OD and rubeosis in both eyes. Was treated with Avastin monthly and laser OD then lost to follow-up for 6 months. Came back with table top traction in the left macula (second set of images). Vision had dropped OS from 20/20 to HM. He had PPV ERM peel OS and vision improved to 5/200.
OD stabilized to 20/20 with PRP laser. Now on 6 month checks.Oct 29, 2020
|
|

Traction retinal detachment both eyes. Proliferative Diabetic Retinopathy246 views40 year old man came in with vision loss OD and rubeosis in both eyes. Was treated with Avastin monthly and laser OD then lost to follow-up for 6 months. Came back with table top traction in the left macula (second set of images). Vision had dropped OS from 20/20 to HM. He had PPV ERM peel OS and vision improved to 5/200.
OD stabilized to 20/20 with PRP laser. Now on 6 month checks.Oct 29, 2020
|
|

Traction retinal detachment both eyes. Proliferative Diabetic Retinopathy259 views40 year old man came in with vision loss OD and rubeosis in both eyes. Was treated with Avastin monthly and laser OD then lost to follow-up for 6 months. Came back with table top traction in the left macula (second set of images). Vision had dropped OS from 20/20 to HM. He had PPV ERM peel OS and vision improved to 5/200.
OD stabilized to 20/20 with PRP laser. Now on 6 month checks.Oct 29, 2020
|
|

Traction retinal detachment both eyes. Proliferative Diabetic Retinopathy223 views40 year old man came in with vision loss OD and rubeosis in both eyes. Was treated with Avastin monthly and laser OD then lost to follow-up for 6 months. Came back with table top traction in the left macula (second set of images). Vision had dropped OS from 20/20 to HM. He had PPV ERM peel OS and vision improved to 5/200.
OD stabilized to 20/20 with PRP laser. Now on 6 month checks.Oct 29, 2020
|
|

Traction retinal detachment both eyes. Proliferative Diabetic Retinopathy245 views40 year old man came in with vision loss OD and rubeosis in both eyes. Was treated with Avastin monthly and laser OD then lost to follow-up for 6 months. Came back with table top traction in the left macula (second set of images). Vision had dropped OS from 20/20 to HM. He had PPV ERM peel OS and vision improved to 5/200.
OD stabilized to 20/20 with PRP laser. Now on 6 month checks.Oct 29, 2020
|
|

Traction retinal detachment both eyes. Proliferative Diabetic Retinopathy250 views40 year old man came in with vision loss OD and rubeosis in both eyes. Was treated with Avastin monthly and laser OD then lost to follow-up for 6 months. Came back with table top traction in the left macula (second set of images). Vision had dropped OS from 20/20 to HM. He had PPV ERM peel OS and vision improved to 5/200.
OD stabilized to 20/20 with PRP laser. Now on 6 month checks.Oct 29, 2020
|
|

Traction retinal detachment both eyes. Proliferative Diabetic Retinopathy252 views40 year old man came in with vision loss OD and rubeosis in both eyes. Was treated with Avastin monthly and laser OD then lost to follow-up for 6 months. Came back with table top traction in the left macula (second set of images). Vision had dropped OS from 20/20 to HM. He had PPV ERM peel OS and vision improved to 5/200.
OD stabilized to 20/20 with PRP laser. Now on 6 month checks.Oct 29, 2020
|
|

Traction retinal detachment both eyes. Proliferative Diabetic Retinopathy228 views40 year old man came in with vision loss OD and rubeosis in both eyes. Was treated with Avastin monthly and laser OD then lost to follow-up for 6 months. Came back with table top traction in the left macula (second set of images). Vision had dropped OS from 20/20 to HM. He had PPV ERM peel OS and vision improved to 5/200.
OD stabilized to 20/20 with PRP laser. Now on 6 month checks.Oct 29, 2020
|
|
| 4332 files on 44 page(s) |
 |
 |
 |
 |
 |
11 |  |
 |
 |
 |
|