Last additions - Retinal Vascular Disease
|

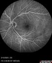
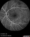
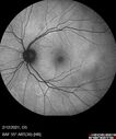
Branch Retinal Vein Occlusion with Venous Macroaneurysm (collateral)280 views66 year old female Did not notice vision loss in the right eye. The right eye has been a little worse than the left but now is much worse. Picked up during annual eye examination. VA had been 20/20 in 5 years ago.
History of brain and spinal cord radiation 1986 for T-cell lymphoma. Now with breast cancer, ablation for tachycardia, HTN
VA OD 6/200, OS 20/32Oct 16, 2021
|
|

Branch Retinal Vein Occlusion with Venous Macroaneurysm (collateral)284 views66 year old female Did not notice vision loss in the right eye. The right eye has been a little worse than the left but now is much worse. Picked up during annual eye examination. VA had been 20/20 in 5 years ago.
History of brain and spinal cord radiation 1986 for T-cell lymphoma. Now with breast cancer, ablation for tachycardia, HTN
VA OD 6/200, OS 20/32Oct 16, 2021
|
|

Branch Retinal Vein Occlusion with Venous Macroaneurysm (collateral)304 views66 year old female Did not notice vision loss in the right eye. The right eye has been a little worse than the left but now is much worse. Picked up during annual eye examination. VA had been 20/20 in 5 years ago.
History of brain and spinal cord radiation 1986 for T-cell lymphoma. Now with breast cancer, ablation for tachycardia, HTN
VA OD 6/200, OS 20/32Oct 16, 2021
|
|

Branch Retinal Vein Occlusion with Venous Macroaneurysm (collateral)291 views66 year old female Did not notice vision loss in the right eye. The right eye has been a little worse than the left but now is much worse. Picked up during annual eye examination. VA had been 20/20 in 5 years ago.
History of brain and spinal cord radiation 1986 for T-cell lymphoma. Now with breast cancer, ablation for tachycardia, HTN
VA OD 6/200, OS 20/32Oct 16, 2021
|
|

Branch Retinal Vein Occlusion with Venous Macroaneurysm (collateral)263 views66 year old female Did not notice vision loss in the right eye. The right eye has been a little worse than the left but now is much worse. Picked up during annual eye examination. VA had been 20/20 in 5 years ago.
History of brain and spinal cord radiation 1986 for T-cell lymphoma. Now with breast cancer, ablation for tachycardia, HTN
VA OD 6/200, OS 20/32Oct 16, 2021
|
|

Branch Retinal Vein Occlusion with Venous Macroaneurysm (collateral)298 views66 year old female Did not notice vision loss in the right eye. The right eye has been a little worse than the left but now is much worse. Picked up during annual eye examination. VA had been 20/20 in 5 years ago.
History of brain and spinal cord radiation 1986 for T-cell lymphoma. Now with breast cancer, ablation for tachycardia, HTN
VA OD 6/200, OS 20/32Oct 16, 2021
|
|

Branch Retinal Vein Occlusion with Venous Macroaneurysm (collateral)296 views66 year old female Did not notice vision loss in the right eye. The right eye has been a little worse than the left but now is much worse. Picked up during annual eye examination. VA had been 20/20 in 5 years ago.
History of brain and spinal cord radiation 1986 for T-cell lymphoma. Now with breast cancer, ablation for tachycardia, HTN
VA OD 6/200, OS 20/32Oct 16, 2021
|
|

Branch Retinal Vein Occlusion with Venous Macroaneurysm (collateral)313 views66 year old female Did not notice vision loss in the right eye. The right eye has been a little worse than the left but now is much worse. Picked up during annual eye examination. VA had been 20/20 in 5 years ago.
History of brain and spinal cord radiation 1986 for T-cell lymphoma. Now with breast cancer, ablation for tachycardia, HTN
VA OD 6/200, OS 20/32Oct 16, 2021
|
|

Branch Retinal Vein Occlusion with Venous Macroaneurysm (collateral)298 views66 year old female Did not notice vision loss in the right eye. The right eye has been a little worse than the left but now is much worse. Picked up during annual eye examination. VA had been 20/20 in 5 years ago.
History of brain and spinal cord radiation 1986 for T-cell lymphoma. Now with breast cancer, ablation for tachycardia, HTN
VA OD 6/200, OS 20/32Oct 16, 2021
|
|

Branch Retinal Vein Occlusion with Venous Macroaneurysm (collateral)273 views66 year old female Did not notice vision loss in the right eye. The right eye has been a little worse than the left but now is much worse. Picked up during annual eye examination. VA had been 20/20 in 5 years ago.
History of brain and spinal cord radiation 1986 for T-cell lymphoma. Now with breast cancer, ablation for tachycardia, HTN
VA OD 6/200, OS 20/32Oct 16, 2021
|
|

Branch Retinal Vein Occlusion with Venous Macroaneurysm (collateral)303 views66 year old female Did not notice vision loss in the right eye. The right eye has been a little worse than the left but now is much worse. Picked up during annual eye examination. VA had been 20/20 in 5 years ago.
History of brain and spinal cord radiation 1986 for T-cell lymphoma. Now with breast cancer, ablation for tachycardia, HTN
VA OD 6/200, OS 20/32Oct 16, 2021
|
|

Branch Retinal Vein Occlusion with Venous Macroaneurysm (collateral)289 views66 year old female Did not notice vision loss in the right eye. The right eye has been a little worse than the left but now is much worse. Picked up during annual eye examination. VA had been 20/20 in 5 years ago.
History of brain and spinal cord radiation 1986 for T-cell lymphoma. Now with breast cancer, ablation for tachycardia, HTN
VA OD 6/200, OS 20/32Oct 16, 2021
|
|

Branch Retinal Vein Occlusion with Venous Macroaneurysm (collateral)295 views66 year old female Did not notice vision loss in the right eye. The right eye has been a little worse than the left but now is much worse. Picked up during annual eye examination. VA had been 20/20 in 5 years ago.
History of brain and spinal cord radiation 1986 for T-cell lymphoma. Now with breast cancer, ablation for tachycardia, HTN
VA OD 6/200, OS 20/32Oct 16, 2021
|
|

Branch Retinal Vein Occlusion with Venous Macroaneurysm (collateral)290 views66 year old female Did not notice vision loss in the right eye. The right eye has been a little worse than the left but now is much worse. Picked up during annual eye examination. VA had been 20/20 in 5 years ago.
History of brain and spinal cord radiation 1986 for T-cell lymphoma. Now with breast cancer, ablation for tachycardia, HTN
VA OD 6/200, OS 20/32Oct 16, 2021
|
|

Branch Retinal Vein Occlusion with Venous Macroaneurysm (collateral)301 views66 year old female Did not notice vision loss in the right eye. The right eye has been a little worse than the left but now is much worse. Picked up during annual eye examination. VA had been 20/20 in 5 years ago.
History of brain and spinal cord radiation 1986 for T-cell lymphoma. Now with breast cancer, ablation for tachycardia, HTN
VA OD 6/200, OS 20/32Oct 16, 2021
|
|

Branch Retinal Vein Occlusion with Venous Macroaneurysm (collateral)307 views66 year old female Did not notice vision loss in the right eye. The right eye has been a little worse than the left but now is much worse. Picked up during annual eye examination. VA had been 20/20 in 5 years ago.
History of brain and spinal cord radiation 1986 for T-cell lymphoma. Now with breast cancer, ablation for tachycardia, HTN
VA OD 6/200, OS 20/32Oct 16, 2021
|
|

Branch Retinal Vein Occlusion with Venous Macroaneurysm (collateral)292 views66 year old female Did not notice vision loss in the right eye. The right eye has been a little worse than the left but now is much worse. Picked up during annual eye examination. VA had been 20/20 in 5 years ago.
History of brain and spinal cord radiation 1986 for T-cell lymphoma. Now with breast cancer, ablation for tachycardia, HTN
VA OD 6/200, OS 20/32Oct 16, 2021
|
|

Branch Retinal Vein Occlusion with Venous Macroaneurysm (collateral)323 views66 year old female Did not notice vision loss in the right eye. The right eye has been a little worse than the left but now is much worse. Picked up during annual eye examination. VA had been 20/20 in 5 years ago.
History of brain and spinal cord radiation 1986 for T-cell lymphoma. Now with breast cancer, ablation for tachycardia, HTN
VA OD 6/200, OS 20/32Oct 16, 2021
|
|

Branch Retinal Vein Occlusion with Venous Macroaneurysm (collateral)276 views66 year old female Did not notice vision loss in the right eye. The right eye has been a little worse than the left but now is much worse. Picked up during annual eye examination. VA had been 20/20 in 5 years ago.
History of brain and spinal cord radiation 1986 for T-cell lymphoma. Now with breast cancer, ablation for tachycardia, HTN
VA OD 6/200, OS 20/32Oct 16, 2021
|
|

Branch Retinal Vein Occlusion with Venous Macroaneurysm (collateral)294 views66 year old female Did not notice vision loss in the right eye. The right eye has been a little worse than the left but now is much worse. Picked up during annual eye examination. VA had been 20/20 in 5 years ago.
History of brain and spinal cord radiation 1986 for T-cell lymphoma. Now with breast cancer, ablation for tachycardia, HTN
VA OD 6/200, OS 20/32Oct 16, 2021
|
|

Branch Retinal Vein Occlusion with Venous Macroaneurysm (collateral)287 views66 year old female Did not notice vision loss in the right eye. The right eye has been a little worse than the left but now is much worse. Picked up during annual eye examination. VA had been 20/20 in 5 years ago.
History of brain and spinal cord radiation 1986 for T-cell lymphoma. Now with breast cancer, ablation for tachycardia, HTN
VA OD 6/200, OS 20/32Oct 16, 2021
|
|

Pan Retinal Laser from original DRS study in the 1970s - 50 years later281 views67 year old female with diabetes since age 8. She had heavy PRP laser to both eyes in the 1970s by Lloyd M. Aiello, M.D, the father of PRP laser. Her vision is poor now, 1/200 OD and 20/200 OS.Oct 13, 2021
|
|

Pan Retinal Laser from original DRS study in the 1970s - 50 years later294 views67 year old female with diabetes since age 8. She had heavy PRP laser to both eyes in the 1970s by Lloyd M. Aiello, M.D, the father of PRP laser. Her vision is poor now, 1/200 OD and 20/200 OS.Oct 13, 2021
|
|

Pan Retinal Laser from original DRS study in the 1970s - 50 years later296 views67 year old female with diabetes since age 8. She had heavy PRP laser to both eyes in the 1970s by Lloyd M. Aiello, M.D, the father of PRP laser. Her vision is poor now, 1/200 OD and 20/200 OS.Oct 13, 2021
|
|

Pan Retinal Laser from original DRS study in the 1970s - 50 years later285 views67 year old female with diabetes since age 8. She had heavy PRP laser to both eyes in the 1970s by Lloyd M. Aiello, M.D, the father of PRP laser. Her vision is poor now, 1/200 OD and 20/200 OS.Oct 13, 2021
|
|

Pan Retinal Laser from original DRS study in the 1970s - 50 years later277 views67 year old female with diabetes since age 8. She had heavy PRP laser to both eyes in the 1970s by Lloyd M. Aiello, M.D, the father of PRP laser. Her vision is poor now, 1/200 OD and 20/200 OS.Oct 13, 2021
|
|

Pan Retinal Laser from original DRS study in the 1970s - 50 years later279 views67 year old female with diabetes since age 8. She had heavy PRP laser to both eyes in the 1970s by Lloyd M. Aiello, M.D, the father of PRP laser. Her vision is poor now, 1/200 OD and 20/200 OS.Oct 13, 2021
|
|

Pan Retinal Laser from original DRS study in the 1970s - 50 years later307 views67 year old female with diabetes since age 8. She had heavy PRP laser to both eyes in the 1970s by Lloyd M. Aiello, M.D, the father of PRP laser. Her vision is poor now, 1/200 OD and 20/200 OS.Oct 13, 2021
|
|

Pan Retinal Laser from original DRS study in the 1970s - 50 years later282 views67 year old female with diabetes since age 8. She had heavy PRP laser to both eyes in the 1970s by Lloyd M. Aiello, M.D, the father of PRP laser. Her vision is poor now, 1/200 OD and 20/200 OS.Oct 13, 2021
|
|

Pan Retinal Laser from original DRS study in the 1970s - 50 years later293 views67 year old female with diabetes since age 8. She had heavy PRP laser to both eyes in the 1970s by Lloyd M. Aiello, M.D, the father of PRP laser. Her vision is poor now, 1/200 OD and 20/200 OS.Oct 13, 2021
|
|

Pan Retinal Laser from original DRS study in the 1970s - 50 years later283 views67 year old female with diabetes since age 8. She had heavy PRP laser to both eyes in the 1970s by Lloyd M. Aiello, M.D, the father of PRP laser. Her vision is poor now, 1/200 OD and 20/200 OS.Oct 13, 2021
|
|

Pan Retinal Laser from original DRS study in the 1970s - 50 years later307 views67 year old female with diabetes since age 8. She had heavy PRP laser to both eyes in the 1970s by Lloyd M. Aiello, M.D, the father of PRP laser. Her vision is poor now, 1/200 OD and 20/200 OS.Oct 13, 2021
|
|

Pan Retinal Laser from original DRS study in the 1970s - 50 years later283 views67 year old female with diabetes since age 8. She had heavy PRP laser to both eyes in the 1970s by Lloyd M. Aiello, M.D, the father of PRP laser. Her vision is poor now, 1/200 OD and 20/200 OS.Oct 13, 2021
|
|

Severe Proliferative Diabetic Retinopathy and Good Vision302 views49 year old man with vision loss in the right eye for 2 weeks. VA 20/40 OD, 20/63 OS. DM x 15 years and HTN.Oct 02, 2021
|
|

Severe Proliferative Diabetic Retinopathy and Good Vision308 views49 year old man with vision loss in the right eye for 2 weeks. VA 20/40 OD, 20/63 OS. DM x 15 years and HTN.Oct 02, 2021
|
|

Severe Proliferative Diabetic Retinopathy and Good Vision262 views49 year old man with vision loss in the right eye for 2 weeks. VA 20/40 OD, 20/63 OS. DM x 15 years and HTN.Oct 02, 2021
|
|

Severe Proliferative Diabetic Retinopathy and Good Vision250 views49 year old man with vision loss in the right eye for 2 weeks. VA 20/40 OD, 20/63 OS. DM x 15 years and HTN.Oct 02, 2021
|
|

Severe Proliferative Diabetic Retinopathy and Good Vision274 views49 year old man with vision loss in the right eye for 2 weeks. VA 20/40 OD, 20/63 OS. DM x 15 years and HTN.Oct 02, 2021
|
|

Severe Proliferative Diabetic Retinopathy and Good Vision268 views49 year old man with vision loss in the right eye for 2 weeks. VA 20/40 OD, 20/63 OS. DM x 15 years and HTN.Oct 02, 2021
|
|

Severe Proliferative Diabetic Retinopathy and Good Vision271 views49 year old man with vision loss in the right eye for 2 weeks. VA 20/40 OD, 20/63 OS. DM x 15 years and HTN.Oct 02, 2021
|
|

Severe Proliferative Diabetic Retinopathy and Good Vision286 views49 year old man with vision loss in the right eye for 2 weeks. VA 20/40 OD, 20/63 OS. DM x 15 years and HTN.Oct 02, 2021
|
|

Severe Proliferative Diabetic Retinopathy and Good Vision271 views49 year old man with vision loss in the right eye for 2 weeks. VA 20/40 OD, 20/63 OS. DM x 15 years and HTN.Oct 02, 2021
|
|

Severe Proliferative Diabetic Retinopathy and Good Vision260 views49 year old man with vision loss in the right eye for 2 weeks. VA 20/40 OD, 20/63 OS. DM x 15 years and HTN.Oct 02, 2021
|
|

Severe Proliferative Diabetic Retinopathy and Good Vision288 views49 year old man with vision loss in the right eye for 2 weeks. VA 20/40 OD, 20/63 OS. DM x 15 years and HTN.Oct 02, 2021
|
|

Severe Proliferative Diabetic Retinopathy and Good Vision276 views49 year old man with vision loss in the right eye for 2 weeks. VA 20/40 OD, 20/63 OS. DM x 15 years and HTN.Oct 02, 2021
|
|

Severe Proliferative Diabetic Retinopathy and Good Vision299 views49 year old man with vision loss in the right eye for 2 weeks. VA 20/40 OD, 20/63 OS. DM x 15 years and HTN.Oct 02, 2021
|
|

Severe Proliferative Diabetic Retinopathy and Good Vision273 views49 year old man with vision loss in the right eye for 2 weeks. VA 20/40 OD, 20/63 OS. DM x 15 years and HTN.Oct 02, 2021
|
|

Severe Proliferative Diabetic Retinopathy and Good Vision276 views49 year old man with vision loss in the right eye for 2 weeks. VA 20/40 OD, 20/63 OS. DM x 15 years and HTN.Oct 02, 2021
|
|

Severe Proliferative Diabetic Retinopathy and Good Vision263 views49 year old man with vision loss in the right eye for 2 weeks. VA 20/40 OD, 20/63 OS. DM x 15 years and HTN.Oct 02, 2021
|
|

Severe Proliferative Diabetic Retinopathy and Good Vision276 views49 year old man with vision loss in the right eye for 2 weeks. VA 20/40 OD, 20/63 OS. DM x 15 years and HTN.Oct 02, 2021
|
|

Severe Proliferative Diabetic Retinopathy and Good Vision281 views49 year old man with vision loss in the right eye for 2 weeks. VA 20/40 OD, 20/63 OS. DM x 15 years and HTN.Oct 02, 2021
|
|

Severe Proliferative Diabetic Retinopathy and Good Vision267 views49 year old man with vision loss in the right eye for 2 weeks. VA 20/40 OD, 20/63 OS. DM x 15 years and HTN.Oct 02, 2021
|
|

Severe Proliferative Diabetic Retinopathy and Good Vision284 views49 year old man with vision loss in the right eye for 2 weeks. VA 20/40 OD, 20/63 OS. DM x 15 years and HTN.Oct 02, 2021
|
|

Severe Proliferative Diabetic Retinopathy and Good Vision272 views49 year old man with vision loss in the right eye for 2 weeks. VA 20/40 OD, 20/63 OS. DM x 15 years and HTN.Oct 02, 2021
|
|

Severe Proliferative Diabetic Retinopathy and Good Vision265 views49 year old man with vision loss in the right eye for 2 weeks. VA 20/40 OD, 20/63 OS. DM x 15 years and HTN.Oct 02, 2021
|
|

Severe Proliferative Diabetic Retinopathy and Good Vision278 views49 year old man with vision loss in the right eye for 2 weeks. VA 20/40 OD, 20/63 OS. DM x 15 years and HTN.Oct 02, 2021
|
|

Severe Proliferative Diabetic Retinopathy and Good Vision281 views49 year old man with vision loss in the right eye for 2 weeks. VA 20/40 OD, 20/63 OS. DM x 15 years and HTN.Oct 02, 2021
|
|

Severe Proliferative Diabetic Retinopathy and Good Vision281 views49 year old man with vision loss in the right eye for 2 weeks. VA 20/40 OD, 20/63 OS. DM x 15 years and HTN.Oct 02, 2021
|
|

Proliferative Diabetic Retinopathy with Panretinal Photocoagulation278 views57 year old female Type 1 DM with prior laser about 10 years ago in Chicago.
HTN, Thyroid cancer and removal, Cardiovascular disease
Meds: ASA 325 mg /day, etc
Recent new floaters in the right eye:
VA 20/50 OD, 20/40 OSSep 12, 2021
|
|

Proliferative Diabetic Retinopathy with Panretinal Photocoagulation284 views57 year old female Type 1 DM with prior laser about 10 years ago in Chicago.
HTN, Thyroid cancer and removal, Cardiovascular disease
Meds: ASA 325 mg /day, etc
Recent new floaters in the right eye:
VA 20/50 OD, 20/40 OSSep 12, 2021
|
|

Proliferative Diabetic Retinopathy with Panretinal Photocoagulation286 views57 year old female Type 1 DM with prior laser about 10 years ago in Chicago.
HTN, Thyroid cancer and removal, Cardiovascular disease
Meds: ASA 325 mg /day, etc
Recent new floaters in the right eye:
VA 20/50 OD, 20/40 OSSep 12, 2021
|
|

Proliferative Diabetic Retinopathy with Panretinal Photocoagulation276 views57 year old female Type 1 DM with prior laser about 10 years ago in Chicago.
HTN, Thyroid cancer and removal, Cardiovascular disease
Meds: ASA 325 mg /day, etc
Recent new floaters in the right eye:
VA 20/50 OD, 20/40 OSSep 12, 2021
|
|

Proliferative Diabetic Retinopathy with Panretinal Photocoagulation260 views57 year old female Type 1 DM with prior laser about 10 years ago in Chicago.
HTN, Thyroid cancer and removal, Cardiovascular disease
Meds: ASA 325 mg /day, etc
Recent new floaters in the right eye:
VA 20/50 OD, 20/40 OSSep 12, 2021
|
|

Proliferative Diabetic Retinopathy with Panretinal Photocoagulation276 views57 year old female Type 1 DM with prior laser about 10 years ago in Chicago.
HTN, Thyroid cancer and removal, Cardiovascular disease
Meds: ASA 325 mg /day, etc
Recent new floaters in the right eye:
VA 20/50 OD, 20/40 OSSep 12, 2021
|
|

Proliferative Diabetic Retinopathy with Panretinal Photocoagulation277 views57 year old female Type 1 DM with prior laser about 10 years ago in Chicago.
HTN, Thyroid cancer and removal, Cardiovascular disease
Meds: ASA 325 mg /day, etc
Recent new floaters in the right eye:
VA 20/50 OD, 20/40 OSSep 12, 2021
|
|

Proliferative Diabetic Retinopathy with Panretinal Photocoagulation276 views57 year old female Type 1 DM with prior laser about 10 years ago in Chicago.
HTN, Thyroid cancer and removal, Cardiovascular disease
Meds: ASA 325 mg /day, etc
Recent new floaters in the right eye:
VA 20/50 OD, 20/40 OSSep 12, 2021
|
|

Proliferative Diabetic Retinopathy with Panretinal Photocoagulation286 views57 year old female Type 1 DM with prior laser about 10 years ago in Chicago.
HTN, Thyroid cancer and removal, Cardiovascular disease
Meds: ASA 325 mg /day, etc
Recent new floaters in the right eye:
VA 20/50 OD, 20/40 OSSep 12, 2021
|
|

Proliferative Diabetic Retinopathy with Panretinal Photocoagulation273 views57 year old female Type 1 DM with prior laser about 10 years ago in Chicago.
HTN, Thyroid cancer and removal, Cardiovascular disease
Meds: ASA 325 mg /day, etc
Recent new floaters in the right eye:
VA 20/50 OD, 20/40 OSSep 12, 2021
|
|

Proliferative Diabetic Retinopathy with Panretinal Photocoagulation275 views57 year old female Type 1 DM with prior laser about 10 years ago in Chicago.
HTN, Thyroid cancer and removal, Cardiovascular disease
Meds: ASA 325 mg /day, etc
Recent new floaters in the right eye:
VA 20/50 OD, 20/40 OSSep 12, 2021
|
|

Proliferative Diabetic Retinopathy with Panretinal Photocoagulation271 views57 year old female Type 1 DM with prior laser about 10 years ago in Chicago.
HTN, Thyroid cancer and removal, Cardiovascular disease
Meds: ASA 325 mg /day, etc
Recent new floaters in the right eye:
VA 20/50 OD, 20/40 OSSep 12, 2021
|
|

Proliferative Diabetic Retinopathy with Panretinal Photocoagulation279 views57 year old female Type 1 DM with prior laser about 10 years ago in Chicago.
HTN, Thyroid cancer and removal, Cardiovascular disease
Meds: ASA 325 mg /day, etc
Recent new floaters in the right eye:
VA 20/50 OD, 20/40 OSSep 12, 2021
|
|

Proliferative Diabetic Retinopathy with Panretinal Photocoagulation283 views57 year old female Type 1 DM with prior laser about 10 years ago in Chicago.
HTN, Thyroid cancer and removal, Cardiovascular disease
Meds: ASA 325 mg /day, etc
Recent new floaters in the right eye:
VA 20/50 OD, 20/40 OSSep 12, 2021
|
|

Branch Retinal Vein Occlusion with Neovascularization Elsewhere and Vitreous Hemorrhage - 1 month post laser294 views57 year old man New floaters in the left eye about a month ago. Now they are getting better. PMHx A-Fib on Pradaxa
VA 20/32 OD, 20/40 OS
1+ NS OU
BP 137/77, 200LBs, 5’8â€
PRP laser was doneAug 16, 2021
|
|

Branch Retinal Vein Occlusion with Neovascularization Elsewhere and Vitreous Hemorrhage - 1 month post laser288 views57 year old man New floaters in the left eye about a month ago. Now they are getting better. PMHx A-Fib on Pradaxa
VA 20/32 OD, 20/40 OS
1+ NS OU
BP 137/77, 200LBs, 5’8â€
PRP laser was doneAug 16, 2021
|
|

Elevated Episcleral Venous Pressure and Retinal Hemorrhages in both eyes331 views78 year old female with chronic red eye. The eyes are red all the time now. She is on Xeralto because of a history of blood clots in her lungs (2005 about). She has not had problems since. She has had floaters for many years. Ever since her eyes got funny she sees more floaters in both eyes. She had a brain scan over 6 months ago which was OK. She also had double vision when this first started which went away. She could not drive for a few months.
VA OD: Dcc20/32-1
VA OS: Dcc20/125
IOP: TP: OD:17 OS:16
Neuroimaging did not show a CC fistulaJul 13, 2021
|
|

Elevated Episcleral Venous Pressure and Retinal Hemorrhages in both eyes344 views78 year old female with chronic red eye. The eyes are red all the time now. She is on Xeralto because of a history of blood clots in her lungs (2005 about). She has not had problems since. She has had floaters for many years. Ever since her eyes got funny she sees more floaters in both eyes. She had a brain scan over 6 months ago which was OK. She also had double vision when this first started which went away. She could not drive for a few months.
VA OD: Dcc20/32-1
VA OS: Dcc20/125
IOP: TP: OD:17 OS:16
Neuroimaging did not show a CC fistulaJul 13, 2021
|
|

Elevated Episcleral Venous Pressure and Retinal Hemorrhages in both eyes336 views78 year old female with chronic red eye. The eyes are red all the time now. She is on Xeralto because of a history of blood clots in her lungs (2005 about). She has not had problems since. She has had floaters for many years. Ever since her eyes got funny she sees more floaters in both eyes. She had a brain scan over 6 months ago which was OK. She also had double vision when this first started which went away. She could not drive for a few months.
VA OD: Dcc20/32-1
VA OS: Dcc20/125
IOP: TP: OD:17 OS:16
Neuroimaging did not show a CC fistulaJul 13, 2021
|
|

Elevated Episcleral Venous Pressure and Retinal Hemorrhages in both eyes260 views78 year old female with chronic red eye. The eyes are red all the time now. She is on Xeralto because of a history of blood clots in her lungs (2005 about). She has not had problems since. She has had floaters for many years. Ever since her eyes got funny she sees more floaters in both eyes. She had a brain scan over 6 months ago which was OK. She also had double vision when this first started which went away. She could not drive for a few months.
VA OD: Dcc20/32-1
VA OS: Dcc20/125
IOP: TP: OD:17 OS:16
Neuroimaging did not show a CC fistulaJul 13, 2021
|
|

Elevated Episcleral Venous Pressure and Retinal Hemorrhages in both eyes280 views78 year old female with chronic red eye. The eyes are red all the time now. She is on Xeralto because of a history of blood clots in her lungs (2005 about). She has not had problems since. She has had floaters for many years. Ever since her eyes got funny she sees more floaters in both eyes. She had a brain scan over 6 months ago which was OK. She also had double vision when this first started which went away. She could not drive for a few months.
VA OD: Dcc20/32-1
VA OS: Dcc20/125
IOP: TP: OD:17 OS:16
Neuroimaging did not show a CC fistulaJul 13, 2021
|
|

Elevated Episcleral Venous Pressure and Retinal Hemorrhages in both eyes287 views78 year old female with chronic red eye. The eyes are red all the time now. She is on Xeralto because of a history of blood clots in her lungs (2005 about). She has not had problems since. She has had floaters for many years. Ever since her eyes got funny she sees more floaters in both eyes. She had a brain scan over 6 months ago which was OK. She also had double vision when this first started which went away. She could not drive for a few months.
VA OD: Dcc20/32-1
VA OS: Dcc20/125
IOP: TP: OD:17 OS:16
Neuroimaging did not show a CC fistulaJul 13, 2021
|
|

Elevated Episcleral Venous Pressure and Retinal Hemorrhages in both eyes276 views78 year old female with chronic red eye. The eyes are red all the time now. She is on Xeralto because of a history of blood clots in her lungs (2005 about). She has not had problems since. She has had floaters for many years. Ever since her eyes got funny she sees more floaters in both eyes. She had a brain scan over 6 months ago which was OK. She also had double vision when this first started which went away. She could not drive for a few months.
VA OD: Dcc20/32-1
VA OS: Dcc20/125
IOP: TP: OD:17 OS:16
Neuroimaging did not show a CC fistulaJul 13, 2021
|
|

Elevated Episcleral Venous Pressure and Retinal Hemorrhages in both eyes283 views78 year old female with chronic red eye. The eyes are red all the time now. She is on Xeralto because of a history of blood clots in her lungs (2005 about). She has not had problems since. She has had floaters for many years. Ever since her eyes got funny she sees more floaters in both eyes. She had a brain scan over 6 months ago which was OK. She also had double vision when this first started which went away. She could not drive for a few months.
VA OD: Dcc20/32-1
VA OS: Dcc20/125
IOP: TP: OD:17 OS:16
Neuroimaging did not show a CC fistulaJul 13, 2021
|
|

Elevated Episcleral Venous Pressure and Retinal Hemorrhages in both eyes290 views78 year old female with chronic red eye. The eyes are red all the time now. She is on Xeralto because of a history of blood clots in her lungs (2005 about). She has not had problems since. She has had floaters for many years. Ever since her eyes got funny she sees more floaters in both eyes. She had a brain scan over 6 months ago which was OK. She also had double vision when this first started which went away. She could not drive for a few months.
VA OD: Dcc20/32-1
VA OS: Dcc20/125
IOP: TP: OD:17 OS:16
Neuroimaging did not show a CC fistulaJul 13, 2021
|
|

Elevated Episcleral Venous Pressure and Retinal Hemorrhages in both eyes295 views78 year old female with chronic red eye. The eyes are red all the time now. She is on Xeralto because of a history of blood clots in her lungs (2005 about). She has not had problems since. She has had floaters for many years. Ever since her eyes got funny she sees more floaters in both eyes. She had a brain scan over 6 months ago which was OK. She also had double vision when this first started which went away. She could not drive for a few months.
VA OD: Dcc20/32-1
VA OS: Dcc20/125
IOP: TP: OD:17 OS:16
Neuroimaging did not show a CC fistulaJul 13, 2021
|
|

Elevated Episcleral Venous Pressure and Retinal Hemorrhages in both eyes283 views78 year old female with chronic red eye. The eyes are red all the time now. She is on Xeralto because of a history of blood clots in her lungs (2005 about). She has not had problems since. She has had floaters for many years. Ever since her eyes got funny she sees more floaters in both eyes. She had a brain scan over 6 months ago which was OK. She also had double vision when this first started which went away. She could not drive for a few months.
VA OD: Dcc20/32-1
VA OS: Dcc20/125
IOP: TP: OD:17 OS:16
Neuroimaging did not show a CC fistulaJul 13, 2021
|
|

Elevated Episcleral Venous Pressure and Retinal Hemorrhages in both eyes280 views78 year old female with chronic red eye. The eyes are red all the time now. She is on Xeralto because of a history of blood clots in her lungs (2005 about). She has not had problems since. She has had floaters for many years. Ever since her eyes got funny she sees more floaters in both eyes. She had a brain scan over 6 months ago which was OK. She also had double vision when this first started which went away. She could not drive for a few months.
VA OD: Dcc20/32-1
VA OS: Dcc20/125
IOP: TP: OD:17 OS:16
Neuroimaging did not show a CC fistulaJul 13, 2021
|
|

Elevated Episcleral Venous Pressure and Retinal Hemorrhages in both eyes315 views78 year old female with chronic red eye. The eyes are red all the time now. She is on Xeralto because of a history of blood clots in her lungs (2005 about). She has not had problems since. She has had floaters for many years. Ever since her eyes got funny she sees more floaters in both eyes. She had a brain scan over 6 months ago which was OK. She also had double vision when this first started which went away. She could not drive for a few months.
VA OD: Dcc20/32-1
VA OS: Dcc20/125
IOP: TP: OD:17 OS:16
Neuroimaging did not show a CC fistulaJul 13, 2021
|
|

Elevated Episcleral Venous Pressure and Retinal Hemorrhages in both eyes328 views78 year old female with chronic red eye. The eyes are red all the time now. She is on Xeralto because of a history of blood clots in her lungs (2005 about). She has not had problems since. She has had floaters for many years. Ever since her eyes got funny she sees more floaters in both eyes. She had a brain scan over 6 months ago which was OK. She also had double vision when this first started which went away. She could not drive for a few months.
VA OD: Dcc20/32-1
VA OS: Dcc20/125
IOP: TP: OD:17 OS:16
Neuroimaging did not show a CC fistulaJul 13, 2021
|
|

Elevated Episcleral Venous Pressure and Retinal Hemorrhages in both eyes298 views78 year old female with chronic red eye. The eyes are red all the time now. She is on Xeralto because of a history of blood clots in her lungs (2005 about). She has not had problems since. She has had floaters for many years. Ever since her eyes got funny she sees more floaters in both eyes. She had a brain scan over 6 months ago which was OK. She also had double vision when this first started which went away. She could not drive for a few months.
VA OD: Dcc20/32-1
VA OS: Dcc20/125
IOP: TP: OD:17 OS:16
Neuroimaging did not show a CC fistulaJul 13, 2021
|
|

Elevated Episcleral Venous Pressure and Retinal Hemorrhages in both eyes270 views78 year old female with chronic red eye. The eyes are red all the time now. She is on Xeralto because of a history of blood clots in her lungs (2005 about). She has not had problems since. She has had floaters for many years. Ever since her eyes got funny she sees more floaters in both eyes. She had a brain scan over 6 months ago which was OK. She also had double vision when this first started which went away. She could not drive for a few months.
VA OD: Dcc20/32-1
VA OS: Dcc20/125
IOP: TP: OD:17 OS:16
Neuroimaging did not show a CC fistulaJul 13, 2021
|
|

Elevated Episcleral Venous Pressure and Retinal Hemorrhages in both eyes306 views78 year old female with chronic red eye. The eyes are red all the time now. She is on Xeralto because of a history of blood clots in her lungs (2005 about). She has not had problems since. She has had floaters for many years. Ever since her eyes got funny she sees more floaters in both eyes. She had a brain scan over 6 months ago which was OK. She also had double vision when this first started which went away. She could not drive for a few months.
VA OD: Dcc20/32-1
VA OS: Dcc20/125
IOP: TP: OD:17 OS:16
Neuroimaging did not show a CC fistulaJul 13, 2021
|
|

Elevated Episcleral Venous Pressure and Retinal Hemorrhages in both eyes280 views78 year old female with chronic red eye. The eyes are red all the time now. She is on Xeralto because of a history of blood clots in her lungs (2005 about). She has not had problems since. She has had floaters for many years. Ever since her eyes got funny she sees more floaters in both eyes. She had a brain scan over 6 months ago which was OK. She also had double vision when this first started which went away. She could not drive for a few months.
VA OD: Dcc20/32-1
VA OS: Dcc20/125
IOP: TP: OD:17 OS:16
Neuroimaging did not show a CC fistulaJul 13, 2021
|
|

Elevated Episcleral Venous Pressure and Retinal Hemorrhages in both eyes276 views78 year old female with chronic red eye. The eyes are red all the time now. She is on Xeralto because of a history of blood clots in her lungs (2005 about). She has not had problems since. She has had floaters for many years. Ever since her eyes got funny she sees more floaters in both eyes. She had a brain scan over 6 months ago which was OK. She also had double vision when this first started which went away. She could not drive for a few months.
VA OD: Dcc20/32-1
VA OS: Dcc20/125
IOP: TP: OD:17 OS:16
Neuroimaging did not show a CC fistulaJul 13, 2021
|
|

Elevated Episcleral Venous Pressure and Retinal Hemorrhages in both eyes274 views78 year old female with chronic red eye. The eyes are red all the time now. She is on Xeralto because of a history of blood clots in her lungs (2005 about). She has not had problems since. She has had floaters for many years. Ever since her eyes got funny she sees more floaters in both eyes. She had a brain scan over 6 months ago which was OK. She also had double vision when this first started which went away. She could not drive for a few months.
VA OD: Dcc20/32-1
VA OS: Dcc20/125
IOP: TP: OD:17 OS:16
Neuroimaging did not show a CC fistulaJul 13, 2021
|
|

Elevated Episcleral Venous Pressure and Retinal Hemorrhages in both eyes305 views78 year old female with chronic red eye. The eyes are red all the time now. She is on Xeralto because of a history of blood clots in her lungs (2005 about). She has not had problems since. She has had floaters for many years. Ever since her eyes got funny she sees more floaters in both eyes. She had a brain scan over 6 months ago which was OK. She also had double vision when this first started which went away. She could not drive for a few months.
VA OD: Dcc20/32-1
VA OS: Dcc20/125
IOP: TP: OD:17 OS:16
Neuroimaging did not show a CC fistulaJul 13, 2021
|
|

Elevated Episcleral Venous Pressure and Retinal Hemorrhages in both eyes276 views78 year old female with chronic red eye. The eyes are red all the time now. She is on Xeralto because of a history of blood clots in her lungs (2005 about). She has not had problems since. She has had floaters for many years. Ever since her eyes got funny she sees more floaters in both eyes. She had a brain scan over 6 months ago which was OK. She also had double vision when this first started which went away. She could not drive for a few months.
VA OD: Dcc20/32-1
VA OS: Dcc20/125
IOP: TP: OD:17 OS:16
Neuroimaging did not show a CC fistulaJul 13, 2021
|
|

Elevated Episcleral Venous Pressure and Retinal Hemorrhages in both eyes312 views78 year old female with chronic red eye. The eyes are red all the time now. She is on Xeralto because of a history of blood clots in her lungs (2005 about). She has not had problems since. She has had floaters for many years. Ever since her eyes got funny she sees more floaters in both eyes. She had a brain scan over 6 months ago which was OK. She also had double vision when this first started which went away. She could not drive for a few months.
VA OD: Dcc20/32-1
VA OS: Dcc20/125
IOP: TP: OD:17 OS:16
Neuroimaging did not show a CC fistulaJul 13, 2021
|
|

Elevated Episcleral Venous Pressure and Retinal Hemorrhages in both eyes286 views78 year old female with chronic red eye. The eyes are red all the time now. She is on Xeralto because of a history of blood clots in her lungs (2005 about). She has not had problems since. She has had floaters for many years. Ever since her eyes got funny she sees more floaters in both eyes. She had a brain scan over 6 months ago which was OK. She also had double vision when this first started which went away. She could not drive for a few months.
VA OD: Dcc20/32-1
VA OS: Dcc20/125
IOP: TP: OD:17 OS:16
Neuroimaging did not show a CC fistulaJul 13, 2021
|
|

Elevated Episcleral Venous Pressure and Retinal Hemorrhages in both eyes276 views78 year old female with chronic red eye. The eyes are red all the time now. She is on Xeralto because of a history of blood clots in her lungs (2005 about). She has not had problems since. She has had floaters for many years. Ever since her eyes got funny she sees more floaters in both eyes. She had a brain scan over 6 months ago which was OK. She also had double vision when this first started which went away. She could not drive for a few months.
VA OD: Dcc20/32-1
VA OS: Dcc20/125
IOP: TP: OD:17 OS:16
Neuroimaging did not show a CC fistulaJul 13, 2021
|
|

Elevated Episcleral Venous Pressure and Retinal Hemorrhages in both eyes295 views78 year old female with chronic red eye. The eyes are red all the time now. She is on Xeralto because of a history of blood clots in her lungs (2005 about). She has not had problems since. She has had floaters for many years. Ever since her eyes got funny she sees more floaters in both eyes. She had a brain scan over 6 months ago which was OK. She also had double vision when this first started which went away. She could not drive for a few months.
VA OD: Dcc20/32-1
VA OS: Dcc20/125
IOP: TP: OD:17 OS:16
Neuroimaging did not show a CC fistulaJul 13, 2021
|
|
| 4332 files on 44 page(s) |
 |
 |
 |
 |
 |
10 |  |
 |
 |
 |
|