Retina Gallery ~ Full Sized Retina Images

Library of Free, Non-Copyrighted Retina Images and Videos

Choose your language:



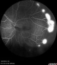
28 year old man who thought he had sickle trait but blood test showed he had HgB SC disease. He had recurrent episodes of vision loss in the left eye and presented with a vitreous hemorrhage. Vision 20/12 OD, 20/25 OS. He had foveal thinning on OCT oS and peripheral NV in both eyes. The left eye was lasered the following week.

sickle_moda_102314_01.png
Sickle Retinpoathy SC Disease - Vitreous Hemorrhage Left Eye - 29 Year old642 views00000
(0 votes)
sickle_moda_102314_02.png
Sickle Retinpoathy SC Disease - Vitreous Hemorrhage Left Eye - 29 Year old523 views00000
(0 votes)
sickle_moda_102314_03.png
Sickle Retinpoathy SC Disease - Vitreous Hemorrhage Left Eye - 29 Year old534 views00000
(0 votes)
sickle_moda_102314_04.png
Sickle Retinpoathy SC Disease - Vitreous Hemorrhage Left Eye - 29 Year old530 views00000
(0 votes)
sickle_moda_102314_05.png
Sickle Retinpoathy SC Disease - Vitreous Hemorrhage Left Eye - 29 Year old532 views00000
(0 votes)
sickle_moda_102314_06.png
Sickle Retinpoathy SC Disease - Vitreous Hemorrhage Left Eye - 29 Year old633 viewsFrond of NV in the periphery00000
(0 votes)
sickle_moda_102314_08.png
Sickle Retinpoathy SC Disease - Vitreous Hemorrhage Left Eye - 29 Year old522 viewsFrond of NV in the periphery00000
(0 votes)
sickle_moda_102314_09.jpg
Sickle Retinpoathy SC Disease - Vitreous Hemorrhage Left Eye - 29 Year old534 views00000
(0 votes)
sickle_moda_102314_10.jpg
Sickle Retinpoathy SC Disease - Vitreous Hemorrhage Left Eye - 29 Year old476 views00000
(0 votes)
sickle_moda_102314_11.jpg
Sickle Retinpoathy SC Disease - Vitreous Hemorrhage Left Eye - 29 Year old516 views00000
(0 votes)
sickle_moda_102314_12.jpg
Sickle Retinpoathy SC Disease - Vitreous Hemorrhage Left Eye - 29 Year old487 views00000
(0 votes)
sickle_moda_102314_13.jpg
Sickle Retinpoathy SC Disease - Vitreous Hemorrhage Left Eye - 29 Year old478 views00000
(0 votes)
sickle_moda_102314_14.jpg
Sickle Retinpoathy SC Disease - Vitreous Hemorrhage Left Eye - 29 Year old516 viewsD OCT shows foveal atrophy not uncommon in Sickle from ischemia00000
(0 votes)
sickle_moda_102314_15.jpg
Sickle Retinpoathy SC Disease - Vitreous Hemorrhage Left Eye - 29 Year old500 viewsSD OCT shows foveal atrophy not uncommon in Sickle from ischemia00000
(0 votes)
sickle_moda_102314_16.jpg
Sickle Retinpoathy SC Disease - Vitreous Hemorrhage Left Eye - 29 Year old468 views00000
(0 votes)
sickle_moda_102314_17.jpg
Sickle Retinpoathy SC Disease - Vitreous Hemorrhage Left Eye - 29 Year old450 views00000
(0 votes)
sickle_moda_102314_18.jpg
464 views00000
(0 votes)
sickle_moda_102314_19.jpg
Vitreous hemorrhage OS441 views00000
(0 votes)
sickle_moda_102314_20.jpg
Sickle Retinopathy - Ultra Wide Field Angiogram - Heidelberg521 viewsLeakage from peripheral fronds of NV - HGB SC disease - 28 year old man with vision loss OS from acute vitreous hemorrhage00000
(0 votes)
sickle_moda_102314_21.jpg
Sickle Retinopathy - Ultra Wide Field Angiogram - Heidelberg504 viewsLeakage from peripheral fronds of NV - HGB SC disease - 28 year old man with vision loss OS from acute vitreous hemorrhage00000
(0 votes)
sickle_moda_102314_22.jpg
Sickle Retinopathy - Ultra Wide Field Angiogram - Heidelberg581 viewsLeakage from peripheral fronds of NV - HGB SC disease - 28 year old man with vision loss OS from acute vitreous hemorrhage00000
(0 votes)
sickle_moda_102314_23.jpg
Sickle Retinopathy - Ultra Wide Field Angiogram - Heidelberg508 viewsLeakage from peripheral fronds of NV - HGB SC disease - 28 year old man with vision loss OS from acute vitreous hemorrhage00000
(0 votes)
sickle_moda_102314_24.jpg
Sickle Retinopathy - Ultra Wide Field Angiogram - Heidelberg482 viewsLeakage from peripheral fronds of NV - HGB SC disease - 28 year old man with vision loss OS from acute vitreous hemorrhage00000
(0 votes)
sickle_moda_102314_25.jpg
Sickle Retinopathy - Ultra Wide Field Angiogram - Heidelberg473 viewsLeakage from peripheral fronds of NV - HGB SC disease - 28 year old man with vision loss OS from acute vitreous hemorrhage00000
(0 votes)
sickle_moda_102314_26.jpg
Sickle Retinopathy - Ultra Wide Field Angiogram - Heidelberg464 viewsLeakage from peripheral fronds of NV - HGB SC disease - 28 year old man with vision loss OS from acute vitreous hemorrhage00000
(0 votes)
sickle_moda_102314_27.jpg
Sickle Retinopathy - Ultra Wide Field Angiogram - Heidelberg477 viewsLeakage from peripheral fronds of NV - HGB SC disease - 28 year old man with vision loss OS from acute vitreous hemorrhage00000
(0 votes)
sickle_moda_102314_28.jpg
Sickle Retinopathy - Ultra Wide Field Angiogram - Heidelberg480 viewsLeakage from peripheral fronds of NV - HGB SC disease - 28 year old man with vision loss OS from acute vitreous hemorrhage00000
(0 votes)
sickle_moda_102314_29.jpg
Sickle Retinopathy - Ultra Wide Field Angiogram - Heidelberg503 viewsLeakage from peripheral fronds of NV - HGB SC disease - 28 year old man with vision loss OS from acute vitreous hemorrhage00000
(0 votes)
sickle_moda_102314_30.jpg
Sickle Retinopathy - Ultra Wide Field Angiogram - Heidelberg488 viewsLeakage from peripheral fronds of NV - HGB SC disease - 28 year old man with vision loss OS from acute vitreous hemorrhage00000
(0 votes)
sickle_moda_102314_31.jpg
Sickle Retinopathy - Ultra Wide Field Angiogram - Heidelberg495 viewsLeakage from peripheral fronds of NV - HGB SC disease - 28 year old man with vision loss OS from acute vitreous hemorrhage00000
(0 votes)
sickle_moda_102314_32.jpg
Sickle Retinopathy - Ultra Wide Field Angiogram - Heidelberg465 viewsLeakage from peripheral fronds of NV - HGB SC disease - 28 year old man with vision loss OS from acute vitreous hemorrhage00000
(0 votes)
sickle_moda_102314_33.jpg
Sickle Retinopathy - Ultra Wide Field Angiogram - Heidelberg508 viewsLeakage from peripheral fronds of NV - HGB SC disease - 28 year old man with vision loss OS from acute vitreous hemorrhage00000
(0 votes)
sickle_moda_102314_34.jpg
Sickle Retinopathy - Ultra Wide Field Angiogram - Heidelberg441 viewsLeakage from peripheral fronds of NV - HGB SC disease - 28 year old man with vision loss OS from acute vitreous hemorrhage00000
(0 votes)
sickle_moda_102314_35.jpg
Sickle Retinopathy - Ultra Wide Field Angiogram - Heidelberg448 viewsLeakage from peripheral fronds of NV - HGB SC disease - 28 year old man with vision loss OS from acute vitreous hemorrhage00000
(0 votes)
sickle_moda_102314_36.jpg
Sickle Retinopathy - Ultra Wide Field Angiogram - Heidelberg534 viewsLeakage from peripheral fronds of NV - HGB SC disease - 28 year old man with vision loss OS from acute vitreous hemorrhage00000
(0 votes)
 
35 files on 1 page(s)

28 year old man who thought he had sickle trait but blood test showed he had HgB SC disease. He had recurrent episodes of vision loss in the left eye and presented with a vitreous hemorrhage. Vision 20/12 OD, 20/25 OS. He had foveal thinning on OCT oS and peripheral NV in both eyes. The left eye was lasered the following week.