Retina Gallery ~ Full Sized Retina Images

Library of Free, Non-Copyrighted Retina Images and Videos

Choose your language:



85 year old woman with 20/25 vision OU and reticular macular disease

RMD_JAAP_072613_00.jpg
Reticular Macular Disease (Dry Macular Degeneration) - Color Photo747 views85 year old woman with 20/25 vision OU and reticular macular disease00000
(0 votes)
RMD_JAAP_072613_01.jpg
Reticular Macular Disease (Dry Macular Degeneration) - Color Photo633 views85 year old woman with 20/25 vision OU and reticular macular disease00000
(0 votes)
RMD_JAAP_072613_02.jpg
Reticular Macular Disease (Dry Macular Degeneration) - Infrared reflectance640 views85 year old woman with 20/25 vision OU and reticular macular disease00000
(0 votes)
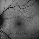
RMD_JAAP_072613_03.jpg
Reticular Macular Disease (Dry Macular Degeneration) - Infrared reflectance609 views85 year old woman with 20/25 vision OU and reticular macular disease00000
(0 votes)
RMD_JAAP_072613_04.jpg
Reticular Macular Disease (Dry Macular Degeneration) - Fundus Autolfuorescence518 views85 year old woman with 20/25 vision OU and reticular macular disease00000
(0 votes)
RMD_JAAP_072613_05.jpg
Reticular Macular Disease (Dry Macular Degeneration) - Fundus Autolfuorescence552 views85 year old woman with 20/25 vision OU and reticular macular disease00000
(0 votes)
RMD_JAAP_072613_06.jpg
Reticular Macular Disease (Dry Macular Degeneration) - Spectral Domain Optical Coherence Tomography Line Scan524 views85 year old woman with 20/25 vision OU and reticular macular disease00000
(0 votes)
RMD_JAAP_072613_07.jpg
Reticular Macular Disease (Dry Macular Degeneration) - Spectral Domain Optical Coherence Tomography Line Scan533 views85 year old woman with 20/25 vision OU and reticular macular disease00000
(0 votes)
RMD_JAAP_072613_09.jpg
Reticular Macular Disease (Dry Macular Degeneration) - Spectral Domain Optical Coherence Tomography Line Scan603 views85 year old woman with 20/25 vision OU and reticular macular disease00000
(0 votes)
RMD_JAAP_072613_10.jpg
Reticular Macular Disease (Dry Macular Degeneration) - Spectral Domain Optical Coherence Tomography Line Scan765 views85 year old woman with 20/25 vision OU and reticular macular disease00000
(0 votes)
   
10 files on 1 page(s)

85 year old woman with 20/25 vision OU and reticular macular disease