Retina Gallery ~ Full Sized Retina Images

Library of Free, Non-Copyrighted Retina Images and Videos

Choose your language:



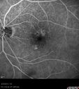
80-year-old woman noticed decreasing vision for sometime between the last six to twelve months. She is a voracious reader. She finds she is having difficulty reading and seeing well. You saw a problem with the retina and suggest she come here for an evaluation. She also was told that you were considering laser for posterior capsular opacities. VISUAL ACUITY: OD 20/40, OS 20/63. IOP: OD 12, OS 13. SLIT EXAMINATION: The posterior chamber intraocular lens is in good position in both eyes. EXTENDED OPHTHALMOSCOPY: OD: Vertical C/D ratio is 0.3. There is posterior vitreous separation. There is hemorrhage inferotemporal to the fovea with subretinal fluid. OS: Vertical C/D ratio is 0.3. There is posterior vitreous separation and 2+ macular drusen. SPECTRALIS-SD-OCT SCAN: The OCT scan of the right eye shows intraretinal and subretinal fluid as well as pigment epithelium thickening inferotemporal to the fovea. The OCT scan of the left eye does show patchy drusen, but there is no intraretinal or subretinal fluid. Photos confirm clinical findings. FUNDUS AUTO FLUORESCENCE: The infra red and auto fluorescence images show reticular macular disease. FLUORESCEIN ANGIOGRAPHY: Fluorescein angiography of the right eye shows an occult subfoveal choroidal neovascular membrane a disc area in size centered inferotemporal to the fovea, which leaks in the late frames. The angiogram of the left eye shows a few hyperfluorescence spots around the macula, which stain, but don’t leak. INDOCYANINE GREEN ANGIOGRAPHY: The indocyanine green angiogram shows a disc area of neovascular membrane inferotemporal to the fovea. There is no evidence of any polypoidal choroidal vasculopathy. In the left eye the indocyanine green angiogram shows no leakage and all the testing does show significant reticular pseudo drusen. IMPRESSION: 1. WET AGE-RELATED MACULAR DEGENERATION – RIGHT EYE 2. OCCULT SUBFOVEAL CHOROIDAL NEOVASCULAR MEMBRANE - RIGHT EYE 3. MACULAR HEMORRHAGE – RIGHT EYE 4. PIGMENT EPITHELIAL DETACHMENT – RIGHT EYE 5. RETICULAR MACULAR DISEASE – BOTH EYES DISCUSSION: I explained to the patient the right eye does have wet age-related macular degeneration. With Avastin there is a 90 percent chance of improving the vision some and a 50 percent chance of improving the vision a lot. I explained to her that all the treatments are safe and effective. It does often require ongoing therapy at least for a while.

rmd_thjo_022312_01.png
Reticular Macular Disease (Pseudo-drusen) Both Eyes - Occult CNVM and Macular Edema Right Eye 631 viewsColor Fundus Photo00000
(0 votes)
rmd_thjo_022312_02.png
Reticular Macular Disease (Pseudo-drusen) Both Eyes - Occult CNVM and Macular Edema Right Eye 572 viewsColor Fundus Photo00000
(0 votes)
rmd_thjo_022312_03.jpg
Reticular Macular Disease (Pseudo-drusen) Both Eyes - Occult CNVM and Macular Edema Right Eye 560 viewsColor Fundus Photo00000
(0 votes)
rmd_thjo_022312_04.jpg
Reticular Macular Disease (Pseudo-drusen) Both Eyes - Occult CNVM and Macular Edema Right Eye 546 viewsColor Fundus Photo00000
(0 votes)
rmd_thjo_022312_05.jpg
Reticular Macular Disease (Pseudo-drusen) Both Eyes - Occult CNVM and Macular Edema Right Eye 549 viewsInfra-Red00000
(0 votes)
rmd_thjo_022312_06.jpg
Reticular Macular Disease (Pseudo-drusen) Both Eyes - Occult CNVM and Macular Edema Right Eye 660 viewsInfra-Red00000
(0 votes)
rmd_thjo_022312_08.jpg
Reticular Macular Disease (Pseudo-drusen) Both Eyes - Occult CNVM and Macular Edema Right Eye 595 viewsInfra-Red00000
(0 votes)
rmd_thjo_022312_09.jpg
Reticular Macular Disease (Pseudo-drusen) Both Eyes - Occult CNVM and Macular Edema Right Eye 474 views00000
(0 votes)
rmd_thjo_022312_10.jpg
Reticular Macular Disease (Pseudo-drusen) Both Eyes - Occult CNVM and Macular Edema Right Eye 499 viewsInfra-Red00000
(0 votes)
rmd_thjo_022312_11.jpg
Reticular Macular Disease (Pseudo-drusen) Both Eyes - Occult CNVM and Macular Edema Right Eye 549 viewsFundus Autofluorescence00000
(0 votes)
rmd_thjo_022312_12.jpg
Reticular Macular Disease (Pseudo-drusen) Both Eyes - Occult CNVM and Macular Edema Right Eye 477 viewsFundus AutofluorescenceFundus Autofluorescence00000
(0 votes)
rmd_thjo_022312_13.jpg
Reticular Macular Disease (Pseudo-drusen) Both Eyes - Occult CNVM and Macular Edema Right Eye 519 viewsFundus Autofluorescence00000
(0 votes)
rmd_thjo_022312_14.jpg
Reticular Macular Disease (Pseudo-drusen) Both Eyes - Occult CNVM and Macular Edema Right Eye 543 viewsSpectral Domain Optical Coherence Tomography00000
(0 votes)
rmd_thjo_022312_15.jpg
Reticular Macular Disease (Pseudo-drusen) Both Eyes - Occult CNVM and Macular Edema Right Eye 546 viewsSpectral Domain Optical Coherence Tomography00000
(0 votes)
rmd_thjo_022312_16.jpg
Reticular Macular Disease (Pseudo-drusen) Both Eyes - Occult CNVM and Macular Edema Right Eye 612 viewsSpectral Domain Optical Coherence Tomography00000
(0 votes)
rmd_thjo_022312_17.jpg
Reticular Macular Disease (Pseudo-drusen) Both Eyes - Occult CNVM and Macular Edema Right Eye 606 viewsSpectral Domain Optical Coherence Tomography00000
(0 votes)
rmd_thjo_022312_18.jpg
Reticular Macular Disease (Pseudo-drusen) Both Eyes - Occult CNVM and Macular Edema Right Eye 603 viewsSpectral Domain Optical Coherence Tomography00000
(0 votes)
rmd_thjo_022312_19.jpg
Reticular Macular Disease (Pseudo-drusen) Both Eyes - Occult CNVM and Macular Edema Right Eye 562 viewsSpectral Domain Optical Coherence Tomography00000
(0 votes)
rmd_thjo_022312_20.jpg
Reticular Macular Disease (Pseudo-drusen) Both Eyes - Occult CNVM and Macular Edema Right Eye 1277 viewsSpectral Domain Optical Coherence Tomography00000
(0 votes)
rmd_thjo_022312_22.jpg
Reticular Macular Disease (Pseudo-drusen) Both Eyes - Occult CNVM and Macular Edema Right Eye 778 viewsSpectral Domain Optical Coherence Tomography00000
(0 votes)
rmd_thjo_022312_23.jpg
Reticular Macular Disease (Pseudo-drusen) Both Eyes - Occult CNVM and Macular Edema Right Eye 511 viewsFluorescein Angiogram00000
(0 votes)
rmd_thjo_022312_24.jpg
Reticular Macular Disease (Pseudo-drusen) Both Eyes - Occult CNVM and Macular Edema Right Eye 491 viewsFluorescein Angiogram00000
(0 votes)
rmd_thjo_022312_25.jpg
Reticular Macular Disease (Pseudo-drusen) Both Eyes - Occult CNVM and Macular Edema Right Eye 532 viewsFluorescein Angiogram00000
(0 votes)
rmd_thjo_022312_26.jpg
Reticular Macular Disease (Pseudo-drusen) Both Eyes - Occult CNVM and Macular Edema Right Eye 481 viewsFluorescein Angiogram00000
(0 votes)
rmd_thjo_022312_27.jpg
Reticular Macular Disease (Pseudo-drusen) Both Eyes - Occult CNVM and Macular Edema Right Eye 520 viewsFluorescein Angiogram00000
(0 votes)
rmd_thjo_022312_28.jpg
Reticular Macular Disease (Pseudo-drusen) Both Eyes - Occult CNVM and Macular Edema Right Eye 452 viewsFluorescein Angiogram00000
(0 votes)
rmd_thjo_022312_29.jpg
Reticular Macular Disease (Pseudo-drusen) Both Eyes - Occult CNVM and Macular Edema Right Eye 520 viewsFluorescein Angiogram00000
(0 votes)
rmd_thjo_022312_30.jpg
Reticular Macular Disease (Pseudo-drusen) Both Eyes - Occult CNVM and Macular Edema Right Eye 560 viewsFluorescein Angiogram00000
(0 votes)
rmd_thjo_022312_31.jpg
Reticular Macular Disease (Pseudo-drusen) Both Eyes - Occult CNVM and Macular Edema Right Eye 520 viewsFluorescein Angiogram00000
(0 votes)
rmd_thjo_022312_32.jpg
Reticular Macular Disease (Pseudo-drusen) Both Eyes - Occult CNVM and Macular Edema Right Eye 558 viewsFluorescein Angiogram00000
(0 votes)
rmd_thjo_022312_33.jpg
Reticular Macular Disease (Pseudo-drusen) Both Eyes - Occult CNVM and Macular Edema Right Eye 554 viewsFluorescein Angiogram00000
(0 votes)
rmd_thjo_022312_34.jpg
Reticular Macular Disease (Pseudo-drusen) Both Eyes - Occult CNVM and Macular Edema Right Eye 504 viewsIndocyanine Green Angiogram00000
(0 votes)
rmd_thjo_022312_35.jpg
Reticular Macular Disease (Pseudo-drusen) Both Eyes - Occult CNVM and Macular Edema Right Eye 507 viewsIndocyanine Green Angiogram00000
(0 votes)
rmd_thjo_022312_36.jpg
Reticular Macular Disease (Pseudo-drusen) Both Eyes - Occult CNVM and Macular Edema Right Eye 531 viewsIndocyanine Green Angiogram00000
(0 votes)
rmd_thjo_022312_37.jpg
Reticular Macular Disease (Pseudo-drusen) Both Eyes - Occult CNVM and Macular Edema Right Eye 494 viewsIndocyanine Green Angiogram00000
(0 votes)
rmd_thjo_022312_38.jpg
Reticular Macular Disease (Pseudo-drusen) Both Eyes - Occult CNVM and Macular Edema Right Eye 449 viewsIndocyanine Green Angiogram00000
(0 votes)
rmd_thjo_022312_39.jpg
Reticular Macular Disease (Pseudo-drusen) Both Eyes - Occult CNVM and Macular Edema Right Eye 521 viewsIndocyanine Green Angiogram00000
(0 votes)
rmd_thjo_022312_40.jpg
Reticular Macular Disease (Pseudo-drusen) Both Eyes - Occult CNVM and Macular Edema Right Eye 482 viewsIndocyanine Green Angiogram00000
(0 votes)
rmd_thjo_022312_41.jpg
Reticular Macular Disease (Pseudo-drusen) Both Eyes - Occult CNVM and Macular Edema Right Eye 568 viewsIndocyanine Green Angiogram00000
(0 votes)
rmd_thjo_022312_42.jpg
Reticular Macular Disease (Pseudo-drusen) Both Eyes - Occult CNVM and Macular Edema Right Eye629 viewsIndocyanine Green Angiogram00000
(0 votes)
40 files on 1 page(s)

80-year-old woman noticed decreasing vision for sometime between the last six to twelve months. She is a voracious reader. She finds she is having difficulty reading and seeing well. You saw a problem with the retina and suggest she come here for an evaluation. She also was told that you were considering laser for posterior capsular opacities. VISUAL ACUITY: OD 20/40, OS 20/63. IOP: OD 12, OS 13. SLIT EXAMINATION: The posterior chamber intraocular lens is in good position in both eyes. EXTENDED OPHTHALMOSCOPY: OD: Vertical C/D ratio is 0.3. There is posterior vitreous separation. There is hemorrhage inferotemporal to the fovea with subretinal fluid. OS: Vertical C/D ratio is 0.3. There is posterior vitreous separation and 2+ macular drusen. SPECTRALIS-SD-OCT SCAN: The OCT scan of the right eye shows intraretinal and subretinal fluid as well as pigment epithelium thickening inferotemporal to the fovea. The OCT scan of the left eye does show patchy drusen, but there is no intraretinal or subretinal fluid. Photos confirm clinical findings. FUNDUS AUTO FLUORESCENCE: The infra red and auto fluorescence images show reticular macular disease. FLUORESCEIN ANGIOGRAPHY: Fluorescein angiography of the right eye shows an occult subfoveal choroidal neovascular membrane a disc area in size centered inferotemporal to the fovea, which leaks in the late frames. The angiogram of the left eye shows a few hyperfluorescence spots around the macula, which stain, but don’t leak. INDOCYANINE GREEN ANGIOGRAPHY: The indocyanine green angiogram shows a disc area of neovascular membrane inferotemporal to the fovea. There is no evidence of any polypoidal choroidal vasculopathy. In the left eye the indocyanine green angiogram shows no leakage and all the testing does show significant reticular pseudo drusen. IMPRESSION: 1. WET AGE-RELATED MACULAR DEGENERATION – RIGHT EYE 2. OCCULT SUBFOVEAL CHOROIDAL NEOVASCULAR MEMBRANE - RIGHT EYE 3. MACULAR HEMORRHAGE – RIGHT EYE 4. PIGMENT EPITHELIAL DETACHMENT – RIGHT EYE 5. RETICULAR MACULAR DISEASE – BOTH EYES DISCUSSION: I explained to the patient the right eye does have wet age-related macular degeneration. With Avastin there is a 90 percent chance of improving the vision some and a 50 percent chance of improving the vision a lot. I explained to her that all the treatments are safe and effective. It does often require ongoing therapy at least for a while.