80 Year Old Female Patient came in 1 year ago with a retinal whitening in her eye and uveitis. Her uveitis work-up was negative, and because of the retinal whitening and the uveitis, I was concerned about a possible occult acute retinal necrosis case. I put her on Valtrex, but the eyes did not get any better and the retinal whitening continued. Then later, I became concerned about a possible primary ocular lymphoma. She had an extensive cancer evaluation that was all negative. She has had MRI scans and ultimately I did a vitrectomy on both eyes. I did the right eye on May 30th of 2012 and flow cytometry and cytology was negative. That eye cleared nicely, but then, because of increasing uveitis in the left eye, I did a vitrectomy in the left eye on December 19th of 2012. That sample I sent to the lab in Miami and that result was similarly negative. I am going to send you all of the results so you have them when you see her. At this point, it has been unclear whether she had uveitis, infectious retinitis, or possibly primary ocular lymphoma.
When I saw her in my office on November 27th of 2012, she had a white subretinal mass growing in the right eye and the left eye had vitreous cells. After the vitrectomy in the left eye, I started rechecking both eyes and the white subretinal mass in the right eye had doubled in size. The right eye now looks very much like it has primary ocular lymphoma.
I appreciate you seeing her and, if possible, performing some sort of a biopsy of that mass, which has now grown to the point where I think a fine-needle aspiration biopsy would be possible to help secure the diagnosis.
++++++++++++ Visit 2/5/2013. 80-year-old woman has possible ocular lymphoma. She has had two vitreous biopsies, one in one eye and one in the other eye, and the tests have been negative. Recently she is manifesting increasing anemia. She also has glaucoma. She is taking Pred Forte in both eyes and Combigan in both eyes.
VISUAL ACUITY: Vision OD is 20/40, OS is 20/160. IOP: OD 22, OS 24. The eyes are quiet with a posterior chamber intraocular lens in good position in both eyes.
EXTENDED OPHTHALMOSCOPY:
OD: Vertical C/D ratio is 0.4. The white mass in the macula is much bigger than it was when I saw her in November. It is growing on the superior half of the macula, as well as just nasal to the optic nerve. It has about doubled in size. There are no significant vitreous cells.
OS: Vertical C/D ratio is 0.4. There are patchy retinal hemorrhages.
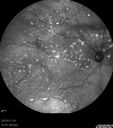
FUNDUS PHOTOGRAPHY – COLOR AND AUTOFLUORESCENCE: Color and autofluorescence photographs do show the mass to be much bigger.
SPECTRALIS SD-OCT SCAN: The OCT scans over that area show the probable tumor to be about 1.5 mm high.
IMPRESSION:
1. PROBABLE OCULAR LYMPHOMA – BOTH EYES
DISCUSSION: I explained to the patient, given the growth of the lesion and the absence of inflammation around it, I think at this point it is likely ocular lymphoma.
++++++++++ VISIT - 1/4/2013. 80-year-old woman had a vitreous biopsy in the left eye with a fairly full vitrectomy back on December 19th, of 2012. Her vitreous was sent down to Miami where it was carefully analyzed in the pathology lab. The flow cytometry was normal. Her B cell testing was normal. The T cell testing did show two small peaks. I contacted the pathologist about that result and it is not uncommon in cerebrospinal fluid and vitreous samples, because there are so few cells, to see some peaks on the T cells. Generally that is not considered indicative of a T cell lymphoma. There is no such thing as a primary intraocular T cell lymphoma. The primary intraocular lymphomas are B cells and the findings overall were consistent with intraocular inflammation. She did have extensive blood testing by
Dr. Friedberg when this all started a few years ago and that was all negative. I have not repeated the blood tests though. The vision in the left eye is better since the vitrectomy.
VISUAL ACUITY: Vision OD is 20/25; OS is 20/100, PH is 20/40. IOP: OS 18. The left eye is quiet in the anterior chamber. The posterior chamber intraocular lens is in good position.
EXTENDED OPHTHALMOSCOPY:
OS: Vertical C/D ratio is 0.2. There is peripheral retinal hemorrhaging, less than on last visit. The retina is everywhere attached.
IMPRESSION:
1. NEGATIVE VITREOUS BIOPSY FOR INTRAOCULAR LYMPHOMA
2. PANUVEITIS – BOTH EYES
DISCUSSION: I explained to the patient, given all testing, it looks at the moment like she has an inflammatory panuveitis, and I am going to rerun the initial blood tests to see if anything comes up positive. Inflammatory and infectious diseases sometimes infect the posterior pole.
|

Uveitis and Retinal Whitening - 04-27-12 - Prior to PPV OD - Possible Primary Ocular Lymphoma 738 views     (0 votes)
|
|

Uveitis and Retinal Whitening - 04-27-12 - Prior to PPV OD - Possible Primary Ocular Lymphoma 633 views     (0 votes)
|
|

Uveitis and Retinal Whitening - 04-27-12 - Prior to PPV OD - Possible Primary Ocular Lymphoma 589 views     (0 votes)
|
|

Uveitis and Retinal Whitening - 04-27-12 - Prior to PPV OD - Possible Primary Ocular Lymphoma 592 views     (0 votes)
|
|

Uveitis and Retinal Whitening - 04-27-12 - Prior to PPV OD - Possible Primary Ocular Lymphoma 707 views     (0 votes)
|
|

Uveitis and Retinal Whitening - 04-27-12 - Prior to PPV OD - Possible Primary Ocular Lymphoma 659 views     (0 votes)
|
|

Uveitis and Retinal Whitening - 04-27-12 - Prior to PPV OD - Possible Primary Ocular Lymphoma 547 views     (0 votes)
|
|

Uveitis and Retinal Whitening - 04-27-12 - Prior to PPV OD - Possible Primary Ocular Lymphoma 571 views     (0 votes)
|
|

Uveitis and Retinal Whitening - 04-27-12 - Prior to PPV OD - Possible Primary Ocular Lymphoma 591 views     (0 votes)
|
|

Uveitis and Retinal Whitening - 04-27-12 - Prior to PPV OD - Possible Primary Ocular Lymphoma 487 views     (0 votes)
|
|

Uveitis and Retinal Whitening - 04-27-12 - Prior to PPV OD - Possible Primary Ocular Lymphoma 514 views     (0 votes)
|
|

Uveitis and Retinal Whitening - 04-27-12 - Prior to PPV OD - Possible Primary Ocular Lymphoma 518 views     (0 votes)
|
|

Uveitis and Retinal Whitening - 04-27-12 - Prior to PPV OD - Possible Primary Ocular Lymphoma 488 views     (0 votes)
|
|

Uveitis and Retinal Whitening - 04-27-12 - Prior to PPV OD - Possible Primary Ocular Lymphoma 540 views     (0 votes)
|
|

Uveitis and Retinal Whitening - 04-27-12 - Prior to PPV OD - Possible Primary Ocular Lymphoma 551 views     (0 votes)
|
|

Primary Ocular Lymphoma - 051812 498 views     (0 votes)
|
|

Primary Ocular Lymphoma - 051812 479 views     (0 votes)
|
|

Primary Ocular Lymphoma - 051812 496 views     (0 votes)
|
|

Primary Ocular Lymphoma - 051812 511 views     (0 votes)
|
|

Primary Ocular Lymphoma - 051812 475 views     (0 votes)
|
|

Primary Ocular Lymphoma - 051812 479 views     (0 votes)
|
|

Primary Ocular Lymphoma - 051812 492 views     (0 votes)
|
|

Primary Ocular Lymphoma - 051812 466 views     (0 votes)
|
|

Primary Ocular Lymphoma - 051812 490 views     (0 votes)
|
|

Primary Ocular Lymphoma - 051812 502 views     (0 votes)
|
|

Primary Ocular Lymphoma - White Mass Left Eye - 112712 555 views     (0 votes)
|
|

Primary Ocular Lymphoma - White Mass Left Eye - 112712 743 views     (0 votes)
|
|

Primary Ocular Lymphoma - White Mass Left Eye - 112712 573 views     (0 votes)
|
|

Primary Ocular Lymphoma - White Mass Left Eye - 112712 693 views     (0 votes)
|
|

Primary Ocular Lymphoma - White Mass Left Eye - 112712 641 views     (0 votes)
|
|

Primary Ocular Lymphoma - White Mass Left Eye - 112712 635 views     (0 votes)
|
|

Primary Ocular Lymphoma - White Mass Left Eye - 112712 692 views     (0 votes)
|
|

Primary Ocular Lymphoma - White Mass Left Eye - 112712 606 views     (0 votes)
|
|

Primary Ocular Lymphoma - White Mass Left Eye - 112712 639 views     (0 votes)
|
|

Primary Ocular Lymphoma - White Mass Left Eye - 112712 510 views     (0 votes)
|
|

Primary Ocular Lymphoma - White Mass Left Eye - 112712 518 views     (0 votes)
|
|

Primary Ocular Lymphoma - White Mass Left Eye - 112712 508 views     (0 votes)
|
|

Primary Ocular Lymphoma - White Mass Left Eye - 112712 657 views     (0 votes)
|
|

Primary Ocular Lymphoma - White Mass Left Eye - 112712 657 views     (0 votes)
|
|

Primary Ocular Lymphoma - White Mass Left Eye - 112712 620 views     (0 votes)
|
|

Primary Ocular Lymphoma - White Mass Left Eye - 112712 657 views     (0 votes)
|
|

Primary Ocular Lymphoma - White Mass Left Eye - 112712 601 views     (0 votes)
|
|

Primary Ocular Lymphoma - White Mass Left Eye - 112712 585 views     (0 votes)
|
|

Primary Ocular Lymphoma - White Mass Left Eye - 112712 492 views     (0 votes)
|
|

Primary Ocular Lymphoma - White Mass Left Eye - 112712 490 views     (0 votes)
|
|

Primary Ocular Lymphoma - White Mass Left Eye - 112712 540 views     (0 votes)
|
|

Primary Ocular Lymphoma - White Mass Left Eye - 112712 485 views     (0 votes)
|
|

Primary Ocular Lymphoma - 020513 522 views     (0 votes)
|
|

Primary Ocular Lymphoma - 020513 554 views     (0 votes)
|
|

Primary Ocular Lymphoma - 020513 545 views     (0 votes)
|
|

Primary Ocular Lymphoma - 020513 477 views     (0 votes)
|
|

Primary Ocular Lymphoma - 020513 - FUndus Autofluorescence623 views     (0 votes)
|
|

Primary Ocular Lymphoma - 020513 - FUndus Autofluorescence621 views     (0 votes)
|
|

Primary Ocular Lymphoma - 020513 - FUndus Autofluorescence614 views     (0 votes)
|
|

Primary Ocular Lymphoma - 020513 - FUndus Autofluorescence494 views     (0 votes)
|
|

Primary Ocular Lymphoma - 020513 - FUndus Autofluorescence639 views     (0 votes)
|
|

Primary Ocular Lymphoma - 020513 - FUndus Autofluorescence723 views     (0 votes)
|
|

Primary Ocular Lymphoma - 020513 - FUndus Autofluorescence675 views     (0 votes)
|
|

Primary Ocular Lymphoma - 020513 - SD OCT571 views     (0 votes)
|
|

Primary Ocular Lymphoma - 020513 - SD OCT613 views     (0 votes)
|
|

Primary Ocular Lymphoma - 020513 - SD OCT752 views     (0 votes)
|
|

Primary Ocular Lymphoma - 020513 - SD OCT624 viewsVIDEO TAKES TIME TO LOAD     (0 votes)
|
|

Primary Ocular Lymphoma - 020513 - SD OCT561 viewsVIDEO TAKES TIME TO LOAD     (0 votes)
|
|

Primary Ocular Lymphoma - 020513 - SD OCT - SD OCT921 views     (0 votes)
|
|

Primary Ocular Lymphoma - 020513 - SD OCT841 views     (0 votes)
|
|

Primary Ocular Lymphoma - 020513 - SD OCT565 viewsVIDEO TAKES TIME TO LOAD     (0 votes)
|
|

Primary Ocular Lymphoma - Lesion has grown in size over 3 months708 views     (0 votes)
|
|
|
|
|
80 Year Old Female Patient came in 1 year ago with a retinal whitening in her eye and uveitis. Her uveitis work-up was negative, and because of the retinal whitening and the uveitis, I was concerned about a possible occult acute retinal necrosis case. I put her on Valtrex, but the eyes did not get any better and the retinal whitening continued. Then later, I became concerned about a possible primary ocular lymphoma. She had an extensive cancer evaluation that was all negative. She has had MRI scans and ultimately I did a vitrectomy on both eyes. I did the right eye on May 30th of 2012 and flow cytometry and cytology was negative. That eye cleared nicely, but then, because of increasing uveitis in the left eye, I did a vitrectomy in the left eye on December 19th of 2012. That sample I sent to the lab in Miami and that result was similarly negative. I am going to send you all of the results so you have them when you see her. At this point, it has been unclear whether she had uveitis, infectious retinitis, or possibly primary ocular lymphoma.
When I saw her in my office on November 27th of 2012, she had a white subretinal mass growing in the right eye and the left eye had vitreous cells. After the vitrectomy in the left eye, I started rechecking both eyes and the white subretinal mass in the right eye had doubled in size. The right eye now looks very much like it has primary ocular lymphoma.
I appreciate you seeing her and, if possible, performing some sort of a biopsy of that mass, which has now grown to the point where I think a fine-needle aspiration biopsy would be possible to help secure the diagnosis.
++++++++++++ Visit 2/5/2013. 80-year-old woman has possible ocular lymphoma. She has had two vitreous biopsies, one in one eye and one in the other eye, and the tests have been negative. Recently she is manifesting increasing anemia. She also has glaucoma. She is taking Pred Forte in both eyes and Combigan in both eyes.
VISUAL ACUITY: Vision OD is 20/40, OS is 20/160. IOP: OD 22, OS 24. The eyes are quiet with a posterior chamber intraocular lens in good position in both eyes.
EXTENDED OPHTHALMOSCOPY:
OD: Vertical C/D ratio is 0.4. The white mass in the macula is much bigger than it was when I saw her in November. It is growing on the superior half of the macula, as well as just nasal to the optic nerve. It has about doubled in size. There are no significant vitreous cells.
OS: Vertical C/D ratio is 0.4. There are patchy retinal hemorrhages.
FUNDUS PHOTOGRAPHY – COLOR AND AUTOFLUORESCENCE: Color and autofluorescence photographs do show the mass to be much bigger.
SPECTRALIS SD-OCT SCAN: The OCT scans over that area show the probable tumor to be about 1.5 mm high.
IMPRESSION:
1. PROBABLE OCULAR LYMPHOMA – BOTH EYES
DISCUSSION: I explained to the patient, given the growth of the lesion and the absence of inflammation around it, I think at this point it is likely ocular lymphoma.
++++++++++ VISIT - 1/4/2013. 80-year-old woman had a vitreous biopsy in the left eye with a fairly full vitrectomy back on December 19th, of 2012. Her vitreous was sent down to Miami where it was carefully analyzed in the pathology lab. The flow cytometry was normal. Her B cell testing was normal. The T cell testing did show two small peaks. I contacted the pathologist about that result and it is not uncommon in cerebrospinal fluid and vitreous samples, because there are so few cells, to see some peaks on the T cells. Generally that is not considered indicative of a T cell lymphoma. There is no such thing as a primary intraocular T cell lymphoma. The primary intraocular lymphomas are B cells and the findings overall were consistent with intraocular inflammation. She did have extensive blood testing by
Dr. Friedberg when this all started a few years ago and that was all negative. I have not repeated the blood tests though. The vision in the left eye is better since the vitrectomy.
VISUAL ACUITY: Vision OD is 20/25; OS is 20/100, PH is 20/40. IOP: OS 18. The left eye is quiet in the anterior chamber. The posterior chamber intraocular lens is in good position.
EXTENDED OPHTHALMOSCOPY:
OS: Vertical C/D ratio is 0.2. There is peripheral retinal hemorrhaging, less than on last visit. The retina is everywhere attached.
IMPRESSION:
1. NEGATIVE VITREOUS BIOPSY FOR INTRAOCULAR LYMPHOMA
2. PANUVEITIS – BOTH EYES
DISCUSSION: I explained to the patient, given all testing, it looks at the moment like she has an inflammatory panuveitis, and I am going to rerun the initial blood tests to see if anything comes up positive. Inflammatory and infectious diseases sometimes infect the posterior pole.