Unknown - Macular Dystrophy
|
|
59-year-old man has macular dystrophy in both eyes. He saw Dr. Gass in 1989, at which time Dr. Gass thought it might be post inflammatory. Interestingly, at this point he still does not have a diagnosis other than macular dystrophy. His vision since he was here last is reasonably stable.
He has been diabetic for eight years. He had LASIK surgery done in 1998. He was a high myope, about a -10 and now he is about a -3. He had some vision changes in medical school in the 1980s and saw Dr. Gass for that. He had some pigment epithelial irregularities in both eyes. Dr. Gass felt maybe this was an atypical case of previous AMPPE. Otherwise he is in good health. He had strabismus as a child and had muscle surgery. He is color blind, along with many people in his family, and as far as he knows, it is congenital.
VISUAL ACUITY: Vision OD is 20/25, OS is 20/30. IOP: OD 14, OS 13. The lenses are clear.
EXTENDED OPHTHALMOSCOPY:
OD: Vertical C/D ratio is 0.2. There are no vitreous cells. The retinal vessels are slightly attenuated. The retina is very thin looking.
OS: Vertical C/D ratio is 0.2. Again, the retinal vessels are attenuated. The retina does appear to be thin looking.
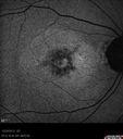
OCT SCAN: The OCT scan shows retinal atrophy in both eyes.
IMPRESSION:
1. RETINAL ATROPHY – BOTH EYES
DISCUSSION: I explained to the patient his maculae are thin and have a dystrophic appearance. At this point it is of some nonacademic interest to learn what exactly is wrong with his maculae because there are now genetic therapies for a small subset of retinal diseases.
|

Non-specific (uncharaterized / unknown) Macular Dystrophy 659 views59-year-old man has macular dystrophy in both eyes. He had some vision changes in medical school in the 1980s and saw Dr. Gass for that. He had some pigment epithelial irregularities in both eyes. He had strabismus as a child and had muscle surgery. He is color blind, along with many people in his family, and as far as he knows, it is congenital.
20/25, 20/30     (0 votes)
|
|

Non-specific (uncharaterized / unknown) Macular Dystrophy 507 views59-year-old man has macular dystrophy in both eyes. He had some vision changes in medical school in the 1980s and saw Dr. Gass for that. He had some pigment epithelial irregularities in both eyes. He had strabismus as a child and had muscle surgery. He is color blind, along with many people in his family, and as far as he knows, it is congenital.
20/25, 20/30     (0 votes)
|
|

Non-specific (uncharaterized / unknown) Macular Dystrophy 441 views59-year-old man has macular dystrophy in both eyes. He had some vision changes in medical school in the 1980s and saw Dr. Gass for that. He had some pigment epithelial irregularities in both eyes. He had strabismus as a child and had muscle surgery. He is color blind, along with many people in his family, and as far as he knows, it is congenital.
20/25, 20/30     (0 votes)
|
|

Non-specific (uncharaterized / unknown) Macular Dystrophy 460 views59-year-old man has macular dystrophy in both eyes. He had some vision changes in medical school in the 1980s and saw Dr. Gass for that. He had some pigment epithelial irregularities in both eyes. He had strabismus as a child and had muscle surgery. He is color blind, along with many people in his family, and as far as he knows, it is congenital.
20/25, 20/30     (0 votes)
|
|

Non-specific (uncharaterized / unknown) Macular Dystrophy - FAF510 views59-year-old man has macular dystrophy in both eyes. He had some vision changes in medical school in the 1980s and saw Dr. Gass for that. He had some pigment epithelial irregularities in both eyes. He had strabismus as a child and had muscle surgery. He is color blind, along with many people in his family, and as far as he knows, it is congenital.
20/25, 20/30     (0 votes)
|
|

Non-specific (uncharaterized / unknown) Macular Dystrophy - FAF498 views59-year-old man has macular dystrophy in both eyes. He had some vision changes in medical school in the 1980s and saw Dr. Gass for that. He had some pigment epithelial irregularities in both eyes. He had strabismus as a child and had muscle surgery. He is color blind, along with many people in his family, and as far as he knows, it is congenital.
20/25, 20/30     (0 votes)
|
|

Non-specific (uncharaterized / unknown) Macular Dystrophy 457 views59-year-old man has macular dystrophy in both eyes. He had some vision changes in medical school in the 1980s and saw Dr. Gass for that. He had some pigment epithelial irregularities in both eyes. He had strabismus as a child and had muscle surgery. He is color blind, along with many people in his family, and as far as he knows, it is congenital.
20/25, 20/30     (0 votes)
|
|

Non-specific (uncharaterized / unknown) Macular Dystrophy 465 views59-year-old man has macular dystrophy in both eyes. He had some vision changes in medical school in the 1980s and saw Dr. Gass for that. He had some pigment epithelial irregularities in both eyes. He had strabismus as a child and had muscle surgery. He is color blind, along with many people in his family, and as far as he knows, it is congenital.
20/25, 20/30     (0 votes)
|
|

Non-specific (uncharaterized / unknown) Macular Dystrophy VIDEO TAKES TIME TO LOAD421 views59-year-old man has macular dystrophy in both eyes. He had some vision changes in medical school in the 1980s and saw Dr. Gass for that. He had some pigment epithelial irregularities in both eyes. He had strabismus as a child and had muscle surgery. He is color blind, along with many people in his family, and as far as he knows, it is congenital.
20/25, 20/30     (0 votes)
|
|

Non-specific (uncharaterized / unknown) Macular Dystrophy VIDEO TAKES TIME TO LOAD446 views59-year-old man has macular dystrophy in both eyes. He had some vision changes in medical school in the 1980s and saw Dr. Gass for that. He had some pigment epithelial irregularities in both eyes. He had strabismus as a child and had muscle surgery. He is color blind, along with many people in his family, and as far as he knows, it is congenital.
20/25, 20/30     (0 votes)
|
|

Non-specific (uncharaterized / unknown) Macular Dystrophy 437 views59-year-old man has macular dystrophy in both eyes. He had some vision changes in medical school in the 1980s and saw Dr. Gass for that. He had some pigment epithelial irregularities in both eyes. He had strabismus as a child and had muscle surgery. He is color blind, along with many people in his family, and as far as he knows, it is congenital.
20/25, 20/30     (0 votes)
|
|

Non-specific (uncharaterized / unknown) Macular Dystrophy 394 views59-year-old man has macular dystrophy in both eyes. He had some vision changes in medical school in the 1980s and saw Dr. Gass for that. He had some pigment epithelial irregularities in both eyes. He had strabismus as a child and had muscle surgery. He is color blind, along with many people in his family, and as far as he knows, it is congenital.
20/25, 20/30     (0 votes)
|
|

Non-specific (uncharaterized / unknown) Macular Dystrophy 406 views59-year-old man has macular dystrophy in both eyes. He had some vision changes in medical school in the 1980s and saw Dr. Gass for that. He had some pigment epithelial irregularities in both eyes. He had strabismus as a child and had muscle surgery. He is color blind, along with many people in his family, and as far as he knows, it is congenital.
20/25, 20/30     (0 votes)
|
|

Non-specific (uncharaterized / unknown) Macular Dystrophy 364 views59-year-old man has macular dystrophy in both eyes. He had some vision changes in medical school in the 1980s and saw Dr. Gass for that. He had some pigment epithelial irregularities in both eyes. He had strabismus as a child and had muscle surgery. He is color blind, along with many people in his family, and as far as he knows, it is congenital.
20/25, 20/30     (0 votes)
|
|

Non-specific (uncharaterized / unknown) Macular Dystrophy 386 views59-year-old man has macular dystrophy in both eyes. He had some vision changes in medical school in the 1980s and saw Dr. Gass for that. He had some pigment epithelial irregularities in both eyes. He had strabismus as a child and had muscle surgery. He is color blind, along with many people in his family, and as far as he knows, it is congenital.
20/25, 20/30     (0 votes)
|
|

Non-specific (uncharaterized / unknown) Macular Dystrophy 400 views59-year-old man has macular dystrophy in both eyes. He had some vision changes in medical school in the 1980s and saw Dr. Gass for that. He had some pigment epithelial irregularities in both eyes. He had strabismus as a child and had muscle surgery. He is color blind, along with many people in his family, and as far as he knows, it is congenital.
20/25, 20/30     (0 votes)
|
|

Non-specific (uncharaterized / unknown) Macular Dystrophy 405 views59-year-old man has macular dystrophy in both eyes. He had some vision changes in medical school in the 1980s and saw Dr. Gass for that. He had some pigment epithelial irregularities in both eyes. He had strabismus as a child and had muscle surgery. He is color blind, along with many people in his family, and as far as he knows, it is congenital.
20/25, 20/30     (0 votes)
|
|

Non-specific (uncharaterized / unknown) Macular Dystrophy 442 views59-year-old man has macular dystrophy in both eyes. He had some vision changes in medical school in the 1980s and saw Dr. Gass for that. He had some pigment epithelial irregularities in both eyes. He had strabismus as a child and had muscle surgery. He is color blind, along with many people in his family, and as far as he knows, it is congenital.
20/25, 20/30     (0 votes)
|
|

Non-specific (uncharaterized / unknown) Macular Dystrophy 446 views59-year-old man has macular dystrophy in both eyes. He had some vision changes in medical school in the 1980s and saw Dr. Gass for that. He had some pigment epithelial irregularities in both eyes. He had strabismus as a child and had muscle surgery. He is color blind, along with many people in his family, and as far as he knows, it is congenital.
20/25, 20/30     (0 votes)
|
|

Non-specific (uncharaterized / unknown) Macular Dystrophy 504 views59-year-old man has macular dystrophy in both eyes. He had some vision changes in medical school in the 1980s and saw Dr. Gass for that. He had some pigment epithelial irregularities in both eyes. He had strabismus as a child and had muscle surgery. He is color blind, along with many people in his family, and as far as he knows, it is congenital.
20/25, 20/30     (0 votes)
|
|

Non-specific (uncharaterized / unknown) Macular Dystrophy 460 views59-year-old man has macular dystrophy in both eyes. He had some vision changes in medical school in the 1980s and saw Dr. Gass for that. He had some pigment epithelial irregularities in both eyes. He had strabismus as a child and had muscle surgery. He is color blind, along with many people in his family, and as far as he knows, it is congenital.
20/25, 20/30     (0 votes)
|
|

Non-specific (uncharaterized / unknown) Macular Dystrophy 451 views59-year-old man has macular dystrophy in both eyes. He had some vision changes in medical school in the 1980s and saw Dr. Gass for that. He had some pigment epithelial irregularities in both eyes. He had strabismus as a child and had muscle surgery. He is color blind, along with many people in his family, and as far as he knows, it is congenital.
20/25, 20/30     (0 votes)
|
|

Non-specific (uncharaterized / unknown) Macular Dystrophy 441 views59-year-old man has macular dystrophy in both eyes. He had some vision changes in medical school in the 1980s and saw Dr. Gass for that. He had some pigment epithelial irregularities in both eyes. He had strabismus as a child and had muscle surgery. He is color blind, along with many people in his family, and as far as he knows, it is congenital.
20/25, 20/30     (0 votes)
|
|

Non-specific (uncharaterized / unknown) Macular Dystrophy 433 views59-year-old man has macular dystrophy in both eyes. He had some vision changes in medical school in the 1980s and saw Dr. Gass for that. He had some pigment epithelial irregularities in both eyes. He had strabismus as a child and had muscle surgery. He is color blind, along with many people in his family, and as far as he knows, it is congenital.
20/25, 20/30     (0 votes)
|
|

Non-specific (uncharaterized / unknown) Macular Dystrophy 405 views59-year-old man has macular dystrophy in both eyes. He had some vision changes in medical school in the 1980s and saw Dr. Gass for that. He had some pigment epithelial irregularities in both eyes. He had strabismus as a child and had muscle surgery. He is color blind, along with many people in his family, and as far as he knows, it is congenital.
20/25, 20/30     (0 votes)
|
|

Non-specific (uncharaterized / unknown) Macular Dystrophy - ICG439 views59-year-old man has macular dystrophy in both eyes. He had some vision changes in medical school in the 1980s and saw Dr. Gass for that. He had some pigment epithelial irregularities in both eyes. He had strabismus as a child and had muscle surgery. He is color blind, along with many people in his family, and as far as he knows, it is congenital.
20/25, 20/30     (0 votes)
|
|

Non-specific (uncharaterized / unknown) Macular Dystrophy - ICG379 views59-year-old man has macular dystrophy in both eyes. He had some vision changes in medical school in the 1980s and saw Dr. Gass for that. He had some pigment epithelial irregularities in both eyes. He had strabismus as a child and had muscle surgery. He is color blind, along with many people in his family, and as far as he knows, it is congenital.
20/25, 20/30     (0 votes)
|
|

Non-specific (uncharaterized / unknown) Macular Dystrophy - ICG436 views59-year-old man has macular dystrophy in both eyes. He had some vision changes in medical school in the 1980s and saw Dr. Gass for that. He had some pigment epithelial irregularities in both eyes. He had strabismus as a child and had muscle surgery. He is color blind, along with many people in his family, and as far as he knows, it is congenital.
20/25, 20/30     (0 votes)
|
|

Non-specific (uncharaterized / unknown) Macular Dystrophy - ICG471 views59-year-old man has macular dystrophy in both eyes. He had some vision changes in medical school in the 1980s and saw Dr. Gass for that. He had some pigment epithelial irregularities in both eyes. He had strabismus as a child and had muscle surgery. He is color blind, along with many people in his family, and as far as he knows, it is congenital.
20/25, 20/30     (0 votes)
|
|

Non-specific (uncharaterized / unknown) Macular Dystrophy - ICG439 views59-year-old man has macular dystrophy in both eyes. He had some vision changes in medical school in the 1980s and saw Dr. Gass for that. He had some pigment epithelial irregularities in both eyes. He had strabismus as a child and had muscle surgery. He is color blind, along with many people in his family, and as far as he knows, it is congenital.
20/25, 20/30     (0 votes)
|
|

Non-specific (uncharaterized / unknown) Macular Dystrophy - ICG436 views59-year-old man has macular dystrophy in both eyes. He had some vision changes in medical school in the 1980s and saw Dr. Gass for that. He had some pigment epithelial irregularities in both eyes. He had strabismus as a child and had muscle surgery. He is color blind, along with many people in his family, and as far as he knows, it is congenital.
20/25, 20/30     (0 votes)
|
|

Non-specific (uncharaterized / unknown) Macular Dystrophy - ICG459 views59-year-old man has macular dystrophy in both eyes. He had some vision changes in medical school in the 1980s and saw Dr. Gass for that. He had some pigment epithelial irregularities in both eyes. He had strabismus as a child and had muscle surgery. He is color blind, along with many people in his family, and as far as he knows, it is congenital.
20/25, 20/30     (0 votes)
|
|

Non-specific (uncharaterized / unknown) Macular Dystrophy - ICG469 views59-year-old man has macular dystrophy in both eyes. He had some vision changes in medical school in the 1980s and saw Dr. Gass for that. He had some pigment epithelial irregularities in both eyes. He had strabismus as a child and had muscle surgery. He is color blind, along with many people in his family, and as far as he knows, it is congenital.
20/25, 20/30     (0 votes)
|
|

Non-specific (uncharaterized / unknown) Macular Dystrophy - ICG552 views59-year-old man has macular dystrophy in both eyes. He had some vision changes in medical school in the 1980s and saw Dr. Gass for that. He had some pigment epithelial irregularities in both eyes. He had strabismus as a child and had muscle surgery. He is color blind, along with many people in his family, and as far as he knows, it is congenital.
20/25, 20/30     (0 votes)
|
|
|
|
|
|
59-year-old man has macular dystrophy in both eyes. He saw Dr. Gass in 1989, at which time Dr. Gass thought it might be post inflammatory. Interestingly, at this point he still does not have a diagnosis other than macular dystrophy. His vision since he was here last is reasonably stable.
He has been diabetic for eight years. He had LASIK surgery done in 1998. He was a high myope, about a -10 and now he is about a -3. He had some vision changes in medical school in the 1980s and saw Dr. Gass for that. He had some pigment epithelial irregularities in both eyes. Dr. Gass felt maybe this was an atypical case of previous AMPPE. Otherwise he is in good health. He had strabismus as a child and had muscle surgery. He is color blind, along with many people in his family, and as far as he knows, it is congenital.
VISUAL ACUITY: Vision OD is 20/25, OS is 20/30. IOP: OD 14, OS 13. The lenses are clear.
EXTENDED OPHTHALMOSCOPY:
OD: Vertical C/D ratio is 0.2. There are no vitreous cells. The retinal vessels are slightly attenuated. The retina is very thin looking.
OS: Vertical C/D ratio is 0.2. Again, the retinal vessels are attenuated. The retina does appear to be thin looking.
OCT SCAN: The OCT scan shows retinal atrophy in both eyes.
IMPRESSION:
1. RETINAL ATROPHY – BOTH EYES
DISCUSSION: I explained to the patient his maculae are thin and have a dystrophic appearance. At this point it is of some nonacademic interest to learn what exactly is wrong with his maculae because there are now genetic therapies for a small subset of retinal diseases.