Hypertensive Retinopathy - Serous Retinal Detachment - Diastolic Hypertension
|
|
48-year-old woman was seen in the office on June 14, 2012. She noticed when she was blinking there was a white flash in the left eye starting about a month ago. She sees it temporally. You saw subretinal fluid and suggest she come here for an evaluation.
VISUAL ACUITY: OD 20/16, OS 20/20. IOP: 10 OU.
SLIT EXAMINATION: Normal with clear lenses.
EXTENDED OPHTHALMOSCOPY:
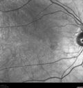
OD: Vertical C/D ratio is 0.1. There is no posterior vitreous separation. There is a focal area of pigment epithelium thickening just inferonasal to the fovea about 500 microns across.
OS: Vertical C/D ratio is 0.0. There is a serous retinal detachment superotemporal to the optic nerve falling short of the fovea. There is also lattice degeneration to the equator at 6 o’clock.
SPECTRALIS-SD-OCT SCAN: The photo in the right eye does show the small pigment epithelial irregularity and the left eye the vessels are blurred as you would expect with a serous retinal detachment There is no evidence of optic nerve pit. The enhanced depth imaging OCT does show in the right eye a near normal central choroidal thickness of 290 microns. The enhanced depth imaging in the left eye shows increased choroidal thickness in the center and also just under the serous detachment, the choroid does look in that one area a little thicker than you would expect it to be. The central choroidal thickness is 340 microns. It is suppose to be 250.
FUNDUS PHOTOGRAPHY - AUTO FLUORESCENCE: The image in the right eye shows normal auto fluorescence. The left eye picture does show some hyper auto fluorescence within the lesion, as you would expect in a patient with a serous retinal detachment. The auto fluorescence though doesn’t span the lesion, it is just mostly centered, suggesting that this is a relatively new problem.
FUNDUS PHOTOGRAPHY - INFRA RED: The image in the right eye shows the pigment epithelial irregularity inferonasal to the fovea, which measure 1 mm2 in area. The image in the left eye shows the serous retinal detachment nicely, which measures about 4 mm2.
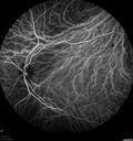
FLUORESCEIN ANGIOGRAPHY: Fluorescein angiography in the left eye does show a area of leakage in the center of the serous retinal detachment just superotemporal to the optic nerve. It is not focal, it is a little bit smudgy, but it does correspond to the area of hyper auto fluorescence. On the auto fluorescence image the size of the leak is about 1.4 mm2. There is also a distinct second area of leakage, which is just superonasal to the fovea and a little bit lacy. The right eye does show some staining of that pigment epithelial detachment, which looks discreet and about a half disc area in size and is inferonasal to the fovea. It is a solitary pigment epithelial detachment, as you would expect to see in someone with central serous retinopathy
INDOCYANINE GREEN ANGIOGRAPHY: The indocyanine green angiogram in the left eye does show a diffuse area of choroidal leakage just superotemporal to the optic nerve measuring about 3 mm2 stopping well short of the fovea. In angiogram of the right eye similarly shows an area of increased choroidal leakage underneath that little pigment epithelial detachment, which measures about 3 mm2. Her blood pressure 165/120. We triple checked that because of the high diastolic pressure.
IMPRESSION:
1. SEROUS RETINAL DETACHMENT – LEFT EYE
2. PROBABLE HYPERTENSIVE RETINOPATHY - CHOROIDOPATHY
3. PIGMENT EPITHELIAL DETACHMENT – RIGHT EYE
4. POSSIBLE IDIOPATHIC CENTRAL SEROUS RETINOPATHY – LEFT EYE
5. UNLIKELY WET AGE-RELATED MACULAR DEGENERATION
DISCUSSION: I explained to the patient that a blood pressure that high, especially the diastolic can sometimes cause serous retinal detachment. I asked her to go either to the emergency room or see Dr. Peditto tomorrow. In the meantime I asked her to return here for a check in about two or three weeks. I can re-evaluate the serous retinal detachment, because of the slightly atypical leakage on fluorescein angiography.
|

Serous Retinal Detachment - Hypertensive Retinopathy - 165/120 734 views48-year-old woman noticed when she was blinking there was a white flash in the left eye starting about a month ago. She sees it temporally. OD 20/16, OS 20/20. There is a serous retinal detachment superotemporal to the optic nerve falling short of the fovea. Her blood pressure 165/120.      (0 votes)
|
|

Serous Retinal Detachment - Hypertensive Retinopathy - 165/120 605 views48-year-old woman noticed when she was blinking there was a white flash in the left eye starting about a month ago. She sees it temporally. OD 20/16, OS 20/20. There is a serous retinal detachment superotemporal to the optic nerve falling short of the fovea. Her blood pressure 165/120.      (0 votes)
|
|

Serous Retinal Detachment - Hypertensive Retinopathy - 165/120 537 views48-year-old woman noticed when she was blinking there was a white flash in the left eye starting about a month ago. She sees it temporally. OD 20/16, OS 20/20. There is a serous retinal detachment superotemporal to the optic nerve falling short of the fovea. Her blood pressure 165/120.      (0 votes)
|
|

Serous Retinal Detachment - Hypertensive Retinopathy - 165/120 510 views48-year-old woman noticed when she was blinking there was a white flash in the left eye starting about a month ago. She sees it temporally. OD 20/16, OS 20/20. There is a serous retinal detachment superotemporal to the optic nerve falling short of the fovea. Her blood pressure 165/120.      (0 votes)
|
|

Serous Retinal Detachment - Hypertensive Retinopathy - 165/120 514 views48-year-old woman noticed when she was blinking there was a white flash in the left eye starting about a month ago. She sees it temporally. OD 20/16, OS 20/20. There is a serous retinal detachment superotemporal to the optic nerve falling short of the fovea. Her blood pressure 165/120.      (0 votes)
|
|

Serous Retinal Detachment - Hypertensive Retinopathy - 165/120 493 views48-year-old woman noticed when she was blinking there was a white flash in the left eye starting about a month ago. She sees it temporally. OD 20/16, OS 20/20. There is a serous retinal detachment superotemporal to the optic nerve falling short of the fovea. Her blood pressure 165/120.      (0 votes)
|
|

Serous Retinal Detachment - Hypertensive Retinopathy - 165/120 485 views48-year-old woman noticed when she was blinking there was a white flash in the left eye starting about a month ago. She sees it temporally. OD 20/16, OS 20/20. There is a serous retinal detachment superotemporal to the optic nerve falling short of the fovea. Her blood pressure 165/120.      (0 votes)
|
|

Serous Retinal Detachment - Hypertensive Retinopathy - 165/120 - Fundus Autofluorescence (FAF)612 views48-year-old woman noticed when she was blinking there was a white flash in the left eye starting about a month ago. She sees it temporally. OD 20/16, OS 20/20. There is a serous retinal detachment superotemporal to the optic nerve falling short of the fovea. Her blood pressure 165/120.      (0 votes)
|
|

Serous Retinal Detachment - Hypertensive Retinopathy - 165/120 - Fundus Autofluorescence (FAF)811 views48-year-old woman noticed when she was blinking there was a white flash in the left eye starting about a month ago. She sees it temporally. OD 20/16, OS 20/20. There is a serous retinal detachment superotemporal to the optic nerve falling short of the fovea. Her blood pressure 165/120.      (0 votes)
|
|

Serous Retinal Detachment - Hypertensive Retinopathy - 165/120 Infra Red482 views48-year-old woman noticed when she was blinking there was a white flash in the left eye starting about a month ago. She sees it temporally. OD 20/16, OS 20/20. There is a serous retinal detachment superotemporal to the optic nerve falling short of the fovea. Her blood pressure 165/120.      (0 votes)
|
|

Serous Retinal Detachment - Hypertensive Retinopathy - 165/120 - Fluorescein Angiogram517 views48-year-old woman noticed when she was blinking there was a white flash in the left eye starting about a month ago. She sees it temporally. OD 20/16, OS 20/20. There is a serous retinal detachment superotemporal to the optic nerve falling short of the fovea. Her blood pressure 165/120.      (0 votes)
|
|

Serous Retinal Detachment - Hypertensive Retinopathy - 165/120 - Fluorescein Angiogram499 views48-year-old woman noticed when she was blinking there was a white flash in the left eye starting about a month ago. She sees it temporally. OD 20/16, OS 20/20. There is a serous retinal detachment superotemporal to the optic nerve falling short of the fovea. Her blood pressure 165/120.      (0 votes)
|
|

Serous Retinal Detachment - Hypertensive Retinopathy - 165/120 - Fluorescein Angiogram500 views48-year-old woman noticed when she was blinking there was a white flash in the left eye starting about a month ago. She sees it temporally. OD 20/16, OS 20/20. There is a serous retinal detachment superotemporal to the optic nerve falling short of the fovea. Her blood pressure 165/120.      (0 votes)
|
|

Serous Retinal Detachment - Hypertensive Retinopathy - 165/120 - Fluorescein Angiogram801 views48-year-old woman noticed when she was blinking there was a white flash in the left eye starting about a month ago. She sees it temporally. OD 20/16, OS 20/20. There is a serous retinal detachment superotemporal to the optic nerve falling short of the fovea. Her blood pressure 165/120.      (0 votes)
|
|

Serous Retinal Detachment - Hypertensive Retinopathy - 165/120 - Fluorescein Angiogram610 views48-year-old woman noticed when she was blinking there was a white flash in the left eye starting about a month ago. She sees it temporally. OD 20/16, OS 20/20. There is a serous retinal detachment superotemporal to the optic nerve falling short of the fovea. Her blood pressure 165/120.      (0 votes)
|
|

Serous Retinal Detachment - Hypertensive Retinopathy - 165/120 - Fluorescein Angiogram480 views48-year-old woman noticed when she was blinking there was a white flash in the left eye starting about a month ago. She sees it temporally. OD 20/16, OS 20/20. There is a serous retinal detachment superotemporal to the optic nerve falling short of the fovea. Her blood pressure 165/120.      (0 votes)
|
|

Serous Retinal Detachment - Hypertensive Retinopathy - 165/120 - Fluorescein Angiogram595 views48-year-old woman noticed when she was blinking there was a white flash in the left eye starting about a month ago. She sees it temporally. OD 20/16, OS 20/20. There is a serous retinal detachment superotemporal to the optic nerve falling short of the fovea. Her blood pressure 165/120.      (0 votes)
|
|

Serous Retinal Detachment - Hypertensive Retinopathy - 165/120 - Fluorescein Angiogram885 views48-year-old woman noticed when she was blinking there was a white flash in the left eye starting about a month ago. She sees it temporally. OD 20/16, OS 20/20. There is a serous retinal detachment superotemporal to the optic nerve falling short of the fovea. Her blood pressure 165/120.      (0 votes)
|
|

Serous Retinal Detachment - Hypertensive Retinopathy - 165/120 - Fluorescein Angiogram572 views48-year-old woman noticed when she was blinking there was a white flash in the left eye starting about a month ago. She sees it temporally. OD 20/16, OS 20/20. There is a serous retinal detachment superotemporal to the optic nerve falling short of the fovea. Her blood pressure 165/120.      (0 votes)
|
|

Serous Retinal Detachment - Hypertensive Retinopathy - 165/120 - Fluorescein Angiogram574 views48-year-old woman noticed when she was blinking there was a white flash in the left eye starting about a month ago. She sees it temporally. OD 20/16, OS 20/20. There is a serous retinal detachment superotemporal to the optic nerve falling short of the fovea. Her blood pressure 165/120.      (0 votes)
|
|

Serous Retinal Detachment - Hypertensive Retinopathy - 165/120 - Fluorescein Angiogram580 views48-year-old woman noticed when she was blinking there was a white flash in the left eye starting about a month ago. She sees it temporally. OD 20/16, OS 20/20. There is a serous retinal detachment superotemporal to the optic nerve falling short of the fovea. Her blood pressure 165/120.      (0 votes)
|
|

Serous Retinal Detachment - Hypertensive Retinopathy - 165/120 - Fluorescein Angiogram505 views48-year-old woman noticed when she was blinking there was a white flash in the left eye starting about a month ago. She sees it temporally. OD 20/16, OS 20/20. There is a serous retinal detachment superotemporal to the optic nerve falling short of the fovea. Her blood pressure 165/120.      (0 votes)
|
|

Serous Retinal Detachment - Hypertensive Retinopathy - 165/120 - Indocyanine Green Angiogram543 views48-year-old woman noticed when she was blinking there was a white flash in the left eye starting about a month ago. She sees it temporally. OD 20/16, OS 20/20. There is a serous retinal detachment superotemporal to the optic nerve falling short of the fovea. Her blood pressure 165/120.      (0 votes)
|
|

Serous Retinal Detachment - Hypertensive Retinopathy - 165/120 - Indocyanine Green Angiogram503 views48-year-old woman noticed when she was blinking there was a white flash in the left eye starting about a month ago. She sees it temporally. OD 20/16, OS 20/20. There is a serous retinal detachment superotemporal to the optic nerve falling short of the fovea. Her blood pressure 165/120.      (0 votes)
|
|

Serous Retinal Detachment - Hypertensive Retinopathy - 165/120 - Indocyanine Green Angiogram552 views48-year-old woman noticed when she was blinking there was a white flash in the left eye starting about a month ago. She sees it temporally. OD 20/16, OS 20/20. There is a serous retinal detachment superotemporal to the optic nerve falling short of the fovea. Her blood pressure 165/120.      (0 votes)
|
|

Serous Retinal Detachment - Hypertensive Retinopathy - 165/120 - Indocyanine Green Angiogram714 views48-year-old woman noticed when she was blinking there was a white flash in the left eye starting about a month ago. She sees it temporally. OD 20/16, OS 20/20. There is a serous retinal detachment superotemporal to the optic nerve falling short of the fovea. Her blood pressure 165/120.      (0 votes)
|
|

Serous Retinal Detachment - Hypertensive Retinopathy - 165/120 - Indocyanine Green Angiogram537 views48-year-old woman noticed when she was blinking there was a white flash in the left eye starting about a month ago. She sees it temporally. OD 20/16, OS 20/20. There is a serous retinal detachment superotemporal to the optic nerve falling short of the fovea. Her blood pressure 165/120.      (0 votes)
|
|

Serous Retinal Detachment - Hypertensive Retinopathy - 165/120 - Indocyanine Green Angiogram571 views48-year-old woman noticed when she was blinking there was a white flash in the left eye starting about a month ago. She sees it temporally. OD 20/16, OS 20/20. There is a serous retinal detachment superotemporal to the optic nerve falling short of the fovea. Her blood pressure 165/120.      (0 votes)
|
|

Serous Retinal Detachment - Hypertensive Retinopathy - 165/120 - Late - ICG shows leakage498 views48-year-old woman noticed when she was blinking there was a white flash in the left eye starting about a month ago. She sees it temporally. OD 20/16, OS 20/20. There is a serous retinal detachment superotemporal to the optic nerve falling short of the fovea. Her blood pressure 165/120.      (0 votes)
|
|

Serous Retinal Detachment - Hypertensive Retinopathy - 165/120 - Late - ICG shows leakage552 views48-year-old woman noticed when she was blinking there was a white flash in the left eye starting about a month ago. She sees it temporally. OD 20/16, OS 20/20. There is a serous retinal detachment superotemporal to the optic nerve falling short of the fovea. Her blood pressure 165/120.      (0 votes)
|
|

Serous Retinal Detachment - Hypertensive Retinopathy -- 1 month later - less fluid (better blood pressure)487 views48 Year old woman resolving hypertensive serous retinal detachment.     (0 votes)
|
|

Serous Retinal Detachment - Hypertensive Retinopathy -- 1 month later - less fluid (better blood pressure) SD OCT623 views48 Year old woman resolving hypertensive serous retinal detachment.     (0 votes)
|
|

Serous Retinal Detachment - Hypertensive Retinopathy -- 1 month later - less fluid (better blood pressure) (SD OCT VIDEO TAKES TIME TO LOAD)481 views48 Year old woman resolving hypertensive serous retinal detachment.     (0 votes)
|
|

Serous Retinal Detachment - Hypertensive Retinopathy - 1 month later - less fluid (better blood pressure) - SD OCT714 views48 Year old woman resolving hypertensive serous retinal detachment.     (0 votes)
|
|

Serous Retinal Detachment - Hypertensive Retinopathy - 3 months later - Fluid has absorbed (SD OCT VIDEO TAKES TIME TO LOAD)611 views48 Year old woman resolved hypertensive serous retinal detachment.     (0 votes)
|
|

Serous Retinal Detachment - Hypertensive Retinopathy - 3 months later - Fluid has absorbed662 views48 Year old woman resolved hypertensive serous retinal detachment.     (0 votes)
|
|
|
|
48-year-old woman was seen in the office on June 14, 2012. She noticed when she was blinking there was a white flash in the left eye starting about a month ago. She sees it temporally. You saw subretinal fluid and suggest she come here for an evaluation.
VISUAL ACUITY: OD 20/16, OS 20/20. IOP: 10 OU.
SLIT EXAMINATION: Normal with clear lenses.
EXTENDED OPHTHALMOSCOPY:
OD: Vertical C/D ratio is 0.1. There is no posterior vitreous separation. There is a focal area of pigment epithelium thickening just inferonasal to the fovea about 500 microns across.
OS: Vertical C/D ratio is 0.0. There is a serous retinal detachment superotemporal to the optic nerve falling short of the fovea. There is also lattice degeneration to the equator at 6 o’clock.
SPECTRALIS-SD-OCT SCAN: The photo in the right eye does show the small pigment epithelial irregularity and the left eye the vessels are blurred as you would expect with a serous retinal detachment There is no evidence of optic nerve pit. The enhanced depth imaging OCT does show in the right eye a near normal central choroidal thickness of 290 microns. The enhanced depth imaging in the left eye shows increased choroidal thickness in the center and also just under the serous detachment, the choroid does look in that one area a little thicker than you would expect it to be. The central choroidal thickness is 340 microns. It is suppose to be 250.
FUNDUS PHOTOGRAPHY - AUTO FLUORESCENCE: The image in the right eye shows normal auto fluorescence. The left eye picture does show some hyper auto fluorescence within the lesion, as you would expect in a patient with a serous retinal detachment. The auto fluorescence though doesn’t span the lesion, it is just mostly centered, suggesting that this is a relatively new problem.
FUNDUS PHOTOGRAPHY - INFRA RED: The image in the right eye shows the pigment epithelial irregularity inferonasal to the fovea, which measure 1 mm2 in area. The image in the left eye shows the serous retinal detachment nicely, which measures about 4 mm2.
FLUORESCEIN ANGIOGRAPHY: Fluorescein angiography in the left eye does show a area of leakage in the center of the serous retinal detachment just superotemporal to the optic nerve. It is not focal, it is a little bit smudgy, but it does correspond to the area of hyper auto fluorescence. On the auto fluorescence image the size of the leak is about 1.4 mm2. There is also a distinct second area of leakage, which is just superonasal to the fovea and a little bit lacy. The right eye does show some staining of that pigment epithelial detachment, which looks discreet and about a half disc area in size and is inferonasal to the fovea. It is a solitary pigment epithelial detachment, as you would expect to see in someone with central serous retinopathy
INDOCYANINE GREEN ANGIOGRAPHY: The indocyanine green angiogram in the left eye does show a diffuse area of choroidal leakage just superotemporal to the optic nerve measuring about 3 mm2 stopping well short of the fovea. In angiogram of the right eye similarly shows an area of increased choroidal leakage underneath that little pigment epithelial detachment, which measures about 3 mm2. Her blood pressure 165/120. We triple checked that because of the high diastolic pressure.
IMPRESSION:
1. SEROUS RETINAL DETACHMENT – LEFT EYE
2. PROBABLE HYPERTENSIVE RETINOPATHY - CHOROIDOPATHY
3. PIGMENT EPITHELIAL DETACHMENT – RIGHT EYE
4. POSSIBLE IDIOPATHIC CENTRAL SEROUS RETINOPATHY – LEFT EYE
5. UNLIKELY WET AGE-RELATED MACULAR DEGENERATION
DISCUSSION: I explained to the patient that a blood pressure that high, especially the diastolic can sometimes cause serous retinal detachment. I asked her to go either to the emergency room or see Dr. Peditto tomorrow. In the meantime I asked her to return here for a check in about two or three weeks. I can re-evaluate the serous retinal detachment, because of the slightly atypical leakage on fluorescein angiography.