Cilioretinal Artery Occlusion - Chronic - Posterior Ciliary Artery Occlusion - Choroidal Ischemia / Infarct
|
|
80-year-old woman was seen in the office on 10/26/2010. She notices a cloud in the middle of the vision in the left eye. She says she was looking in the mirror without her glasses on and she noticed things were a little blurred. She covered her right eye and noticed she could not see well out of the left eye. That just happened yesterday. Her last eye check was a few years ago. She did have a history of vision loss in the right eye which was transient and from transient ischemic attacks in 1995. She also had a carotid endarterectomy on the right side in 2006 shortly after coronary bypass surgery. She is scheduled for a carotid study in the near future.
VISUAL ACUITY: Vision OD is 20/40, OS is 20/200. IOP: 17 in both eyes.
SLIT LAMP EXAM: The posterior chamber intraocular lens is in good position in both eyes.
EXTENDED OPHTHALMOSCOPY:
OD: Vertical C/D ratio is 0.2. There is a posterior vitreous separation. There are rare macular drusen.
OS: Vertical C/D ratio is 0.5. There is 1+ pallor of the optic nerve. There is no posterior vitreous separation. There is a prominent cilioretinal artery feeding the inferior half of the macula which is where her visual complaint is. There is no retinal whitening though and there is no evidence of any emboli.
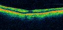
OCT SCAN: The OCT scan of the optic nerve shows nerve fiber layer thinning in each eye with the right eye at 88 and the left eye 91 and there is segmental inferior pallor of the optic nerve.
FLUORESCEIN ANGIOGRAPHY: FA shows poor filling of the cilioretinal artery in the left eye and the choroid in the left eye.
IMPRESSION:
1. CILIORETINAL ARTERY OCCLUSION – LEFT EYE - Possible Ophthalmic Artery Occusion sparing CRA.
2. INFERIOR OPTIC ATROPHY – BOTH EYES
3. HISTORY OF TRANSIENT ISCHEMIC ATTACK – RIGHT EYE
DISCUSSION: I explained to the patient she has had a blockage in one of the main retinal vessels in the left eye which unfortunately has damaged her central vision. At this moment there is no treatment for retinal vascular occlusions, but fortunately the odds are that things will not become any worse. She is already taking a baby aspirin a day. She does need to be evaluated for stroke risks and I will send a letter to her medical doctor to ask him to follow-up with that as well as to check her for possible giant cell arteritis.
The optic nerves do look a little pale and this is suspicious for low-tension glaucoma.
|

Cilioretinal artery occlusion and Ophthalmic Artery Occlusion with Relative Sparing of the Central Retinal Artery831 views80-year-old woman who says she was looking in the mirror, covered her right eye and noticed she could not see well out of the left eye. That just happened yesterday. Her last eye check was a few years ago. She also had a carotid endarterectomy on the right side in 2006 shortly after coronary bypass surgery. OD is 20/40, OS is 20/200.     (0 votes)
|
|

Cilioretinal artery occlusion and Ophthalmic Artery Occlusion with Relative Sparing of the Central Retinal Artery809 views80-year-old woman who says she was looking in the mirror, covered her right eye and noticed she could not see well out of the left eye. That just happened yesterday. Her last eye check was a few years ago. She also had a carotid endarterectomy on the right side in 2006 shortly after coronary bypass surgery. OD is 20/40, OS is 20/200.     (0 votes)
|
|

Cilioretinal artery occlusion and Ophthalmic Artery Occlusion with Relative Sparing of the Central Retinal Artery561 views80-year-old woman who says she was looking in the mirror, covered her right eye and noticed she could not see well out of the left eye. That just happened yesterday. Her last eye check was a few years ago. She also had a carotid endarterectomy on the right side in 2006 shortly after coronary bypass surgery. OD is 20/40, OS is 20/200.     (0 votes)
|
|

Cilioretinal artery occlusion and Ophthalmic Artery Occlusion with Relative Sparing of the Central Retinal Artery530 views80-year-old woman who says she was looking in the mirror, covered her right eye and noticed she could not see well out of the left eye. That just happened yesterday. Her last eye check was a few years ago. She also had a carotid endarterectomy on the right side in 2006 shortly after coronary bypass surgery. OD is 20/40, OS is 20/200.     (0 votes)
|
|

Cilioretinal artery occlusion and Ophthalmic Artery Occlusion with Relative Sparing of the Central Retinal Artery793 views80-year-old woman who says she was looking in the mirror, covered her right eye and noticed she could not see well out of the left eye. That just happened yesterday. Her last eye check was a few years ago. She also had a carotid endarterectomy on the right side in 2006 shortly after coronary bypass surgery. OD is 20/40, OS is 20/200.     (0 votes)
|
|

Cilioretinal artery occlusion and Ophthalmic Artery Occlusion with Relative Sparing of the Central Retinal Artery811 views80-year-old woman who says she was looking in the mirror, covered her right eye and noticed she could not see well out of the left eye. That just happened yesterday. Her last eye check was a few years ago. She also had a carotid endarterectomy on the right side in 2006 shortly after coronary bypass surgery. OD is 20/40, OS is 20/200.     (0 votes)
|
|

Cilioretinal artery occlusion and Ophthalmic Artery Occlusion with Relative Sparing of the Central Retinal Artery1174 views80-year-old woman who says she was looking in the mirror, covered her right eye and noticed she could not see well out of the left eye. That just happened yesterday. Her last eye check was a few years ago. She also had a carotid endarterectomy on the right side in 2006 shortly after coronary bypass surgery. OD is 20/40, OS is 20/200.     (0 votes)
|
|

Cilioretinal artery occlusion and Ophthalmic Artery Occlusion with Relative Sparing of the Central Retinal Artery640 views80-year-old woman who says she was looking in the mirror, covered her right eye and noticed she could not see well out of the left eye. That just happened yesterday. Her last eye check was a few years ago. She also had a carotid endarterectomy on the right side in 2006 shortly after coronary bypass surgery. OD is 20/40, OS is 20/200.     (0 votes)
|
|

Cilioretinal artery occlusion and Ophthalmic Artery Occlusion with Relative Sparing of the Central Retinal Artery528 views80-year-old woman who says she was looking in the mirror, covered her right eye and noticed she could not see well out of the left eye. That just happened yesterday. Her last eye check was a few years ago. She also had a carotid endarterectomy on the right side in 2006 shortly after coronary bypass surgery. OD is 20/40, OS is 20/200.     (0 votes)
|
|

Cilioretinal artery occlusion and Ophthalmic Artery Occlusion with Relative Sparing of the Central Retinal Artery448 views80-year-old woman who says she was looking in the mirror, covered her right eye and noticed she could not see well out of the left eye. That just happened yesterday. Her last eye check was a few years ago. She also had a carotid endarterectomy on the right side in 2006 shortly after coronary bypass surgery. OD is 20/40, OS is 20/200.     (0 votes)
|
|

Cilioretinal artery occlusion and Ophthalmic Artery Occlusion with Relative Sparing of the Central Retinal Artery621 views80-year-old woman who says she was looking in the mirror, covered her right eye and noticed she could not see well out of the left eye. That just happened yesterday. Her last eye check was a few years ago. She also had a carotid endarterectomy on the right side in 2006 shortly after coronary bypass surgery. OD is 20/40, OS is 20/200.     (0 votes)
|
|

Cilioretinal artery occlusion and Ophthalmic Artery Occlusion with Relative Sparing of the Central Retinal Artery705 views80-year-old woman who says she was looking in the mirror, covered her right eye and noticed she could not see well out of the left eye. That just happened yesterday. Her last eye check was a few years ago. She also had a carotid endarterectomy on the right side in 2006 shortly after coronary bypass surgery. OD is 20/40, OS is 20/200.     (0 votes)
|
|

Cilioretinal artery occlusion and Ophthalmic Artery Occlusion with Relative Sparing of the Central Retinal Artery664 views80-year-old woman who says she was looking in the mirror, covered her right eye and noticed she could not see well out of the left eye. That just happened yesterday. Her last eye check was a few years ago. She also had a carotid endarterectomy on the right side in 2006 shortly after coronary bypass surgery. OD is 20/40, OS is 20/200.     (0 votes)
|
|

Cilioretinal artery occlusion and Ophthalmic Artery Occlusion with Relative Sparing of the Central Retinal Artery731 views80-year-old woman who says she was looking in the mirror, covered her right eye and noticed she could not see well out of the left eye. That just happened yesterday. Her last eye check was a few years ago. She also had a carotid endarterectomy on the right side in 2006 shortly after coronary bypass surgery. OD is 20/40, OS is 20/200.     (0 votes)
|
|

Cilioretinal artery occlusion and Ophthalmic Artery Occlusion with Relative Sparing of the Central Retinal Artery661 views80-year-old woman who says she was looking in the mirror, covered her right eye and noticed she could not see well out of the left eye. That just happened yesterday. Her last eye check was a few years ago. She also had a carotid endarterectomy on the right side in 2006 shortly after coronary bypass surgery. OD is 20/40, OS is 20/200.     (0 votes)
|
|

Cilioretinal artery occlusion and Ophthalmic Artery Occlusion with Relative Sparing of the Central Retinal Artery585 views80-year-old woman who says she was looking in the mirror, covered her right eye and noticed she could not see well out of the left eye. That just happened yesterday. Her last eye check was a few years ago. She also had a carotid endarterectomy on the right side in 2006 shortly after coronary bypass surgery. OD is 20/40, OS is 20/200.     (0 votes)
|
|

Cilioretinal artery occlusion and Ophthalmic Artery Occlusion with Relative Sparing of the Central Retinal Artery498 views80-year-old woman who says she was looking in the mirror, covered her right eye and noticed she could not see well out of the left eye. That just happened yesterday. Her last eye check was a few years ago. She also had a carotid endarterectomy on the right side in 2006 shortly after coronary bypass surgery. OD is 20/40, OS is 20/200.     (0 votes)
|
|

Cilioretinal artery occlusion and Ophthalmic Artery Occlusion with Relative Sparing of the Central Retinal Artery670 views80-year-old woman who says she was looking in the mirror, covered her right eye and noticed she could not see well out of the left eye. That just happened yesterday. Her last eye check was a few years ago. She also had a carotid endarterectomy on the right side in 2006 shortly after coronary bypass surgery. OD is 20/40, OS is 20/200.     (0 votes)
|
|

Cilioretinal artery occlusion and Ophthalmic Artery Occlusion with Relative Sparing of the Central Retinal Artery550 views80-year-old woman who says she was looking in the mirror, covered her right eye and noticed she could not see well out of the left eye. That just happened yesterday. Her last eye check was a few years ago. She also had a carotid endarterectomy on the right side in 2006 shortly after coronary bypass surgery. OD is 20/40, OS is 20/200.     (0 votes)
|
|

Cilioretinal artery occlusion and Ophthalmic Artery Occlusion with Relative Sparing of the Central Retinal Artery723 views80-year-old woman who says she was looking in the mirror, covered her right eye and noticed she could not see well out of the left eye. That just happened yesterday. Her last eye check was a few years ago. She also had a carotid endarterectomy on the right side in 2006 shortly after coronary bypass surgery. OD is 20/40, OS is 20/200.     (0 votes)
|
|
|
|
80-year-old woman was seen in the office on 10/26/2010. She notices a cloud in the middle of the vision in the left eye. She says she was looking in the mirror without her glasses on and she noticed things were a little blurred. She covered her right eye and noticed she could not see well out of the left eye. That just happened yesterday. Her last eye check was a few years ago. She did have a history of vision loss in the right eye which was transient and from transient ischemic attacks in 1995. She also had a carotid endarterectomy on the right side in 2006 shortly after coronary bypass surgery. She is scheduled for a carotid study in the near future.
VISUAL ACUITY: Vision OD is 20/40, OS is 20/200. IOP: 17 in both eyes.
SLIT LAMP EXAM: The posterior chamber intraocular lens is in good position in both eyes.
EXTENDED OPHTHALMOSCOPY:
OD: Vertical C/D ratio is 0.2. There is a posterior vitreous separation. There are rare macular drusen.
OS: Vertical C/D ratio is 0.5. There is 1+ pallor of the optic nerve. There is no posterior vitreous separation. There is a prominent cilioretinal artery feeding the inferior half of the macula which is where her visual complaint is. There is no retinal whitening though and there is no evidence of any emboli.
OCT SCAN: The OCT scan of the optic nerve shows nerve fiber layer thinning in each eye with the right eye at 88 and the left eye 91 and there is segmental inferior pallor of the optic nerve.
FLUORESCEIN ANGIOGRAPHY: FA shows poor filling of the cilioretinal artery in the left eye and the choroid in the left eye.
IMPRESSION:
1. CILIORETINAL ARTERY OCCLUSION – LEFT EYE - Possible Ophthalmic Artery Occusion sparing CRA.
2. INFERIOR OPTIC ATROPHY – BOTH EYES
3. HISTORY OF TRANSIENT ISCHEMIC ATTACK – RIGHT EYE
DISCUSSION: I explained to the patient she has had a blockage in one of the main retinal vessels in the left eye which unfortunately has damaged her central vision. At this moment there is no treatment for retinal vascular occlusions, but fortunately the odds are that things will not become any worse. She is already taking a baby aspirin a day. She does need to be evaluated for stroke risks and I will send a letter to her medical doctor to ask him to follow-up with that as well as to check her for possible giant cell arteritis.
The optic nerves do look a little pale and this is suspicious for low-tension glaucoma.