Optic Nerve Drusen - CNVM and Hemorrhage
|
|
82-year-old man was seen in the office on 5/31/2011. He has noticed decreased vision in the left eye over about the last six to 12 months. He is also on Coumadin. He has been seen here in the past and his vision was okay, but he did have optic nerve drusen on the past few visits that were striking. His vision in the right eye remains good, but he notices he is having some difficulty with his visual function.
VISUAL ACUITY: OD 20/20, OS 20/80. IOP: OD 13, OS 15.
SLIT LAMP EXAMINATION: Posterior chamber intraocular lens is in good position in both eyes.
EXTENDED OPHTHALMOSCOPY:
OD: Vertical C/D ratio is 0.0. There is 2+ optic nerve drusen. There is posterior vitreous separation and 2+ macular drusen. There is no subretinal fluid, hemorrhage, or exudate.
OS: Vertical C/D ratio is 0.0. There is 3+ macular drusen. There is posterior vitreous separation. There is a juxtapapillary choroidal neovascular membrane with hemorrhage, which also touches the macula.
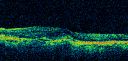
OCT SCAN: The OCT scan of the right eye shows the macula to be dry. The left eye shows subretinal fluid.
Photos confirm clinical findings.
FLUORESCEIN ANGIOGRAM: Shows hypofluorescence in the left eye corresponding to hemorrhage, which actually spares the fovea. It also shows hyperfluorescence under the fovea from the choroidal neovascular membrane, which extends from the optic nerve to about 500 microns temporal to the fovea. The right eye has some hyperfluorescence in the macula from the staining drusen. There is no evidence of choroidal neovascular neovascularization. In both eyes there is autofluorescence from the optic nerve drusen.
IMPRESSION:
1. WET AGE-RELATED MACULAR DEGENERATION – LEFT EYE
2. JUXTAPAPILLARY SUBFOVEAL CHOROIDAL NEOVASCULAR MEMBRANE – LEFT EYE
3. OPTIC NERVE DRUSEN – BOTH EYES
4. RETINAL HEMORRHAGE – LEFT EYE
DISCUSSION: I explained to the patient with intravitreal Lucentis there is about a 90% chance of improving the vision some and a 50% chance of improving the vision a lot in the left eye. I explained that all the treatment is safe and effective. It does often require ongoing therapy.
I treated with intravitreal injection of Lucentis (0.5 mg/0.05 ml) without any difficulty today.
|

Choroidal Neovascular Membrane - Optic Disc Drusen - Hemorrhage (Coumadin) 566 views82-year-old man with decreased vision in the left eye over about the last six to 12 months. He is also on Coumadin. OD 20/20, OS 20/80     (0 votes)
|
|

Choroidal Neovascular Membrane - Optic Disc Drusen - Hemorrhage (Coumadin) 800 views82-year-old man with decreased vision in the left eye over about the last six to 12 months. He is also on Coumadin. OD 20/20, OS 20/80     (0 votes)
|
|

Choroidal Neovascular Membrane - Optic Disc Drusen - Hemorrhage (Coumadin) 882 views82-year-old man with decreased vision in the left eye over about the last six to 12 months. He is also on Coumadin. OD 20/20, OS 20/80     (0 votes)
|
|

Choroidal Neovascular Membrane - Optic Disc Drusen - Hemorrhage (Coumadin) 730 views82-year-old man with decreased vision in the left eye over about the last six to 12 months. He is also on Coumadin. OD 20/20, OS 20/80     (0 votes)
|
|

Choroidal Neovascular Membrane - Optic Disc Drusen - Hemorrhage (Coumadin) 551 views82-year-old man with decreased vision in the left eye over about the last six to 12 months. He is also on Coumadin. OD 20/20, OS 20/80     (0 votes)
|
|

Choroidal Neovascular Membrane - Optic Disc Drusen - Hemorrhage (Coumadin) 563 views82-year-old man with decreased vision in the left eye over about the last six to 12 months. He is also on Coumadin. OD 20/20, OS 20/80     (0 votes)
|
|

Choroidal Neovascular Membrane - Optic Disc Drusen - Hemorrhage (Coumadin) 653 views82-year-old man with decreased vision in the left eye over about the last six to 12 months. He is also on Coumadin. OD 20/20, OS 20/80     (0 votes)
|
|
|
|
|
82-year-old man was seen in the office on 5/31/2011. He has noticed decreased vision in the left eye over about the last six to 12 months. He is also on Coumadin. He has been seen here in the past and his vision was okay, but he did have optic nerve drusen on the past few visits that were striking. His vision in the right eye remains good, but he notices he is having some difficulty with his visual function.
VISUAL ACUITY: OD 20/20, OS 20/80. IOP: OD 13, OS 15.
SLIT LAMP EXAMINATION: Posterior chamber intraocular lens is in good position in both eyes.
EXTENDED OPHTHALMOSCOPY:
OD: Vertical C/D ratio is 0.0. There is 2+ optic nerve drusen. There is posterior vitreous separation and 2+ macular drusen. There is no subretinal fluid, hemorrhage, or exudate.
OS: Vertical C/D ratio is 0.0. There is 3+ macular drusen. There is posterior vitreous separation. There is a juxtapapillary choroidal neovascular membrane with hemorrhage, which also touches the macula.
OCT SCAN: The OCT scan of the right eye shows the macula to be dry. The left eye shows subretinal fluid.
Photos confirm clinical findings.
FLUORESCEIN ANGIOGRAM: Shows hypofluorescence in the left eye corresponding to hemorrhage, which actually spares the fovea. It also shows hyperfluorescence under the fovea from the choroidal neovascular membrane, which extends from the optic nerve to about 500 microns temporal to the fovea. The right eye has some hyperfluorescence in the macula from the staining drusen. There is no evidence of choroidal neovascular neovascularization. In both eyes there is autofluorescence from the optic nerve drusen.
IMPRESSION:
1. WET AGE-RELATED MACULAR DEGENERATION – LEFT EYE
2. JUXTAPAPILLARY SUBFOVEAL CHOROIDAL NEOVASCULAR MEMBRANE – LEFT EYE
3. OPTIC NERVE DRUSEN – BOTH EYES
4. RETINAL HEMORRHAGE – LEFT EYE
DISCUSSION: I explained to the patient with intravitreal Lucentis there is about a 90% chance of improving the vision some and a 50% chance of improving the vision a lot in the left eye. I explained that all the treatment is safe and effective. It does often require ongoing therapy.
I treated with intravitreal injection of Lucentis (0.5 mg/0.05 ml) without any difficulty today.