PED - Exudate (fellow eye RPE Hyperplasia)
|
|
87-year-old woman has wet age-related macular degeneration in the left eye. She had treatment up north but there has been a gap in therapy and the vision in the left eye is poor. The vision in the right eye remains good.
VISUAL ACUITY: Vision OD is 20/25, OS is 20/400. IOP: OU 18. The posterior chamber intraocular lens is in good position in both eyes.
EXTENDED OPHTHALMOSCOPY:
OD: Vertical C/D ratio is 0.1. There are hyperpigmented spots in the macula. There is no intraretinal or subretinal fluid.
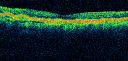
OS: Vertical C/D ratio is 0.1. There is a pigment epithelial detachment centrally with exudate at the edge as well as subretinal fluid and hemorrhage.
Photos confirm clinical findings.
FLUORESCEIN ANGIOGRAM: Shows an occult subfoveal choroidal neovascular membrane in the left eye about 4 disc areas in size. The right eye has staining of drusen and hypofluorescence corresponding to the macular pigment. Temporal to the fovea, about 1-disc diameter from the center, there is a disc area of irregular hyperfluorescence. It is associated with a spot of hemorrhage, which may represent an occult asymptomatic extrafoveal choroidal neovascular membrane.
IMPRESSION:
1. WET AGE-RELATED MACULAR DEGENERATION – LEFT EYE
2. PIGMENT EPITHELIAL DETACHMENT – LEFT EYE
3. SEROUS MACULAR DETEACHMENT – LEFT EYE
4. MACULAR HEMORRHAGE – LEFT EYE
5. DRY AGE-RELATED MACULAR DEGENERATION WITH HIGH-RISK CHARACTERISTICS
6. POSSIBLE OCCULT EXTRAFOVEAL CHOROIDAL NEOVASCULAR MEMBRANE – RIGHT EYE
DISCUSSION: I explained to the patient the macula in the left eye is wet. With intravitreal injections there is an excellent chance of maintaining her vision and possibly improving it.
I treated with intravitreal injection of Avastin (1.25 mg/0.05 ml) without any difficulty today.
|

Hyperpigmentation of Retinal Pigment Epithlium in Dry AMD (hyperplasia)1096 views87-year-old woman has wet age-related macular degeneration in the left eye. She had treatment up north but there has been a gap in therapy and the vision in the left eye is poor. Vision OD is 20/25, OS is 20/400     (0 votes)
|
|

Hyperpigmentation of Retinal Pigment Epithlium in Dry AMD (hyperplasia)720 views87-year-old woman has wet age-related macular degeneration in the left eye. She had treatment up north but there has been a gap in therapy and the vision in the left eye is poor. Vision OD is 20/25, OS is 20/400     (0 votes)
|
|

Hyperpigmentation of Retinal Pigment Epithlium in Dry AMD (hyperplasia)1028 views87-year-old woman has wet age-related macular degeneration in the left eye. She had treatment up north but there has been a gap in therapy and the vision in the left eye is poor. Vision OD is 20/25, OS is 20/400     (1 votes)
|
|

Hyperpigmentation of Retinal Pigment Epithlium in Dry AMD (hyperplasia)630 views87-year-old woman has wet age-related macular degeneration in the left eye. She had treatment up north but there has been a gap in therapy and the vision in the left eye is poor. Vision OD is 20/25, OS is 20/400     (0 votes)
|
|

Hyperpigmentation of Retinal Pigment Epithlium in Dry AMD (hyperplasia)669 views87-year-old woman has wet age-related macular degeneration in the left eye. She had treatment up north but there has been a gap in therapy and the vision in the left eye is poor. Vision OD is 20/25, OS is 20/400     (0 votes)
|
|

Hyperpigmentation of Retinal Pigment Epithlium in Dry AMD (hyperplasia)521 views87-year-old woman has wet age-related macular degeneration in the left eye. She had treatment up north but there has been a gap in therapy and the vision in the left eye is poor. Vision OD is 20/25, OS is 20/400     (0 votes)
|
|

Hyperpigmentation of Retinal Pigment Epithlium in Dry AMD (hyperplasia)535 views87-year-old woman has wet age-related macular degeneration in the left eye. She had treatment up north but there has been a gap in therapy and the vision in the left eye is poor. Vision OD is 20/25, OS is 20/400     (0 votes)
|
|

Hyperpigmentation of Retinal Pigment Epithlium in Dry AMD (hyperplasia)527 views87-year-old woman has wet age-related macular degeneration in the left eye. She had treatment up north but there has been a gap in therapy and the vision in the left eye is poor. Vision OD is 20/25, OS is 20/400     (0 votes)
|
|

Hyperpigmentation of Retinal Pigment Epithlium in Dry AMD (hyperplasia)569 views87-year-old woman has wet age-related macular degeneration in the left eye. She had treatment up north but there has been a gap in therapy and the vision in the left eye is poor. Vision OD is 20/25, OS is 20/400     (0 votes)
|
|

Pigment Epithelial Detachment with Subretinal Fluid and Exudate 20/400 Vision681 views87-year-old woman has wet age-related macular degeneration in the left eye. She had treatment up north but there has been a gap in therapy and the vision in the left eye is poor. Vision OD is 20/25, OS is 20/400     (0 votes)
|
|

Pigment Epithelial Detachment with Subretinal Fluid and Exudate 20/400 Vision625 views87-year-old woman has wet age-related macular degeneration in the left eye. She had treatment up north but there has been a gap in therapy and the vision in the left eye is poor. Vision OD is 20/25, OS is 20/400     (0 votes)
|
|

Pigment Epithelial Detachment with Subretinal Fluid and Exudate 20/400 Vision753 views87-year-old woman has wet age-related macular degeneration in the left eye. She had treatment up north but there has been a gap in therapy and the vision in the left eye is poor. Vision OD is 20/25, OS is 20/400     (0 votes)
|
|

Pigment Epithelial Detachment with Subretinal Fluid and Exudate 20/400 Vision535 views87-year-old woman has wet age-related macular degeneration in the left eye. She had treatment up north but there has been a gap in therapy and the vision in the left eye is poor. Vision OD is 20/25, OS is 20/400     (0 votes)
|
|

Pigment Epithelial Detachment with Subretinal Fluid and Exudate 20/400 Vision541 views87-year-old woman has wet age-related macular degeneration in the left eye. She had treatment up north but there has been a gap in therapy and the vision in the left eye is poor. Vision OD is 20/25, OS is 20/400     (0 votes)
|
|

Pigment Epithelial Detachment with Subretinal Fluid and Exudate 20/400 Vision632 views87-year-old woman has wet age-related macular degeneration in the left eye. She had treatment up north but there has been a gap in therapy and the vision in the left eye is poor. Vision OD is 20/25, OS is 20/400     (1 votes)
|
|

Pigment Epithelial Detachment with Subretinal Fluid and Exudate 20/400 Vision475 views87-year-old woman has wet age-related macular degeneration in the left eye. She had treatment up north but there has been a gap in therapy and the vision in the left eye is poor. Vision OD is 20/25, OS is 20/400     (0 votes)
|
|

Pigment Epithelial Detachment with Subretinal Fluid and Exudate 20/400 Vision543 views87-year-old woman has wet age-related macular degeneration in the left eye. She had treatment up north but there has been a gap in therapy and the vision in the left eye is poor. Vision OD is 20/25, OS is 20/400     (0 votes)
|
|

Pigment Epithelial Detachment with Subretinal Fluid and Exudate 20/400 Vision574 views87-year-old woman has wet age-related macular degeneration in the left eye. She had treatment up north but there has been a gap in therapy and the vision in the left eye is poor. Vision OD is 20/25, OS is 20/400     (0 votes)
|
|

Pigment Epithelial Detachment with Subretinal Fluid and Exudate 20/400 Vision594 views87-year-old woman has wet age-related macular degeneration in the left eye. She had treatment up north but there has been a gap in therapy and the vision in the left eye is poor. Vision OD is 20/25, OS is 20/400     (0 votes)
|
|
|
|
|
87-year-old woman has wet age-related macular degeneration in the left eye. She had treatment up north but there has been a gap in therapy and the vision in the left eye is poor. The vision in the right eye remains good.
VISUAL ACUITY: Vision OD is 20/25, OS is 20/400. IOP: OU 18. The posterior chamber intraocular lens is in good position in both eyes.
EXTENDED OPHTHALMOSCOPY:
OD: Vertical C/D ratio is 0.1. There are hyperpigmented spots in the macula. There is no intraretinal or subretinal fluid.
OS: Vertical C/D ratio is 0.1. There is a pigment epithelial detachment centrally with exudate at the edge as well as subretinal fluid and hemorrhage.
Photos confirm clinical findings.
FLUORESCEIN ANGIOGRAM: Shows an occult subfoveal choroidal neovascular membrane in the left eye about 4 disc areas in size. The right eye has staining of drusen and hypofluorescence corresponding to the macular pigment. Temporal to the fovea, about 1-disc diameter from the center, there is a disc area of irregular hyperfluorescence. It is associated with a spot of hemorrhage, which may represent an occult asymptomatic extrafoveal choroidal neovascular membrane.
IMPRESSION:
1. WET AGE-RELATED MACULAR DEGENERATION – LEFT EYE
2. PIGMENT EPITHELIAL DETACHMENT – LEFT EYE
3. SEROUS MACULAR DETEACHMENT – LEFT EYE
4. MACULAR HEMORRHAGE – LEFT EYE
5. DRY AGE-RELATED MACULAR DEGENERATION WITH HIGH-RISK CHARACTERISTICS
6. POSSIBLE OCCULT EXTRAFOVEAL CHOROIDAL NEOVASCULAR MEMBRANE – RIGHT EYE
DISCUSSION: I explained to the patient the macula in the left eye is wet. With intravitreal injections there is an excellent chance of maintaining her vision and possibly improving it.
I treated with intravitreal injection of Avastin (1.25 mg/0.05 ml) without any difficulty today.