Hyperpigmentation of Retinal Pigment Epithelium with Wet Fellow Eye
|
|
87-year-old woman has wet age-related macular degeneration in the left eye. She had treatment up north but there has been a gap in therapy and the vision in the left eye is poor. The vision in the right eye remains good.
VISUAL ACUITY: Vision OD is 20/25, OS is 20/400. IOP: OU 18. The posterior chamber intraocular lens is in good position in both eyes.
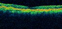
EXTENDED OPHTHALMOSCOPY:
OD: Vertical C/D ratio is 0.1. There are hyperpigmented spots in the macula. There is no intraretinal or subretinal fluid.
OS: Vertical C/D ratio is 0.1. There is a pigment epithelial detachment centrally with exudate at the edge as well as subretinal fluid and hemorrhage.
Photos confirm clinical findings.
FLUORESCEIN ANGIOGRAM: Shows an occult subfoveal choroidal neovascular membrane in the left eye about 4 disc areas in size. The right eye has staining of drusen and hypofluorescence corresponding to the macular pigment. Temporal to the fovea, about 1-disc diameter from the center, there is a disc area of irregular hyperfluorescence. It is associated with a spot of hemorrhage, which may represent an occult asymptomatic extrafoveal choroidal neovascular membrane.
IMPRESSION:
1. WET AGE-RELATED MACULAR DEGENERATION – LEFT EYE
2. PIGMENT EPITHELIAL DETACHMENT – LEFT EYE
3. SEROUS MACULAR DETEACHMENT – LEFT EYE
4. MACULAR HEMORRHAGE – LEFT EYE
5. DRY AGE-RELATED MACULAR DEGENERATION WITH HIGH-RISK CHARACTERISTICS
6. POSSIBLE OCCULT EXTRAFOVEAL CHOROIDAL NEOVASCULAR MEMBRANE – RIGHT EYE
DISCUSSION: I explained to the patient the macula in the left eye is wet. With intravitreal injections there is an excellent chance of maintaining her vision and possibly improving it.
I treated with intravitreal injection of Avastin (1.25 mg/0.05 ml) without any difficulty today.
|

Hyperpigmentation of the Retinal Pigment Epithelium in Dry AMD1260 views87-year-old woman has wet age-related macular degeneration in the left eye. Vision OD is 20/25, OS is 20/400     (0 votes)
|
|

Hyperpigmentation of the Retinal Pigment Epithelium in Dry AMD922 views87-year-old woman has wet age-related macular degeneration in the left eye. Vision OD is 20/25, OS is 20/400     (0 votes)
|
|

Hyperpigmentation of the Retinal Pigment Epithelium in Dry AMD917 views87-year-old woman has wet age-related macular degeneration in the left eye. Vision OD is 20/25, OS is 20/400     (0 votes)
|
|

Hyperpigmentation of the Retinal Pigment Epithelium in Dry AMD950 views87-year-old woman has wet age-related macular degeneration in the left eye. Vision OD is 20/25, OS is 20/400     (0 votes)
|
|

Hyperpigmentation of the Retinal Pigment Epithelium in Dry AMD629 views87-year-old woman has wet age-related macular degeneration in the left eye. Vision OD is 20/25, OS is 20/400     (0 votes)
|
|

Hyperpigmentation of the Retinal Pigment Epithelium in Dry AMD585 views87-year-old woman has wet age-related macular degeneration in the left eye. Vision OD is 20/25, OS is 20/400     (0 votes)
|
|

Hyperpigmentation of the Retinal Pigment Epithelium in Dry AMD661 views87-year-old woman has wet age-related macular degeneration in the left eye. Vision OD is 20/25, OS is 20/400     (0 votes)
|
|

Hyperpigmentation of the Retinal Pigment Epithelium in Dry AMD533 views87-year-old woman has wet age-related macular degeneration in the left eye. Vision OD is 20/25, OS is 20/400     (0 votes)
|
|

Hyperpigmentation of the Retinal Pigment Epithelium in Dry AMD574 views87-year-old woman has wet age-related macular degeneration in the left eye. Vision OD is 20/25, OS is 20/400     (0 votes)
|
|

Wet AMD - PED with exudate 20/400 87 Year old654 views87-year-old woman has wet age-related macular degeneration in the left eye. Vision OD is 20/25, OS is 20/400     (0 votes)
|
|

Wet AMD - PED with exudate 20/400 87 Year old563 views87-year-old woman has wet age-related macular degeneration in the left eye. Vision OD is 20/25, OS is 20/400     (0 votes)
|
|

Wet AMD - PED with exudate 20/400 87 Year old613 views87-year-old woman has wet age-related macular degeneration in the left eye. Vision OD is 20/25, OS is 20/400     (0 votes)
|
|

Wet AMD - PED with exudate 20/400 87 Year old577 views87-year-old woman has wet age-related macular degeneration in the left eye. Vision OD is 20/25, OS is 20/400     (0 votes)
|
|

Wet AMD - PED with exudate 20/400 87 Year old556 views87-year-old woman has wet age-related macular degeneration in the left eye. Vision OD is 20/25, OS is 20/400     (0 votes)
|
|

Wet AMD - PED with exudate 20/400 87 Year old625 views87-year-old woman has wet age-related macular degeneration in the left eye. Vision OD is 20/25, OS is 20/400     (0 votes)
|
|

Wet AMD - PED with exudate 20/400 87 Year old545 views87-year-old woman has wet age-related macular degeneration in the left eye. Vision OD is 20/25, OS is 20/400     (0 votes)
|
|

Wet AMD - PED with exudate 20/400 87 Year old622 views87-year-old woman has wet age-related macular degeneration in the left eye. Vision OD is 20/25, OS is 20/400     (0 votes)
|
|

Wet AMD - PED with exudate 20/400 87 Year old576 views87-year-old woman has wet age-related macular degeneration in the left eye. Vision OD is 20/25, OS is 20/400     (0 votes)
|
|

Wet AMD - PED with exudate 20/400 87 Year old679 views87-year-old woman has wet age-related macular degeneration in the left eye. Vision OD is 20/25, OS is 20/400     (0 votes)
|
|
|
|
|
87-year-old woman has wet age-related macular degeneration in the left eye. She had treatment up north but there has been a gap in therapy and the vision in the left eye is poor. The vision in the right eye remains good.
VISUAL ACUITY: Vision OD is 20/25, OS is 20/400. IOP: OU 18. The posterior chamber intraocular lens is in good position in both eyes.
EXTENDED OPHTHALMOSCOPY:
OD: Vertical C/D ratio is 0.1. There are hyperpigmented spots in the macula. There is no intraretinal or subretinal fluid.
OS: Vertical C/D ratio is 0.1. There is a pigment epithelial detachment centrally with exudate at the edge as well as subretinal fluid and hemorrhage.
Photos confirm clinical findings.
FLUORESCEIN ANGIOGRAM: Shows an occult subfoveal choroidal neovascular membrane in the left eye about 4 disc areas in size. The right eye has staining of drusen and hypofluorescence corresponding to the macular pigment. Temporal to the fovea, about 1-disc diameter from the center, there is a disc area of irregular hyperfluorescence. It is associated with a spot of hemorrhage, which may represent an occult asymptomatic extrafoveal choroidal neovascular membrane.
IMPRESSION:
1. WET AGE-RELATED MACULAR DEGENERATION – LEFT EYE
2. PIGMENT EPITHELIAL DETACHMENT – LEFT EYE
3. SEROUS MACULAR DETEACHMENT – LEFT EYE
4. MACULAR HEMORRHAGE – LEFT EYE
5. DRY AGE-RELATED MACULAR DEGENERATION WITH HIGH-RISK CHARACTERISTICS
6. POSSIBLE OCCULT EXTRAFOVEAL CHOROIDAL NEOVASCULAR MEMBRANE – RIGHT EYE
DISCUSSION: I explained to the patient the macula in the left eye is wet. With intravitreal injections there is an excellent chance of maintaining her vision and possibly improving it.
I treated with intravitreal injection of Avastin (1.25 mg/0.05 ml) without any difficulty today.