Retina Gallery ~ Full Sized Retina Images

Library of Free, Non-Copyrighted Retina Images and Videos

Choose your language:



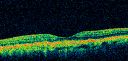
60-year-old woman was seen in the office on 11/30/2010. She has been having some problem with her vision. She was in to see you for comprehensive evaluation recently and you saw a problem with the macula and suggested she come here for an evaluation. She has a new prescription and will probably check back with you because her vision is a little bit hazy. VISUAL ACUITY: Vision OD is 20/30, PH 20/25; OS is 20/40. IOP: OD 15, OS 14. AMSLER GRID: Normal in both eyes SLIT LAMP EXAM: There is 2+ nuclear sclerosis in both eyes. EXTENDED OPHTHALMOSCOPY: OD: Vertical C/D ratio is 0.1. There is no posterior vitreous separation. There are pigment epithelial irregularities centrally. OS: Vertical C/D ratio is 0.1. There is no posterior vitreous separation. There are pigment epithelial irregularities centrally. OCT SCAN: The OCT scan shows some disruption of the pigment epithelial layer with some loss of photoreceptor integrity. There is no intraretinal or subretinal fluid. PHOTOGRAPHS: Photos confirm clinical findings. FLUORESCEIN ANGIOGRAPHY: FA shows immediate hyperfluorescence from the macular drusen, which are mostly basal laminar drusen. IMPRESSION: 1. BASAL LAMINAR DRUSEN – BOTH EYES 2. DRY AGE-RELATED MACULAR DEGENERATION – BOTH EYES 3. CATARACT 4. HISTORY OF PRISMS IN THE GLASSES DISCUSSION: I explained to the patient that she does have dry macular degeneration in both eyes but a type that does not generally cause severe vision loss.

basallaminardrusen_yoar01.jpg
Basal Laminar (cuticular) Drusen both eyes 60 Year Old Woman752 views60-year-old woman with minimal vision loss. Vision OD is 20/30 OS 20/4044444
(1 votes)
basallaminardrusen_yoar02.jpg
Basal Laminar (cuticular) Drusen both eyes 60 Year Old Woman604 views60-year-old woman with minimal vision loss. Vision OD is 20/30 OS 20/4000000
(0 votes)
basallaminardrusen_yoar03.jpg
Basal Laminar (cuticular) Drusen both eyes 60 Year Old Woman636 views60-year-old woman with minimal vision loss. Vision OD is 20/30 OS 20/4033333
(1 votes)
basallaminardrusen_yoar04.jpg
Basal Laminar (cuticular) Drusen both eyes 60 Year Old Woman515 views60-year-old woman with minimal vision loss. Vision OD is 20/30 OS 20/4000000
(0 votes)
basallaminardrusen_yoar05.jpg
Basal Laminar (cuticular) Drusen both eyes 60 Year Old Woman537 views60-year-old woman with minimal vision loss. Vision OD is 20/30 OS 20/4000000
(0 votes)
basallaminardrusen_yoar06.jpg
Basal Laminar (cuticular) Drusen both eyes 60 Year Old Woman486 views60-year-old woman with minimal vision loss. Vision OD is 20/30 OS 20/4000000
(0 votes)
basallaminardrusen_yoar07.jpg
Basal Laminar (cuticular) Drusen both eyes 60 Year Old Woman458 views60-year-old woman with minimal vision loss. Vision OD is 20/30 OS 20/4000000
(0 votes)
basallaminardrusen_yoar08.jpg
Basal Laminar (cuticular) Drusen both eyes 60 Year Old Woman505 views60-year-old woman with minimal vision loss. Vision OD is 20/30 OS 20/4000000
(0 votes)
basallaminardrusen_yoar09.jpg
Basal Laminar (cuticular) Drusen both eyes 60 Year Old Woman561 views60-year-old woman with minimal vision loss. Vision OD is 20/30 OS 20/4000000
(0 votes)
     
9 files on 1 page(s)

60-year-old woman was seen in the office on 11/30/2010. She has been having some problem with her vision. She was in to see you for comprehensive evaluation recently and you saw a problem with the macula and suggested she come here for an evaluation. She has a new prescription and will probably check back with you because her vision is a little bit hazy. VISUAL ACUITY: Vision OD is 20/30, PH 20/25; OS is 20/40. IOP: OD 15, OS 14. AMSLER GRID: Normal in both eyes SLIT LAMP EXAM: There is 2+ nuclear sclerosis in both eyes. EXTENDED OPHTHALMOSCOPY: OD: Vertical C/D ratio is 0.1. There is no posterior vitreous separation. There are pigment epithelial irregularities centrally. OS: Vertical C/D ratio is 0.1. There is no posterior vitreous separation. There are pigment epithelial irregularities centrally. OCT SCAN: The OCT scan shows some disruption of the pigment epithelial layer with some loss of photoreceptor integrity. There is no intraretinal or subretinal fluid. PHOTOGRAPHS: Photos confirm clinical findings. FLUORESCEIN ANGIOGRAPHY: FA shows immediate hyperfluorescence from the macular drusen, which are mostly basal laminar drusen. IMPRESSION: 1. BASAL LAMINAR DRUSEN – BOTH EYES 2. DRY AGE-RELATED MACULAR DEGENERATION – BOTH EYES 3. CATARACT 4. HISTORY OF PRISMS IN THE GLASSES DISCUSSION: I explained to the patient that she does have dry macular degeneration in both eyes but a type that does not generally cause severe vision loss.