CNVM - new CNVM no leakage on OCT
|
|
86-year-old man has had changing vision. He says his vision has been gradually declining since I saw him in June. You saw a hemorrhage in the eye and suggested he comes in here for an evaluation. He is on Combigan and Travatan in the right eye for his glaucoma.
VISUAL ACUITY: Vision OD is 6/200, OS is 8/200. IOP: OD 15, OS 13. The posterior chamber intraocular lens is in good position in both eyes.
EXTENDED OPHTHALMOSCOPY:
OD: Vertical C/D ratio is 0.6. The macula is flat. There is a hemorrhage superior to the fovea.
OS: Vertical C/D ratio is 0.6. The macula is flat. There is atrophy nasal to the fovea.
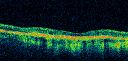
OCT SCAN: The OCT scan shows no intraretinal or subretinal fluid in either eye. There is, however, retinal atrophy.
PHOTOGRAPHS: Photos confirm clinical findings.
FLUORESCEIN ANGIOGRAPHY: FA shows a classic subfoveal choroidal neovascular membrane in the right eye, 2-disc diameters across, in a cartwheel-style appearance. The edge of the membrane superiorly is where the hemorrhage hypofluoresces. The left eye has hyperfluorescence in a geographic area corresponding to the atrophy.
IMPRESSION: 1. AGE-RELATED MACULAR DEGENERATION – BOTH EYES
2. WET AGE-RELATED MACULAR DEGENERATION – RIGHT EYE
3. GLAUCOMA – RIGHT EYE
4. GEOGRAPHIC ATROPHY – LEFT EYE
DISCUSSION: I explained to the patient the macula in the right eye is wet even though interestingly the OCT does not show subretinal fluid. I suggest we try Lucentis in that eye to improve his vision. Recently that has been his better eye. He will return in the near future for his first Lucentis treatment and then he will see you back periodically.
|

Vision Loss, Blood, and Cartwheel CNVM OD with no fluid on OCT Scan753 views86-year-old man has had changing vision. He says his vision has been gradually declining since I saw him in June. You saw a hemorrhage in the eye and suggested he comes in here for an evaluation. He is on Combigan and Travatan in the right eye for his glaucoma.
VISUAL ACUITY: Vision OD is 6/200 OS is 8/200 The macula in the right eye is wet even though interestingly the OCT does not show subretinal fluid.     (0 votes)
|
|

Vision Loss, Blood, and Cartwheel CNVM OD with no fluid on OCT Scan676 views86-year-old man has had changing vision. He says his vision has been gradually declining since I saw him in June. You saw a hemorrhage in the eye and suggested he comes in here for an evaluation. He is on Combigan and Travatan in the right eye for his glaucoma.
VISUAL ACUITY: Vision OD is 6/200 OS is 8/200 The macula in the right eye is wet even though interestingly the OCT does not show subretinal fluid.     (0 votes)
|
|

Vision Loss, Blood, and Cartwheel CNVM OD with no fluid on OCT Scan617 views86-year-old man has had changing vision. He says his vision has been gradually declining since I saw him in June. You saw a hemorrhage in the eye and suggested he comes in here for an evaluation. He is on Combigan and Travatan in the right eye for his glaucoma.
VISUAL ACUITY: Vision OD is 6/200 OS is 8/200 The macula in the right eye is wet even though interestingly the OCT does not show subretinal fluid.     (0 votes)
|
|

Vision Loss, Blood, and Cartwheel CNVM OD with no fluid on OCT Scan627 views86-year-old man has had changing vision. He says his vision has been gradually declining since I saw him in June. You saw a hemorrhage in the eye and suggested he comes in here for an evaluation. He is on Combigan and Travatan in the right eye for his glaucoma.
VISUAL ACUITY: Vision OD is 6/200 OS is 8/200 The macula in the right eye is wet even though interestingly the OCT does not show subretinal fluid.     (0 votes)
|
|

Vision Loss, Blood, and Cartwheel CNVM OD with no fluid on OCT Scan771 views86-year-old man has had changing vision. He says his vision has been gradually declining since I saw him in June. You saw a hemorrhage in the eye and suggested he comes in here for an evaluation. He is on Combigan and Travatan in the right eye for his glaucoma.
VISUAL ACUITY: Vision OD is 6/200 OS is 8/200 The macula in the right eye is wet even though interestingly the OCT does not show subretinal fluid.     (0 votes)
|
|

Vision Loss, Blood, and Cartwheel CNVM OD with no fluid on OCT Scan713 views86-year-old man has had changing vision. He says his vision has been gradually declining since I saw him in June. You saw a hemorrhage in the eye and suggested he comes in here for an evaluation. He is on Combigan and Travatan in the right eye for his glaucoma.
VISUAL ACUITY: Vision OD is 6/200 OS is 8/200 The macula in the right eye is wet even though interestingly the OCT does not show subretinal fluid.     (0 votes)
|
|

Vision Loss, Blood, and Cartwheel CNVM OD with no fluid on OCT Scan524 views86-year-old man has had changing vision. He says his vision has been gradually declining since I saw him in June. You saw a hemorrhage in the eye and suggested he comes in here for an evaluation. He is on Combigan and Travatan in the right eye for his glaucoma.
VISUAL ACUITY: Vision OD is 6/200 OS is 8/200 The macula in the right eye is wet even though interestingly the OCT does not show subretinal fluid.     (0 votes)
|
|

Vision Loss, Blood, and Cartwheel CNVM OD with no fluid on OCT Scan526 views86-year-old man has had changing vision. He says his vision has been gradually declining since I saw him in June. You saw a hemorrhage in the eye and suggested he comes in here for an evaluation. He is on Combigan and Travatan in the right eye for his glaucoma.
VISUAL ACUITY: Vision OD is 6/200 OS is 8/200 The macula in the right eye is wet even though interestingly the OCT does not show subretinal fluid.     (0 votes)
|
|

Vision Loss, Blood, and Cartwheel CNVM OD with no fluid on OCT Scan550 views86-year-old man has had changing vision. He says his vision has been gradually declining since I saw him in June. You saw a hemorrhage in the eye and suggested he comes in here for an evaluation. He is on Combigan and Travatan in the right eye for his glaucoma.
VISUAL ACUITY: Vision OD is 6/200 OS is 8/200 The macula in the right eye is wet even though interestingly the OCT does not show subretinal fluid.     (0 votes)
|
|

Vision Loss, Blood, and Cartwheel CNVM OD with no fluid on OCT Scan582 views86-year-old man has had changing vision. He says his vision has been gradually declining since I saw him in June. You saw a hemorrhage in the eye and suggested he comes in here for an evaluation. He is on Combigan and Travatan in the right eye for his glaucoma.
VISUAL ACUITY: Vision OD is 6/200 OS is 8/200 The macula in the right eye is wet even though interestingly the OCT does not show subretinal fluid.     (0 votes)
|
|
|
|
|
|
86-year-old man has had changing vision. He says his vision has been gradually declining since I saw him in June. You saw a hemorrhage in the eye and suggested he comes in here for an evaluation. He is on Combigan and Travatan in the right eye for his glaucoma.
VISUAL ACUITY: Vision OD is 6/200, OS is 8/200. IOP: OD 15, OS 13. The posterior chamber intraocular lens is in good position in both eyes.
EXTENDED OPHTHALMOSCOPY:
OD: Vertical C/D ratio is 0.6. The macula is flat. There is a hemorrhage superior to the fovea.
OS: Vertical C/D ratio is 0.6. The macula is flat. There is atrophy nasal to the fovea.
OCT SCAN: The OCT scan shows no intraretinal or subretinal fluid in either eye. There is, however, retinal atrophy.
PHOTOGRAPHS: Photos confirm clinical findings.
FLUORESCEIN ANGIOGRAPHY: FA shows a classic subfoveal choroidal neovascular membrane in the right eye, 2-disc diameters across, in a cartwheel-style appearance. The edge of the membrane superiorly is where the hemorrhage hypofluoresces. The left eye has hyperfluorescence in a geographic area corresponding to the atrophy.
IMPRESSION: 1. AGE-RELATED MACULAR DEGENERATION – BOTH EYES
2. WET AGE-RELATED MACULAR DEGENERATION – RIGHT EYE
3. GLAUCOMA – RIGHT EYE
4. GEOGRAPHIC ATROPHY – LEFT EYE
DISCUSSION: I explained to the patient the macula in the right eye is wet even though interestingly the OCT does not show subretinal fluid. I suggest we try Lucentis in that eye to improve his vision. Recently that has been his better eye. He will return in the near future for his first Lucentis treatment and then he will see you back periodically.