Serpiginous choroiditis right eye
|
|
68 year old female - In the right eye, the vision is always blurry. There is a big spot off to the side that is always dark. She has a lot of floaters in both eyes some are dark and some are light. These started bothering her a few months ago. She does not usually get headaches and she has been getting headaches starting about 2 weeks ago that are medium severe and sometimes make her want to lie down.
Medical Hx: Multiple Sclerosis (2009). Hypertension, Systemic. Arthritis. Degeneration of Disc Disease.
Surgical Hx: oophorectomy (Left). Hysterectomy. Back Surgery. Cholecystectomy.
Systemic Meds: Amlodipine 5mg qday. Aspirin 81 mg qday. Carvedilol 12.5mg bid. Dicycolmine 20mg bid. Duloxetine 30mg bid. Gabapentin 400mg qid. Isosorbide 10mg bid. Losartan 100mg qday. Omeparazole 20mg qday. Teriflunomide 14mg qday. COQ10 300mg qday. Diclofenac 75mg bid. Tramadol 50mg tid. Melatonin 10mg qday. Vitamin D3 25MCG qday. Vitamin B12 1000mg qday. Spironolactone qday. Allergies: Penicillin. Keflex. Sulfa. Tetracycline. Betaserone.
VA 20/32 OU, IOP 17,18
AC – no cells
2+ NS OU
Right eye had mild vitreous cells
Patient admitted to hospital for possible cerebral vasculitis – exhaustively ruled out (MRI, LP)
Labs: CBC, CMP, Quant TB, ACE, Lysozyme, FTA-ABS normal
High dose steroids given in hospital then transitioned to oral steroids and then transitioned to Methotrexate
Next images are from 6 weeks after presentation
VA still 20/23 OU – No active uveitis
|

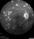
Serpiginous choroiditis in the right eye132 views68 year old female with spots in vision in the right eye for 2 months. She has a history of MS. The vision is 20/32 in both eyes. She was treated with high dose steroids and transitioned to methotrexate and the right eye quieted down.     (0 votes)
|
|

Serpiginous choroiditis in the right eye113 views68 year old female with spots in vision in the right eye for 2 months. She has a history of MS. The vision is 20/32 in both eyes. She was treated with high dose steroids and transitioned to methotrexate and the right eye quieted down.     (0 votes)
|
|

Serpiginous choroiditis in the right eye133 views68 year old female with spots in vision in the right eye for 2 months. She has a history of MS. The vision is 20/32 in both eyes. She was treated with high dose steroids and transitioned to methotrexate and the right eye quieted down.     (0 votes)
|
|

Serpiginous choroiditis in the right eye113 views68 year old female with spots in vision in the right eye for 2 months. She has a history of MS. The vision is 20/32 in both eyes. She was treated with high dose steroids and transitioned to methotrexate and the right eye quieted down.     (0 votes)
|
|

Serpiginous choroiditis in the right eye112 views68 year old female with spots in vision in the right eye for 2 months. She has a history of MS. The vision is 20/32 in both eyes. She was treated with high dose steroids and transitioned to methotrexate and the right eye quieted down.     (0 votes)
|
|

Serpiginous choroiditis in the right eye120 views68 year old female with spots in vision in the right eye for 2 months. She has a history of MS. The vision is 20/32 in both eyes. She was treated with high dose steroids and transitioned to methotrexate and the right eye quieted down.     (0 votes)
|
|

Serpiginous choroiditis in the right eye122 views68 year old female with spots in vision in the right eye for 2 months. She has a history of MS. The vision is 20/32 in both eyes. She was treated with high dose steroids and transitioned to methotrexate and the right eye quieted down.     (0 votes)
|
|

Serpiginous choroiditis in the right eye93 views68 year old female with spots in vision in the right eye for 2 months. She has a history of MS. The vision is 20/32 in both eyes. She was treated with high dose steroids and transitioned to methotrexate and the right eye quieted down.     (0 votes)
|
|

Serpiginous choroiditis in the right eye109 views68 year old female with spots in vision in the right eye for 2 months. She has a history of MS. The vision is 20/32 in both eyes. She was treated with high dose steroids and transitioned to methotrexate and the right eye quieted down.     (0 votes)
|
|

Serpiginous choroiditis in the right eye107 views68 year old female with spots in vision in the right eye for 2 months. She has a history of MS. The vision is 20/32 in both eyes. She was treated with high dose steroids and transitioned to methotrexate and the right eye quieted down.     (0 votes)
|
|

Serpiginous choroiditis in the right eye94 views68 year old female with spots in vision in the right eye for 2 months. She has a history of MS. The vision is 20/32 in both eyes. She was treated with high dose steroids and transitioned to methotrexate and the right eye quieted down.     (0 votes)
|
|

Serpiginous choroiditis in the right eye88 views68 year old female with spots in vision in the right eye for 2 months. She has a history of MS. The vision is 20/32 in both eyes. She was treated with high dose steroids and transitioned to methotrexate and the right eye quieted down.     (0 votes)
|
|

Serpiginous choroiditis in the right eye84 views68 year old female with spots in vision in the right eye for 2 months. She has a history of MS. The vision is 20/32 in both eyes. She was treated with high dose steroids and transitioned to methotrexate and the right eye quieted down.     (0 votes)
|
|

Serpiginous choroiditis in the right eye124 views68 year old female with spots in vision in the right eye for 2 months. She has a history of MS. The vision is 20/32 in both eyes. She was treated with high dose steroids and transitioned to methotrexate and the right eye quieted down.     (0 votes)
|
|

Serpiginous choroiditis in the right eye116 views68 year old female with spots in vision in the right eye for 2 months. She has a history of MS. The vision is 20/32 in both eyes. She was treated with high dose steroids and transitioned to methotrexate and the right eye quieted down.     (0 votes)
|
|

Serpiginous choroiditis in the right eye107 views68 year old female with spots in vision in the right eye for 2 months. She has a history of MS. The vision is 20/32 in both eyes. She was treated with high dose steroids and transitioned to methotrexate and the right eye quieted down.     (0 votes)
|
|

Serpiginous choroiditis in the right eye107 views68 year old female with spots in vision in the right eye for 2 months. She has a history of MS. The vision is 20/32 in both eyes. She was treated with high dose steroids and transitioned to methotrexate and the right eye quieted down.     (0 votes)
|
|

Serpiginous choroiditis in the right eye98 views68 year old female with spots in vision in the right eye for 2 months. She has a history of MS. The vision is 20/32 in both eyes. She was treated with high dose steroids and transitioned to methotrexate and the right eye quieted down.     (0 votes)
|
|

Serpiginous choroiditis in the right eye101 views68 year old female with spots in vision in the right eye for 2 months. She has a history of MS. The vision is 20/32 in both eyes. She was treated with high dose steroids and transitioned to methotrexate and the right eye quieted down.     (0 votes)
|
|

Serpiginous choroiditis in the right eye104 views68 year old female with spots in vision in the right eye for 2 months. She has a history of MS. The vision is 20/32 in both eyes. She was treated with high dose steroids and transitioned to methotrexate and the right eye quieted down.     (0 votes)
|
|

Serpiginous choroiditis in the right eye113 views68 year old female with spots in vision in the right eye for 2 months. She has a history of MS. The vision is 20/32 in both eyes. She was treated with high dose steroids and transitioned to methotrexate and the right eye quieted down.     (0 votes)
|
|

Serpiginous choroiditis in the right eye128 views68 year old female with spots in vision in the right eye for 2 months. She has a history of MS. The vision is 20/32 in both eyes. She was treated with high dose steroids and transitioned to methotrexate and the right eye quieted down.     (0 votes)
|
|

Serpiginous choroiditis in the right eye118 views68 year old female with spots in vision in the right eye for 2 months. She has a history of MS. The vision is 20/32 in both eyes. She was treated with high dose steroids and transitioned to methotrexate and the right eye quieted down.     (0 votes)
|
|

Serpiginous choroiditis in the right eye135 views68 year old female with spots in vision in the right eye for 2 months. She has a history of MS. The vision is 20/32 in both eyes. She was treated with high dose steroids and transitioned to methotrexate and the right eye quieted down.     (0 votes)
|
|

Serpiginous choroiditis in the right eye114 views68 year old female with spots in vision in the right eye for 2 months. She has a history of MS. The vision is 20/32 in both eyes. She was treated with high dose steroids and transitioned to methotrexate and the right eye quieted down.     (0 votes)
|
|

Serpiginous choroiditis in the right eye107 views68 year old female with spots in vision in the right eye for 2 months. She has a history of MS. The vision is 20/32 in both eyes. She was treated with high dose steroids and transitioned to methotrexate and the right eye quieted down.     (0 votes)
|
|

Serpiginous choroiditis in the right eye98 views68 year old female with spots in vision in the right eye for 2 months. She has a history of MS. The vision is 20/32 in both eyes. She was treated with high dose steroids and transitioned to methotrexate and the right eye quieted down.     (0 votes)
|
|

Serpiginous choroiditis in the right eye114 views68 year old female with spots in vision in the right eye for 2 months. She has a history of MS. The vision is 20/32 in both eyes. She was treated with high dose steroids and transitioned to methotrexate and the right eye quieted down.     (0 votes)
|
|

Serpiginous choroiditis in the right eye126 views68 year old female with spots in vision in the right eye for 2 months. She has a history of MS. The vision is 20/32 in both eyes. She was treated with high dose steroids and transitioned to methotrexate and the right eye quieted down.     (0 votes)
|
|

Serpiginous choroiditis in the right eye107 views68 year old female with spots in vision in the right eye for 2 months. She has a history of MS. The vision is 20/32 in both eyes. She was treated with high dose steroids and transitioned to methotrexate and the right eye quieted down.     (0 votes)
|
|

Serpiginous choroiditis in the right eye117 views68 year old female with spots in vision in the right eye for 2 months. She has a history of MS. The vision is 20/32 in both eyes. She was treated with high dose steroids and transitioned to methotrexate and the right eye quieted down.     (0 votes)
|
|

Serpiginous choroiditis in the right eye101 views68 year old female with spots in vision in the right eye for 2 months. She has a history of MS. The vision is 20/32 in both eyes. She was treated with high dose steroids and transitioned to methotrexate and the right eye quieted down.     (0 votes)
|
|

Serpiginous choroiditis in the right eye117 views68 year old female with spots in vision in the right eye for 2 months. She has a history of MS. The vision is 20/32 in both eyes. She was treated with high dose steroids and transitioned to methotrexate and the right eye quieted down.     (0 votes)
|
|

Serpiginous choroiditis in the right eye102 views68 year old female with spots in vision in the right eye for 2 months. She has a history of MS. The vision is 20/32 in both eyes. She was treated with high dose steroids and transitioned to methotrexate and the right eye quieted down.     (0 votes)
|
|

Serpiginous choroiditis in the right eye180 views68 year old female with spots in vision in the right eye for 2 months. She has a history of MS. The vision is 20/32 in both eyes. She was treated with high dose steroids and transitioned to methotrexate and the right eye quieted down.     (0 votes)
|
|

Serpiginous choroiditis in the right eye179 views68 year old female with spots in vision in the right eye for 2 months. She has a history of MS. The vision is 20/32 in both eyes. She was treated with high dose steroids and transitioned to methotrexate and the right eye quieted down.     (0 votes)
|
|

Serpiginous choroiditis in the right eye179 views68 year old female with spots in vision in the right eye for 2 months. She has a history of MS. The vision is 20/32 in both eyes. She was treated with high dose steroids and transitioned to methotrexate and the right eye quieted down.     (0 votes)
|
|
|
|
|
|
|
68 year old female - In the right eye, the vision is always blurry. There is a big spot off to the side that is always dark. She has a lot of floaters in both eyes some are dark and some are light. These started bothering her a few months ago. She does not usually get headaches and she has been getting headaches starting about 2 weeks ago that are medium severe and sometimes make her want to lie down.
Medical Hx: Multiple Sclerosis (2009). Hypertension, Systemic. Arthritis. Degeneration of Disc Disease.
Surgical Hx: oophorectomy (Left). Hysterectomy. Back Surgery. Cholecystectomy.
Systemic Meds: Amlodipine 5mg qday. Aspirin 81 mg qday. Carvedilol 12.5mg bid. Dicycolmine 20mg bid. Duloxetine 30mg bid. Gabapentin 400mg qid. Isosorbide 10mg bid. Losartan 100mg qday. Omeparazole 20mg qday. Teriflunomide 14mg qday. COQ10 300mg qday. Diclofenac 75mg bid. Tramadol 50mg tid. Melatonin 10mg qday. Vitamin D3 25MCG qday. Vitamin B12 1000mg qday. Spironolactone qday. Allergies: Penicillin. Keflex. Sulfa. Tetracycline. Betaserone.
VA 20/32 OU, IOP 17,18
AC – no cells
2+ NS OU
Right eye had mild vitreous cells
Patient admitted to hospital for possible cerebral vasculitis – exhaustively ruled out (MRI, LP)
Labs: CBC, CMP, Quant TB, ACE, Lysozyme, FTA-ABS normal
High dose steroids given in hospital then transitioned to oral steroids and then transitioned to Methotrexate
Next images are from 6 weeks after presentation
VA still 20/23 OU – No active uveitis