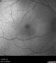
70 year old female with vision loss in the left eye 4 months after cataract surgery.
VA 20/32 OD, 20/80 OS
Images show CME but also a choroidal macrovessel in the left eye.
|

Choroidal macrovessel166 views70 year old female with vision loss in the left eye 4 months after cataract surgery.
VA 20/32 OD, 20/80 OS
Images show CME but also a choroidal macrovessel in the left eye.     (0 votes)
|
|

Choroidal macrovessel141 views70 year old female with vision loss in the left eye 4 months after cataract surgery.
VA 20/32 OD, 20/80 OS
Images show CME but also a choroidal macrovessel in the left eye.     (0 votes)
|
|

Choroidal macrovessel124 views70 year old female with vision loss in the left eye 4 months after cataract surgery.
VA 20/32 OD, 20/80 OS
Images show CME but also a choroidal macrovessel in the left eye.     (0 votes)
|
|

Choroidal macrovessel126 views70 year old female with vision loss in the left eye 4 months after cataract surgery.
VA 20/32 OD, 20/80 OS
Images show CME but also a choroidal macrovessel in the left eye.     (0 votes)
|
|

Choroidal macrovessel122 views70 year old female with vision loss in the left eye 4 months after cataract surgery.
VA 20/32 OD, 20/80 OS
Images show CME but also a choroidal macrovessel in the left eye.     (0 votes)
|
|

Choroidal macrovessel142 views70 year old female with vision loss in the left eye 4 months after cataract surgery.
VA 20/32 OD, 20/80 OS
Images show CME but also a choroidal macrovessel in the left eye.     (0 votes)
|
|

Choroidal macrovessel147 views70 year old female with vision loss in the left eye 4 months after cataract surgery.
VA 20/32 OD, 20/80 OS
Images show CME but also a choroidal macrovessel in the left eye.     (0 votes)
|
|

Choroidal macrovessel133 views70 year old female with vision loss in the left eye 4 months after cataract surgery.
VA 20/32 OD, 20/80 OS
Images show CME but also a choroidal macrovessel in the left eye.     (0 votes)
|
|

Choroidal macrovessel135 views70 year old female with vision loss in the left eye 4 months after cataract surgery.
VA 20/32 OD, 20/80 OS
Images show CME but also a choroidal macrovessel in the left eye.     (0 votes)
|
|

Choroidal macrovessel134 views70 year old female with vision loss in the left eye 4 months after cataract surgery.
VA 20/32 OD, 20/80 OS
Images show CME but also a choroidal macrovessel in the left eye.     (0 votes)
|
|

Choroidal macrovessel112 views70 year old female with vision loss in the left eye 4 months after cataract surgery.
VA 20/32 OD, 20/80 OS
Images show CME but also a choroidal macrovessel in the left eye.     (0 votes)
|
|

Choroidal macrovessel110 views70 year old female with vision loss in the left eye 4 months after cataract surgery.
VA 20/32 OD, 20/80 OS
Images show CME but also a choroidal macrovessel in the left eye.     (0 votes)
|
|

Choroidal macrovessel140 views70 year old female with vision loss in the left eye 4 months after cataract surgery.
VA 20/32 OD, 20/80 OS
Images show CME but also a choroidal macrovessel in the left eye.     (0 votes)
|
|

Choroidal macrovessel126 views70 year old female with vision loss in the left eye 4 months after cataract surgery.
VA 20/32 OD, 20/80 OS
Images show CME but also a choroidal macrovessel in the left eye.     (0 votes)
|
|

Choroidal macrovessel131 views70 year old female with vision loss in the left eye 4 months after cataract surgery.
VA 20/32 OD, 20/80 OS
Images show CME but also a choroidal macrovessel in the left eye.     (0 votes)
|
|

Choroidal macrovessel144 views70 year old female with vision loss in the left eye 4 months after cataract surgery.
VA 20/32 OD, 20/80 OS
Images show CME but also a choroidal macrovessel in the left eye.     (0 votes)
|
|

Choroidal macrovessel113 views70 year old female with vision loss in the left eye 4 months after cataract surgery.
VA 20/32 OD, 20/80 OS
Images show CME but also a choroidal macrovessel in the left eye.     (0 votes)
|
|

Choroidal macrovessel144 views70 year old female with vision loss in the left eye 4 months after cataract surgery.
VA 20/32 OD, 20/80 OS
Images show CME but also a choroidal macrovessel in the left eye.     (0 votes)
|
|

Choroidal macrovessel122 views70 year old female with vision loss in the left eye 4 months after cataract surgery.
VA 20/32 OD, 20/80 OS
Images show CME but also a choroidal macrovessel in the left eye.     (0 votes)
|
|
|
|
|
70 year old female with vision loss in the left eye 4 months after cataract surgery.
VA 20/32 OD, 20/80 OS
Images show CME but also a choroidal macrovessel in the left eye.