Retina Gallery ~ Full Sized Retina Images

Library of Free, Non-Copyrighted Retina Images and Videos

Choose your language:



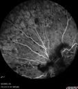
84 year old man with severe vision loss left eye for 2 weeks. VA 5/200 OS - Patient on Warfarin for valve replacement.

CRVO_jomer_060623_03.jpg
central retinal vein occlusion - a lot of hemorrhage - on coumadin192 views84 year old man with severe vision loss left eye for 2 weeks. VA 5/200 OS - Patient on Warfarin for valve replacement.00000
(0 votes)
CRVO_jomer_060623_01.jpg
central retinal vein occlusion - a lot of hemorrhage - on coumadin198 views84 year old man with severe vision loss left eye for 2 weeks. VA 5/200 OS - Patient on Warfarin for valve replacement.00000
(0 votes)
CRVO_jomer_060623_04.jpg
central retinal vein occlusion - a lot of hemorrhage - on coumadin200 views84 year old man with severe vision loss left eye for 2 weeks. VA 5/200 OS - Patient on Warfarin for valve replacement.00000
(0 votes)
CRVO_jomer_060623_05.jpg
central retinal vein occlusion - a lot of hemorrhage - on coumadin179 views84 year old man with severe vision loss left eye for 2 weeks. VA 5/200 OS - Patient on Warfarin for valve replacement.00000
(0 votes)
CRVO_jomer_060623_06.jpg
central retinal vein occlusion - a lot of hemorrhage - on coumadin200 views84 year old man with severe vision loss left eye for 2 weeks. VA 5/200 OS - Patient on Warfarin for valve replacement.00000
(0 votes)
CRVO_jomer_060623_07.jpg
central retinal vein occlusion - a lot of hemorrhage - on coumadin196 views84 year old man with severe vision loss left eye for 2 weeks. VA 5/200 OS - Patient on Warfarin for valve replacement.00000
(0 votes)
CRVO_jomer_060623_02.jpg
central retinal vein occlusion - a lot of hemorrhage - on coumadin235 views84 year old man with severe vision loss left eye for 2 weeks. VA 5/200 OS - Patient on Warfarin for valve replacement.00000
(0 votes)
CRVO_jomer_060623_08.JPG
central retinal vein occlusion - a lot of hemorrhage - on coumadin195 views84 year old man with severe vision loss left eye for 2 weeks. VA 5/200 OS - Patient on Warfarin for valve replacement.00000
(0 votes)
CRVO_jomer_060623_10.jpg
central retinal vein occlusion - a lot of hemorrhage - on coumadin221 views84 year old man with severe vision loss left eye for 2 weeks. VA 5/200 OS - Patient on Warfarin for valve replacement.00000
(0 votes)
CRVO_jomer_060623_12.jpg
central retinal vein occlusion - a lot of hemorrhage - on coumadin212 views84 year old man with severe vision loss left eye for 2 weeks. VA 5/200 OS - Patient on Warfarin for valve replacement.00000
(0 votes)
CRVO_jomer_060623_11.jpg
central retinal vein occlusion - a lot of hemorrhage - on coumadin211 views84 year old man with severe vision loss left eye for 2 weeks. VA 5/200 OS - Patient on Warfarin for valve replacement.00000
(0 votes)
CRVO_jomer_060623_14.jpg
central retinal vein occlusion - a lot of hemorrhage - on coumadin215 views84 year old man with severe vision loss left eye for 2 weeks. VA 5/200 OS - Patient on Warfarin for valve replacement.00000
(0 votes)
CRVO_jomer_060623_13.jpg
central retinal vein occlusion - a lot of hemorrhage - on coumadin224 views84 year old man with severe vision loss left eye for 2 weeks. VA 5/200 OS - Patient on Warfarin for valve replacement.00000
(0 votes)
CRVO_jomer_060623_09.JPG
central retinal vein occlusion - a lot of hemorrhage - on coumadin221 views84 year old man with severe vision loss left eye for 2 weeks. VA 5/200 OS - Patient on Warfarin for valve replacement.00000
(0 votes)
CRVO_jomer_060623_15.jpg
central retinal vein occlusion - a lot of hemorrhage - on coumadin248 views84 year old man with severe vision loss left eye for 2 weeks. VA 5/200 OS - Patient on Warfarin for valve replacement.00000
(0 votes)
CRVO_jomer_060623_16.jpg
central retinal vein occlusion - a lot of hemorrhage - on coumadin224 views84 year old man with severe vision loss left eye for 2 weeks. VA 5/200 OS - Patient on Warfarin for valve replacement.00000
(0 votes)
CRVO_jomer_060623_17.jpg
central retinal vein occlusion - a lot of hemorrhage - on coumadin227 views84 year old man with severe vision loss left eye for 2 weeks. VA 5/200 OS - Patient on Warfarin for valve replacement.00000
(0 votes)
CRVO_jomer_060623_18.jpg
central retinal vein occlusion - a lot of hemorrhage - on coumadin233 views84 year old man with severe vision loss left eye for 2 weeks. VA 5/200 OS - Patient on Warfarin for valve replacement.00000
(0 votes)
CRVO_jomer_060623_19.jpg
central retinal vein occlusion - a lot of hemorrhage - on coumadin221 views84 year old man with severe vision loss left eye for 2 weeks. VA 5/200 OS - Patient on Warfarin for valve replacement.00000
(0 votes)
CRVO_jomer_060623_21.jpg
central retinal vein occlusion - a lot of hemorrhage - on coumadin211 views84 year old man with severe vision loss left eye for 2 weeks. VA 5/200 OS - Patient on Warfarin for valve replacement.00000
(0 votes)
CRVO_jomer_060623_20.jpg
central retinal vein occlusion - a lot of hemorrhage - on coumadin212 views84 year old man with severe vision loss left eye for 2 weeks. VA 5/200 OS - Patient on Warfarin for valve replacement.00000
(0 votes)
CRVO_jomer_060623_22.JPG
central retinal vein occlusion - a lot of hemorrhage - on coumadin216 views84 year old man with severe vision loss left eye for 2 weeks. VA 5/200 OS - Patient on Warfarin for valve replacement.00000
(0 votes)
   
22 files on 1 page(s)

84 year old man with severe vision loss left eye for 2 weeks. VA 5/200 OS - Patient on Warfarin for valve replacement.