Retina Gallery ~ Full Sized Retina Images

Library of Free, Non-Copyrighted Retina Images and Videos

Choose your language:



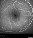
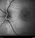
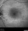
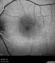
35 year old male Yesterday morning the patient woke up with poor vision in the left eye. Prior to that his vision was OK. PMHx benign. Blood pressure 154/115 mmHg. VA OD: Dcc20/16 NccJ1+ (-2) VA OS: Dcc20/40 PHNI NccJ16 IOP: TP: OD:22 OS:18 Lens clear – no uveitis Persistent fluid at 6 months required PDT laser - then fluid absorbed

csr_matho1_12082020_02.jpg
Central Serous Chorioretinopathy - Expanding hot spot - photodynamic laser244 views35 year old man with acute central serous chorioretinopathy. The fluid got better then worse and the patient was treated with full strength juxtafoveal PDT and then got better.00000
(0 votes)
csr_matho1_12082020_01.jpg
Central Serous Chorioretinopathy - Expanding hot spot - photodynamic laser197 views35 year old man with acute central serous chorioretinopathy. The fluid got better then worse and the patient was treated with full strength juxtafoveal PDT and then got better.00000
(0 votes)
csr_matho1_12082020_03.jpg
Central Serous Chorioretinopathy - Expanding hot spot - photodynamic laser198 views35 year old man with acute central serous chorioretinopathy. The fluid got better then worse and the patient was treated with full strength juxtafoveal PDT and then got better.00000
(0 votes)
csr_matho1_12082020_04.jpg
Central Serous Chorioretinopathy - Expanding hot spot - photodynamic laser203 views35 year old man with acute central serous chorioretinopathy. The fluid got better then worse and the patient was treated with full strength juxtafoveal PDT and then got better.00000
(0 votes)
csr_matho1_12082020_05.jpg
Central Serous Chorioretinopathy - Expanding hot spot - photodynamic laser183 views35 year old man with acute central serous chorioretinopathy. The fluid got better then worse and the patient was treated with full strength juxtafoveal PDT and then got better.00000
(0 votes)
csr_matho1_12082020_06.jpg
Central Serous Chorioretinopathy - Expanding hot spot - photodynamic laser187 views35 year old man with acute central serous chorioretinopathy. The fluid got better then worse and the patient was treated with full strength juxtafoveal PDT and then got better.00000
(0 votes)
csr_matho1_12082020_07.jpg
Central Serous Chorioretinopathy - Expanding hot spot - photodynamic laser207 views35 year old man with acute central serous chorioretinopathy. The fluid got better then worse and the patient was treated with full strength juxtafoveal PDT and then got better.00000
(0 votes)
csr_matho1_12082020_08.jpg
Central Serous Chorioretinopathy - Expanding hot spot - photodynamic laser214 views35 year old man with acute central serous chorioretinopathy. The fluid got better then worse and the patient was treated with full strength juxtafoveal PDT and then got better.00000
(0 votes)
csr_matho1_12082020_09.jpg
Central Serous Chorioretinopathy - Expanding hot spot - photodynamic laser223 views35 year old man with acute central serous chorioretinopathy. The fluid got better then worse and the patient was treated with full strength juxtafoveal PDT and then got better.00000
(0 votes)
csr_matho1_12082020_10.jpg
Central Serous Chorioretinopathy - Expanding hot spot - photodynamic laser218 views35 year old man with acute central serous chorioretinopathy. The fluid got better then worse and the patient was treated with full strength juxtafoveal PDT and then got better.00000
(0 votes)
csr_matho1_12082020_11.jpg
Central Serous Chorioretinopathy - Expanding hot spot - photodynamic laser194 views35 year old man with acute central serous chorioretinopathy. The fluid got better then worse and the patient was treated with full strength juxtafoveal PDT and then got better.00000
(0 votes)
csr_matho1_12082020_12.jpg
Central Serous Chorioretinopathy - Expanding hot spot - photodynamic laser198 views35 year old man with acute central serous chorioretinopathy. The fluid got better then worse and the patient was treated with full strength juxtafoveal PDT and then got better.00000
(0 votes)
csr_matho1_12082020_13.jpg
Central Serous Chorioretinopathy - Expanding hot spot - photodynamic laser193 views35 year old man with acute central serous chorioretinopathy. The fluid got better then worse and the patient was treated with full strength juxtafoveal PDT and then got better.00000
(0 votes)
csr_matho1_12082020_14.jpg
Central Serous Chorioretinopathy - Expanding hot spot - photodynamic laser204 views35 year old man with acute central serous chorioretinopathy. The fluid got better then worse and the patient was treated with full strength juxtafoveal PDT and then got better.00000
(0 votes)
csr_matho1_12082020_15.jpg
Central Serous Chorioretinopathy - Expanding hot spot - photodynamic laser197 views35 year old man with acute central serous chorioretinopathy. The fluid got better then worse and the patient was treated with full strength juxtafoveal PDT and then got better.00000
(0 votes)
csr_matho1_12082020_16.jpg
Central Serous Chorioretinopathy - Expanding hot spot - photodynamic laser191 views35 year old man with acute central serous chorioretinopathy. The fluid got better then worse and the patient was treated with full strength juxtafoveal PDT and then got better.00000
(0 votes)
CSR_matho3_08062021_23.jpg
Central Serous Chorioretinopathy - Expanding hot spot - photodynamic laser205 views35 year old man with acute central serous chorioretinopathy. The fluid got better then worse and the patient was treated with full strength juxtafoveal PDT and then got better.00000
(0 votes)
CSR_matho3_08062021_24.jpg
Central Serous Chorioretinopathy - Expanding hot spot - photodynamic laser191 views35 year old man with acute central serous chorioretinopathy. The fluid got better then worse and the patient was treated with full strength juxtafoveal PDT and then got better.00000
(0 votes)
CSR_matho3_08062021_25.jpg
Central Serous Chorioretinopathy - Expanding hot spot - photodynamic laser201 views35 year old man with acute central serous chorioretinopathy. The fluid got better then worse and the patient was treated with full strength juxtafoveal PDT and then got better.00000
(0 votes)
CSR_matho2_MAPS_21.JPG
Central Serous Chorioretinopathy - Expanding hot spot - photodynamic laser200 views35 year old man with acute central serous chorioretinopathy. The fluid got better then worse and the patient was treated with full strength juxtafoveal PDT and then got better.00000
(0 votes)
CSR_matho3_08062021_26.jpg
Central Serous Chorioretinopathy - Expanding hot spot - photodynamic laser213 views35 year old man with acute central serous chorioretinopathy. The fluid got better then worse and the patient was treated with full strength juxtafoveal PDT and then got better.00000
(0 votes)
CSR_matho3_08062021_28.jpg
Central Serous Chorioretinopathy - Expanding hot spot - photodynamic laser200 views35 year old man with acute central serous chorioretinopathy. The fluid got better then worse and the patient was treated with full strength juxtafoveal PDT and then got better.00000
(0 votes)
CSR_matho3_08062021_29.jpg
Central Serous Chorioretinopathy - Expanding hot spot - photodynamic laser210 views35 year old man with acute central serous chorioretinopathy. The fluid got better then worse and the patient was treated with full strength juxtafoveal PDT and then got better.00000
(0 votes)
CSR_matho2_MAPS_22.JPG
Central Serous Chorioretinopathy - Expanding hot spot - photodynamic laser206 views35 year old man with acute central serous chorioretinopathy. The fluid got better then worse and the patient was treated with full strength juxtafoveal PDT and then got better.00000
(0 votes)
CSR_matho3_08062021_33.jpg
Central Serous Chorioretinopathy - Expanding hot spot - photodynamic laser215 views35 year old man with acute central serous chorioretinopathy. The fluid got better then worse and the patient was treated with full strength juxtafoveal PDT and then got better.00000
(0 votes)
CSR_matho3_08062021_30.jpg
Central Serous Chorioretinopathy - Expanding hot spot - photodynamic laser192 views35 year old man with acute central serous chorioretinopathy. The fluid got better then worse and the patient was treated with full strength juxtafoveal PDT and then got better.00000
(0 votes)
CSR_matho3_08062021_34.jpg
Central Serous Chorioretinopathy - Expanding hot spot - photodynamic laser183 views35 year old man with acute central serous chorioretinopathy. The fluid got better then worse and the patient was treated with full strength juxtafoveal PDT and then got better.00000
(0 votes)
CSR_matho3_08062021_35.jpg
Central Serous Chorioretinopathy - Expanding hot spot - photodynamic laser188 views35 year old man with acute central serous chorioretinopathy. The fluid got better then worse and the patient was treated with full strength juxtafoveal PDT and then got better.00000
(0 votes)
CSR_matho3_08062021_39.jpg
Central Serous Chorioretinopathy - Expanding hot spot - photodynamic laser196 views35 year old man with acute central serous chorioretinopathy. The fluid got better then worse and the patient was treated with full strength juxtafoveal PDT and then got better.00000
(0 votes)
CSR_matho3_08062021_40.jpg
Central Serous Chorioretinopathy - Expanding hot spot - photodynamic laser192 views35 year old man with acute central serous chorioretinopathy. The fluid got better then worse and the patient was treated with full strength juxtafoveal PDT and then got better.00000
(0 votes)
CSR_matho3_08062021_41.jpg
Central Serous Chorioretinopathy - Expanding hot spot - photodynamic laser177 views35 year old man with acute central serous chorioretinopathy. The fluid got better then worse and the patient was treated with full strength juxtafoveal PDT and then got better.00000
(0 votes)
CSR_matho4_100821_43.jpg
Central Serous Chorioretinopathy - Expanding hot spot - photodynamic laser190 views35 year old man with acute central serous chorioretinopathy. The fluid got better then worse and the patient was treated with full strength juxtafoveal PDT and then got better.00000
(0 votes)
CSR_matho4_100821_44.jpg
Central Serous Chorioretinopathy - Expanding hot spot - photodynamic laser206 views35 year old man with acute central serous chorioretinopathy. The fluid got better then worse and the patient was treated with full strength juxtafoveal PDT and then got better.00000
(0 votes)
CSR_matho4_100821_45.JPG
Central Serous Chorioretinopathy - Expanding hot spot - photodynamic laser206 views35 year old man with acute central serous chorioretinopathy. The fluid got better then worse and the patient was treated with full strength juxtafoveal PDT and then got better.00000
(0 votes)
newestmaps28129.JPG
Central Serous Chorioretinopathy - Expanding hot spot - photodynamic laser185 views35 year old man with acute central serous chorioretinopathy. The fluid got better then worse and the patient was treated with full strength juxtafoveal PDT and then got better.00000
(0 votes)
newestmaps28029.JPG
Central Serous Chorioretinopathy - Expanding hot spot - photodynamic laser204 views35 year old man with acute central serous chorioretinopathy. The fluid got better then worse and the patient was treated with full strength juxtafoveal PDT and then got better.00000
(0 votes)
newestmaps28229.JPG
Central Serous Chorioretinopathy - Expanding hot spot - photodynamic laser188 views35 year old man with acute central serous chorioretinopathy. The fluid got better then worse and the patient was treated with full strength juxtafoveal PDT and then got better.00000
(0 votes)
     
37 files on 1 page(s)

35 year old male Yesterday morning the patient woke up with poor vision in the left eye. Prior to that his vision was OK. PMHx benign. Blood pressure 154/115 mmHg. VA OD: Dcc20/16 NccJ1+ (-2) VA OS: Dcc20/40 PHNI NccJ16 IOP: TP: OD:22 OS:18 Lens clear – no uveitis Persistent fluid at 6 months required PDT laser - then fluid absorbed