Retina Gallery ~ Full Sized Retina Images

Library of Free, Non-Copyrighted Retina Images and Videos

Choose your language:



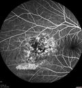
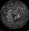
64 year old man. Diagnosed with hemangioma in 2015. PDT in 2016. Images are from 2020 when fluid started to reaccumulate. Needed PDT repeated two more times. PDT treatments: [1] 2/19/2015 -  Pavan (IOP  problem after PDT)  AND [2] 11/2/21 PDT (7 mm temporal to fovea) - SMC  AND [3] 7/22/22 PDT 7.5 mm Temporal to the fovea

hemangioma_armar1_081721_02.jpg
Choroidal Hemangioma Requiring PDT repeatedly210 views64 year old man. Diagnosed with hemangioma in 2015. PDT in 2016. Images are from 2020 when fluid started to reaccumulate. Needed PDT repeated two more times.
PDT treatments: [1] 2/19/2015 -  Pavan (IOP  problem after PDT)  AND [2] 11/2/21 PDT (7 mm temporal to fovea) - SMC  AND [3] 7/22/22 PDT 7.5 mm Temporal to the fovea
00000
(0 votes)
hemangioma_armar1_081721_03.jpg
Choroidal Hemangioma Requiring PDT repeatedly215 views64 year old man. Diagnosed with hemangioma in 2015. PDT in 2016. Images are from 2020 when fluid started to reaccumulate. Needed PDT repeated two more times.
PDT treatments: [1] 2/19/2015 -  Pavan (IOP  problem after PDT)  AND [2] 11/2/21 PDT (7 mm temporal to fovea) - SMC  AND [3] 7/22/22 PDT 7.5 mm Temporal to the fovea
00000
(0 votes)
hemangioma_armar1_081721_04.jpg
Choroidal Hemangioma Requiring PDT repeatedly199 views64 year old man. Diagnosed with hemangioma in 2015. PDT in 2016. Images are from 2020 when fluid started to reaccumulate. Needed PDT repeated two more times.
PDT treatments: [1] 2/19/2015 -  Pavan (IOP  problem after PDT)  AND [2] 11/2/21 PDT (7 mm temporal to fovea) - SMC  AND [3] 7/22/22 PDT 7.5 mm Temporal to the fovea
00000
(0 votes)
hemangioma_armar1_081721_05.jpg
Choroidal Hemangioma Requiring PDT repeatedly217 views64 year old man. Diagnosed with hemangioma in 2015. PDT in 2016. Images are from 2020 when fluid started to reaccumulate. Needed PDT repeated two more times.
PDT treatments: [1] 2/19/2015 -  Pavan (IOP  problem after PDT)  AND [2] 11/2/21 PDT (7 mm temporal to fovea) - SMC  AND [3] 7/22/22 PDT 7.5 mm Temporal to the fovea
00000
(0 votes)
hemangioma_armar1_081721_01.jpg
Choroidal Hemangioma Requiring PDT repeatedly211 views64 year old man. Diagnosed with hemangioma in 2015. PDT in 2016. Images are from 2020 when fluid started to reaccumulate. Needed PDT repeated two more times.
PDT treatments: [1] 2/19/2015 -  Pavan (IOP  problem after PDT)  AND [2] 11/2/21 PDT (7 mm temporal to fovea) - SMC  AND [3] 7/22/22 PDT 7.5 mm Temporal to the fovea
00000
(0 votes)
hemangioma_armar1_081721_06.jpg
Choroidal Hemangioma Requiring PDT repeatedly224 views64 year old man. Diagnosed with hemangioma in 2015. PDT in 2016. Images are from 2020 when fluid started to reaccumulate. Needed PDT repeated two more times.
PDT treatments: [1] 2/19/2015 -  Pavan (IOP  problem after PDT)  AND [2] 11/2/21 PDT (7 mm temporal to fovea) - SMC  AND [3] 7/22/22 PDT 7.5 mm Temporal to the fovea
00000
(0 votes)
hemangioma_armar1_081721_07.jpg
Choroidal Hemangioma Requiring PDT repeatedly178 views64 year old man. Diagnosed with hemangioma in 2015. PDT in 2016. Images are from 2020 when fluid started to reaccumulate. Needed PDT repeated two more times.
PDT treatments: [1] 2/19/2015 -  Pavan (IOP  problem after PDT)  AND [2] 11/2/21 PDT (7 mm temporal to fovea) - SMC  AND [3] 7/22/22 PDT 7.5 mm Temporal to the fovea
00000
(0 votes)
hemangioma_armar1_081721_08.jpg
Choroidal Hemangioma Requiring PDT repeatedly203 views64 year old man. Diagnosed with hemangioma in 2015. PDT in 2016. Images are from 2020 when fluid started to reaccumulate. Needed PDT repeated two more times.
PDT treatments: [1] 2/19/2015 -  Pavan (IOP  problem after PDT)  AND [2] 11/2/21 PDT (7 mm temporal to fovea) - SMC  AND [3] 7/22/22 PDT 7.5 mm Temporal to the fovea
00000
(0 votes)
hemangioma_armar1_081721_09.jpg
Choroidal Hemangioma Requiring PDT repeatedly217 views64 year old man. Diagnosed with hemangioma in 2015. PDT in 2016. Images are from 2020 when fluid started to reaccumulate. Needed PDT repeated two more times.
PDT treatments: [1] 2/19/2015 -  Pavan (IOP  problem after PDT)  AND [2] 11/2/21 PDT (7 mm temporal to fovea) - SMC  AND [3] 7/22/22 PDT 7.5 mm Temporal to the fovea
00000
(0 votes)
hemangioma_armar1_081721_10.jpg
Choroidal Hemangioma Requiring PDT repeatedly229 views64 year old man. Diagnosed with hemangioma in 2015. PDT in 2016. Images are from 2020 when fluid started to reaccumulate. Needed PDT repeated two more times.
PDT treatments: [1] 2/19/2015 -  Pavan (IOP  problem after PDT)  AND [2] 11/2/21 PDT (7 mm temporal to fovea) - SMC  AND [3] 7/22/22 PDT 7.5 mm Temporal to the fovea
00000
(0 votes)
hemangioma_armar1_081721_11.jpg
Choroidal Hemangioma Requiring PDT repeatedly229 views64 year old man. Diagnosed with hemangioma in 2015. PDT in 2016. Images are from 2020 when fluid started to reaccumulate. Needed PDT repeated two more times.
PDT treatments: [1] 2/19/2015 -  Pavan (IOP  problem after PDT)  AND [2] 11/2/21 PDT (7 mm temporal to fovea) - SMC  AND [3] 7/22/22 PDT 7.5 mm Temporal to the fovea
00000
(0 votes)
hemangioma_armar1_081721_12.jpg
Choroidal Hemangioma Requiring PDT repeatedly217 views64 year old man. Diagnosed with hemangioma in 2015. PDT in 2016. Images are from 2020 when fluid started to reaccumulate. Needed PDT repeated two more times.
PDT treatments: [1] 2/19/2015 -  Pavan (IOP  problem after PDT)  AND [2] 11/2/21 PDT (7 mm temporal to fovea) - SMC  AND [3] 7/22/22 PDT 7.5 mm Temporal to the fovea
00000
(0 votes)
hemangioma_armar1_081721_14.jpg
Choroidal Hemangioma Requiring PDT repeatedly222 views64 year old man. Diagnosed with hemangioma in 2015. PDT in 2016. Images are from 2020 when fluid started to reaccumulate. Needed PDT repeated two more times.
PDT treatments: [1] 2/19/2015 -  Pavan (IOP  problem after PDT)  AND [2] 11/2/21 PDT (7 mm temporal to fovea) - SMC  AND [3] 7/22/22 PDT 7.5 mm Temporal to the fovea
00000
(0 votes)
hemangioma_armar1_081721_13.jpg
Choroidal Hemangioma Requiring PDT repeatedly199 views64 year old man. Diagnosed with hemangioma in 2015. PDT in 2016. Images are from 2020 when fluid started to reaccumulate. Needed PDT repeated two more times.
PDT treatments: [1] 2/19/2015 -  Pavan (IOP  problem after PDT)  AND [2] 11/2/21 PDT (7 mm temporal to fovea) - SMC  AND [3] 7/22/22 PDT 7.5 mm Temporal to the fovea
00000
(0 votes)
hemangioma_armar1_081721_15.jpg
Choroidal Hemangioma Requiring PDT repeatedly189 views64 year old man. Diagnosed with hemangioma in 2015. PDT in 2016. Images are from 2020 when fluid started to reaccumulate. Needed PDT repeated two more times.
PDT treatments: [1] 2/19/2015 -  Pavan (IOP  problem after PDT)  AND [2] 11/2/21 PDT (7 mm temporal to fovea) - SMC  AND [3] 7/22/22 PDT 7.5 mm Temporal to the fovea
00000
(0 votes)
hemangioma_armar1_081721_16.jpg
Choroidal Hemangioma Requiring PDT repeatedly203 views64 year old man. Diagnosed with hemangioma in 2015. PDT in 2016. Images are from 2020 when fluid started to reaccumulate. Needed PDT repeated two more times.
PDT treatments: [1] 2/19/2015 -  Pavan (IOP  problem after PDT)  AND [2] 11/2/21 PDT (7 mm temporal to fovea) - SMC  AND [3] 7/22/22 PDT 7.5 mm Temporal to the fovea
00000
(0 votes)
hemangioma_armar1_081721_17.jpg
Choroidal Hemangioma Requiring PDT repeatedly218 views64 year old man. Diagnosed with hemangioma in 2015. PDT in 2016. Images are from 2020 when fluid started to reaccumulate. Needed PDT repeated two more times.
PDT treatments: [1] 2/19/2015 -  Pavan (IOP  problem after PDT)  AND [2] 11/2/21 PDT (7 mm temporal to fovea) - SMC  AND [3] 7/22/22 PDT 7.5 mm Temporal to the fovea
00000
(0 votes)
hemangioma_armar1_081721_18.jpg
Choroidal Hemangioma Requiring PDT repeatedly205 views64 year old man. Diagnosed with hemangioma in 2015. PDT in 2016. Images are from 2020 when fluid started to reaccumulate. Needed PDT repeated two more times.
PDT treatments: [1] 2/19/2015 -  Pavan (IOP  problem after PDT)  AND [2] 11/2/21 PDT (7 mm temporal to fovea) - SMC  AND [3] 7/22/22 PDT 7.5 mm Temporal to the fovea
00000
(0 votes)
hemangioma_armar2_2022_bscan_05.jpg
Choroidal Hemangioma Requiring PDT repeatedly210 views64 year old man. Diagnosed with hemangioma in 2015. PDT in 2016. Images are from 2020 when fluid started to reaccumulate. Needed PDT repeated two more times.
PDT treatments: [1] 2/19/2015 -  Pavan (IOP  problem after PDT)  AND [2] 11/2/21 PDT (7 mm temporal to fovea) - SMC  AND [3] 7/22/22 PDT 7.5 mm Temporal to the fovea
00000
(0 votes)
hemangioma_armar2_2022_bscan_06.jpg
Choroidal Hemangioma Requiring PDT repeatedly232 views64 year old man. Diagnosed with hemangioma in 2015. PDT in 2016. Images are from 2020 when fluid started to reaccumulate. Needed PDT repeated two more times.
PDT treatments: [1] 2/19/2015 -  Pavan (IOP  problem after PDT)  AND [2] 11/2/21 PDT (7 mm temporal to fovea) - SMC  AND [3] 7/22/22 PDT 7.5 mm Temporal to the fovea
00000
(0 votes)
hemangioma_armar2_2022_bscan_07.jpg
Choroidal Hemangioma Requiring PDT repeatedly216 views64 year old man. Diagnosed with hemangioma in 2015. PDT in 2016. Images are from 2020 when fluid started to reaccumulate. Needed PDT repeated two more times.
PDT treatments: [1] 2/19/2015 -  Pavan (IOP  problem after PDT)  AND [2] 11/2/21 PDT (7 mm temporal to fovea) - SMC  AND [3] 7/22/22 PDT 7.5 mm Temporal to the fovea
00000
(0 votes)
hemangioma_armar2_2022_bscan_08.jpg
Choroidal Hemangioma Requiring PDT repeatedly222 views64 year old man. Diagnosed with hemangioma in 2015. PDT in 2016. Images are from 2020 when fluid started to reaccumulate. Needed PDT repeated two more times.
PDT treatments: [1] 2/19/2015 -  Pavan (IOP  problem after PDT)  AND [2] 11/2/21 PDT (7 mm temporal to fovea) - SMC  AND [3] 7/22/22 PDT 7.5 mm Temporal to the fovea
00000
(0 votes)
hemangioma_armar3_maps_03.JPG
Choroidal Hemangioma Requiring PDT repeatedly247 views64 year old man. Diagnosed with hemangioma in 2015. PDT in 2016. Images are from 2020 when fluid started to reaccumulate. Needed PDT repeated two more times.
PDT treatments: [1] 2/19/2015 -  Pavan (IOP  problem after PDT)  AND [2] 11/2/21 PDT (7 mm temporal to fovea) - SMC  AND [3] 7/22/22 PDT 7.5 mm Temporal to the fovea
00000
(0 votes)
hemangioma_armar3_maps_02.JPG
Choroidal Hemangioma Requiring PDT repeatedly293 views64 year old man. Diagnosed with hemangioma in 2015. PDT in 2016. Images are from 2020 when fluid started to reaccumulate. Needed PDT repeated two more times.
PDT treatments: [1] 2/19/2015 -  Pavan (IOP  problem after PDT)  AND [2] 11/2/21 PDT (7 mm temporal to fovea) - SMC  AND [3] 7/22/22 PDT 7.5 mm Temporal to the fovea
00000
(0 votes)
hemangioma_armar3_maps_01.JPG
Choroidal Hemangioma Requiring PDT repeatedly266 views64 year old man. Diagnosed with hemangioma in 2015. PDT in 2016. Images are from 2020 when fluid started to reaccumulate. Needed PDT repeated two more times.
PDT treatments: [1] 2/19/2015 -  Pavan (IOP  problem after PDT)  AND [2] 11/2/21 PDT (7 mm temporal to fovea) - SMC  AND [3] 7/22/22 PDT 7.5 mm Temporal to the fovea
00000
(0 votes)
     
25 files on 1 page(s)

64 year old man. Diagnosed with hemangioma in 2015. PDT in 2016. Images are from 2020 when fluid started to reaccumulate. Needed PDT repeated two more times. PDT treatments: [1] 2/19/2015 -  Pavan (IOP  problem after PDT)  AND [2] 11/2/21 PDT (7 mm temporal to fovea) - SMC  AND [3] 7/22/22 PDT 7.5 mm Temporal to the fovea