Retina Gallery ~ Full Sized Retina Images

Library of Free, Non-Copyrighted Retina Images and Videos

Choose your language:



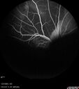
56 year old Asian male - The patient noticed a shadow superiorly about a week ago and then his vision dropped in the right eye. The left eye is OK. Medical Hx: Hypertension, Systemic. Hyperlipidemia. Pre-Diabetes (H1Ac 6.5; not dx yet still monitoring). Surgical Hx: Noncontributory. Systemic Meds: HCTZ. Lisinopril. ATORVASTATIN. Aspirin 81 mg. CYCLOBENZAPRINE HCL. VA OD: HM, OS: 20/40 IOP OD: 11, OS: 13 He ultimately had a vitrectomy in the right eye. The left eye failed to respond to Avastin but did beautifully with PDT. Anterior segment: 1+ NS OU Posterior Pole: OD: Vitreous hemorrhage Right eye – hemorrhagic RD 1/20/21 OD Vitreous heme, Massive Subretinal Hemorrhage (3/4 of retina), Cataract - PPV, PPL, Transscleral Biopsy of SR Heme 1/5/22 OD PPV - Suture Akreos 25.00 Akreos PCIOL Left eye - IPCV Avastin monthly – PED growing despite 7 monthly injections PDT 7/27/21 and 12/7/21 – great response

ipcv0_dahuy-preopb-scan-011821_01.png
Massive subretinal hemorrhage right eye - polypoidal choroidal vasculopathy243 viewsPatient had sudden vision loss right eye. Had vitrectomy. The left eye had IPCV not responsive to avastin but he did respond to PDT. See album notes for more detail.00000
(0 votes)
ipcv0_dahuy-preopb-scan-011821_02.png
Massive subretinal hemorrhage right eye - polypoidal choroidal vasculopathy227 viewsPatient had sudden vision loss right eye. Had vitrectomy. The left eye had IPCV not responsive to avastin but he did respond to PDT. See album notes for more detail.00000
(0 votes)
ipcv0_dahuy-preopb-scan-011821_03.png
Massive subretinal hemorrhage right eye - polypoidal choroidal vasculopathy210 viewsPatient had sudden vision loss right eye. Had vitrectomy. The left eye had IPCV not responsive to avastin but he did respond to PDT. See album notes for more detail.00000
(0 votes)
ipcv0_dahuy-preopb-scan-011821_04.png
Massive subretinal hemorrhage right eye - polypoidal choroidal vasculopathy196 viewsPatient had sudden vision loss right eye. Had vitrectomy. The left eye had IPCV not responsive to avastin but he did respond to PDT. See album notes for more detail.00000
(0 votes)
ipcv0_dahuy-preopb-scan-011821_05.png
Massive subretinal hemorrhage right eye - polypoidal choroidal vasculopathy232 viewsPatient had sudden vision loss right eye. Had vitrectomy. The left eye had IPCV not responsive to avastin but he did respond to PDT. See album notes for more detail.00000
(0 votes)
ipcv1_dahuy_012121_01.jpg
Massive subretinal hemorrhage right eye - polypoidal choroidal vasculopathy226 viewsPatient had sudden vision loss right eye. Had vitrectomy. The left eye had IPCV not responsive to avastin but he did respond to PDT. See album notes for more detail.00000
(0 votes)
ipcv1_dahuy_012121_02.jpg
Massive subretinal hemorrhage right eye - polypoidal choroidal vasculopathy223 viewsPatient had sudden vision loss right eye. Had vitrectomy. The left eye had IPCV not responsive to avastin but he did respond to PDT. See album notes for more detail.00000
(0 votes)
ipcv1_dahuy_012121_03.jpg
Massive subretinal hemorrhage right eye - polypoidal choroidal vasculopathy224 viewsPatient had sudden vision loss right eye. Had vitrectomy. The left eye had IPCV not responsive to avastin but he did respond to PDT. See album notes for more detail.00000
(0 votes)
ipcv1_dahuy_012121_05.jpg
Massive subretinal hemorrhage right eye - polypoidal choroidal vasculopathy232 viewsPatient had sudden vision loss right eye. Had vitrectomy. The left eye had IPCV not responsive to avastin but he did respond to PDT. See album notes for more detail.00000
(0 votes)
ipcv1_dahuy_012121_11.jpg
Massive subretinal hemorrhage right eye - polypoidal choroidal vasculopathy221 viewsPatient had sudden vision loss right eye. Had vitrectomy. The left eye had IPCV not responsive to avastin but he did respond to PDT. See album notes for more detail.00000
(0 votes)
ipcv1_dahuy_012121_13.jpg
Massive subretinal hemorrhage right eye - polypoidal choroidal vasculopathy222 viewsPatient had sudden vision loss right eye. Had vitrectomy. The left eye had IPCV not responsive to avastin but he did respond to PDT. See album notes for more detail.00000
(0 votes)
ipcv1_dahuy_012121_12.jpg
Massive subretinal hemorrhage right eye - polypoidal choroidal vasculopathy211 viewsPatient had sudden vision loss right eye. Had vitrectomy. The left eye had IPCV not responsive to avastin but he did respond to PDT. See album notes for more detail.00000
(0 votes)
ipcv1_dahuy_012121_04.jpg
Massive subretinal hemorrhage right eye - polypoidal choroidal vasculopathy222 viewsPatient had sudden vision loss right eye. Had vitrectomy. The left eye had IPCV not responsive to avastin but he did respond to PDT. See album notes for more detail.00000
(0 votes)
ipcv1_dahuy_012121_14.jpg
Massive subretinal hemorrhage right eye - polypoidal choroidal vasculopathy237 viewsPatient had sudden vision loss right eye. Had vitrectomy. The left eye had IPCV not responsive to avastin but he did respond to PDT. See album notes for more detail.00000
(0 votes)
ipcv1_dahuy_012121_15.jpg
Massive subretinal hemorrhage right eye - polypoidal choroidal vasculopathy207 viewsPatient had sudden vision loss right eye. Had vitrectomy. The left eye had IPCV not responsive to avastin but he did respond to PDT. See album notes for more detail.00000
(0 votes)
ipcv1_dahuy_012121_16.jpg
Massive subretinal hemorrhage right eye - polypoidal choroidal vasculopathy224 viewsPatient had sudden vision loss right eye. Had vitrectomy. The left eye had IPCV not responsive to avastin but he did respond to PDT. See album notes for more detail.00000
(0 votes)
ipcv1_dahuy_012121_17.jpg
Massive subretinal hemorrhage right eye - polypoidal choroidal vasculopathy227 viewsPatient had sudden vision loss right eye. Had vitrectomy. The left eye had IPCV not responsive to avastin but he did respond to PDT. See album notes for more detail.00000
(0 votes)
ipcv1_dahuy_012121_18.jpg
Massive subretinal hemorrhage right eye - polypoidal choroidal vasculopathy228 viewsPatient had sudden vision loss right eye. Had vitrectomy. The left eye had IPCV not responsive to avastin but he did respond to PDT. See album notes for more detail.00000
(0 votes)
ipcv1_dahuy_012121_19.jpg
Massive subretinal hemorrhage right eye - polypoidal choroidal vasculopathy235 viewsPatient had sudden vision loss right eye. Had vitrectomy. The left eye had IPCV not responsive to avastin but he did respond to PDT. See album notes for more detail.00000
(0 votes)
ipcv1_dahuy_012121_20.jpg
Massive subretinal hemorrhage right eye - polypoidal choroidal vasculopathy226 viewsPatient had sudden vision loss right eye. Had vitrectomy. The left eye had IPCV not responsive to avastin but he did respond to PDT. See album notes for more detail.00000
(0 votes)
ipcv1_dahuy_012121_21.jpg
Massive subretinal hemorrhage right eye - polypoidal choroidal vasculopathy216 viewsPatient had sudden vision loss right eye. Had vitrectomy. The left eye had IPCV not responsive to avastin but he did respond to PDT. See album notes for more detail.00000
(0 votes)
ipcv1_dahuy_012121_22.jpg
Massive subretinal hemorrhage right eye - polypoidal choroidal vasculopathy262 viewsPatient had sudden vision loss right eye. Had vitrectomy. The left eye had IPCV not responsive to avastin but he did respond to PDT. See album notes for more detail.00000
(0 votes)
ipcv1_dahuy_012121_25.jpg
Massive subretinal hemorrhage right eye - polypoidal choroidal vasculopathy221 viewsPatient had sudden vision loss right eye. Had vitrectomy. The left eye had IPCV not responsive to avastin but he did respond to PDT. See album notes for more detail.00000
(0 votes)
ipcv1_dahuy_012121_23.jpg
Massive subretinal hemorrhage right eye - polypoidal choroidal vasculopathy236 viewsPatient had sudden vision loss right eye. Had vitrectomy. The left eye had IPCV not responsive to avastin but he did respond to PDT. See album notes for more detail.00000
(0 votes)
ipcv1_dahuy_012121_24.jpg
Massive subretinal hemorrhage right eye - polypoidal choroidal vasculopathy214 viewsPatient had sudden vision loss right eye. Had vitrectomy. The left eye had IPCV not responsive to avastin but he did respond to PDT. See album notes for more detail.00000
(0 votes)
ipcv1_dahuy_012121_26.jpg
Massive subretinal hemorrhage right eye - polypoidal choroidal vasculopathy219 viewsPatient had sudden vision loss right eye. Had vitrectomy. The left eye had IPCV not responsive to avastin but he did respond to PDT. See album notes for more detail.00000
(0 votes)
ipcv1_dahuy_012121_27.jpg
Massive subretinal hemorrhage right eye - polypoidal choroidal vasculopathy221 viewsPatient had sudden vision loss right eye. Had vitrectomy. The left eye had IPCV not responsive to avastin but he did respond to PDT. See album notes for more detail.00000
(0 votes)
ipcv1_dahuy_012121_28.jpg
Massive subretinal hemorrhage right eye - polypoidal choroidal vasculopathy214 viewsPatient had sudden vision loss right eye. Had vitrectomy. The left eye had IPCV not responsive to avastin but he did respond to PDT. See album notes for more detail.00000
(0 votes)
ipcv1_dahuy_012121_29.jpg
Massive subretinal hemorrhage right eye - polypoidal choroidal vasculopathy234 viewsPatient had sudden vision loss right eye. Had vitrectomy. The left eye had IPCV not responsive to avastin but he did respond to PDT. See album notes for more detail.00000
(0 votes)
ipcv3_072721_dahuy_03.jpg
Massive subretinal hemorrhage right eye - polypoidal choroidal vasculopathy240 viewsPatient had sudden vision loss right eye. Had vitrectomy. The left eye had IPCV not responsive to avastin but he did respond to PDT. See album notes for more detail.00000
(0 votes)
ipcv3_072721_dahuy_02.jpg
Massive subretinal hemorrhage right eye - polypoidal choroidal vasculopathy208 viewsPatient had sudden vision loss right eye. Had vitrectomy. The left eye had IPCV not responsive to avastin but he did respond to PDT. See album notes for more detail.00000
(0 votes)
ipcv3_072721_dahuy_04.jpg
Massive subretinal hemorrhage right eye - polypoidal choroidal vasculopathy233 viewsPatient had sudden vision loss right eye. Had vitrectomy. The left eye had IPCV not responsive to avastin but he did respond to PDT. See album notes for more detail.00000
(0 votes)
ipcv3_072721_dahuy_05.jpg
Massive subretinal hemorrhage right eye - polypoidal choroidal vasculopathy233 viewsPatient had sudden vision loss right eye. Had vitrectomy. The left eye had IPCV not responsive to avastin but he did respond to PDT. See album notes for more detail.00000
(0 votes)
ipcv3_072721_dahuy_08.jpg
Massive subretinal hemorrhage right eye - polypoidal choroidal vasculopathy218 viewsPatient had sudden vision loss right eye. Had vitrectomy. The left eye had IPCV not responsive to avastin but he did respond to PDT. See album notes for more detail.00000
(0 votes)
ipcv3_072721_dahuy_09.jpg
Massive subretinal hemorrhage right eye - polypoidal choroidal vasculopathy238 viewsPatient had sudden vision loss right eye. Had vitrectomy. The left eye had IPCV not responsive to avastin but he did respond to PDT. See album notes for more detail.00000
(0 votes)
ipcv3_072721_dahuy_10.jpg
Massive subretinal hemorrhage right eye - polypoidal choroidal vasculopathy201 viewsPatient had sudden vision loss right eye. Had vitrectomy. The left eye had IPCV not responsive to avastin but he did respond to PDT. See album notes for more detail.00000
(0 votes)
ipcv3_072721_dahuy_11.jpg
Massive subretinal hemorrhage right eye - polypoidal choroidal vasculopathy195 viewsPatient had sudden vision loss right eye. Had vitrectomy. The left eye had IPCV not responsive to avastin but he did respond to PDT. See album notes for more detail.00000
(0 votes)
ipcv3_072721_dahuy_12.jpg
Massive subretinal hemorrhage right eye - polypoidal choroidal vasculopathy245 viewsPatient had sudden vision loss right eye. Had vitrectomy. The left eye had IPCV not responsive to avastin but he did respond to PDT. See album notes for more detail.00000
(0 votes)
ipcv3_072721_dahuy_01.jpg
Massive subretinal hemorrhage right eye - polypoidal choroidal vasculopathy240 viewsPatient had sudden vision loss right eye. Had vitrectomy. The left eye had IPCV not responsive to avastin but he did respond to PDT. See album notes for more detail.00000
(0 votes)
ipcv3_072721_dahuy_13.jpg
Massive subretinal hemorrhage right eye - polypoidal choroidal vasculopathy230 viewsPatient had sudden vision loss right eye. Had vitrectomy. The left eye had IPCV not responsive to avastin but he did respond to PDT. See album notes for more detail.00000
(0 votes)
ipcv3_072721_dahuy_14.jpg
Massive subretinal hemorrhage right eye - polypoidal choroidal vasculopathy238 viewsPatient had sudden vision loss right eye. Had vitrectomy. The left eye had IPCV not responsive to avastin but he did respond to PDT. See album notes for more detail.00000
(0 votes)
ipcv3_072721_dahuy_15.jpg
Massive subretinal hemorrhage right eye - polypoidal choroidal vasculopathy254 viewsPatient had sudden vision loss right eye. Had vitrectomy. The left eye had IPCV not responsive to avastin but he did respond to PDT. See album notes for more detail.00000
(0 votes)
ipcv3_072721_dahuy_16.jpg
Massive subretinal hemorrhage right eye - polypoidal choroidal vasculopathy221 viewsPatient had sudden vision loss right eye. Had vitrectomy. The left eye had IPCV not responsive to avastin but he did respond to PDT. See album notes for more detail.00000
(0 votes)
ipcv3_072721_dahuy_17.jpg
Massive subretinal hemorrhage right eye - polypoidal choroidal vasculopathy234 viewsPatient had sudden vision loss right eye. Had vitrectomy. The left eye had IPCV not responsive to avastin but he did respond to PDT. See album notes for more detail.00000
(0 votes)
ipcv3_072721_dahuy_18.jpg
Massive subretinal hemorrhage right eye - polypoidal choroidal vasculopathy228 viewsPatient had sudden vision loss right eye. Had vitrectomy. The left eye had IPCV not responsive to avastin but he did respond to PDT. See album notes for more detail.00000
(0 votes)
ipcv3_072721_dahuy_19.jpg
Massive subretinal hemorrhage right eye - polypoidal choroidal vasculopathy227 viewsPatient had sudden vision loss right eye. Had vitrectomy. The left eye had IPCV not responsive to avastin but he did respond to PDT. See album notes for more detail.00000
(0 votes)
ipcv3_072721_dahuy_20.jpg
Massive subretinal hemorrhage right eye - polypoidal choroidal vasculopathy201 viewsPatient had sudden vision loss right eye. Had vitrectomy. The left eye had IPCV not responsive to avastin but he did respond to PDT. See album notes for more detail.00000
(0 votes)
ipcv3_072721_dahuy_21.PNG
Massive subretinal hemorrhage right eye - polypoidal choroidal vasculopathy220 viewsPatient had sudden vision loss right eye. Had vitrectomy. The left eye had IPCV not responsive to avastin but he did respond to PDT. See album notes for more detail.00000
(0 votes)
ipcv4_030822_dahuy_03.jpg
Massive subretinal hemorrhage right eye - polypoidal choroidal vasculopathy219 viewsPatient had sudden vision loss right eye. Had vitrectomy. The left eye had IPCV not responsive to avastin but he did respond to PDT. See album notes for more detail.00000
(0 votes)
ipcv4_030822_dahuy_04.jpg
Massive subretinal hemorrhage right eye - polypoidal choroidal vasculopathy242 viewsPatient had sudden vision loss right eye. Had vitrectomy. The left eye had IPCV not responsive to avastin but he did respond to PDT. See album notes for more detail.00000
(0 votes)
ipcv4_030822_dahuy_01.jpg
Massive subretinal hemorrhage right eye - polypoidal choroidal vasculopathy201 viewsPatient had sudden vision loss right eye. Had vitrectomy. The left eye had IPCV not responsive to avastin but he did respond to PDT. See album notes for more detail.00000
(0 votes)
ipcv4_030822_dahuy_05.jpg
Massive subretinal hemorrhage right eye - polypoidal choroidal vasculopathy206 viewsPatient had sudden vision loss right eye. Had vitrectomy. The left eye had IPCV not responsive to avastin but he did respond to PDT. See album notes for more detail.00000
(0 votes)
ipcv4_030822_dahuy_02.jpg
Massive subretinal hemorrhage right eye - polypoidal choroidal vasculopathy219 viewsPatient had sudden vision loss right eye. Had vitrectomy. The left eye had IPCV not responsive to avastin but he did respond to PDT. See album notes for more detail.00000
(0 votes)
ipcv4_030822_dahuy_06.jpg
Massive subretinal hemorrhage right eye - polypoidal choroidal vasculopathy238 viewsPatient had sudden vision loss right eye. Had vitrectomy. The left eye had IPCV not responsive to avastin but he did respond to PDT. See album notes for more detail.00000
(0 votes)
ipcv5_MAPS_01.JPG
Massive subretinal hemorrhage right eye - polypoidal choroidal vasculopathy230 viewsPatient had sudden vision loss right eye. Had vitrectomy. The left eye had IPCV not responsive to avastin but he did respond to PDT. See album notes for more detail.00000
(0 votes)
ipcv5_MAPS_02.JPG
Massive subretinal hemorrhage right eye - polypoidal choroidal vasculopathy243 viewsPatient had sudden vision loss right eye. Had vitrectomy. The left eye had IPCV not responsive to avastin but he did respond to PDT. See album notes for more detail.00000
(0 votes)
ipcv5_MAPS_03.JPG
Massive subretinal hemorrhage right eye - polypoidal choroidal vasculopathy225 viewsPatient had sudden vision loss right eye. Had vitrectomy. The left eye had IPCV not responsive to avastin but he did respond to PDT. See album notes for more detail.00000
(0 votes)
     
57 files on 1 page(s)

56 year old Asian male - The patient noticed a shadow superiorly about a week ago and then his vision dropped in the right eye. The left eye is OK. Medical Hx: Hypertension, Systemic. Hyperlipidemia. Pre-Diabetes (H1Ac 6.5; not dx yet still monitoring). Surgical Hx: Noncontributory. Systemic Meds: HCTZ. Lisinopril. ATORVASTATIN. Aspirin 81 mg. CYCLOBENZAPRINE HCL. VA OD: HM, OS: 20/40 IOP OD: 11, OS: 13 He ultimately had a vitrectomy in the right eye. The left eye failed to respond to Avastin but did beautifully with PDT. Anterior segment: 1+ NS OU Posterior Pole: OD: Vitreous hemorrhage Right eye – hemorrhagic RD 1/20/21 OD Vitreous heme, Massive Subretinal Hemorrhage (3/4 of retina), Cataract - PPV, PPL, Transscleral Biopsy of SR Heme 1/5/22 OD PPV - Suture Akreos 25.00 Akreos PCIOL Left eye - IPCV Avastin monthly – PED growing despite 7 monthly injections PDT 7/27/21 and 12/7/21 – great response