Retina Gallery ~ Full Sized Retina Images

Library of Free, Non-Copyrighted Retina Images and Videos

Choose your language:



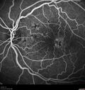
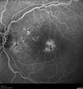
67 year old female The vision in the right eye was lost years ago for possibly high blood pressure. This made a hole in her right macula and she lost her vision there. This was over 5 years ago. The vision in the left eye has been declining the last few months. She was told in the past that she had cataracts. Her vision was getting cloudy and she thought it might be the cataracts but you saw something else on the pictures. Right now she sees lights sometimes out of her left eye. She cannot see the line on the TV that tells you the channels now. VA OD: Dcc5'/200 PH20/200-2 NccJ16-3 VA OS: Dcc20/40 PH20/40+2 NccJ2

mactel_sudrew_052317_12.jpg
Stage V (neovascular) Macular Telangiectasia - Fluorescein252 views67 year old female with vision in only the left eye. She has mild CNVM which is treated with Avastin and does well over several years.00000
(0 votes)
mactel_sudrew_052317_14.jpg
Stage V (neovascular) Macular Telangiectasia - Fluorescein248 views67 year old female with vision in only the left eye. She has mild CNVM which is treated with Avastin and does well over several years.00000
(0 votes)
mactel_sudrew_052317_13.jpg
Stage V (neovascular) Macular Telangiectasia - Fluorescein231 views67 year old female with vision in only the left eye. She has mild CNVM which is treated with Avastin and does well over several years.00000
(0 votes)
mactel_sudrew_052317_15.jpg
Stage V (neovascular) Macular Telangiectasia - Fluorescein231 views67 year old female with vision in only the left eye. She has mild CNVM which is treated with Avastin and does well over several years.00000
(0 votes)
mactel_sudrew_052317_16.jpg
Stage V (neovascular) Macular Telangiectasia - Fluorescein229 views67 year old female with vision in only the left eye. She has mild CNVM which is treated with Avastin and does well over several years.00000
(0 votes)
mactel_sudrew_052317_17.jpg
Stage V (neovascular) Macular Telangiectasia - Fluorescein243 views67 year old female with vision in only the left eye. She has mild CNVM which is treated with Avastin and does well over several years.00000
(0 votes)
mactel_sudrew_052317_18.jpg
Stage V (neovascular) Macular Telangiectasia - Fluorescein241 views67 year old female with vision in only the left eye. She has mild CNVM which is treated with Avastin and does well over several years.00000
(0 votes)
mactel_sudrew_052317_19.jpg
Stage V (neovascular) Macular Telangiectasia - Fluorescein252 views67 year old female with vision in only the left eye. She has mild CNVM which is treated with Avastin and does well over several years.00000
(0 votes)
mactel2_maps_sudrew_01.JPG
Stage V (neovascular) Macular Telangiectasia - Fluorescein255 views67 year old female with vision in only the left eye. She has mild CNVM which is treated with Avastin and does well over several years.00000
(0 votes)
mactel2_maps_sudrew_02.JPG
Stage V (neovascular) Macular Telangiectasia - Fluorescein242 views67 year old female with vision in only the left eye. She has mild CNVM which is treated with Avastin and does well over several years.00000
(0 votes)
mactel2_maps_sudrew_03.JPG
Stage V (neovascular) Macular Telangiectasia - Fluorescein218 views67 year old female with vision in only the left eye. She has mild CNVM which is treated with Avastin and does well over several years.00000
(0 votes)
mactel2_maps_sudrew_04.JPG
Stage V (neovascular) Macular Telangiectasia - Fluorescein217 views67 year old female with vision in only the left eye. She has mild CNVM which is treated with Avastin and does well over several years.00000
(0 votes)
mactel_sudrew_052317_03.jpg
Stage V (neovascular) Macular Telangiectasia - Fluorescein213 views67 year old female with vision in only the left eye. She has mild CNVM which is treated with Avastin and does well over several years.00000
(0 votes)
mactel_sudrew_052317_01.png
Stage V (neovascular) Macular Telangiectasia - Fluorescein225 views67 year old female with vision in only the left eye. She has mild CNVM which is treated with Avastin and does well over several years.00000
(0 votes)
mactel_sudrew_052317_04.jpg
Stage V (neovascular) Macular Telangiectasia - Fluorescein245 views67 year old female with vision in only the left eye. She has mild CNVM which is treated with Avastin and does well over several years.00000
(0 votes)
mactel_sudrew_052317_02.png
Stage V (neovascular) Macular Telangiectasia - Fluorescein244 views67 year old female with vision in only the left eye. She has mild CNVM which is treated with Avastin and does well over several years.00000
(0 votes)
mactel_sudrew_052317_05.jpg
Stage V (neovascular) Macular Telangiectasia - Fluorescein234 views67 year old female with vision in only the left eye. She has mild CNVM which is treated with Avastin and does well over several years.00000
(0 votes)
mactel_sudrew_052317_06.jpg
Stage V (neovascular) Macular Telangiectasia - Fluorescein262 views67 year old female with vision in only the left eye. She has mild CNVM which is treated with Avastin and does well over several years.00000
(0 votes)
mactel_sudrew_052317_07.jpg
Stage V (neovascular) Macular Telangiectasia - Fluorescein229 views67 year old female with vision in only the left eye. She has mild CNVM which is treated with Avastin and does well over several years.00000
(0 votes)
mactel_sudrew_052317_08.jpg
Stage V (neovascular) Macular Telangiectasia - Fluorescein232 views67 year old female with vision in only the left eye. She has mild CNVM which is treated with Avastin and does well over several years.00000
(0 votes)
mactel_sudrew_052317_09.jpg
Stage V (neovascular) Macular Telangiectasia - Fluorescein253 views67 year old female with vision in only the left eye. She has mild CNVM which is treated with Avastin and does well over several years.00000
(0 votes)
mactel_sudrew_052317_10.jpg
Stage V (neovascular) Macular Telangiectasia - Fluorescein238 views67 year old female with vision in only the left eye. She has mild CNVM which is treated with Avastin and does well over several years.00000
(0 votes)
mactel_sudrew_052317_11.jpg
Stage V (neovascular) Macular Telangiectasia - Fluorescein262 views67 year old female with vision in only the left eye. She has mild CNVM which is treated with Avastin and does well over several years.00000
(0 votes)
 
23 files on 1 page(s)

67 year old female The vision in the right eye was lost years ago for possibly high blood pressure. This made a hole in her right macula and she lost her vision there. This was over 5 years ago. The vision in the left eye has been declining the last few months. She was told in the past that she had cataracts. Her vision was getting cloudy and she thought it might be the cataracts but you saw something else on the pictures. Right now she sees lights sometimes out of her left eye. She cannot see the line on the TV that tells you the channels now. VA OD: Dcc5'/200 PH20/200-2 NccJ16-3 VA OS: Dcc20/40 PH20/40+2 NccJ2