ABCA4 - Stargardts Disease
|
|
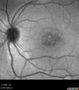
24 year old female She has worn glasses since she was a kid. Since she became an adult her vision started to deteriorate more rapidly. This seems to have been happening since she entered the accounting department for the last two years. Her vision is worse in the light especially when she is driving. She can see green lights in the night but not in the day. She sees better on a dark background than on a light background.
Her mother and father both have inherited retinal diseases. His mother was diagnosed 23 years ago with Stargardts genetically confirmed in Boston. The father has Retinitis Pigmentosa. The mother has seven brothers and sisters and four have Stargardts and they are legally blind. Also one cousin has it.
PMHx benign, Meds: vitamins.
VA OD: Dcc20/160
VA OS: Dcc20/160
IOP: TP: OD:20 OS:21
|

ABCA4 positive - Stargardt Disease340 views24 year old female She has worn glasses since she was a kid. Since she became an adult her vision started to deteriorate more rapidly. This seems to have been happening since she entered the accounting department for the last two years. Her vision is worse in the light especially when she is driving. She can see green lights in the night but not in the day. She sees better on a dark background than on a light background.
Her mother and father both have inherited retinal diseases. His mother was diagnosed 23 years ago with Stargardts genetically confirmed in Boston. The father has Retinitis Pigmentosa. The mother has seven brothers and sisters and four have Stargardts and they are legally blind. Also one cousin has it.
PMHx benign, Meds: vitamins.
VA OD: Dcc20/160
VA OS: Dcc20/160
IOP: TP: OD:20 OS:21     (0 votes)
|
|

ABCA4 positive - Stargardt Disease294 views24 year old female She has worn glasses since she was a kid. Since she became an adult her vision started to deteriorate more rapidly. This seems to have been happening since she entered the accounting department for the last two years. Her vision is worse in the light especially when she is driving. She can see green lights in the night but not in the day. She sees better on a dark background than on a light background.
Her mother and father both have inherited retinal diseases. His mother was diagnosed 23 years ago with Stargardts genetically confirmed in Boston. The father has Retinitis Pigmentosa. The mother has seven brothers and sisters and four have Stargardts and they are legally blind. Also one cousin has it.
PMHx benign, Meds: vitamins.
VA OD: Dcc20/160
VA OS: Dcc20/160
IOP: TP: OD:20 OS:21     (0 votes)
|
|

ABCA4 positive - Stargardt Disease339 views24 year old female She has worn glasses since she was a kid. Since she became an adult her vision started to deteriorate more rapidly. This seems to have been happening since she entered the accounting department for the last two years. Her vision is worse in the light especially when she is driving. She can see green lights in the night but not in the day. She sees better on a dark background than on a light background.
Her mother and father both have inherited retinal diseases. His mother was diagnosed 23 years ago with Stargardts genetically confirmed in Boston. The father has Retinitis Pigmentosa. The mother has seven brothers and sisters and four have Stargardts and they are legally blind. Also one cousin has it.
PMHx benign, Meds: vitamins.
VA OD: Dcc20/160
VA OS: Dcc20/160
IOP: TP: OD:20 OS:21     (0 votes)
|
|

ABCA4 positive - Stargardt Disease296 views24 year old female She has worn glasses since she was a kid. Since she became an adult her vision started to deteriorate more rapidly. This seems to have been happening since she entered the accounting department for the last two years. Her vision is worse in the light especially when she is driving. She can see green lights in the night but not in the day. She sees better on a dark background than on a light background.
Her mother and father both have inherited retinal diseases. His mother was diagnosed 23 years ago with Stargardts genetically confirmed in Boston. The father has Retinitis Pigmentosa. The mother has seven brothers and sisters and four have Stargardts and they are legally blind. Also one cousin has it.
PMHx benign, Meds: vitamins.
VA OD: Dcc20/160
VA OS: Dcc20/160
IOP: TP: OD:20 OS:21     (0 votes)
|
|

ABCA4 positive - Stargardt Disease309 views24 year old female She has worn glasses since she was a kid. Since she became an adult her vision started to deteriorate more rapidly. This seems to have been happening since she entered the accounting department for the last two years. Her vision is worse in the light especially when she is driving. She can see green lights in the night but not in the day. She sees better on a dark background than on a light background.
Her mother and father both have inherited retinal diseases. His mother was diagnosed 23 years ago with Stargardts genetically confirmed in Boston. The father has Retinitis Pigmentosa. The mother has seven brothers and sisters and four have Stargardts and they are legally blind. Also one cousin has it.
PMHx benign, Meds: vitamins.
VA OD: Dcc20/160
VA OS: Dcc20/160
IOP: TP: OD:20 OS:21     (0 votes)
|
|

ABCA4 positive - Stargardt Disease302 views24 year old female She has worn glasses since she was a kid. Since she became an adult her vision started to deteriorate more rapidly. This seems to have been happening since she entered the accounting department for the last two years. Her vision is worse in the light especially when she is driving. She can see green lights in the night but not in the day. She sees better on a dark background than on a light background.
Her mother and father both have inherited retinal diseases. His mother was diagnosed 23 years ago with Stargardts genetically confirmed in Boston. The father has Retinitis Pigmentosa. The mother has seven brothers and sisters and four have Stargardts and they are legally blind. Also one cousin has it.
PMHx benign, Meds: vitamins.
VA OD: Dcc20/160
VA OS: Dcc20/160
IOP: TP: OD:20 OS:21     (0 votes)
|
|

ABCA4 positive - Stargardt Disease291 views24 year old female She has worn glasses since she was a kid. Since she became an adult her vision started to deteriorate more rapidly. This seems to have been happening since she entered the accounting department for the last two years. Her vision is worse in the light especially when she is driving. She can see green lights in the night but not in the day. She sees better on a dark background than on a light background.
Her mother and father both have inherited retinal diseases. His mother was diagnosed 23 years ago with Stargardts genetically confirmed in Boston. The father has Retinitis Pigmentosa. The mother has seven brothers and sisters and four have Stargardts and they are legally blind. Also one cousin has it.
PMHx benign, Meds: vitamins.
VA OD: Dcc20/160
VA OS: Dcc20/160
IOP: TP: OD:20 OS:21     (0 votes)
|
|

ABCA4 positive - Stargardt Disease319 views24 year old female She has worn glasses since she was a kid. Since she became an adult her vision started to deteriorate more rapidly. This seems to have been happening since she entered the accounting department for the last two years. Her vision is worse in the light especially when she is driving. She can see green lights in the night but not in the day. She sees better on a dark background than on a light background.
Her mother and father both have inherited retinal diseases. His mother was diagnosed 23 years ago with Stargardts genetically confirmed in Boston. The father has Retinitis Pigmentosa. The mother has seven brothers and sisters and four have Stargardts and they are legally blind. Also one cousin has it.
PMHx benign, Meds: vitamins.
VA OD: Dcc20/160
VA OS: Dcc20/160
IOP: TP: OD:20 OS:21     (0 votes)
|
|

ABCA4 positive - Stargardt Disease316 views24 year old female She has worn glasses since she was a kid. Since she became an adult her vision started to deteriorate more rapidly. This seems to have been happening since she entered the accounting department for the last two years. Her vision is worse in the light especially when she is driving. She can see green lights in the night but not in the day. She sees better on a dark background than on a light background.
Her mother and father both have inherited retinal diseases. His mother was diagnosed 23 years ago with Stargardts genetically confirmed in Boston. The father has Retinitis Pigmentosa. The mother has seven brothers and sisters and four have Stargardts and they are legally blind. Also one cousin has it.
PMHx benign, Meds: vitamins.
VA OD: Dcc20/160
VA OS: Dcc20/160
IOP: TP: OD:20 OS:21     (0 votes)
|
|

ABCA4 positive - Stargardt Disease328 views24 year old female She has worn glasses since she was a kid. Since she became an adult her vision started to deteriorate more rapidly. This seems to have been happening since she entered the accounting department for the last two years. Her vision is worse in the light especially when she is driving. She can see green lights in the night but not in the day. She sees better on a dark background than on a light background.
Her mother and father both have inherited retinal diseases. His mother was diagnosed 23 years ago with Stargardts genetically confirmed in Boston. The father has Retinitis Pigmentosa. The mother has seven brothers and sisters and four have Stargardts and they are legally blind. Also one cousin has it.
PMHx benign, Meds: vitamins.
VA OD: Dcc20/160
VA OS: Dcc20/160
IOP: TP: OD:20 OS:21     (0 votes)
|
|

ABCA4 positive - Stargardt Disease324 views24 year old female She has worn glasses since she was a kid. Since she became an adult her vision started to deteriorate more rapidly. This seems to have been happening since she entered the accounting department for the last two years. Her vision is worse in the light especially when she is driving. She can see green lights in the night but not in the day. She sees better on a dark background than on a light background.
Her mother and father both have inherited retinal diseases. His mother was diagnosed 23 years ago with Stargardts genetically confirmed in Boston. The father has Retinitis Pigmentosa. The mother has seven brothers and sisters and four have Stargardts and they are legally blind. Also one cousin has it.
PMHx benign, Meds: vitamins.
VA OD: Dcc20/160
VA OS: Dcc20/160
IOP: TP: OD:20 OS:21     (0 votes)
|
|
|
|
|
24 year old female She has worn glasses since she was a kid. Since she became an adult her vision started to deteriorate more rapidly. This seems to have been happening since she entered the accounting department for the last two years. Her vision is worse in the light especially when she is driving. She can see green lights in the night but not in the day. She sees better on a dark background than on a light background.
Her mother and father both have inherited retinal diseases. His mother was diagnosed 23 years ago with Stargardts genetically confirmed in Boston. The father has Retinitis Pigmentosa. The mother has seven brothers and sisters and four have Stargardts and they are legally blind. Also one cousin has it.
PMHx benign, Meds: vitamins.
VA OD: Dcc20/160
VA OS: Dcc20/160
IOP: TP: OD:20 OS:21