70-year-old Left eye worse than the right. Both eyes see distortion in the amsler grid for a few months
HTN, High Lipids, Osteoporosis
Meds: Lutein once daily, Calcium, Fish oil, Red Yeast Rice, CoQ10, Magnesium, MVI, Xanax
VA 20/16 OU
2+NS cataract
|

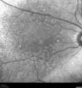
Intermediate Dry Age-Related Macular Degeneration - Soft Drusen331 views70-year-old Left eye worse than the right. Both eyes see distortion in the amsler grid for a few months
HTN, High Lipids, Osteoporosis
Meds: Lutein once daily, Calcium, Fish oil, Red Yeast Rice, CoQ10, Magnesium, MVI, Xanax
VA 20/16 OU
2+NS cataract     (0 votes)
|
|

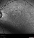
Intermediate Dry Age-Related Macular Degeneration - Soft Drusen313 views70-year-old Left eye worse than the right. Both eyes see distortion in the amsler grid for a few months
HTN, High Lipids, Osteoporosis
Meds: Lutein once daily, Calcium, Fish oil, Red Yeast Rice, CoQ10, Magnesium, MVI, Xanax
VA 20/16 OU
2+NS cataract     (0 votes)
|
|

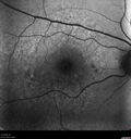
Intermediate Dry Age-Related Macular Degeneration - Soft Drusen301 views70-year-old Left eye worse than the right. Both eyes see distortion in the amsler grid for a few months
HTN, High Lipids, Osteoporosis
Meds: Lutein once daily, Calcium, Fish oil, Red Yeast Rice, CoQ10, Magnesium, MVI, Xanax
VA 20/16 OU
2+NS cataract     (0 votes)
|
|

Intermediate Dry Age-Related Macular Degeneration - Soft Drusen267 views70-year-old Left eye worse than the right. Both eyes see distortion in the amsler grid for a few months
HTN, High Lipids, Osteoporosis
Meds: Lutein once daily, Calcium, Fish oil, Red Yeast Rice, CoQ10, Magnesium, MVI, Xanax
VA 20/16 OU
2+NS cataract     (0 votes)
|
|

Intermediate Dry Age-Related Macular Degeneration - Soft Drusen298 views70-year-old Left eye worse than the right. Both eyes see distortion in the amsler grid for a few months
HTN, High Lipids, Osteoporosis
Meds: Lutein once daily, Calcium, Fish oil, Red Yeast Rice, CoQ10, Magnesium, MVI, Xanax
VA 20/16 OU
2+NS cataract     (0 votes)
|
|

Intermediate Dry Age-Related Macular Degeneration - Soft Drusen293 views70-year-old Left eye worse than the right. Both eyes see distortion in the amsler grid for a few months
HTN, High Lipids, Osteoporosis
Meds: Lutein once daily, Calcium, Fish oil, Red Yeast Rice, CoQ10, Magnesium, MVI, Xanax
VA 20/16 OU
2+NS cataract     (0 votes)
|
|

Intermediate Dry Age-Related Macular Degeneration - Soft Drusen299 views70-year-old Left eye worse than the right. Both eyes see distortion in the amsler grid for a few months
HTN, High Lipids, Osteoporosis
Meds: Lutein once daily, Calcium, Fish oil, Red Yeast Rice, CoQ10, Magnesium, MVI, Xanax
VA 20/16 OU
2+NS cataract     (0 votes)
|
|

Intermediate Dry Age-Related Macular Degeneration - Soft Drusen285 views70-year-old Left eye worse than the right. Both eyes see distortion in the amsler grid for a few months
HTN, High Lipids, Osteoporosis
Meds: Lutein once daily, Calcium, Fish oil, Red Yeast Rice, CoQ10, Magnesium, MVI, Xanax
VA 20/16 OU
2+NS cataract     (0 votes)
|
|

Intermediate Dry Age-Related Macular Degeneration - Soft Drusen276 views70-year-old Left eye worse than the right. Both eyes see distortion in the amsler grid for a few months
HTN, High Lipids, Osteoporosis
Meds: Lutein once daily, Calcium, Fish oil, Red Yeast Rice, CoQ10, Magnesium, MVI, Xanax
VA 20/16 OU
2+NS cataract     (0 votes)
|
|

Intermediate Dry Age-Related Macular Degeneration - Soft Drusen306 views70-year-old Left eye worse than the right. Both eyes see distortion in the amsler grid for a few months
HTN, High Lipids, Osteoporosis
Meds: Lutein once daily, Calcium, Fish oil, Red Yeast Rice, CoQ10, Magnesium, MVI, Xanax
VA 20/16 OU
2+NS cataract     (0 votes)
|
|
|
|
|
|
70-year-old Left eye worse than the right. Both eyes see distortion in the amsler grid for a few months
HTN, High Lipids, Osteoporosis
Meds: Lutein once daily, Calcium, Fish oil, Red Yeast Rice, CoQ10, Magnesium, MVI, Xanax
VA 20/16 OU
2+NS cataract