Familial Exudative Vitreouretinopathy - FEVR
|
|
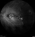
18 year old female - She was born at term. She had a goopy teardrop. She was told that she had toxoplasmosis in the left eye and that had harmed the vision. The right eye is OK. She has been getting yearly retina checks. They wanted to get a second opinion on the two eyes. She did have laser in the left eye in 2016 for a tear.  No family history of eye disease.
VA OD: Dcc20/25 NccJ1
VA OS: Dcc20/200+1 Ncc20/400
IOP: TP: OD:17 OS:14
Anterior segment normal – clear lenses
|

Familial Exudative Vitreoretinopathy - FEVR - Stage 1-b both eyes288 viewsShe was born at term.   No family history of eye disease.
VA OD: Dcc20/25, VA OS: Dcc20/200+1 Ncc20/400
Anterior segment normal – clear lenses     (0 votes)
|
|

Familial Exudative Vitreoretinopathy - FEVR - Stage 1-b both eyes266 viewsShe was born at term.   No family history of eye disease.
VA OD: Dcc20/25, VA OS: Dcc20/200+1 Ncc20/400
Anterior segment normal – clear lenses     (0 votes)
|
|

Familial Exudative Vitreoretinopathy - FEVR - Stage 1-b both eyes280 viewsShe was born at term.   No family history of eye disease.
VA OD: Dcc20/25, VA OS: Dcc20/200+1 Ncc20/400
Anterior segment normal – clear lenses     (0 votes)
|
|

Familial Exudative Vitreoretinopathy - FEVR - Stage 1-b both eyes260 viewsShe was born at term.   No family history of eye disease.
VA OD: Dcc20/25, VA OS: Dcc20/200+1 Ncc20/400
Anterior segment normal – clear lenses     (0 votes)
|
|

Familial Exudative Vitreoretinopathy - FEVR - Stage 1-b both eyes284 viewsShe was born at term.   No family history of eye disease.
VA OD: Dcc20/25, VA OS: Dcc20/200+1 Ncc20/400
Anterior segment normal – clear lenses     (0 votes)
|
|

Familial Exudative Vitreoretinopathy - FEVR - Stage 1-b both eyes271 viewsShe was born at term.   No family history of eye disease.
VA OD: Dcc20/25, VA OS: Dcc20/200+1 Ncc20/400
Anterior segment normal – clear lenses     (0 votes)
|
|

Familial Exudative Vitreoretinopathy - FEVR - Stage 1-b both eyes250 viewsShe was born at term.   No family history of eye disease.
VA OD: Dcc20/25, VA OS: Dcc20/200+1 Ncc20/400
Anterior segment normal – clear lenses     (0 votes)
|
|

Familial Exudative Vitreoretinopathy - FEVR - Stage 1-b both eyes294 viewsShe was born at term.   No family history of eye disease.
VA OD: Dcc20/25, VA OS: Dcc20/200+1 Ncc20/400
Anterior segment normal – clear lenses     (0 votes)
|
|

Familial Exudative Vitreoretinopathy - FEVR - Stage 1-b both eyes281 viewsShe was born at term.   No family history of eye disease.
VA OD: Dcc20/25, VA OS: Dcc20/200+1 Ncc20/400
Anterior segment normal – clear lenses     (0 votes)
|
|

Familial Exudative Vitreoretinopathy - FEVR - Stage 1-b both eyes281 viewsShe was born at term.   No family history of eye disease.
VA OD: Dcc20/25, VA OS: Dcc20/200+1 Ncc20/400
Anterior segment normal – clear lenses     (0 votes)
|
|

Familial Exudative Vitreoretinopathy - FEVR - Stage 1-b both eyes290 viewsShe was born at term.   No family history of eye disease.
VA OD: Dcc20/25, VA OS: Dcc20/200+1 Ncc20/400
Anterior segment normal – clear lenses     (0 votes)
|
|

Familial Exudative Vitreoretinopathy - FEVR - Stage 1-b both eyes266 viewsShe was born at term.   No family history of eye disease.
VA OD: Dcc20/25, VA OS: Dcc20/200+1 Ncc20/400
Anterior segment normal – clear lenses     (0 votes)
|
|

Familial Exudative Vitreoretinopathy - FEVR - Stage 1-b both eyes267 viewsShe was born at term.   No family history of eye disease.
VA OD: Dcc20/25, VA OS: Dcc20/200+1 Ncc20/400
Anterior segment normal – clear lenses     (0 votes)
|
|

Familial Exudative Vitreoretinopathy - FEVR - Stage 1-b both eyes274 viewsShe was born at term.   No family history of eye disease.
VA OD: Dcc20/25, VA OS: Dcc20/200+1 Ncc20/400
Anterior segment normal – clear lenses     (0 votes)
|
|

Familial Exudative Vitreoretinopathy - FEVR - Stage 1-b both eyes292 viewsShe was born at term.   No family history of eye disease.
VA OD: Dcc20/25, VA OS: Dcc20/200+1 Ncc20/400
Anterior segment normal – clear lenses     (0 votes)
|
|

Familial Exudative Vitreoretinopathy - FEVR - Stage 1-b both eyes275 viewsShe was born at term.   No family history of eye disease.
VA OD: Dcc20/25, VA OS: Dcc20/200+1 Ncc20/400
Anterior segment normal – clear lenses     (0 votes)
|
|

Familial Exudative Vitreoretinopathy - FEVR - Stage 1-b both eyes285 viewsShe was born at term.   No family history of eye disease.
VA OD: Dcc20/25, VA OS: Dcc20/200+1 Ncc20/400
Anterior segment normal – clear lenses     (0 votes)
|
|

Familial Exudative Vitreoretinopathy - FEVR - Stage 1-b both eyes279 viewsShe was born at term.   No family history of eye disease.
VA OD: Dcc20/25, VA OS: Dcc20/200+1 Ncc20/400
Anterior segment normal – clear lenses     (0 votes)
|
|

Familial Exudative Vitreoretinopathy - FEVR - Stage 1-b both eyes274 viewsShe was born at term.   No family history of eye disease.
VA OD: Dcc20/25, VA OS: Dcc20/200+1 Ncc20/400
Anterior segment normal – clear lenses     (0 votes)
|
|

Familial Exudative Vitreoretinopathy - FEVR - Stage 1-b both eyes275 viewsShe was born at term.   No family history of eye disease.
VA OD: Dcc20/25, VA OS: Dcc20/200+1 Ncc20/400
Anterior segment normal – clear lenses     (0 votes)
|
|

Familial Exudative Vitreoretinopathy - FEVR - Stage 1-b both eyes245 viewsShe was born at term.   No family history of eye disease.
VA OD: Dcc20/25, VA OS: Dcc20/200+1 Ncc20/400
Anterior segment normal – clear lenses     (0 votes)
|
|

Familial Exudative Vitreoretinopathy - FEVR - Stage 1-b both eyes274 viewsShe was born at term.   No family history of eye disease.
VA OD: Dcc20/25, VA OS: Dcc20/200+1 Ncc20/400
Anterior segment normal – clear lenses     (0 votes)
|
|

Familial Exudative Vitreoretinopathy - FEVR - Stage 1-b both eyes260 viewsShe was born at term.   No family history of eye disease.
VA OD: Dcc20/25, VA OS: Dcc20/200+1 Ncc20/400
Anterior segment normal – clear lenses     (0 votes)
|
|

Familial Exudative Vitreoretinopathy - FEVR - Stage 1-b both eyes263 viewsShe was born at term.   No family history of eye disease.
VA OD: Dcc20/25, VA OS: Dcc20/200+1 Ncc20/400
Anterior segment normal – clear lenses     (0 votes)
|
|

Familial Exudative Vitreoretinopathy - FEVR - Stage 1-b both eyes377 viewsShe was born at term.   No family history of eye disease.
VA OD: Dcc20/25, VA OS: Dcc20/200+1 Ncc20/400
Anterior segment normal – clear lenses     (0 votes)
|
|

Familial Exudative Vitreoretinopathy - FEVR - Stage 1-b both eyes290 viewsShe was born at term.   No family history of eye disease.
VA OD: Dcc20/25, VA OS: Dcc20/200+1 Ncc20/400
Anterior segment normal – clear lenses     (0 votes)
|
|

Familial Exudative Vitreoretinopathy - FEVR - Stage 1-b both eyes264 viewsShe was born at term.   No family history of eye disease.
VA OD: Dcc20/25, VA OS: Dcc20/200+1 Ncc20/400
Anterior segment normal – clear lenses     (0 votes)
|
|

Familial Exudative Vitreoretinopathy - FEVR - Stage 1-b both eyes269 viewsShe was born at term.   No family history of eye disease.
VA OD: Dcc20/25, VA OS: Dcc20/200+1 Ncc20/400
Anterior segment normal – clear lenses     (0 votes)
|
|

Familial Exudative Vitreoretinopathy - FEVR - Stage 1-b both eyes282 viewsShe was born at term.   No family history of eye disease.
VA OD: Dcc20/25, VA OS: Dcc20/200+1 Ncc20/400
Anterior segment normal – clear lenses     (0 votes)
|
|

Familial Exudative Vitreoretinopathy - FEVR - Stage 1-b both eyes256 viewsShe was born at term.   No family history of eye disease.
VA OD: Dcc20/25, VA OS: Dcc20/200+1 Ncc20/400
Anterior segment normal – clear lenses     (0 votes)
|
|

Familial Exudative Vitreoretinopathy - FEVR - Stage 1-b both eyes278 viewsShe was born at term.   No family history of eye disease.
VA OD: Dcc20/25, VA OS: Dcc20/200+1 Ncc20/400
Anterior segment normal – clear lenses     (0 votes)
|
|

Familial Exudative Vitreoretinopathy - FEVR - Stage 1-b both eyes283 viewsShe was born at term.   No family history of eye disease.
VA OD: Dcc20/25, VA OS: Dcc20/200+1 Ncc20/400
Anterior segment normal – clear lenses     (0 votes)
|
|

Familial Exudative Vitreoretinopathy - FEVR - Stage 1-b both eyes256 viewsShe was born at term.   No family history of eye disease.
VA OD: Dcc20/25, VA OS: Dcc20/200+1 Ncc20/400
Anterior segment normal – clear lenses     (0 votes)
|
|

Familial Exudative Vitreoretinopathy - FEVR - Stage 1-b both eyes272 viewsShe was born at term.   No family history of eye disease.
VA OD: Dcc20/25, VA OS: Dcc20/200+1 Ncc20/400
Anterior segment normal – clear lenses     (0 votes)
|
|

Familial Exudative Vitreoretinopathy - FEVR - Stage 1-b both eyes283 viewsShe was born at term.   No family history of eye disease.
VA OD: Dcc20/25, VA OS: Dcc20/200+1 Ncc20/400
Anterior segment normal – clear lenses     (0 votes)
|
|
|
|
|
18 year old female - She was born at term. She had a goopy teardrop. She was told that she had toxoplasmosis in the left eye and that had harmed the vision. The right eye is OK. She has been getting yearly retina checks. They wanted to get a second opinion on the two eyes. She did have laser in the left eye in 2016 for a tear.  No family history of eye disease.
VA OD: Dcc20/25 NccJ1
VA OS: Dcc20/200+1 Ncc20/400
IOP: TP: OD:17 OS:14
Anterior segment normal – clear lenses