Retina Gallery ~ Full Sized Retina Images

Library of Free, Non-Copyrighted Retina Images and Videos

Choose your language:



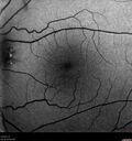
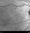
61 year old man with amelanotic choroidal nevus. Vision Normal - Stable over 4 years.

nevus_edgro_2016-2019_03.jpg
Amelanotic Choroidal Nevus - Multimodal Imaging577 views61 year old man with amelanotic choroidal nevus. Vision Normal - Stable over 4 years.00000
(0 votes)
nevus_edgro_2016-2019_04.jpg
Amelanotic Choroidal Nevus - Multimodal Imaging410 views61 year old man with amelanotic choroidal nevus. Vision Normal - Stable over 4 years.00000
(0 votes)
nevus_edgro_2016-2019_02.jpg
Amelanotic Choroidal Nevus - Multimodal Imaging415 views61 year old man with amelanotic choroidal nevus. Vision Normal - Stable over 4 years.00000
(0 votes)
nevus_edgro_2016-2019_05.jpg
Amelanotic Choroidal Nevus - Multimodal Imaging346 views61 year old man with amelanotic choroidal nevus. Vision Normal - Stable over 4 years.00000
(0 votes)
nevus_edgro_2016-2019_07.jpg
Amelanotic Choroidal Nevus - Multimodal Imaging390 views61 year old man with amelanotic choroidal nevus. Vision Normal - Stable over 4 years.00000
(0 votes)
nevus_edgro_2016-2019_06.jpg
Amelanotic Choroidal Nevus - Multimodal Imaging390 views61 year old man with amelanotic choroidal nevus. Vision Normal - Stable over 4 years.00000
(0 votes)
nevus_edgro_2016-2019_08.jpg
Amelanotic Choroidal Nevus - Multimodal Imaging384 views61 year old man with amelanotic choroidal nevus. Vision Normal - Stable over 4 years.00000
(0 votes)
nevus_edgro_2016-2019_09.jpg
Amelanotic Choroidal Nevus - Multimodal Imaging476 views61 year old man with amelanotic choroidal nevus. Vision Normal - Stable over 4 years.00000
(0 votes)
nevus_edgro_2016-2019_10.jpg
Amelanotic Choroidal Nevus - Multimodal Imaging424 views61 year old man with amelanotic choroidal nevus. Vision Normal - Stable over 4 years.00000
(0 votes)
nevus_edgro_2016-2019_11.jpg
Amelanotic Choroidal Nevus - Multimodal Imaging382 views61 year old man with amelanotic choroidal nevus. Vision Normal - Stable over 4 years.00000
(0 votes)
nevus_edgro_2016-2019_12.png
Amelanotic Choroidal Nevus - Multimodal Imaging374 views61 year old man with amelanotic choroidal nevus. Vision Normal - Stable over 4 years.00000
(0 votes)
nevus_edgro_2016-2019_13.png
Amelanotic Choroidal Nevus - Multimodal Imaging344 views61 year old man with amelanotic choroidal nevus. Vision Normal - Stable over 4 years.00000
(0 votes)
nevus_edgro_2016-2019_14.png
Amelanotic Choroidal Nevus - Multimodal Imaging367 views61 year old man with amelanotic choroidal nevus. Vision Normal - Stable over 4 years.00000
(0 votes)
nevus_edgro_2016-2019_15.png
Amelanotic Choroidal Nevus - Multimodal Imaging386 views61 year old man with amelanotic choroidal nevus. Vision Normal - Stable over 4 years.00000
(0 votes)
nevus_edgro_2016-2019_16.jpg
Amelanotic Choroidal Nevus - Multimodal Imaging398 views61 year old man with amelanotic choroidal nevus. Vision Normal - Stable over 4 years.00000
(0 votes)
nevus_edgro_2016-2019_17.jpg
Amelanotic Choroidal Nevus - Multimodal Imaging380 views61 year old man with amelanotic choroidal nevus. Vision Normal - Stable over 4 years.00000
(0 votes)
nevus_edgro_2016-2019_01.png
Amelanotic Choroidal Nevus - Multimodal Imaging393 views61 year old man with amelanotic choroidal nevus. Vision Normal - Stable over 4 years.00000
(0 votes)
nevus_edgro_2016-2019_18.jpg
Amelanotic Choroidal Nevus - Multimodal Imaging376 views61 year old man with amelanotic choroidal nevus. Vision Normal - Stable over 4 years.00000
(0 votes)
nevus_edgro_2016-2019_20.jpg
Amelanotic Choroidal Nevus - Multimodal Imaging374 views61 year old man with amelanotic choroidal nevus. Vision Normal - Stable over 4 years.00000
(0 votes)
nevus_edgro_2016-2019_19.jpg
Amelanotic Choroidal Nevus - Multimodal Imaging392 views61 year old man with amelanotic choroidal nevus. Vision Normal - Stable over 4 years.00000
(0 votes)
nevus_edgro_2016-2019_21.jpg
Amelanotic Choroidal Nevus - Multimodal Imaging353 views61 year old man with amelanotic choroidal nevus. Vision Normal - Stable over 4 years.00000
(0 votes)
nevus_edgro_2016-2019_22.jpg
Amelanotic Choroidal Nevus - Multimodal Imaging381 views61 year old man with amelanotic choroidal nevus. Vision Normal - Stable over 4 years.00000
(0 votes)
nevus_edgro_2016-2019_24.jpg
Amelanotic Choroidal Nevus - Multimodal Imaging424 views61 year old man with amelanotic choroidal nevus. Vision Normal - Stable over 4 years.00000
(0 votes)
nevus_edgro_2016-2019_23.jpg
Amelanotic Choroidal Nevus - Multimodal Imaging327 views61 year old man with amelanotic choroidal nevus. Vision Normal - Stable over 4 years.00000
(0 votes)
nevus_edgro_2016-2019_26.jpg
Amelanotic Choroidal Nevus - Multimodal Imaging354 views61 year old man with amelanotic choroidal nevus. Vision Normal - Stable over 4 years.00000
(0 votes)
nevus_edgro_2016-2019_25.jpg
Amelanotic Choroidal Nevus - Multimodal Imaging381 views61 year old man with amelanotic choroidal nevus. Vision Normal - Stable over 4 years.00000
(0 votes)
nevus_edgro_2016-2019_27.jpg
Amelanotic Choroidal Nevus - Multimodal Imaging391 views61 year old man with amelanotic choroidal nevus. Vision Normal - Stable over 4 years.00000
(0 votes)
nevus_edgro_2016-2019_28.jpg
Amelanotic Choroidal Nevus - Multimodal Imaging380 views61 year old man with amelanotic choroidal nevus. Vision Normal - Stable over 4 years.00000
(0 votes)
nevus_edgro_2016-2019_29.jpg
Amelanotic Choroidal Nevus - Multimodal Imaging370 views61 year old man with amelanotic choroidal nevus. Vision Normal - Stable over 4 years.00000
(0 votes)
nevus_edgro_2016-2019_30.jpg
Amelanotic Choroidal Nevus - Multimodal Imaging423 views61 year old man with amelanotic choroidal nevus. Vision Normal - Stable over 4 years.00000
(0 votes)
nevus_edgro_2016-2019_31.jpg
Amelanotic Choroidal Nevus - Multimodal Imaging339 views61 year old man with amelanotic choroidal nevus. Vision Normal - Stable over 4 years.00000
(0 votes)
nevus_edgro_2016-2019_32.jpg
Amelanotic Choroidal Nevus - Multimodal Imaging351 views61 year old man with amelanotic choroidal nevus. Vision Normal - Stable over 4 years.00000
(0 votes)
nevus_edgro_2016-2019_35.jpg
Amelanotic Choroidal Nevus - Multimodal Imaging360 views61 year old man with amelanotic choroidal nevus. Vision Normal - Stable over 4 years.00000
(0 votes)
nevus_edgro_2016-2019_33.jpg
Amelanotic Choroidal Nevus - Multimodal Imaging388 views61 year old man with amelanotic choroidal nevus. Vision Normal - Stable over 4 years.00000
(0 votes)
nevus_edgro_2016-2019_34.jpg
Amelanotic Choroidal Nevus - Multimodal Imaging368 views61 year old man with amelanotic choroidal nevus. Vision Normal - Stable over 4 years.00000
(0 votes)
nevus_edgro_2016-2019_37.jpg
Amelanotic Choroidal Nevus - Multimodal Imaging387 views61 year old man with amelanotic choroidal nevus. Vision Normal - Stable over 4 years.00000
(0 votes)
nevus_edgro_2016-2019_36.jpg
Amelanotic Choroidal Nevus - Multimodal Imaging344 views61 year old man with amelanotic choroidal nevus. Vision Normal - Stable over 4 years.00000
(0 votes)
nevus_edgro_2016-2019_38.jpg
Amelanotic Choroidal Nevus - Multimodal Imaging390 views61 year old man with amelanotic choroidal nevus. Vision Normal - Stable over 4 years.00000
(0 votes)
   
38 files on 1 page(s)

61 year old man with amelanotic choroidal nevus. Vision Normal - Stable over 4 years.