Retina Gallery ~ Full Sized Retina Images

Library of Free, Non-Copyrighted Retina Images and Videos

Choose your language:



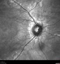
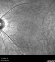
49 year old man 15 years ago he noticed decreased night vision. VA OD: sc20/25 NscJ2 VA OS: sc20/25-2 NscJ2-1 IOP: TP: OD:17 OS:19 Genetic testing showed heterozygous for RPE65 - Probably not clinically important

RP_anrus_071719_03.jpg
Retinitis Pigmentosa - Autosomal Recessive - 20/25 Vision371 views49 year old man 15 years ago he noticed decreased night vision.
VA OD: sc20/25 NscJ2
VA OS: sc20/25-2 NscJ2-1
IOP: TP: OD:17 OS:19

Genetic testing showed heterozygous for RPE65 - Probably not clinically important
00000
(0 votes)
RP_anrus_071719_04.jpg
Retinitis Pigmentosa - Autosomal Recessive - 20/25 Vision366 views49 year old man 15 years ago he noticed decreased night vision.
VA OD: sc20/25 NscJ2
VA OS: sc20/25-2 NscJ2-1
IOP: TP: OD:17 OS:19

Genetic testing showed heterozygous for RPE65 - Probably not clinically important
00000
(0 votes)
RP_anrus_071719_05.jpg
Retinitis Pigmentosa - Autosomal Recessive - 20/25 Vision355 views49 year old man 15 years ago he noticed decreased night vision.
VA OD: sc20/25 NscJ2
VA OS: sc20/25-2 NscJ2-1
IOP: TP: OD:17 OS:19

Genetic testing showed heterozygous for RPE65 - Probably not clinically important
00000
(0 votes)
RP_anrus_071719_06.jpg
Retinitis Pigmentosa - Autosomal Recessive - 20/25 Vision353 views49 year old man 15 years ago he noticed decreased night vision.
VA OD: sc20/25 NscJ2
VA OS: sc20/25-2 NscJ2-1
IOP: TP: OD:17 OS:19

Genetic testing showed heterozygous for RPE65 - Probably not clinically important
00000
(0 votes)
RP_anrus_071719_07.jpg
Retinitis Pigmentosa - Autosomal Recessive - 20/25 Vision336 views49 year old man 15 years ago he noticed decreased night vision.
VA OD: sc20/25 NscJ2
VA OS: sc20/25-2 NscJ2-1
IOP: TP: OD:17 OS:19

Genetic testing showed heterozygous for RPE65 - Probably not clinically important
00000
(0 votes)
RP_anrus_071719_08.jpg
Retinitis Pigmentosa - Autosomal Recessive - 20/25 Vision346 views49 year old man 15 years ago he noticed decreased night vision.
VA OD: sc20/25 NscJ2
VA OS: sc20/25-2 NscJ2-1
IOP: TP: OD:17 OS:19

Genetic testing showed heterozygous for RPE65 - Probably not clinically important
00000
(0 votes)
RP_anrus_071719_09.jpg
Retinitis Pigmentosa - Autosomal Recessive - 20/25 Vision331 views49 year old man 15 years ago he noticed decreased night vision.
VA OD: sc20/25 NscJ2
VA OS: sc20/25-2 NscJ2-1
IOP: TP: OD:17 OS:19

Genetic testing showed heterozygous for RPE65 - Probably not clinically important
00000
(0 votes)
RP_anrus_071719_10.jpg
Retinitis Pigmentosa - Autosomal Recessive - 20/25 Vision453 views49 year old man 15 years ago he noticed decreased night vision.
VA OD: sc20/25 NscJ2
VA OS: sc20/25-2 NscJ2-1
IOP: TP: OD:17 OS:19

Genetic testing showed heterozygous for RPE65 - Probably not clinically important
00000
(0 votes)
RP_anrus_071719_11.jpg
Retinitis Pigmentosa - Autosomal Recessive - 20/25 Vision358 views49 year old man 15 years ago he noticed decreased night vision.
VA OD: sc20/25 NscJ2
VA OS: sc20/25-2 NscJ2-1
IOP: TP: OD:17 OS:19

Genetic testing showed heterozygous for RPE65 - Probably not clinically important
00000
(0 votes)
RP_anrus_071719_12.jpg
Retinitis Pigmentosa - Autosomal Recessive - 20/25 Vision339 views49 year old man 15 years ago he noticed decreased night vision.
VA OD: sc20/25 NscJ2
VA OS: sc20/25-2 NscJ2-1
IOP: TP: OD:17 OS:19

Genetic testing showed heterozygous for RPE65 - Probably not clinically important
00000
(0 votes)
RP_anrus_071719_13.jpg
Retinitis Pigmentosa - Autosomal Recessive - 20/25 Vision337 views49 year old man 15 years ago he noticed decreased night vision.
VA OD: sc20/25 NscJ2
VA OS: sc20/25-2 NscJ2-1
IOP: TP: OD:17 OS:19

Genetic testing showed heterozygous for RPE65 - Probably not clinically important
00000
(0 votes)
RP_anrus_071719_14.jpg
Retinitis Pigmentosa - Autosomal Recessive - 20/25 Vision331 views49 year old man 15 years ago he noticed decreased night vision.
VA OD: sc20/25 NscJ2
VA OS: sc20/25-2 NscJ2-1
IOP: TP: OD:17 OS:19

Genetic testing showed heterozygous for RPE65 - Probably not clinically important
00000
(0 votes)
RP_anrus_071719_15.jpg
Retinitis Pigmentosa - Autosomal Recessive - 20/25 Vision348 views49 year old man 15 years ago he noticed decreased night vision.
VA OD: sc20/25 NscJ2
VA OS: sc20/25-2 NscJ2-1
IOP: TP: OD:17 OS:19

Genetic testing showed heterozygous for RPE65 - Probably not clinically important
00000
(0 votes)
RP_anrus_071719_16.jpg
Retinitis Pigmentosa - Autosomal Recessive - 20/25 Vision322 views49 year old man 15 years ago he noticed decreased night vision.
VA OD: sc20/25 NscJ2
VA OS: sc20/25-2 NscJ2-1
IOP: TP: OD:17 OS:19

Genetic testing showed heterozygous for RPE65 - Probably not clinically important
00000
(0 votes)
RP_anrus_071719_01.png
Retinitis Pigmentosa - Autosomal Recessive - 20/25 Vision373 views49 year old man 15 years ago he noticed decreased night vision.
VA OD: sc20/25 NscJ2
VA OS: sc20/25-2 NscJ2-1
IOP: TP: OD:17 OS:19

Genetic testing showed heterozygous for RPE65 - Probably not clinically important
00000
(0 votes)
RP_anrus_071719_02.png
Retinitis Pigmentosa - Autosomal Recessive - 20/25 Vision344 views49 year old man 15 years ago he noticed decreased night vision.
VA OD: sc20/25 NscJ2
VA OS: sc20/25-2 NscJ2-1
IOP: TP: OD:17 OS:19

Genetic testing showed heterozygous for RPE65 - Probably not clinically important
00000
(0 votes)
16 files on 1 page(s)

49 year old man 15 years ago he noticed decreased night vision. VA OD: sc20/25 NscJ2 VA OS: sc20/25-2 NscJ2-1 IOP: TP: OD:17 OS:19 Genetic testing showed heterozygous for RPE65 - Probably not clinically important