Retina Gallery ~ Full Sized Retina Images

Library of Free, Non-Copyrighted Retina Images and Videos

Choisissez votre langue:



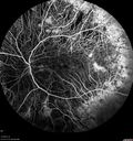
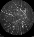
69 year old man In 2003 when he moved to Maine he noticed vision loss in the right eye. He was told he had AMPPE. Then later he was told that it was not an acute problem. The problem had gone away and then came back. The left eye seemed different. In that eye he notices he cannot see his watch well. His night vision is not good. VA OD: Dcc20/125-2 PHNI NccUnable VA OS: Dcc20/63-2 PHNI NccJ16

choroideremia_datib_061319_01-cropped.png
Choroideremia - Adultvu 390 fois69 year old man with no family history of choroideremia and gradual vision loss in both eyes. VVA 20/125 OD; 20/63 OS00000
(0 votes)
choroideremia_datib_061319_01.png
Choroideremia - Adultvu 425 fois69 year old man with no family history of choroideremia and gradual vision loss in both eyes. VVA 20/125 OD; 20/63 OS00000
(0 votes)
choroideremia_datib_061319_03.jpg
Choroideremia - Adultvu 388 fois69 year old man with no family history of choroideremia and gradual vision loss in both eyes. VVA 20/125 OD; 20/63 OS00000
(0 votes)
choroideremia_datib_061319_04.jpg
Choroideremia - Adultvu 391 fois69 year old man with no family history of choroideremia and gradual vision loss in both eyes. VVA 20/125 OD; 20/63 OS00000
(0 votes)
choroideremia_datib_061319_02.png
Choroideremia - Adultvu 349 fois69 year old man with no family history of choroideremia and gradual vision loss in both eyes. VVA 20/125 OD; 20/63 OS00000
(0 votes)
choroideremia_datib_061319_05.jpg
Choroideremia - Adultvu 375 fois69 year old man with no family history of choroideremia and gradual vision loss in both eyes. VVA 20/125 OD; 20/63 OS00000
(0 votes)
choroideremia_datib_061319_06.jpg
Choroideremia - Adultvu 345 fois69 year old man with no family history of choroideremia and gradual vision loss in both eyes. VVA 20/125 OD; 20/63 OS00000
(0 votes)
choroideremia_datib_061319_07.jpg
Choroideremia - Adultvu 345 fois69 year old man with no family history of choroideremia and gradual vision loss in both eyes. VVA 20/125 OD; 20/63 OS00000
(0 votes)
choroideremia_datib_061319_08.jpg
Choroideremia - Adultvu 349 fois69 year old man with no family history of choroideremia and gradual vision loss in both eyes. VVA 20/125 OD; 20/63 OS00000
(0 votes)
choroideremia_datib_061319_02cropped.png
Choroideremia - Adultvu 356 fois69 year old man with no family history of choroideremia and gradual vision loss in both eyes. VVA 20/125 OD; 20/63 OS00000
(0 votes)
choroideremia_datib_061319_09.jpg
Choroideremia - Adultvu 421 fois69 year old man with no family history of choroideremia and gradual vision loss in both eyes. VVA 20/125 OD; 20/63 OS00000
(0 votes)
choroideremia_datib_061319_10.jpg
Choroideremia - Adultvu 390 fois69 year old man with no family history of choroideremia and gradual vision loss in both eyes. VVA 20/125 OD; 20/63 OS00000
(0 votes)
choroideremia_datib_061319_12.jpg
Choroideremia - Adultvu 413 fois69 year old man with no family history of choroideremia and gradual vision loss in both eyes. VVA 20/125 OD; 20/63 OS00000
(0 votes)
choroideremia_datib_061319_11.jpg
Choroideremia - Adultvu 381 fois69 year old man with no family history of choroideremia and gradual vision loss in both eyes. VVA 20/125 OD; 20/63 OS00000
(0 votes)
choroideremia_datib_061319_13.jpg
Choroideremia - Adultvu 435 fois69 year old man with no family history of choroideremia and gradual vision loss in both eyes. VVA 20/125 OD; 20/63 OS00000
(0 votes)
choroideremia_datib_061319_14.jpg
Choroideremia - Adultvu 373 fois69 year old man with no family history of choroideremia and gradual vision loss in both eyes. VVA 20/125 OD; 20/63 OS00000
(0 votes)
choroideremia_datib_061319_15.jpg
Choroideremia - Adultvu 396 fois69 year old man with no family history of choroideremia and gradual vision loss in both eyes. VVA 20/125 OD; 20/63 OS00000
(0 votes)
choroideremia_datib_061319_17.jpg
Choroideremia - Adultvu 359 fois69 year old man with no family history of choroideremia and gradual vision loss in both eyes. VVA 20/125 OD; 20/63 OS00000
(0 votes)
choroideremia_datib_061319_16.jpg
Choroideremia - Adultvu 359 fois69 year old man with no family history of choroideremia and gradual vision loss in both eyes. VVA 20/125 OD; 20/63 OS00000
(0 votes)
choroideremia_datib_061319_18.jpg
Choroideremia - Adultvu 397 fois69 year old man with no family history of choroideremia and gradual vision loss in both eyes. VVA 20/125 OD; 20/63 OS00000
(0 votes)
choroideremia_datib_061319_19.jpg
Choroideremia - Adultvu 431 fois69 year old man with no family history of choroideremia and gradual vision loss in both eyes. VVA 20/125 OD; 20/63 OS00000
(0 votes)
choroideremia_datib_061319_21.jpg
Choroideremia - Adultvu 356 fois69 year old man with no family history of choroideremia and gradual vision loss in both eyes. VVA 20/125 OD; 20/63 OS00000
(0 votes)
choroideremia_datib_061319_20.jpg
Choroideremia - Adultvu 422 fois69 year old man with no family history of choroideremia and gradual vision loss in both eyes. VVA 20/125 OD; 20/63 OS00000
(0 votes)
choroideremia_datib_061319_22.jpg
Choroideremia - Adultvu 414 fois69 year old man with no family history of choroideremia and gradual vision loss in both eyes. VVA 20/125 OD; 20/63 OS00000
(0 votes)
choroideremia_datib_061319_23.jpg
Choroideremia - Adultvu 381 fois69 year old man with no family history of choroideremia and gradual vision loss in both eyes. VVA 20/125 OD; 20/63 OS00000
(0 votes)
choroideremia_datib_061319_25.jpg
Choroideremia - Adultvu 498 fois69 year old man with no family history of choroideremia and gradual vision loss in both eyes. VVA 20/125 OD; 20/63 OS00000
(0 votes)
choroideremia_datib_061319_24.jpg
Choroideremia - Adultvu 574 fois69 year old man with no family history of choroideremia and gradual vision loss in both eyes. VVA 20/125 OD; 20/63 OS00000
(0 votes)
 
27 photos sur 1 page(s)

69 year old man In 2003 when he moved to Maine he noticed vision loss in the right eye. He was told he had AMPPE. Then later he was told that it was not an acute problem. The problem had gone away and then came back. The left eye seemed different. In that eye he notices he cannot see his watch well. His night vision is not good. VA OD: Dcc20/125-2 PHNI NccUnable VA OS: Dcc20/63-2 PHNI NccJ16