Retina Gallery ~ Full Sized Retina Images

Library of Free, Non-Copyrighted Retina Images and Videos

Choose your language:



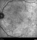
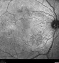
43 year old man He has had laser in both eyes for bleeding. At the moment the vision is blurry in both eyes. The left one is a little bit worse than the right eye. He also started using reading glasses. VA OD: sc20/32-1 NscJ1-2 VA OS: sc20/40-1 NscJ5-1 IOP: TP: OD:15 OS:15

pdr_alebek_041819_01.JPG
Moderate PDR408 views43 year old man 20/32 vision in both eyes. Being started on Anti-VEGF injections which will be followed by PRP.00000
(0 votes)
pdr_alebek_041819_02.JPG
Moderate PDR471 views43 year old man 20/32 vision in both eyes. Being started on Anti-VEGF injections which will be followed by PRP.00000
(0 votes)
pdr_alebek_041819_03.JPG
Moderate PDR375 views43 year old man 20/32 vision in both eyes. Being started on Anti-VEGF injections which will be followed by PRP.00000
(0 votes)
pdr_alebek_041819_05.jpg
Moderate PDR434 views43 year old man 20/32 vision in both eyes. Being started on Anti-VEGF injections which will be followed by PRP.00000
(0 votes)
pdr_alebek_041819_06.jpg
Moderate PDR352 views43 year old man 20/32 vision in both eyes. Being started on Anti-VEGF injections which will be followed by PRP.00000
(0 votes)
pdr_alebek_041819_07.jpg
Moderate PDR432 views43 year old man 20/32 vision in both eyes. Being started on Anti-VEGF injections which will be followed by PRP.00000
(0 votes)
pdr_alebek_041819_08.jpg
Moderate PDR356 views43 year old man 20/32 vision in both eyes. Being started on Anti-VEGF injections which will be followed by PRP.00000
(0 votes)
pdr_alebek_041819_04.JPG
Moderate PDR403 views43 year old man 20/32 vision in both eyes. Being started on Anti-VEGF injections which will be followed by PRP.00000
(0 votes)
pdr_alebek_041819_11.jpg
Moderate PDR412 views43 year old man 20/32 vision in both eyes. Being started on Anti-VEGF injections which will be followed by PRP.00000
(0 votes)
pdr_alebek_041819_10.jpg
Moderate PDR406 views43 year old man 20/32 vision in both eyes. Being started on Anti-VEGF injections which will be followed by PRP.00000
(0 votes)
pdr_alebek_041819_09.jpg
Moderate PDR373 views43 year old man 20/32 vision in both eyes. Being started on Anti-VEGF injections which will be followed by PRP.00000
(0 votes)
pdr_alebek_041819_12.jpg
Moderate PDR418 views43 year old man 20/32 vision in both eyes. Being started on Anti-VEGF injections which will be followed by PRP.00000
(0 votes)
pdr_alebek_041819_14.jpg
Moderate PDR386 views43 year old man 20/32 vision in both eyes. Being started on Anti-VEGF injections which will be followed by PRP.00000
(0 votes)
pdr_alebek_041819_16.jpg
Moderate PDR369 views43 year old man 20/32 vision in both eyes. Being started on Anti-VEGF injections which will be followed by PRP.00000
(0 votes)
pdr_alebek_041819_15.jpg
Moderate PDR632 views43 year old man 20/32 vision in both eyes. Being started on Anti-VEGF injections which will be followed by PRP.00000
(0 votes)
pdr_alebek_041819_13.JPG
Moderate PDR351 views43 year old man 20/32 vision in both eyes. Being started on Anti-VEGF injections which will be followed by PRP.00000
(0 votes)
pdr_alebek_041819_17.jpg
Moderate PDR411 views43 year old man 20/32 vision in both eyes. Being started on Anti-VEGF injections which will be followed by PRP.00000
(0 votes)
pdr_alebek_041819_18.jpg
Moderate PDR341 views43 year old man 20/32 vision in both eyes. Being started on Anti-VEGF injections which will be followed by PRP.00000
(0 votes)
pdr_alebek_041819_19.jpg
Moderate PDR347 views43 year old man 20/32 vision in both eyes. Being started on Anti-VEGF injections which will be followed by PRP.00000
(0 votes)
pdr_alebek_041819_20.jpg
Moderate PDR344 views43 year old man 20/32 vision in both eyes. Being started on Anti-VEGF injections which will be followed by PRP.00000
(0 votes)
pdr_alebek_041819_21.jpg
Moderate PDR389 views43 year old man 20/32 vision in both eyes. Being started on Anti-VEGF injections which will be followed by PRP.00000
(0 votes)
pdr_alebek_041819_22.jpg
Moderate PDR408 views43 year old man 20/32 vision in both eyes. Being started on Anti-VEGF injections which will be followed by PRP.00000
(0 votes)
pdr_alebek_041819_23.jpg
Moderate PDR340 views43 year old man 20/32 vision in both eyes. Being started on Anti-VEGF injections which will be followed by PRP.00000
(0 votes)
pdr_alebek_041819_24.jpg
Moderate PDR362 views43 year old man 20/32 vision in both eyes. Being started on Anti-VEGF injections which will be followed by PRP.00000
(0 votes)
24 files on 1 page(s)

43 year old man He has had laser in both eyes for bleeding. At the moment the vision is blurry in both eyes. The left one is a little bit worse than the right eye. He also started using reading glasses. VA OD: sc20/32-1 NscJ1-2 VA OS: sc20/40-1 NscJ5-1 IOP: TP: OD:15 OS:15