Retina Gallery ~ Full Sized Retina Images

Library of Free, Non-Copyrighted Retina Images and Videos

Choose your language:



71 year old female - About 1 year ago the patient had injections in each eye and also started with laser. Hurricane Irma hit and she had her appointments cancelled and she did not go back. She had cataract surgery previously but no other treatment. About a month ago she noticed that her vision was declining in the left eye and then a few weeks ago it got a lot worse. The right eye is pretty good and she can see with her reading glasses. She is planning to get bifocals in the future. She did not want to get new glasses until we figured out the left eye. VA OD: sc20/25-2 VA OS: sc1’/200 IOP: TP: OD:15 OS:15 The left eye has no macular edema or macular detachment and an APD. The vision loss is likely from a CRAO or from optic atrophy. So a PPV was not done.

PDR_kaco_102918_02.JPG
Severe PDR with preretinal fibrosis435 views71 year old female untreated for a year following injections because of hurricane Irma. VA 20/30 OD and 5/200 OS. Sudden vision loss 1 month ago left eye was likely an ischemic event. Right eye is being treated with injections and PRP laser.00000
(0 votes)
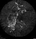
PDR_kaco_102918_03.JPG
Severe PDR with preretinal fibrosis389 views71 year old female untreated for a year following injections because of hurricane Irma. VA 20/30 OD and 5/200 OS. Sudden vision loss 1 month ago left eye was likely an ischemic event. Right eye is being treated with injections and PRP laser.00000
(0 votes)
PDR_kaco_102918_01.JPG
Severe PDR with preretinal fibrosis403 views71 year old female untreated for a year following injections because of hurricane Irma. VA 20/30 OD and 5/200 OS. Sudden vision loss 1 month ago left eye was likely an ischemic event. Right eye is being treated with injections and PRP laser.00000
(0 votes)
PDR_kaco_102918_04.JPG
Severe PDR with preretinal fibrosis358 views71 year old female untreated for a year following injections because of hurricane Irma. VA 20/30 OD and 5/200 OS. Sudden vision loss 1 month ago left eye was likely an ischemic event. Right eye is being treated with injections and PRP laser.00000
(0 votes)
PDR_kaco_102918_05.JPG
Severe PDR with preretinal fibrosis414 views71 year old female untreated for a year following injections because of hurricane Irma. VA 20/30 OD and 5/200 OS. Sudden vision loss 1 month ago left eye was likely an ischemic event. Right eye is being treated with injections and PRP laser.00000
(0 votes)
PDR_kaco_102918_06.JPG
Severe PDR with preretinal fibrosis444 views71 year old female untreated for a year following injections because of hurricane Irma. VA 20/30 OD and 5/200 OS. Sudden vision loss 1 month ago left eye was likely an ischemic event. Right eye is being treated with injections and PRP laser.00000
(0 votes)
PDR_kaco_102918_09.JPG
Severe PDR with preretinal fibrosis390 views71 year old female untreated for a year following injections because of hurricane Irma. VA 20/30 OD and 5/200 OS. Sudden vision loss 1 month ago left eye was likely an ischemic event. Right eye is being treated with injections and PRP laser.00000
(0 votes)
PDR_kaco_102918_10.jpg
Severe PDR with preretinal fibrosis328 views71 year old female untreated for a year following injections because of hurricane Irma. VA 20/30 OD and 5/200 OS. Sudden vision loss 1 month ago left eye was likely an ischemic event. Right eye is being treated with injections and PRP laser.00000
(0 votes)
PDR_kaco_102918_11.jpg
Severe PDR with preretinal fibrosis386 views71 year old female untreated for a year following injections because of hurricane Irma. VA 20/30 OD and 5/200 OS. Sudden vision loss 1 month ago left eye was likely an ischemic event. Right eye is being treated with injections and PRP laser.00000
(0 votes)
PDR_kaco_102918_12.jpg
Severe PDR with preretinal fibrosis340 views71 year old female untreated for a year following injections because of hurricane Irma. VA 20/30 OD and 5/200 OS. Sudden vision loss 1 month ago left eye was likely an ischemic event. Right eye is being treated with injections and PRP laser.00000
(0 votes)
PDR_kaco_102918_13.jpg
Severe PDR with preretinal fibrosis338 views71 year old female untreated for a year following injections because of hurricane Irma. VA 20/30 OD and 5/200 OS. Sudden vision loss 1 month ago left eye was likely an ischemic event. Right eye is being treated with injections and PRP laser.00000
(0 votes)
PDR_kaco_102918_14.jpg
Severe PDR with preretinal fibrosis363 views71 year old female untreated for a year following injections because of hurricane Irma. VA 20/30 OD and 5/200 OS. Sudden vision loss 1 month ago left eye was likely an ischemic event. Right eye is being treated with injections and PRP laser.00000
(0 votes)
PDR_kaco_102918_15.jpg
Severe PDR with preretinal fibrosis399 views71 year old female untreated for a year following injections because of hurricane Irma. VA 20/30 OD and 5/200 OS. Sudden vision loss 1 month ago left eye was likely an ischemic event. Right eye is being treated with injections and PRP laser.00000
(0 votes)
PDR_kaco_102918_16.jpg
Severe PDR with preretinal fibrosis399 views71 year old female untreated for a year following injections because of hurricane Irma. VA 20/30 OD and 5/200 OS. Sudden vision loss 1 month ago left eye was likely an ischemic event. Right eye is being treated with injections and PRP laser.00000
(0 votes)
PDR_kaco_102918_18.jpg
Severe PDR with preretinal fibrosis360 views71 year old female untreated for a year following injections because of hurricane Irma. VA 20/30 OD and 5/200 OS. Sudden vision loss 1 month ago left eye was likely an ischemic event. Right eye is being treated with injections and PRP laser.00000
(0 votes)
PDR_kaco_102918_17.jpg
Severe PDR with preretinal fibrosis335 views71 year old female untreated for a year following injections because of hurricane Irma. VA 20/30 OD and 5/200 OS. Sudden vision loss 1 month ago left eye was likely an ischemic event. Right eye is being treated with injections and PRP laser.00000
(0 votes)
PDR_kaco_102918_19.jpg
Severe PDR with preretinal fibrosis511 views71 year old female untreated for a year following injections because of hurricane Irma. VA 20/30 OD and 5/200 OS. Sudden vision loss 1 month ago left eye was likely an ischemic event. Right eye is being treated with injections and PRP laser.00000
(0 votes)
PDR_kaco_102918_20.jpg
Severe PDR with preretinal fibrosis427 views71 year old female untreated for a year following injections because of hurricane Irma. VA 20/30 OD and 5/200 OS. Sudden vision loss 1 month ago left eye was likely an ischemic event. Right eye is being treated with injections and PRP laser.00000
(0 votes)
PDR_kaco_102918_21.jpg
Severe PDR with preretinal fibrosis343 views71 year old female untreated for a year following injections because of hurricane Irma. VA 20/30 OD and 5/200 OS. Sudden vision loss 1 month ago left eye was likely an ischemic event. Right eye is being treated with injections and PRP laser.00000
(0 votes)
PDR_kaco_102918_22.jpg
Severe PDR with preretinal fibrosis371 views71 year old female untreated for a year following injections because of hurricane Irma. VA 20/30 OD and 5/200 OS. Sudden vision loss 1 month ago left eye was likely an ischemic event. Right eye is being treated with injections and PRP laser.00000
(0 votes)
PDR_kaco_102918_23.jpg
Severe PDR with preretinal fibrosis401 views71 year old female untreated for a year following injections because of hurricane Irma. VA 20/30 OD and 5/200 OS. Sudden vision loss 1 month ago left eye was likely an ischemic event. Right eye is being treated with injections and PRP laser.00000
(0 votes)
PDR_kaco_102918_24.jpg
Severe PDR with preretinal fibrosis351 views71 year old female untreated for a year following injections because of hurricane Irma. VA 20/30 OD and 5/200 OS. Sudden vision loss 1 month ago left eye was likely an ischemic event. Right eye is being treated with injections and PRP laser.00000
(0 votes)
PDR_kaco_102918_25.jpg
Severe PDR with preretinal fibrosis359 views71 year old female untreated for a year following injections because of hurricane Irma. VA 20/30 OD and 5/200 OS. Sudden vision loss 1 month ago left eye was likely an ischemic event. Right eye is being treated with injections and PRP laser.00000
(0 votes)
PDR_kaco_102918_26.jpg
Severe PDR with preretinal fibrosis346 views71 year old female untreated for a year following injections because of hurricane Irma. VA 20/30 OD and 5/200 OS. Sudden vision loss 1 month ago left eye was likely an ischemic event. Right eye is being treated with injections and PRP laser.00000
(0 votes)
PDR_kaco_102918_08.JPG
Severe PDR with preretinal fibrosis363 views71 year old female untreated for a year following injections because of hurricane Irma. VA 20/30 OD and 5/200 OS. Sudden vision loss 1 month ago left eye was likely an ischemic event. Right eye is being treated with injections and PRP laser.00000
(0 votes)
PDR_kaco_102918_07.JPG
Severe PDR with preretinal fibrosis398 views71 year old female untreated for a year following injections because of hurricane Irma. VA 20/30 OD and 5/200 OS. Sudden vision loss 1 month ago left eye was likely an ischemic event. Right eye is being treated with injections and PRP laser.00000
(0 votes)
   
26 files on 1 page(s)

71 year old female - About 1 year ago the patient had injections in each eye and also started with laser. Hurricane Irma hit and she had her appointments cancelled and she did not go back. She had cataract surgery previously but no other treatment. About a month ago she noticed that her vision was declining in the left eye and then a few weeks ago it got a lot worse. The right eye is pretty good and she can see with her reading glasses. She is planning to get bifocals in the future. She did not want to get new glasses until we figured out the left eye. VA OD: sc20/25-2 VA OS: sc1’/200 IOP: TP: OD:15 OS:15 The left eye has no macular edema or macular detachment and an APD. The vision loss is likely from a CRAO or from optic atrophy. So a PPV was not done.