Central Retinal Artery Occlusion - No Cherry Red Spot
|
|
72 year old man He noticed sudden vision loss yesterday afternoon at 2:30 PM (he was relaxing watching TV). He had no focal neurological changes. He went to his medical doctor today who recommended that the patient see me. Â
VA OD: HM
VA OS: Dcc20/25-2 NccJ1+
|

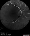
Central Retinal Artery Occlusion - Diabetic Retinopathy - NO cherry red spot495 views58 year old man with sudden vision loss in the right eye. The vision had been 20/40 and dropped to 20/200 the day prior to presentation.
VA 20/200 OD, 20/20 OS
FA shows CRAO. No cherry red spot.     (0 votes)
|
|

Central Retinal Artery Occlusion - Diabetic Retinopathy - NO cherry red spot474 views58 year old man with sudden vision loss in the right eye. The vision had been 20/40 and dropped to 20/200 the day prior to presentation.
VA 20/200 OD, 20/20 OS
FA shows CRAO. No cherry red spot.     (0 votes)
|
|

Central Retinal Artery Occlusion - Diabetic Retinopathy - NO cherry red spot455 views58 year old man with sudden vision loss in the right eye. The vision had been 20/40 and dropped to 20/200 the day prior to presentation.
VA 20/200 OD, 20/20 OS
FA shows CRAO. No cherry red spot.     (0 votes)
|
|

Central Retinal Artery Occlusion - Diabetic Retinopathy - NO cherry red spot379 views58 year old man with sudden vision loss in the right eye. The vision had been 20/40 and dropped to 20/200 the day prior to presentation.
VA 20/200 OD, 20/20 OS
FA shows CRAO. No cherry red spot.     (0 votes)
|
|

Central Retinal Artery Occlusion - Diabetic Retinopathy - NO cherry red spot442 views58 year old man with sudden vision loss in the right eye. The vision had been 20/40 and dropped to 20/200 the day prior to presentation.
VA 20/200 OD, 20/20 OS
FA shows CRAO. No cherry red spot.     (0 votes)
|
|

Central Retinal Artery Occlusion - Diabetic Retinopathy - NO cherry red spot378 views58 year old man with sudden vision loss in the right eye. The vision had been 20/40 and dropped to 20/200 the day prior to presentation.
VA 20/200 OD, 20/20 OS
FA shows CRAO. No cherry red spot.     (0 votes)
|
|

Central Retinal Artery Occlusion - Diabetic Retinopathy - NO cherry red spot450 views58 year old man with sudden vision loss in the right eye. The vision had been 20/40 and dropped to 20/200 the day prior to presentation.
VA 20/200 OD, 20/20 OS
FA shows CRAO. No cherry red spot.     (0 votes)
|
|

Central Retinal Artery Occlusion - Diabetic Retinopathy - NO cherry red spot407 views58 year old man with sudden vision loss in the right eye. The vision had been 20/40 and dropped to 20/200 the day prior to presentation.
VA 20/200 OD, 20/20 OS
FA shows CRAO. No cherry red spot.     (0 votes)
|
|

Central Retinal Artery Occlusion - Diabetic Retinopathy - NO cherry red spot456 views58 year old man with sudden vision loss in the right eye. The vision had been 20/40 and dropped to 20/200 the day prior to presentation.
VA 20/200 OD, 20/20 OS
FA shows CRAO. No cherry red spot.     (0 votes)
|
|

Central Retinal Artery Occlusion - Diabetic Retinopathy - NO cherry red spot400 views58 year old man with sudden vision loss in the right eye. The vision had been 20/40 and dropped to 20/200 the day prior to presentation.
VA 20/200 OD, 20/20 OS
FA shows CRAO. No cherry red spot.     (0 votes)
|
|

Central Retinal Artery Occlusion - Diabetic Retinopathy - NO cherry red spot459 views58 year old man with sudden vision loss in the right eye. The vision had been 20/40 and dropped to 20/200 the day prior to presentation.
VA 20/200 OD, 20/20 OS
FA shows CRAO. No cherry red spot.     (0 votes)
|
|

Central Retinal Artery Occlusion - Diabetic Retinopathy - NO cherry red spot389 views58 year old man with sudden vision loss in the right eye. The vision had been 20/40 and dropped to 20/200 the day prior to presentation.
VA 20/200 OD, 20/20 OS
FA shows CRAO. No cherry red spot.     (0 votes)
|
|
|
|
72 year old man He noticed sudden vision loss yesterday afternoon at 2:30 PM (he was relaxing watching TV). He had no focal neurological changes. He went to his medical doctor today who recommended that the patient see me. Â
VA OD: HM
VA OS: Dcc20/25-2 NccJ1+