Retina Gallery ~ Full Sized Retina Images

Library of Free, Non-Copyrighted Retina Images and Videos

Wähle Sprache:



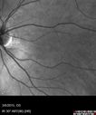
63 year old female with amblyopia more in the right eye than the left. SD OCT shows foveal aplasia VA 20/50 OD, 20/25 OS

fovealaplasia_demc_030615_01.jpg
Foveal hypoplasia - aplasia477 x angesehenSD OCT shows persistent plexiform layers in the center of the macula
EXTENDED HPI: He is having some trouble seeing his gadgets (like his watch). He was diagnosed with morning glory syndrome at about 3 yeras old. This last visit you saw fluid under the retina and asked him to come here. The vision is a little worse.
VA OD: Dcc20/40+2 NccJ2-2
VA OS: Dcc20/25-2 NccJ1-2
00000
(0 Bewertungen)
fovealaplasia_demc_030615_02.jpg
Foveal hypoplasia - aplasia451 x angesehenSD OCT shows persistent plexiform layers in the center of the macula
EXTENDED HPI: He is having some trouble seeing his gadgets (like his watch). He was diagnosed with morning glory syndrome at about 3 yeras old. This last visit you saw fluid under the retina and asked him to come here. The vision is a little worse.
VA OD: Dcc20/40+2 NccJ2-2
VA OS: Dcc20/25-2 NccJ1-2
00000
(0 Bewertungen)
fovealaplasia_demc_030615_05.jpg
Foveal hypoplasia - aplasia517 x angesehenSD OCT shows persistent plexiform layers in the center of the macula
EXTENDED HPI: He is having some trouble seeing his gadgets (like his watch). He was diagnosed with morning glory syndrome at about 3 yeras old. This last visit you saw fluid under the retina and asked him to come here. The vision is a little worse.
VA OD: Dcc20/40+2 NccJ2-2
VA OS: Dcc20/25-2 NccJ1-2
00000
(0 Bewertungen)
fovealaplasia_demc_030615_04.jpg
Foveal hypoplasia - aplasia970 x angesehenSD OCT shows persistent plexiform layers in the center of the macula
EXTENDED HPI: He is having some trouble seeing his gadgets (like his watch). He was diagnosed with morning glory syndrome at about 3 yeras old. This last visit you saw fluid under the retina and asked him to come here. The vision is a little worse.
VA OD: Dcc20/40+2 NccJ2-2
VA OS: Dcc20/25-2 NccJ1-2
00000
(0 Bewertungen)
fovealaplasia_demc_030615_06.jpg
Foveal hypoplasia - aplasia684 x angesehenSD OCT shows persistent plexiform layers in the center of the macula
EXTENDED HPI: He is having some trouble seeing his gadgets (like his watch). He was diagnosed with morning glory syndrome at about 3 yeras old. This last visit you saw fluid under the retina and asked him to come here. The vision is a little worse.
VA OD: Dcc20/40+2 NccJ2-2
VA OS: Dcc20/25-2 NccJ1-2
00000
(0 Bewertungen)
fovealaplasia_demc_030615_03.jpg
Foveal hypoplasia - aplasia572 x angesehenSD OCT shows persistent plexiform layers in the center of the macula
EXTENDED HPI: He is having some trouble seeing his gadgets (like his watch). He was diagnosed with morning glory syndrome at about 3 yeras old. This last visit you saw fluid under the retina and asked him to come here. The vision is a little worse.
VA OD: Dcc20/40+2 NccJ2-2
VA OS: Dcc20/25-2 NccJ1-2
00000
(0 Bewertungen)
fovealaplasia_demc_030615_08.jpg
Foveal hypoplasia - aplasia511 x angesehenSD OCT shows persistent plexiform layers in the center of the macula
EXTENDED HPI: He is having some trouble seeing his gadgets (like his watch). He was diagnosed with morning glory syndrome at about 3 yeras old. This last visit you saw fluid under the retina and asked him to come here. The vision is a little worse.
VA OD: Dcc20/40+2 NccJ2-2
VA OS: Dcc20/25-2 NccJ1-2
00000
(0 Bewertungen)
fovealaplasia_demc_030615_07.jpg
Foveal hypoplasia - aplasia494 x angesehenSD OCT shows persistent plexiform layers in the center of the macula
EXTENDED HPI: He is having some trouble seeing his gadgets (like his watch). He was diagnosed with morning glory syndrome at about 3 yeras old. This last visit you saw fluid under the retina and asked him to come here. The vision is a little worse.
VA OD: Dcc20/40+2 NccJ2-2
VA OS: Dcc20/25-2 NccJ1-2
00000
(0 Bewertungen)
8 Dateien auf 1 Seite(n)

63 year old female with amblyopia more in the right eye than the left. SD OCT shows foveal aplasia VA 20/50 OD, 20/25 OS