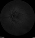
CRVO 25 year old man - Factor V Leiden Heterozygous
|
|
25 year old man with 1 week vision loss 20/16 OD 20/100 OS - CRVO
Heterozyrous for Factor V Leiden - Required 3 years of Lucentis - VA improved to 20/30. Able to stop therapy
|

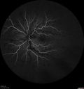
CRVO 25 year old man - Heterozygous Factor V Leiden437 views20/100 initial vision. Improved to 20/30 with Lucentis which continued for 3 years, treat and extend, and stopped.     (0 votes)
|
|

CRVO 25 year old man - Heterozygous Factor V Leiden358 views20/100 initial vision. Improved to 20/30 with Lucentis which continued for 3 years, treat and extend, and stopped.     (0 votes)
|
|

CRVO 25 year old man - Heterozygous Factor V Leiden414 views20/100 initial vision. Improved to 20/30 with Lucentis which continued for 3 years, treat and extend, and stopped.     (0 votes)
|
|

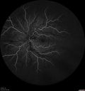
CRVO 25 year old man - Heterozygous Factor V Leiden354 views20/100 initial vision. Improved to 20/30 with Lucentis which continued for 3 years, treat and extend, and stopped.     (0 votes)
|
|

CRVO 25 year old man - Heterozygous Factor V Leiden390 views20/100 initial vision. Improved to 20/30 with Lucentis which continued for 3 years, treat and extend, and stopped.     (0 votes)
|
|

CRVO 25 year old man - Heterozygous Factor V Leiden365 views20/100 initial vision. Improved to 20/30 with Lucentis which continued for 3 years, treat and extend, and stopped.     (0 votes)
|
|

CRVO 25 year old man - Heterozygous Factor V Leiden424 views20/100 initial vision. Improved to 20/30 with Lucentis which continued for 3 years, treat and extend, and stopped.     (0 votes)
|
|

CRVO 25 year old man - Heterozygous Factor V Leiden370 views20/100 initial vision. Improved to 20/30 with Lucentis which continued for 3 years, treat and extend, and stopped.     (0 votes)
|
|

CRVO 25 year old man - Heterozygous Factor V Leiden376 views20/100 initial vision. Improved to 20/30 with Lucentis which continued for 3 years, treat and extend, and stopped.     (0 votes)
|
|

CRVO 25 year old man - Heterozygous Factor V Leiden357 views20/100 initial vision. Improved to 20/30 with Lucentis which continued for 3 years, treat and extend, and stopped.     (0 votes)
|
|

CRVO 25 year old man - Heterozygous Factor V Leiden364 views20/100 initial vision. Improved to 20/30 with Lucentis which continued for 3 years, treat and extend, and stopped.     (0 votes)
|
|

CRVO 25 year old man - Heterozygous Factor V Leiden366 views20/100 initial vision. Improved to 20/30 with Lucentis which continued for 3 years, treat and extend, and stopped.     (0 votes)
|
|

CRVO 25 year old man - Heterozygous Factor V Leiden376 views20/100 initial vision. Improved to 20/30 with Lucentis which continued for 3 years, treat and extend, and stopped.     (0 votes)
|
|

CRVO 25 year old man - Heterozygous Factor V Leiden355 views20/100 initial vision. Improved to 20/30 with Lucentis which continued for 3 years, treat and extend, and stopped.     (0 votes)
|
|

CRVO 25 year old man - Heterozygous Factor V Leiden377 views20/100 initial vision. Improved to 20/30 with Lucentis which continued for 3 years, treat and extend, and stopped.     (0 votes)
|
|

CRVO 25 year old man - Heterozygous Factor V Leiden363 views20/100 initial vision. Improved to 20/30 with Lucentis which continued for 3 years, treat and extend, and stopped.     (0 votes)
|
|

CRVO 25 year old man - Heterozygous Factor V Leiden342 views20/100 initial vision. Improved to 20/30 with Lucentis which continued for 3 years, treat and extend, and stopped.     (0 votes)
|
|

CRVO 25 year old man - Heterozygous Factor V Leiden383 views20/100 initial vision. Improved to 20/30 with Lucentis which continued for 3 years, treat and extend, and stopped.     (0 votes)
|
|

CRVO 25 year old man - Heterozygous Factor V Leiden365 views20/100 initial vision. Improved to 20/30 with Lucentis which continued for 3 years, treat and extend, and stopped.     (0 votes)
|
|

CRVO 25 year old man - Heterozygous Factor V Leiden319 views20/100 initial vision. Improved to 20/30 with Lucentis which continued for 3 years, treat and extend, and stopped.     (0 votes)
|
|

CRVO 25 year old man - Heterozygous Factor V Leiden340 views20/100 initial vision. Improved to 20/30 with Lucentis which continued for 3 years, treat and extend, and stopped.     (0 votes)
|
|

CRVO 25 year old man - Heterozygous Factor V Leiden376 views20/100 initial vision. Improved to 20/30 with Lucentis which continued for 3 years, treat and extend, and stopped.     (0 votes)
|
|

CRVO 25 year old man - Heterozygous Factor V Leiden365 views20/100 initial vision. Improved to 20/30 with Lucentis which continued for 3 years, treat and extend, and stopped.     (0 votes)
|
|

CRVO 25 year old man - Heterozygous Factor V Leiden401 views20/100 initial vision. Improved to 20/30 with Lucentis which continued for 3 years, treat and extend, and stopped.     (0 votes)
|
|

CRVO 25 year old man - Heterozygous Factor V Leiden344 views20/100 initial vision. Improved to 20/30 with Lucentis which continued for 3 years, treat and extend, and stopped.     (0 votes)
|
|
|
|
|
|
|
25 year old man with 1 week vision loss 20/16 OD 20/100 OS - CRVO
Heterozyrous for Factor V Leiden - Required 3 years of Lucentis - VA improved to 20/30. Able to stop therapy