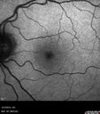
Macroaneurysm - No Leakage on FA - Fluid Absorbed - NO TREATMENT
|
|
87 year old female with decreased vision OD EXTENDED HPI: The vision in the right eye was good until a few days ago when she noticed that the vision was getting worse in the right eye. It could have been earlier and she might not have noticed it.
VA OD: sc20/100 NscJ16
VA OS: sc20/25-1 NscJ5-1
VA improved to 20/80 in 4 months and fluid absorbed without treatment
|

Macroaneurysm - Resolved without treatment417 views87 year old female with vision loss OD. Initial FA showed no leakage so no treatment was done and the fluid absorbed over 4 months. Initial VA 20/100, Final VA 20/80     (0 votes)
|
|

Macroaneurysm - Resolved without treatment375 views87 year old female with vision loss OD. Initial FA showed no leakage so no treatment was done and the fluid absorbed over 4 months. Initial VA 20/100, Final VA 20/80     (0 votes)
|
|

Macroaneurysm - Resolved without treatment368 views87 year old female with vision loss OD. Initial FA showed no leakage so no treatment was done and the fluid absorbed over 4 months. Initial VA 20/100, Final VA 20/80     (0 votes)
|
|

Macroaneurysm - Resolved without treatment372 views87 year old female with vision loss OD. Initial FA showed no leakage so no treatment was done and the fluid absorbed over 4 months. Initial VA 20/100, Final VA 20/80     (0 votes)
|
|

Macroaneurysm - Resolved without treatment388 views87 year old female with vision loss OD. Initial FA showed no leakage so no treatment was done and the fluid absorbed over 4 months. Initial VA 20/100, Final VA 20/80     (0 votes)
|
|

Macroaneurysm - Resolved without treatment380 views87 year old female with vision loss OD. Initial FA showed no leakage so no treatment was done and the fluid absorbed over 4 months. Initial VA 20/100, Final VA 20/80     (0 votes)
|
|

Macroaneurysm - Resolved without treatment401 views87 year old female with vision loss OD. Initial FA showed no leakage so no treatment was done and the fluid absorbed over 4 months. Initial VA 20/100, Final VA 20/80     (0 votes)
|
|

Macroaneurysm - Resolved without treatment425 views87 year old female with vision loss OD. Initial FA showed no leakage so no treatment was done and the fluid absorbed over 4 months. Initial VA 20/100, Final VA 20/80     (0 votes)
|
|

Macroaneurysm - Resolved without treatment368 views87 year old female with vision loss OD. Initial FA showed no leakage so no treatment was done and the fluid absorbed over 4 months. Initial VA 20/100, Final VA 20/80     (0 votes)
|
|

Macroaneurysm - Resolved without treatment363 views87 year old female with vision loss OD. Initial FA showed no leakage so no treatment was done and the fluid absorbed over 4 months. Initial VA 20/100, Final VA 20/80     (0 votes)
|
|

Macroaneurysm - Resolved without treatment358 views87 year old female with vision loss OD. Initial FA showed no leakage so no treatment was done and the fluid absorbed over 4 months. Initial VA 20/100, Final VA 20/80     (0 votes)
|
|

Macroaneurysm - Resolved without treatment364 views87 year old female with vision loss OD. Initial FA showed no leakage so no treatment was done and the fluid absorbed over 4 months. Initial VA 20/100, Final VA 20/80     (0 votes)
|
|

Macroaneurysm - Resolved without treatment353 views87 year old female with vision loss OD. Initial FA showed no leakage so no treatment was done and the fluid absorbed over 4 months. Initial VA 20/100, Final VA 20/80     (0 votes)
|
|

Macroaneurysm - Resolved without treatment402 views87 year old female with vision loss OD. Initial FA showed no leakage so no treatment was done and the fluid absorbed over 4 months. Initial VA 20/100, Final VA 20/80     (0 votes)
|
|

Macroaneurysm - Resolved without treatment419 views87 year old female with vision loss OD. Initial FA showed no leakage so no treatment was done and the fluid absorbed over 4 months. Initial VA 20/100, Final VA 20/80     (0 votes)
|
|

Macroaneurysm - Resolved without treatment375 views87 year old female with vision loss OD. Initial FA showed no leakage so no treatment was done and the fluid absorbed over 4 months. Initial VA 20/100, Final VA 20/80     (0 votes)
|
|

Macroaneurysm - Resolved without treatment362 views87 year old female with vision loss OD. Initial FA showed no leakage so no treatment was done and the fluid absorbed over 4 months. Initial VA 20/100, Final VA 20/80     (0 votes)
|
|

Macroaneurysm - Resolved without treatment381 views87 year old female with vision loss OD. Initial FA showed no leakage so no treatment was done and the fluid absorbed over 4 months. Initial VA 20/100, Final VA 20/80     (0 votes)
|
|

Macroaneurysm - Resolved without treatment356 views87 year old female with vision loss OD. Initial FA showed no leakage so no treatment was done and the fluid absorbed over 4 months. Initial VA 20/100, Final VA 20/80     (0 votes)
|
|

Macroaneurysm - Resolved without treatment354 views87 year old female with vision loss OD. Initial FA showed no leakage so no treatment was done and the fluid absorbed over 4 months. Initial VA 20/100, Final VA 20/80     (0 votes)
|
|

Macroaneurysm - Resolved without treatment351 views87 year old female with vision loss OD. Initial FA showed no leakage so no treatment was done and the fluid absorbed over 4 months. Initial VA 20/100, Final VA 20/80     (0 votes)
|
|

Macroaneurysm - Resolved without treatment356 views87 year old female with vision loss OD. Initial FA showed no leakage so no treatment was done and the fluid absorbed over 4 months. Initial VA 20/100, Final VA 20/80     (0 votes)
|
|

Macroaneurysm - Resolved without treatment391 views87 year old female with vision loss OD. Initial FA showed no leakage so no treatment was done and the fluid absorbed over 4 months. Initial VA 20/100, Final VA 20/80     (0 votes)
|
|

Macroaneurysm - Resolved without treatment393 views87 year old female with vision loss OD. Initial FA showed no leakage so no treatment was done and the fluid absorbed over 4 months. Initial VA 20/100, Final VA 20/80     (0 votes)
|
|

Macroaneurysm - Resolved without treatment381 views87 year old female with vision loss OD. Initial FA showed no leakage so no treatment was done and the fluid absorbed over 4 months. Initial VA 20/100, Final VA 20/80     (0 votes)
|
|
|
|
|
|
|
87 year old female with decreased vision OD EXTENDED HPI: The vision in the right eye was good until a few days ago when she noticed that the vision was getting worse in the right eye. It could have been earlier and she might not have noticed it.
VA OD: sc20/100 NscJ16
VA OS: sc20/25-1 NscJ5-1
VA improved to 20/80 in 4 months and fluid absorbed without treatment