Retina Gallery ~ Full Sized Retina Images

Library of Free, Non-Copyrighted Retina Images and Videos

Choose your language:



78 year old female The patient has had poor vision in the right eye for 3 years. She was sent to a different retina specialist who did not do anything and you suggested that she come here. The left eye is also wavy. VA OD: Dcc20/160+2 NccJ16 VA OS: Dcc20/50 NccJ7

pattern_rugr_031918_02.JPG
Pattern Dystrophy - Foveal Atrophy419 views73 year old female with vision loss - looks like macular hole00000
(0 votes)
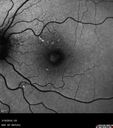
pattern_rugr_031918_01.JPG
Pattern Dystrophy - Foveal Atrophy445 views73 year old female with vision loss - looks like macular hole00000
(0 votes)
pattern_rugr_031918_03.JPG
Pattern Dystrophy - Foveal Atrophy412 views73 year old female with vision loss - looks like macular hole00000
(0 votes)
pattern_rugr_031918_04.JPG
Pattern Dystrophy - Foveal Atrophy578 views73 year old female with vision loss - looks like macular hole00000
(0 votes)
pattern_rugr_031918_05.JPG
Pattern Dystrophy - Foveal Atrophy421 views73 year old female with vision loss - looks like macular hole00000
(0 votes)
pattern_rugr_031918_07.jpg
Pattern Dystrophy - Foveal Atrophy421 views73 year old female with vision loss - looks like macular hole00000
(0 votes)
pattern_rugr_031918_06.JPG
Pattern Dystrophy - Foveal Atrophy416 views73 year old female with vision loss - looks like macular hole00000
(0 votes)
pattern_rugr_031918_08.jpg
Pattern Dystrophy - Foveal Atrophy425 views73 year old female with vision loss - looks like macular hole00000
(0 votes)
pattern_rugr_031918_09.jpg
Pattern Dystrophy - Foveal Atrophy396 views73 year old female with vision loss - looks like macular hole00000
(0 votes)
pattern_rugr_031918_10.jpg
Pattern Dystrophy - Foveal Atrophy373 views73 year old female with vision loss - looks like macular hole00000
(0 votes)
pattern_rugr_031918_11.jpg
Pattern Dystrophy - Foveal Atrophy376 views73 year old female with vision loss - looks like macular hole00000
(0 votes)
pattern_rugr_031918_12.jpg
Pattern Dystrophy - Foveal Atrophy421 views73 year old female with vision loss - looks like macular hole00000
(0 votes)
pattern_rugr_031918_13.jpg
Pattern Dystrophy - Foveal Atrophy450 views73 year old female with vision loss - looks like macular hole00000
(0 votes)
pattern_rugr_031918_14.jpg
Pattern Dystrophy - Foveal Atrophy408 views73 year old female with vision loss - looks like macular hole00000
(0 votes)
pattern_rugr_031918_15.jpg
Pattern Dystrophy - Foveal Atrophy366 views73 year old female with vision loss - looks like macular hole00000
(0 votes)
pattern_rugr_031918_16.jpg
Pattern Dystrophy - Foveal Atrophy360 views73 year old female with vision loss - looks like macular hole00000
(0 votes)
16 files on 1 page(s)

78 year old female The patient has had poor vision in the right eye for 3 years. She was sent to a different retina specialist who did not do anything and you suggested that she come here. The left eye is also wavy. VA OD: Dcc20/160+2 NccJ16 VA OS: Dcc20/50 NccJ7