Retina Gallery ~ Full Sized Retina Images

Library of Free, Non-Copyrighted Retina Images and Videos

Choose your language:



74 year old man caucasian man: The patient started having trouble with his vision after his stroke 10/9/17. He noticed after recovery that his peripheral vision had declined. He doesn't notice a difference between his two eyes. He has been having trouble focusing together his two eyes. After his stroke he was not able to read. He could trace letters but not see. He is having speech and occupational therapy at the moment. VA OD: sc20/125-2 PH20/125-2 NccJ1+ VA OS: sc20/63-2 PH20/100-2 NccJ1 Vision improved to 20/20 with Lucentis

pcv_tecu_112717_01.png
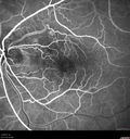
Polypoidal Choroidal Vasculopathy Left Eye373 views74 year old man with vision loss to 20/100 over a few months. He improved to 20/20 with Lucentis. The color and ICG show the polyps.00000
(0 votes)
pcv_tecu_112717_02.png
Polypoidal Choroidal Vasculopathy Left Eye342 views74 year old man with vision loss to 20/100 over a few months. He improved to 20/20 with Lucentis. The color and ICG show the polyps.00000
(0 votes)
pcv_tecu_112717_01~0.png
Polypoidal Choroidal Vasculopathy Left Eye398 views74 year old man with vision loss to 20/100 over a few months. He improved to 20/20 with Lucentis. The color and ICG show the polyps.00000
(0 votes)
pcv_tecu_112717_04.jpg
Polypoidal Choroidal Vasculopathy Left Eye335 views74 year old man with vision loss to 20/100 over a few months. He improved to 20/20 with Lucentis. The color and ICG show the polyps.00000
(0 votes)
pcv_tecu_112717_05.jpg
Polypoidal Choroidal Vasculopathy Left Eye386 views74 year old man with vision loss to 20/100 over a few months. He improved to 20/20 with Lucentis. The color and ICG show the polyps.00000
(0 votes)
pcv_tecu_112717_06.jpg
Polypoidal Choroidal Vasculopathy Left Eye359 views74 year old man with vision loss to 20/100 over a few months. He improved to 20/20 with Lucentis. The color and ICG show the polyps.00000
(0 votes)
pcv_tecu_112717_03.png
Polypoidal Choroidal Vasculopathy Left Eye432 views74 year old man with vision loss to 20/100 over a few months. He improved to 20/20 with Lucentis. The color and ICG show the polyps.00000
(0 votes)
pcv_tecu_112717_08.jpg
Polypoidal Choroidal Vasculopathy Left Eye337 views74 year old man with vision loss to 20/100 over a few months. He improved to 20/20 with Lucentis. The color and ICG show the polyps.00000
(0 votes)
pcv_tecu_112717_07.jpg
Polypoidal Choroidal Vasculopathy Left Eye358 views74 year old man with vision loss to 20/100 over a few months. He improved to 20/20 with Lucentis. The color and ICG show the polyps.00000
(0 votes)
pcv_tecu_112717_09.jpg
Polypoidal Choroidal Vasculopathy Left Eye353 views74 year old man with vision loss to 20/100 over a few months. He improved to 20/20 with Lucentis. The color and ICG show the polyps.00000
(0 votes)
pcv_tecu_112717_10.jpg
Polypoidal Choroidal Vasculopathy Left Eye403 views74 year old man with vision loss to 20/100 over a few months. He improved to 20/20 with Lucentis. The color and ICG show the polyps.00000
(0 votes)
pcv_tecu_112717_11.jpg
Polypoidal Choroidal Vasculopathy Left Eye364 views74 year old man with vision loss to 20/100 over a few months. He improved to 20/20 with Lucentis. The color and ICG show the polyps.00000
(0 votes)
pcv_tecu_112717_12.jpg
Polypoidal Choroidal Vasculopathy Left Eye352 views74 year old man with vision loss to 20/100 over a few months. He improved to 20/20 with Lucentis. The color and ICG show the polyps.00000
(0 votes)
pcv_tecu_112717_13.jpg
Polypoidal Choroidal Vasculopathy Left Eye393 views74 year old man with vision loss to 20/100 over a few months. He improved to 20/20 with Lucentis. The color and ICG show the polyps.00000
(0 votes)
pcv_tecu_112717_14.jpg
Polypoidal Choroidal Vasculopathy Left Eye373 views74 year old man with vision loss to 20/100 over a few months. He improved to 20/20 with Lucentis. The color and ICG show the polyps.00000
(0 votes)
pcv_tecu_112717_15.jpg
Polypoidal Choroidal Vasculopathy Left Eye361 views74 year old man with vision loss to 20/100 over a few months. He improved to 20/20 with Lucentis. The color and ICG show the polyps.00000
(0 votes)
pcv_tecu_112717_16.jpg
Polypoidal Choroidal Vasculopathy Left Eye351 views74 year old man with vision loss to 20/100 over a few months. He improved to 20/20 with Lucentis. The color and ICG show the polyps.00000
(0 votes)
pcv_tecu_112717_18.jpg
Polypoidal Choroidal Vasculopathy Left Eye458 views74 year old man with vision loss to 20/100 over a few months. He improved to 20/20 with Lucentis. The color and ICG show the polyps.00000
(0 votes)
pcv_tecu_112717_19.jpg
Polypoidal Choroidal Vasculopathy Left Eye468 views74 year old man with vision loss to 20/100 over a few months. He improved to 20/20 with Lucentis. The color and ICG show the polyps.00000
(0 votes)
pcv_tecu_112717_20.jpg
Polypoidal Choroidal Vasculopathy Left Eye451 views74 year old man with vision loss to 20/100 over a few months. He improved to 20/20 with Lucentis. The color and ICG show the polyps.00000
(0 votes)
pcv_tecu_112717_21.jpg
Polypoidal Choroidal Vasculopathy Left Eye374 views74 year old man with vision loss to 20/100 over a few months. He improved to 20/20 with Lucentis. The color and ICG show the polyps.00000
(0 votes)
pcv_tecu_112717_22.jpg
Polypoidal Choroidal Vasculopathy Left Eye362 views74 year old man with vision loss to 20/100 over a few months. He improved to 20/20 with Lucentis. The color and ICG show the polyps.00000
(0 votes)
pcv_tecu_112717_24.jpg
Polypoidal Choroidal Vasculopathy Left Eye404 views74 year old man with vision loss to 20/100 over a few months. He improved to 20/20 with Lucentis. The color and ICG show the polyps.00000
(0 votes)
pcv_tecu_112717_23.jpg
Polypoidal Choroidal Vasculopathy Left Eye429 views74 year old man with vision loss to 20/100 over a few months. He improved to 20/20 with Lucentis. The color and ICG show the polyps.00000
(0 votes)
pcv_tecu_112717_26.jpg
Polypoidal Choroidal Vasculopathy Left Eye379 views74 year old man with vision loss to 20/100 over a few months. He improved to 20/20 with Lucentis. The color and ICG show the polyps.00000
(0 votes)
pcv_tecu_112717_25.jpg
Polypoidal Choroidal Vasculopathy Left Eye337 views74 year old man with vision loss to 20/100 over a few months. He improved to 20/20 with Lucentis. The color and ICG show the polyps.00000
(0 votes)
pcv_tecu_112717_27.jpg
Polypoidal Choroidal Vasculopathy Left Eye368 views74 year old man with vision loss to 20/100 over a few months. He improved to 20/20 with Lucentis. The color and ICG show the polyps.00000
(0 votes)
pcv_tecu_112717_28.jpg
Polypoidal Choroidal Vasculopathy Left Eye356 views74 year old man with vision loss to 20/100 over a few months. He improved to 20/20 with Lucentis. The color and ICG show the polyps.00000
(0 votes)
pcv_tecu_112717_29.jpg
Polypoidal Choroidal Vasculopathy Left Eye375 views74 year old man with vision loss to 20/100 over a few months. He improved to 20/20 with Lucentis. The color and ICG show the polyps.00000
(0 votes)
pcv_tecu_112717_31.jpg
Polypoidal Choroidal Vasculopathy Left Eye371 views74 year old man with vision loss to 20/100 over a few months. He improved to 20/20 with Lucentis. The color and ICG show the polyps.00000
(0 votes)
pcv_tecu_112717_30.jpg
Polypoidal Choroidal Vasculopathy Left Eye362 views74 year old man with vision loss to 20/100 over a few months. He improved to 20/20 with Lucentis. The color and ICG show the polyps.00000
(0 votes)
 
31 files on 1 page(s)

74 year old man caucasian man: The patient started having trouble with his vision after his stroke 10/9/17. He noticed after recovery that his peripheral vision had declined. He doesn't notice a difference between his two eyes. He has been having trouble focusing together his two eyes. After his stroke he was not able to read. He could trace letters but not see. He is having speech and occupational therapy at the moment. VA OD: sc20/125-2 PH20/125-2 NccJ1+ VA OS: sc20/63-2 PH20/100-2 NccJ1 Vision improved to 20/20 with Lucentis