Retina Gallery ~ Full Sized Retina Images

Library of Free, Non-Copyrighted Retina Images and Videos

Choose your language:



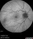
70 year old woman lost vision 12 years ago in her left eye. VA 20/32 OD; 20/800 OS (PPRCA) is a rare disorder of unknown etiology Pigment accumulation along the distribution of retinal veins Finding are usually incidental with minimal effect on vision Often bilateral Associated with Uveitis Sarcoidosis Behcet’s disease Syphilis Measles Rubeola tuberculosis  

scar_anko_072817_01.png
Pigmented Paravenous Retinochoroidal Atrophy - Left Eye474 views70 year old woman lost vision OS 20 years ago.00000
(0 votes)
scar_anko_072817_02.png
Pigmented Paravenous Retinochoroidal Atrophy - Left Eye441 views70 year old woman lost vision OS 20 years ago.00000
(0 votes)
scar_anko_072817_03.png
Pigmented Paravenous Retinochoroidal Atrophy - Left Eye429 views70 year old woman lost vision OS 20 years ago.00000
(0 votes)
scar_anko_072817_04.png
Pigmented Paravenous Retinochoroidal Atrophy - Left Eye402 views70 year old woman lost vision OS 20 years ago.00000
(0 votes)
scar_anko_072817_06.png
Pigmented Paravenous Retinochoroidal Atrophy - Left Eye488 views70 year old woman lost vision OS 20 years ago.00000
(0 votes)
scar_anko_072817_07.png
Pigmented Paravenous Retinochoroidal Atrophy - Left Eye452 views70 year old woman lost vision OS 20 years ago.00000
(0 votes)
scar_anko_072817_09.jpg
Pigmented Paravenous Retinochoroidal Atrophy - Left Eye434 views70 year old woman lost vision OS 20 years ago.00000
(0 votes)
scar_anko_072817_10.jpg
Pigmented Paravenous Retinochoroidal Atrophy - Left Eye439 views70 year old woman lost vision OS 20 years ago.00000
(0 votes)
scar_anko_072817_08.png
Pigmented Paravenous Retinochoroidal Atrophy - Left Eye451 views70 year old woman lost vision OS 20 years ago.00000
(0 votes)
scar_anko_072817_11.jpg
Pigmented Paravenous Retinochoroidal Atrophy - Left Eye423 views70 year old woman lost vision OS 20 years ago.00000
(0 votes)
scar_anko_072817_12.jpg
Pigmented Paravenous Retinochoroidal Atrophy - Left Eye415 views70 year old woman lost vision OS 20 years ago.00000
(0 votes)
scar_anko_072817_13.jpg
Pigmented Paravenous Retinochoroidal Atrophy - Left Eye437 views70 year old woman lost vision OS 20 years ago.00000
(0 votes)
scar_anko_072817_14.jpg
Pigmented Paravenous Retinochoroidal Atrophy - Left Eye450 views70 year old woman lost vision OS 20 years ago.00000
(0 votes)
scar_anko_072817_15.jpg
Pigmented Paravenous Retinochoroidal Atrophy - Left Eye377 views70 year old woman lost vision OS 20 years ago.00000
(0 votes)
scar_anko_072817_16.jpg
Pigmented Paravenous Retinochoroidal Atrophy - Left Eye423 views70 year old woman lost vision OS 20 years ago.00000
(0 votes)
scar_anko_072817_17.jpg
Pigmented Paravenous Retinochoroidal Atrophy - Left Eye432 views70 year old woman lost vision OS 20 years ago.00000
(0 votes)
scar_anko_072817_18.jpg
Pigmented Paravenous Retinochoroidal Atrophy - Left Eye399 views70 year old woman lost vision OS 20 years ago.00000
(0 votes)
     
17 files on 1 page(s)

70 year old woman lost vision 12 years ago in her left eye. VA 20/32 OD; 20/800 OS (PPRCA) is a rare disorder of unknown etiology Pigment accumulation along the distribution of retinal veins Finding are usually incidental with minimal effect on vision Often bilateral Associated with Uveitis Sarcoidosis Behcet’s disease Syphilis Measles Rubeola tuberculosis Â