Retina Gallery ~ Full Sized Retina Images

Library of Free, Non-Copyrighted Retina Images and Videos

Choose your language:



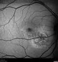
29 year old female reports that the right eye became blurry with a "funny feeling" about a weeks ago which has progressed to central grey spot. History of PCOS, Endometriosis, possibly Fibromyalgia. 1 healthy 2 year with unremarkable pregnancy. No pain OD except on the first day the patient noticed decreased. Patient had flu-like symptoms after Thanksgiving 2017 and went to Urgent Care in AZ after she became worse. Has taken amoxicillin antibiotic since Urgent Care visit 11/30/17. Patient had rashes on hands and feet as well as chest. Felt she had "little cuts" on hands and feet. VA 20/200 OD, 20/32 OS. Vision in the right eye improved to near normal within 1 months and elevated titers of Coxsackie B3 and B4 titers.

uaim_brma_121117_000.jpg
430 views00000
(0 votes)
uaim_brma_121117_002.jpg
399 views00000
(0 votes)
uaim_brma_121117_003.jpg
368 views00000
(0 votes)
uaim_brma_121117_004.jpg
369 views00000
(0 votes)
uaim_brma_121117_005.jpg
403 views00000
(0 votes)
uaim_brma_121117_006.jpg
391 views00000
(0 votes)
uaim_brma_121117_008.jpg
394 views00000
(0 votes)
uaim_brma_121117_007.jpg
391 views00000
(0 votes)
uaim_brma_121117_009.jpg
393 views00000
(0 votes)
uaim_brma_121117_010.jpg
411 views00000
(0 votes)
uaim_brma_121117_001001.jpg
415 views00000
(0 votes)
uaim_brma_121117_001000.jpg
380 views00000
(0 votes)
uaim2_brma_122017_000.jpg
402 views00000
(0 votes)
uaim2_brma_122017_001.jpg
400 views00000
(0 votes)
UAI-color_28229.png
Unilteral Acute Idiopathic Maculopathy - Initial Presentation404 views00000
(0 votes)
UAI-color_28129.png
Unilteral Acute Idiopathic Maculopathy - Initial Presentation400 views00000
(0 votes)
UAI-color_28329.png
Unilteral Acute Idiopathic Maculopathy - Initial Presentation424 views00000
(0 votes)
uaim-2_weekslater.png
Unilteral Acute Idiopathic Maculopathy - 2 weeks following other images454 views00000
(0 votes)
   
18 files on 1 page(s)

29 year old female reports that the right eye became blurry with a "funny feeling" about a weeks ago which has progressed to central grey spot. History of PCOS, Endometriosis, possibly Fibromyalgia. 1 healthy 2 year with unremarkable pregnancy. No pain OD except on the first day the patient noticed decreased. Patient had flu-like symptoms after Thanksgiving 2017 and went to Urgent Care in AZ after she became worse. Has taken amoxicillin antibiotic since Urgent Care visit 11/30/17. Patient had rashes on hands and feet as well as chest. Felt she had "little cuts" on hands and feet. VA 20/200 OD, 20/32 OS. Vision in the right eye improved to near normal within 1 months and elevated titers of Coxsackie B3 and B4 titers.