Retina Gallery ~ Full Sized Retina Images

Library of Free, Non-Copyrighted Retina Images and Videos

Choose your language:



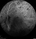
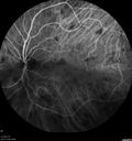
66 year old man with dense cataracts and recurrent uveitis. Starting 6 days ago and before that New Years Eve. The left eye has been treated since 11/2013 for iritis in the left eye. The patient was on Prednisolone drops. He weaned down completely off the drops and he was fine until New Years. He restarted the drops and the vision cleared until last Saturday. The attack was usual. He gets a lot of pain in the left eye and the eye is sensitive to the touch. His vision gets a little worse with the attacks. He has had episodes in each eye. He has a history of severe intermittent right knee pain and also has ulcers on his lower leg on both sides which are thought to be circulatory. VA OD: Dcc20/40 PH20/32-2 VA OS: Dcc20/200-2 PH20/63-1 Syphillis, Sarcoid, TB, Birdshot Negative except for slightly elevated Lysozyme and normal ACE Dentist found cyst which was biopsy positive for sarcoid 6 months later.

sarcoid_jamil_021216_01.png
Sarcoidosis Multifocal Choroiditis580 views66 year old man with dense cataracts and recurrent uveitis. Images show multifocal choroidal granulomas from sarcoidosis more in the right eye than the left eye.00000
(0 votes)
sarcoid_jamil_021216_02.png
Sarcoidosis Multifocal Choroiditis505 views66 year old man with dense cataracts and recurrent uveitis. Images show multifocal choroidal granulomas from sarcoidosis more in the right eye than the left eye.00000
(0 votes)
sarcoid_jamil_021216_04.png
Sarcoidosis Multifocal Choroiditis438 views66 year old man with dense cataracts and recurrent uveitis. Images show multifocal choroidal granulomas from sarcoidosis more in the right eye than the left eye.00000
(0 votes)
sarcoid_jamil_021216_03.png
Sarcoidosis Multifocal Choroiditis562 views66 year old man with dense cataracts and recurrent uveitis. Images show multifocal choroidal granulomas from sarcoidosis more in the right eye than the left eye.00000
(0 votes)
sarcoid_jamil_021216_05.png
Sarcoidosis Multifocal Choroiditis3582 views66 year old man with dense cataracts and recurrent uveitis. Images show multifocal choroidal granulomas from sarcoidosis more in the right eye than the left eye.00000
(0 votes)
sarcoid_jamil_021216_07.png
Sarcoidosis Multifocal Choroiditis471 views66 year old man with dense cataracts and recurrent uveitis. Images show multifocal choroidal granulomas from sarcoidosis more in the right eye than the left eye.00000
(0 votes)
sarcoid_jamil_021216_06.png
Sarcoidosis Multifocal Choroiditis436 views66 year old man with dense cataracts and recurrent uveitis. Images show multifocal choroidal granulomas from sarcoidosis more in the right eye than the left eye.00000
(0 votes)
sarcoid_jamil_021216_08.png
Sarcoidosis Multifocal Choroiditis470 views66 year old man with dense cataracts and recurrent uveitis. Images show multifocal choroidal granulomas from sarcoidosis more in the right eye than the left eye.00000
(0 votes)
sarcoid_jamil_021216_09.png
Sarcoidosis Multifocal Choroiditis448 views66 year old man with dense cataracts and recurrent uveitis. Images show multifocal choroidal granulomas from sarcoidosis more in the right eye than the left eye.00000
(0 votes)
sarcoid_jamil_021216_17.jpg
Sarcoidosis Multifocal Choroiditis431 views66 year old man with dense cataracts and recurrent uveitis. Images show multifocal choroidal granulomas from sarcoidosis more in the right eye than the left eye.00000
(0 votes)
sarcoid_jamil_021216_18.jpg
Sarcoidosis Multifocal Choroiditis415 views66 year old man with dense cataracts and recurrent uveitis. Images show multifocal choroidal granulomas from sarcoidosis more in the right eye than the left eye.00000
(0 votes)
sarcoid_jamil_021216_19.jpg
Sarcoidosis Multifocal Choroiditis475 views66 year old man with dense cataracts and recurrent uveitis. Images show multifocal choroidal granulomas from sarcoidosis more in the right eye than the left eye.00000
(0 votes)
sarcoid_jamil_021216_20.jpg
Sarcoidosis Multifocal Choroiditis423 views66 year old man with dense cataracts and recurrent uveitis. Images show multifocal choroidal granulomas from sarcoidosis more in the right eye than the left eye.00000
(0 votes)
sarcoid_jamil_021216_22.jpg
Sarcoidosis Multifocal Choroiditis415 views66 year old man with dense cataracts and recurrent uveitis. Images show multifocal choroidal granulomas from sarcoidosis more in the right eye than the left eye.00000
(0 votes)
sarcoid_jamil_021216_21.jpg
Sarcoidosis Multifocal Choroiditis412 views66 year old man with dense cataracts and recurrent uveitis. Images show multifocal choroidal granulomas from sarcoidosis more in the right eye than the left eye.00000
(0 votes)
sarcoid_jamil_021216_24.jpg
Sarcoidosis Multifocal Choroiditis520 views66 year old man with dense cataracts and recurrent uveitis. Images show multifocal choroidal granulomas from sarcoidosis more in the right eye than the left eye.00000
(0 votes)
sarcoid_jamil_021216_23.jpg
Sarcoidosis Multifocal Choroiditis470 views66 year old man with dense cataracts and recurrent uveitis. Images show multifocal choroidal granulomas from sarcoidosis more in the right eye than the left eye.00000
(0 votes)
sarcoid_jamil_021216_25.jpg
Sarcoidosis Multifocal Choroiditis470 views66 year old man with dense cataracts and recurrent uveitis. Images show multifocal choroidal granulomas from sarcoidosis more in the right eye than the left eye.00000
(0 votes)
sarcoid_jamil_021216_26.jpg
Sarcoidosis Multifocal Choroiditis471 views66 year old man with dense cataracts and recurrent uveitis. Images show multifocal choroidal granulomas from sarcoidosis more in the right eye than the left eye.00000
(0 votes)
sarcoid_jamil_021216_27.jpg
Sarcoidosis Multifocal Choroiditis476 views66 year old man with dense cataracts and recurrent uveitis. Images show multifocal choroidal granulomas from sarcoidosis more in the right eye than the left eye.00000
(0 votes)
sarcoid_jamil_021216_28.jpg
Sarcoidosis Multifocal Choroiditis528 views66 year old man with dense cataracts and recurrent uveitis. Images show multifocal choroidal granulomas from sarcoidosis more in the right eye than the left eye.00000
(0 votes)
sarcoid_jamil_021216_29.jpg
Sarcoidosis Multifocal Choroiditis509 views66 year old man with dense cataracts and recurrent uveitis. Images show multifocal choroidal granulomas from sarcoidosis more in the right eye than the left eye.00000
(0 votes)
sarcoid_jamil_081519_28129.png
Sarcoid Multifocal Choroiditis - Posterior Uveitis1023 views66 year old man with biopsy proven (by dentist) sarcoidosis. Problems with recurrent vitreous cells responsive to PST kenalog injections. VA 20/32 OU00000
(0 votes)
sarcoid_jamil_081519_28229.png
Sarcoid Multifocal Choroiditis - Posterior Uveitis795 views66 year old man with biopsy proven (by dentist) sarcoidosis. Problems with recurrent vitreous cells responsive to PST kenalog injections. VA 20/32 OU00000
(0 votes)
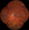
sarcoid-Multifocal-Choroiditis_jamil_01.jpg
Sarcoid Multifocal Choroiditis 2020- Color Montage737 views68 year old man with biopsy proven (by dentist) sarcoidosis. Problems with recurrent vitreous cells responsive to PST kenalog injections. VA 20/32 OU00000
(0 votes)
sarcoid-Multifocal-Choroiditis_jamil_02.jpg
Sarcoid Multifocal Choroiditis 2020- Color Montage428 views68 year old man with biopsy proven (by dentist) sarcoidosis. Problems with recurrent vitreous cells responsive to PST kenalog injections. VA 20/32 OU00000
(0 votes)
   
26 files on 1 page(s)

66 year old man with dense cataracts and recurrent uveitis. Starting 6 days ago and before that New Years Eve. The left eye has been treated since 11/2013 for iritis in the left eye. The patient was on Prednisolone drops. He weaned down completely off the drops and he was fine until New Years. He restarted the drops and the vision cleared until last Saturday. The attack was usual. He gets a lot of pain in the left eye and the eye is sensitive to the touch. His vision gets a little worse with the attacks. He has had episodes in each eye. He has a history of severe intermittent right knee pain and also has ulcers on his lower leg on both sides which are thought to be circulatory. VA OD: Dcc20/40 PH20/32-2 VA OS: Dcc20/200-2 PH20/63-1 Syphillis, Sarcoid, TB, Birdshot Negative except for slightly elevated Lysozyme and normal ACE Dentist found cyst which was biopsy positive for sarcoid 6 months later.