Retina Gallery ~ Full Sized Retina Images

Library of Free, Non-Copyrighted Retina Images and Videos

Choose your language:



74 year old female She notices that the vision in both eyes is a little hazy. She had not had an eye examination in a year. Last week she notices some flashes, like stars, in the right eye. The vision in the left eye seems OK. She was told 7 years ago that she has AMD and she has been taking vitamins since. VA OD: Dcc20/40-1 PHNI NccJ5 VA OS: Dcc20/40+2 PHNI NccJ2

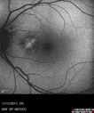
patterndystrophy-nasalmacula-lisc-111717_28129.jpg
Pattern Dystrophy - Adult Vitellifrom (Best)448 views71 year old female - lesions nasal to the fovea in both eyes. (20/40 OU)00000
(0 votes)
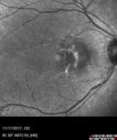
patterndystrophy-nasalmacula-lisc-111717_28229.jpg
Pattern Dystrophy - Adult Vitellifrom (Best)408 views71 year old female - lesions nasal to the fovea in both eyes. (20/40 OU)00000
(0 votes)
patterndystrophy-nasalmacula-lisc-111717_28129.png
Pattern Dystrophy - Adult Vitellifrom (Best)436 views71 year old female - lesions nasal to the fovea in both eyes. (20/40 OU)00000
(0 votes)
patterndystrophy-nasalmacula-lisc-111717_28229.png
Pattern Dystrophy - Adult Vitellifrom (Best)484 views71 year old female - lesions nasal to the fovea in both eyes. (20/40 OU)00000
(0 votes)
patterndystrophy-nasalmacula-lisc-111717_28329.jpg
Pattern Dystrophy - Adult Vitellifrom (Best)351 views71 year old female - lesions nasal to the fovea in both eyes. (20/40 OU)00000
(0 votes)
patterndystrophy-nasalmacula-lisc-111717_28429.jpg
Pattern Dystrophy - Adult Vitellifrom (Best)412 views71 year old female - lesions nasal to the fovea in both eyes. (20/40 OU)00000
(0 votes)
patterndystrophy-nasalmacula-lisc-111717_28329.png
Pattern Dystrophy - Adult Vitellifrom (Best)375 views71 year old female - lesions nasal to the fovea in both eyes. (20/40 OU)00000
(0 votes)
patterndystrophy-nasalmacula-lisc-111717_28529.jpg
Pattern Dystrophy - Adult Vitellifrom (Best)365 views71 year old female - lesions nasal to the fovea in both eyes. (20/40 OU)00000
(0 votes)
patterndystrophy-nasalmacula-lisc-111717_28429.png
Pattern Dystrophy - Adult Vitellifrom (Best)403 views71 year old female - lesions nasal to the fovea in both eyes. (20/40 OU)00000
(0 votes)
patterndystrophy-nasalmacula-lisc-111717_28629.jpg
Pattern Dystrophy - Adult Vitellifrom (Best)342 views71 year old female - lesions nasal to the fovea in both eyes. (20/40 OU)00000
(0 votes)
patterndystrophy-nasalmacula-lisc-111717_28529.png
Pattern Dystrophy - Adult Vitellifrom (Best)402 views71 year old female - lesions nasal to the fovea in both eyes. (20/40 OU)00000
(0 votes)
patterndystrophy-nasalmacula-lisc-111717_28729.jpg
Pattern Dystrophy - Adult Vitellifrom (Best)446 views71 year old female - lesions nasal to the fovea in both eyes. (20/40 OU)00000
(0 votes)
patterndystrophy-nasalmacula-lisc-111717_28629.png
Pattern Dystrophy - Adult Vitellifrom (Best)474 views71 year old female - lesions nasal to the fovea in both eyes. (20/40 OU)00000
(0 votes)
patterndystrophy-nasalmacula-lisc-111717_28829.jpg
Pattern Dystrophy - Adult Vitellifrom (Best)453 views71 year old female - lesions nasal to the fovea in both eyes. (20/40 OU)00000
(0 votes)
patterndystrophy-nasalmacula-lisc-111717_28929.jpg
Pattern Dystrophy - Adult Vitellifrom (Best)410 views71 year old female - lesions nasal to the fovea in both eyes. (20/40 OU)00000
(0 votes)
patterndystrophy-nasalmacula-lisc-111717_281029.jpg
Pattern Dystrophy - Adult Vitellifrom (Best)450 views71 year old female - lesions nasal to the fovea in both eyes. (20/40 OU)00000
(0 votes)
patterndystrophy-nasalmacula-lisc-111717_28729.png
Pattern Dystrophy - Adult Vitellifrom (Best)448 views71 year old female - lesions nasal to the fovea in both eyes. (20/40 OU)00000
(0 votes)
patterndystrophy-nasalmacula-lisc-111717_281129.jpg
Pattern Dystrophy - Adult Vitellifrom (Best)437 views71 year old female - lesions nasal to the fovea in both eyes. (20/40 OU)00000
(0 votes)
patterndystrophy-nasalmacula-lisc-111717_281229.jpg
Pattern Dystrophy - Adult Vitellifrom (Best)408 views71 year old female - lesions nasal to the fovea in both eyes. (20/40 OU)00000
(0 votes)
 
19 files on 1 page(s)

74 year old female She notices that the vision in both eyes is a little hazy. She had not had an eye examination in a year. Last week she notices some flashes, like stars, in the right eye. The vision in the left eye seems OK. She was told 7 years ago that she has AMD and she has been taking vitamins since. VA OD: Dcc20/40-1 PHNI NccJ5 VA OS: Dcc20/40+2 PHNI NccJ2