Retina Gallery ~ Full Sized Retina Images

Library of Free, Non-Copyrighted Retina Images and Videos

Choose your language:



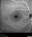
Patient with PPV in 2015 and ECCE in 2013 in the left eye. Has been on Travatan for about a year in both eyes. The left eye presented with CME and subretinal fluid. VA 20/25 right eye 20/40 left eye (had been 20/25). The CME cleared when the travatan was stopped. She required NO antiinflammatory drops.

cme1_trav_dedo_010517_01.jpg
Travatan Induced CME Left eye645 views63 year old woman 4 years post ECCE and 2 years post PPV for floaters. She developed CME in the left eye after 1 year of travatan. The travatan was stopped and the CME and serous retinal detachment resolved.00000
(0 votes)
cme1_trav_dedo_010517_02.jpg
Travatan Induced CME Left eye477 views63 year old woman 4 years post ECCE and 2 years post PPV for floaters. She developed CME in the left eye after 1 year of travatan. The travatan was stopped and the CME and serous retinal detachment resolved.00000
(0 votes)
cme1_trav_dedo_010517_03.jpg
Travatan Induced CME Left eye563 views63 year old woman 4 years post ECCE and 2 years post PPV for floaters. She developed CME in the left eye after 1 year of travatan. The travatan was stopped and the CME and serous retinal detachment resolved.00000
(0 votes)
cme1_trav_dedo_010517_04.jpg
Travatan Induced CME Left eye380 views63 year old woman 4 years post ECCE and 2 years post PPV for floaters. She developed CME in the left eye after 1 year of travatan. The travatan was stopped and the CME and serous retinal detachment resolved.00000
(0 votes)
cme1_trav_dedo_010517_05.jpg
Travatan Induced CME Left eye367 views63 year old woman 4 years post ECCE and 2 years post PPV for floaters. She developed CME in the left eye after 1 year of travatan. The travatan was stopped and the CME and serous retinal detachment resolved.00000
(0 votes)
cme1_trav_dedo_010517_06.jpg
Travatan Induced CME Left eye404 views63 year old woman 4 years post ECCE and 2 years post PPV for floaters. She developed CME in the left eye after 1 year of travatan. The travatan was stopped and the CME and serous retinal detachment resolved.00000
(0 votes)
cme1_trav_dedo_010517_07.jpg
Travatan Induced CME Left eye387 views63 year old woman 4 years post ECCE and 2 years post PPV for floaters. She developed CME in the left eye after 1 year of travatan. The travatan was stopped and the CME and serous retinal detachment resolved.00000
(0 votes)
cme1_trav_dedo_010517_08.jpg
Travatan Induced CME Left eye414 views63 year old woman 4 years post ECCE and 2 years post PPV for floaters. She developed CME in the left eye after 1 year of travatan. The travatan was stopped and the CME and serous retinal detachment resolved.00000
(0 votes)
cme1_trav_dedo_010517_09.jpg
Travatan Induced CME Left eye487 views63 year old woman 4 years post ECCE and 2 years post PPV for floaters. She developed CME in the left eye after 1 year of travatan. The travatan was stopped and the CME and serous retinal detachment resolved.00000
(0 votes)
cme1_trav_dedo_010517_10.jpg
Travatan Induced CME Left eye382 views63 year old woman 4 years post ECCE and 2 years post PPV for floaters. She developed CME in the left eye after 1 year of travatan. The travatan was stopped and the CME and serous retinal detachment resolved.00000
(0 votes)
cme1_trav_dedo_010517_11.jpg
Travatan Induced CME Left eye406 views63 year old woman 4 years post ECCE and 2 years post PPV for floaters. She developed CME in the left eye after 1 year of travatan. The travatan was stopped and the CME and serous retinal detachment resolved.00000
(0 votes)
cme1_trav_dedo_010517_12.jpg
Travatan Induced CME Left eye405 views63 year old woman 4 years post ECCE and 2 years post PPV for floaters. She developed CME in the left eye after 1 year of travatan. The travatan was stopped and the CME and serous retinal detachment resolved.00000
(0 votes)
cme1_trav_dedo_010517_13.jpg
Travatan Induced CME Left eye408 views63 year old woman 4 years post ECCE and 2 years post PPV for floaters. She developed CME in the left eye after 1 year of travatan. The travatan was stopped and the CME and serous retinal detachment resolved.00000
(0 votes)
cme1_trav_dedo_010517_14.jpg
Travatan Induced CME Left eye373 views63 year old woman 4 years post ECCE and 2 years post PPV for floaters. She developed CME in the left eye after 1 year of travatan. The travatan was stopped and the CME and serous retinal detachment resolved.00000
(0 votes)
cme1_trav_dedo_010517_15.jpg
Travatan Induced CME Left eye404 views63 year old woman 4 years post ECCE and 2 years post PPV for floaters. She developed CME in the left eye after 1 year of travatan. The travatan was stopped and the CME and serous retinal detachment resolved.00000
(0 votes)
cme1_trav_dedo_010517_16.jpg
Travatan Induced CME Left eye434 views63 year old woman 4 years post ECCE and 2 years post PPV for floaters. She developed CME in the left eye after 1 year of travatan. The travatan was stopped and the CME and serous retinal detachment resolved.00000
(0 votes)
cme1_trav_dedo_010517_17.jpg
Travatan Induced CME Left eye445 views63 year old woman 4 years post ECCE and 2 years post PPV for floaters. She developed CME in the left eye after 1 year of travatan. The travatan was stopped and the CME and serous retinal detachment resolved.00000
(0 votes)
cme1_trav_dedo_010517_18.jpg
Travatan Induced CME Left eye - 1 month post stopping travatan CME is gone527 views63 year old woman 4 years post ECCE and 2 years post PPV for floaters. She developed CME in the left eye after 1 year of travatan. The travatan was stopped and the CME and serous retinal detachment resolved.00000
(0 votes)
cme2_trav_dedo_020817_19.jpg
Travatan Induced CME Left eye - 1 month post stopping travatan CME is gone408 views63 year old woman 4 years post ECCE and 2 years post PPV for floaters. She developed CME in the left eye after 1 year of travatan. The travatan was stopped and the CME and serous retinal detachment resolved.00000
(0 votes)
cme2_trav_dedo_020817_20.jpg
Travatan Induced CME Left eye - 1 month post stopping travatan CME is gone411 views63 year old woman 4 years post ECCE and 2 years post PPV for floaters. She developed CME in the left eye after 1 year of travatan. The travatan was stopped and the CME and serous retinal detachment resolved.00000
(0 votes)
20 files on 1 page(s)

Patient with PPV in 2015 and ECCE in 2013 in the left eye. Has been on Travatan for about a year in both eyes. The left eye presented with CME and subretinal fluid. VA 20/25 right eye 20/40 left eye (had been 20/25). The CME cleared when the travatan was stopped. She required NO antiinflammatory drops.