Retina Gallery ~ Full Sized Retina Images

Library of Free, Non-Copyrighted Retina Images and Videos

Choose your language:



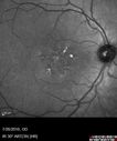
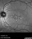
The patient was seen early last week at the urging of his wife because he was squinting. You noticed a problem in the macula and suggested that he come here for an evaluation. His vision is good during the day. The only trouble was driving at night and then just in the distance. There is no family history of trouble other than glasses. VA 20/20 in both eyes

pattern_brcl_072616_01.png
Pattern Dystrophy - Probably Early Butterfly528 views33 year old with normal vision and no visual complaints - normal color vision00000
(0 votes)
pattern_brcl_072616_02.png
Pattern Dystrophy - Probably Early Butterfly441 views33 year old with normal vision and no visual complaints - normal color vision00000
(0 votes)
pattern_brcl_072616_03.png
Pattern Dystrophy - Probably Early Butterfly518 views33 year old with normal vision and no visual complaints - normal color vision00000
(0 votes)
pattern_brcl_072616_04.png
Pattern Dystrophy - Probably Early Butterfly426 views33 year old with normal vision and no visual complaints - normal color vision00000
(0 votes)
pattern_brcl_072616_05.jpg
Pattern Dystrophy - Probably Early Butterfly678 views33 year old with normal vision and no visual complaints - normal color vision00000
(0 votes)
pattern_brcl_072616_06.jpg
Pattern Dystrophy - Probably Early Butterfly514 views33 year old with normal vision and no visual complaints - normal color vision00000
(0 votes)
pattern_brcl_072616_07.jpg
Pattern Dystrophy - Probably Early Butterfly451 views33 year old with normal vision and no visual complaints - normal color vision00000
(0 votes)
pattern_brcl_072616_08.jpg
Pattern Dystrophy - Probably Early Butterfly455 views33 year old with normal vision and no visual complaints - normal color vision00000
(0 votes)
pattern_brcl_072616_09.jpg
Pattern Dystrophy - Probably Early Butterfly404 views33 year old with normal vision and no visual complaints - normal color vision00000
(0 votes)
pattern_brcl_072616_10.jpg
Pattern Dystrophy - Probably Early Butterfly413 views33 year old with normal vision and no visual complaints - normal color vision00000
(0 votes)
pattern_brcl_072616_11.jpg
Pattern Dystrophy - Probably Early Butterfly415 views33 year old with normal vision and no visual complaints - normal color vision00000
(0 votes)
pattern_brcl_072616_12.jpg
Pattern Dystrophy - Probably Early Butterfly413 views33 year old with normal vision and no visual complaints - normal color vision00000
(0 votes)
12 files on 1 page(s)

The patient was seen early last week at the urging of his wife because he was squinting. You noticed a problem in the macula and suggested that he come here for an evaluation. His vision is good during the day. The only trouble was driving at night and then just in the distance. There is no family history of trouble other than glasses. VA 20/20 in both eyes