Protein C deficiency - Central retinal artery and central retinal vein occlusion
|
|
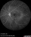
33 year old He noticed a new flash in the left eye. The flash started about 2 hours prior to the photos and he still notices it. The flash is in the center of the vision. The vision is not blurred. It's hard to tell because of the dilation. VA 20/12 OD and 5/200 OS. The vision remarkably improved to 20/16 within 1 month in the left eye. Blood tests showed a protein C deficiency.
|

Central retinal artery and vein occlusion - Protein C Deficiency 33 year old male406 views33 year old male with vision loss for 3 hours. VA 20/12 right eye, 5/200 left eye. He has a protein C deficiency. The left eye recovered vision in about 1 month to 20/16. FA shows very slow recirculation time.     (0 votes)
|
|

Central retinal artery and vein occlusion - Protein C Deficiency 33 year old male571 views33 year old male with vision loss for 3 hours. VA 20/12 right eye, 5/200 left eye. He has a protein C deficiency. The left eye recovered vision in about 1 month to 20/16. FA shows very slow recirculation time.     (0 votes)
|
|

Central retinal artery and vein occlusion - Protein C Deficiency 33 year old male493 views33 year old male with vision loss for 3 hours. VA 20/12 right eye, 5/200 left eye. He has a protein C deficiency. The left eye recovered vision in about 1 month to 20/16. FA shows very slow recirculation time.     (0 votes)
|
|

Central retinal artery and vein occlusion - Protein C Deficiency 33 year old male478 views33 year old male with vision loss for 3 hours. VA 20/12 right eye, 5/200 left eye. He has a protein C deficiency. The left eye recovered vision in about 1 month to 20/16. FA shows very slow recirculation time.     (0 votes)
|
|

Central retinal artery and vein occlusion - Protein C Deficiency 33 year old male510 views33 year old male with vision loss for 3 hours. VA 20/12 right eye, 5/200 left eye. He has a protein C deficiency. The left eye recovered vision in about 1 month to 20/16. FA shows very slow recirculation time.     (0 votes)
|
|

Central retinal artery and vein occlusion - Protein C Deficiency 33 year old male428 views33 year old male with vision loss for 3 hours. VA 20/12 right eye, 5/200 left eye. He has a protein C deficiency. The left eye recovered vision in about 1 month to 20/16. FA shows very slow recirculation time.     (0 votes)
|
|

Central retinal artery and vein occlusion - Protein C Deficiency 33 year old male457 views33 year old male with vision loss for 3 hours. VA 20/12 right eye, 5/200 left eye. He has a protein C deficiency. The left eye recovered vision in about 1 month to 20/16. FA shows very slow recirculation time.     (0 votes)
|
|

Central retinal artery and vein occlusion - Protein C Deficiency 33 year old male445 views33 year old male with vision loss for 3 hours. VA 20/12 right eye, 5/200 left eye. He has a protein C deficiency. The left eye recovered vision in about 1 month to 20/16. FA shows very slow recirculation time.     (0 votes)
|
|

Central retinal artery and vein occlusion - Protein C Deficiency 33 year old male426 views33 year old male with vision loss for 3 hours. VA 20/12 right eye, 5/200 left eye. He has a protein C deficiency. The left eye recovered vision in about 1 month to 20/16. FA shows very slow recirculation time.     (0 votes)
|
|

Central retinal artery and vein occlusion - Protein C Deficiency 33 year old male449 views33 year old male with vision loss for 3 hours. VA 20/12 right eye, 5/200 left eye. He has a protein C deficiency. The left eye recovered vision in about 1 month to 20/16. FA shows very slow recirculation time.     (0 votes)
|
|

Central retinal artery and vein occlusion - Protein C Deficiency 33 year old male411 views33 year old male with vision loss for 3 hours. VA 20/12 right eye, 5/200 left eye. He has a protein C deficiency. The left eye recovered vision in about 1 month to 20/16. FA shows very slow recirculation time.     (0 votes)
|
|

Central retinal artery and vein occlusion - Protein C Deficiency 33 year old male449 views33 year old male with vision loss for 3 hours. VA 20/12 right eye, 5/200 left eye. He has a protein C deficiency. The left eye recovered vision in about 1 month to 20/16. FA shows very slow recirculation time.     (0 votes)
|
|

Central retinal artery and vein occlusion - Protein C Deficiency 33 year old male438 views33 year old male with vision loss for 3 hours. VA 20/12 right eye, 5/200 left eye. He has a protein C deficiency. The left eye recovered vision in about 1 month to 20/16. FA shows very slow recirculation time.     (0 votes)
|
|

Central retinal artery and vein occlusion - Protein C Deficiency 33 year old male459 views33 year old male with vision loss for 3 hours. VA 20/12 right eye, 5/200 left eye. He has a protein C deficiency. The left eye recovered vision in about 1 month to 20/16. FA shows very slow recirculation time.     (0 votes)
|
|

Central retinal artery and vein occlusion - Protein C Deficiency 33 year old male505 views33 year old male with vision loss for 3 hours. VA 20/12 right eye, 5/200 left eye. He has a protein C deficiency. The left eye recovered vision in about 1 month to 20/16. FA shows very slow recirculation time.     (0 votes)
|
|

Central retinal artery and vein occlusion - Protein C Deficiency 33 year old male424 views33 year old male with vision loss for 3 hours. VA 20/12 right eye, 5/200 left eye. He has a protein C deficiency. The left eye recovered vision in about 1 month to 20/16. FA shows very slow recirculation time.     (0 votes)
|
|

Central retinal artery and vein occlusion - Protein C Deficiency 33 year old male411 views33 year old male with vision loss for 3 hours. VA 20/12 right eye, 5/200 left eye. He has a protein C deficiency. The left eye recovered vision in about 1 month to 20/16. FA shows very slow recirculation time.     (0 votes)
|
|

Central retinal artery and vein occlusion - Protein C Deficiency 33 year old male400 views33 year old male with vision loss for 3 hours. VA 20/12 right eye, 5/200 left eye. He has a protein C deficiency. The left eye recovered vision in about 1 month to 20/16. FA shows very slow recirculation time.     (0 votes)
|
|

Central retinal artery and vein occlusion - Protein C Deficiency 33 year old male434 views33 year old male with vision loss for 3 hours. VA 20/12 right eye, 5/200 left eye. He has a protein C deficiency. The left eye recovered vision in about 1 month to 20/16. FA shows very slow recirculation time.     (0 votes)
|
|

Central retinal artery and vein occlusion - Protein C Deficiency 33 year old male426 views33 year old male with vision loss for 3 hours. VA 20/12 right eye, 5/200 left eye. He has a protein C deficiency. The left eye recovered vision in about 1 month to 20/16. FA shows very slow recirculation time.     (0 votes)
|
|

Central retinal artery and vein occlusion - Protein C Deficiency 33 year old male439 views33 year old male with vision loss for 3 hours. VA 20/12 right eye, 5/200 left eye. He has a protein C deficiency. The left eye recovered vision in about 1 month to 20/16. FA shows very slow recirculation time.     (0 votes)
|
|

Central retinal artery and vein occlusion - Protein C Deficiency 33 year old male394 views33 year old male with vision loss for 3 hours. VA 20/12 right eye, 5/200 left eye. He has a protein C deficiency. The left eye recovered vision in about 1 month to 20/16. FA shows very slow recirculation time.     (0 votes)
|
|

Central retinal artery and vein occlusion - Protein C Deficiency 33 year old male434 views33 year old male with vision loss for 3 hours. VA 20/12 right eye, 5/200 left eye. He has a protein C deficiency. The left eye recovered vision in about 1 month to 20/16. FA shows very slow recirculation time.     (0 votes)
|
|

Central retinal artery and vein occlusion - Protein C Deficiency 33 year old male442 views33 year old male with vision loss for 3 hours. VA 20/12 right eye, 5/200 left eye. He has a protein C deficiency. The left eye recovered vision in about 1 month to 20/16. FA shows very slow recirculation time.     (0 votes)
|
|

Central retinal artery and vein occlusion - Protein C Deficiency 33 year old male439 views33 year old male with vision loss for 3 hours. VA 20/12 right eye, 5/200 left eye. He has a protein C deficiency. The left eye recovered vision in about 1 month to 20/16. FA shows very slow recirculation time.     (0 votes)
|
|

Central retinal artery and vein occlusion - Protein C Deficiency 33 year old male399 views33 year old male with vision loss for 3 hours. VA 20/12 right eye, 5/200 left eye. He has a protein C deficiency. The left eye recovered vision in about 1 month to 20/16. FA shows very slow recirculation time.     (0 votes)
|
|

Central retinal artery and vein occlusion - Protein C Deficiency 33 year old male444 views33 year old male with vision loss for 3 hours. VA 20/12 right eye, 5/200 left eye. He has a protein C deficiency. The left eye recovered vision in about 1 month to 20/16. FA shows very slow recirculation time.     (0 votes)
|
|
|
|
|
33 year old He noticed a new flash in the left eye. The flash started about 2 hours prior to the photos and he still notices it. The flash is in the center of the vision. The vision is not blurred. It's hard to tell because of the dilation. VA 20/12 OD and 5/200 OS. The vision remarkably improved to 20/16 within 1 month in the left eye. Blood tests showed a protein C deficiency.