Retina Gallery ~ Full Sized Retina Images
Library of Free, Non-Copyrighted Retina Images and Videos
Home
Contact
About Us
Register
Login
Album list
Last uploads
Last comments
Most viewed
Top rated
My Favorites
By date
Search
FAQ
Choose your language:
FILE 10/49
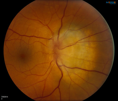
Melanoma of Optic Nerve
Patient comes in for evaluation on Optic Nerve Melanoma in the right eye. Patient's VA is 20/40 in the right eye. Fundus photograph reveals melanoma invading optic nerve and ultrasound reveals behind the optic nerve as well.
File information
Filename:
127_002.JPG
Album name:
/
Melanoma of Optic Nerve
Rating (1 votes):
(
Show details
)
Keywords:
july2014
Attribution (if wanted) enter name or institution here: :
Mayo Clinic Jacksonville, Florida
Device with which Image was Captured::
TOPCON TRC 50-EX
Filesize:
4444 KiB
Date added:
Jul 09, 2014
Dimensions:
2392 x 2048 pixels
Displayed:
1014 times
URL:
https://retinagallery.com/displayimage.php?pid=7604
Favorites:
Add to Favorites