Retina Gallery ~ Full Sized Retina Images
Library of Free, Non-Copyrighted Retina Images and Videos
Home
Contact
About Us
Register
Login
Album list
Last uploads
Last comments
Most viewed
Top rated
My Favorites
By date
Search
FAQ
Choose your language:
FILE 34/41
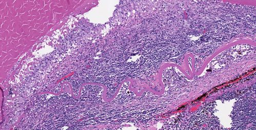
Phacoantigenic Reaction
Picture shows a Left eye enucleation with H&E staining.
Anterior capsule of lens is broken with evidence of granulomatous inflammation.
File information
Filename:
phacoantigenic_reaction.JPG
Album name:
/
Phacoantigenic glaucoma
Rating (1 votes):
(
Show details
)
Keywords:
Phacoantigenic
/
december2012
Attribution (if wanted) enter name or institution here: :
Melanie Kubik
Filesize:
1922 KiB
Date added:
Dec 03, 2012
Dimensions:
1916 x 979 pixels
Displayed:
1132 times
URL:
https://retinagallery.com/displayimage.php?pid=5625
Favorites:
Add to Favorites