Retina Gallery ~ Full Sized Retina Images
Library of Free, Non-Copyrighted Retina Images and Videos
Inicio
Contacto
About Us
Regístrate
Entrar
Lista de álbumes
Últimos archivos
Últimos comentarios
Más vistos
Más valorados
Mis favoritos
Por fecha
Buscar
FAQ
Elige idioma:
Archivo 29/82
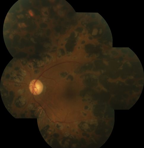
Extensive PRP scarring
64 year old male with extensive PRP scarring due to diabetic retinopathy.
Informacion de archivo
Nombre del archivo:
extensive_scar.jpg
Nombre de álbum:
/
Diabetic Macular Edema
Votado (1 votos):
(
Mostrar detalles
)
Tamaño del archivo:
2304 KiB
Fecha añadida:
Julio 16, 2012
Dimensiones:
4408 x 4536 píxeles
Visto:
986 visitas
URL:
https://retinagallery.com/displayimage.php?pid=5130
Favoritos:
Añadir a favoritos