Retina Gallery ~ Full Sized Retina Images
Library of Free, Non-Copyrighted Retina Images and Videos
Home
Contact
About Us
Register
Login
Album list
Last uploads
Last comments
Most viewed
Top rated
My Favorites
By date
Search
FAQ
Choose your language:
FILE 64/454
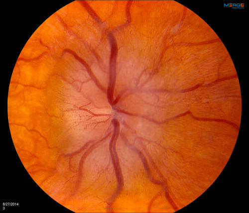
Bilateral Papilledema
Young female that presents with severe frequent headaches. VA is 20/15 in both eyes. Fundus exam reveals swelling of both optic nerves.
File information
Filename:
356_003.JPG
Album name:
/
Papilledema
Rating (1 votes):
(
Show details
)
Keywords:
september2014
Attribution (if wanted) enter name or institution here: :
Mayo Clinic Jacksonville, Florida
Device with which Image was Captured::
TOPCON TRC 50-EX
Filesize:
4645 KiB
Date added:
Aug 29, 2014
Dimensions:
2392 x 2048 pixels
Displayed:
1146 times
URL:
https://retinagallery.com/displayimage.php?pid=7681
Favorites:
Add to Favorites